JavaScript is disabled in your browser. Please enable JavaScript to view this website.
AB230995

Anti-HRG antibody

Be the first to review this product! Submit a review

|

(1 Publication)

Rabbit Polyclonal HRG antibody. Suitable for WB, IHC-P and reacts with Rat samples. Cited in 1 publication. Immunogen corresponding to Recombinant Fragment Protein within Rat Hrg aa 100-350.

View Alternative Names

Hrg1, Hrg, Histidine-rich glycoprotein, Histidine-proline-rich glycoprotein, Histidine-rich glycoprotein 1, HPRG, HRG1

3 Images
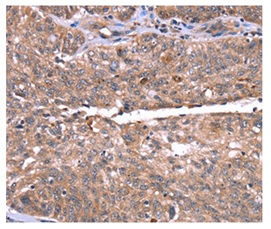
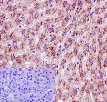
Immunohistochemistry (Formalin/PFA-fixed paraffin-embedded sections) - Anti-HRG antibody (AB230995)
  • IHC-P

Supplier Data

Immunohistochemistry (Formalin/PFA-fixed paraffin-embedded sections) - Anti-HRG antibody (AB230995)

Paraffin-embedded rat liver tissue stained for HRG using ab230995 at 20 μg/ml in immunohistochemical analysis.

Western blot - Anti-HRG antibody (AB230995)
  • WB

Supplier Data

Western blot - Anti-HRG antibody (AB230995)

All lanes:

Western blot - Anti-HRG antibody (ab230995) at 2 µg/mL

All lanes:

Rat serum

Predicted band size: 104 kDa,120 kDa,33 kDa,36 kDa,42 kDa,45 kDa,46 kDa,47 kDa,48 kDa,50 kDa,51 kDa,52 kDa,53 kDa,54 kDa,55 kDa,57 kDa,58 kDa,60 kDa,63 kDa,68 kDa,70 kDa,72 kDa,73 kDa,79 kDa,80 kDa,81 kDa,83 kDa,95 kDa

false

Western blot - Anti-HRG antibody (AB230995)
  • WB

Supplier Data

Western blot - Anti-HRG antibody (AB230995)

All lanes:

Western blot - Anti-HRG antibody (ab230995) at 2 µg/mL

All lanes:

Recombinant Rat HRG protein

Predicted band size: 60 kDa

false

Key facts

Host species

Rabbit

Clonality

Polyclonal

Isotype

IgG

Carrier free

No

Reacts with

Rat

Applications

WB, IHC-P

applications

Immunogen

Recombinant Fragment Protein within Rat Hrg aa 100-350. The exact immunogen used to generate this antibody is proprietary information.

Q99PS8

Reactivity data

{ "title": "Reactivity Data", "filters": { "stats": ["", "Species", "Dilution Info", "Notes"], "tabs": { "all-applications": {"fullname" : "All Applications", "shortname": "All Applications"}, "WB" : {"fullname" : "Western blot", "shortname":"WB"}, "IHCP" : {"fullname" : "Immunohistochemistry (Formalin/PFA-fixed paraffin-embedded sections)", "shortname":"IHC-P"} }, "product-promise": { "all": "all", "testedAndGuaranteed": "tested", "guaranteed": "expected", "predicted": "predicted", "notRecommended": "not-recommended" } }, "values": { "Rat": { "WB-species-checked": "testedAndGuaranteed", "WB-species-dilution-info": "0.5-2 µg/mL", "WB-species-notes": "<p></p>", "IHCP-species-checked": "testedAndGuaranteed", "IHCP-species-dilution-info": "5-20 µg/mL", "IHCP-species-notes": "<p></p>" } } }

Properties and storage information

Form
Liquid
Purification technique
Affinity purification Immunogen
Purification notes
ab230995 was purified by antigen-specific affinity chromatography followed by Protein A affinity chromatography.
Storage buffer
pH: 7.4 Preservative: 0.02% Sodium azide Constituents: PBS, 55.77% Glycerol (glycerin, glycerine)
Shipped at conditions
Blue Ice
Appropriate short-term storage duration
1-2 weeks
Appropriate short-term storage conditions
+4°C
Appropriate long-term storage conditions
-20°C
Aliquoting information
Upon delivery aliquot
Storage information
Avoid freeze / thaw cycle

Product protocols

For this product, it's our understanding that no specific protocols are required. You can visit:

Target data

Plasma glycoprotein that binds a number of ligands such as heme, heparin, heparan sulfate, thrombospondin, plasminogen, and divalent metal ions. Inhibits rosette formation. Acts as an adapter protein and implicated in regulating many processes such as immune complex and pathogen clearance, cell adhesion, angiogenesis, coagulation and fibrinolysis. Mediates clearance of necrotic cells through enhancing the phagocytosis of necrotic cells in a heparan sulfate-dependent pathway. This process can be regulated by the presence of certain HRG ligands such as heparin and zinc ions. Binds to IgG subclasses of immunoglobins containing kappa and lambda light chains with different affinities regulating their clearance and inhibiting the formation of insoluble immune complexes. Tethers plasminogen to the cell surface. Binds T-cells and alters the cell morphology. Modulates angiogenesis by blocking the CD6-mediated antiangiongenic effect of thrombospondins, THBS1 and THBS2 (By similarity).
See full target information Hrg

Publications (1)

Recent publications for all applications. Explore the full list and refine your search

Development (Cambridge, England) 151: PubMed38602508

2024

Apical expansion of calvarial osteoblasts and suture patency is dependent on fibronectin cues.

Applications

Unspecified application

Species

Unspecified reactive species

Xiaotian Feng,Helen Molteni,Megan Gregory,Jennifer Lanza,Nikaya Polsani,Isha Gupta,Rachel Wyetzner,M Brent Hawkins,Greg Holmes,Sevan Hopyan,Matthew P Harris,Radhika P Atit
View all publications

Product promise

We are committed to supporting your work with high-quality reagents, and we're here for you every step of the way. In the unlikely event that one of our products does not perform as expected, you're protected by our Product Promise.
For full details, please see our Terms & Conditions

Please note: All products are 'FOR RESEARCH USE ONLY. NOT FOR USE IN DIAGNOSTIC OR THERAPEUTIC PROCEDURES'.

For licensing inquiries, please contact partnerships@abcam.com