JavaScript is disabled in your browser. Please enable JavaScript to view this website.
AB78224

Anti-HRH1/H1R antibody

Be the first to review this product! Submit a review

|

(1 Publication)

Goat Polyclonal HRH1/H1R antibody. Suitable for IHC-P and reacts with Human samples. Cited in 1 publication. Immunogen corresponding to Synthetic Peptide within Human HRH1 aa 450 to C-terminus.

View Alternative Names

Histamine H1 receptor, H1-R, H1R, HH1R, HRH1

1 Images
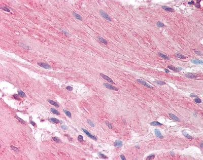
Immunohistochemistry (Formalin/PFA-fixed paraffin-embedded sections) - Anti-HRH1/H1R antibody (AB78224)
  • IHC-P

Unknown

Immunohistochemistry (Formalin/PFA-fixed paraffin-embedded sections) - Anti-HRH1/H1R antibody (AB78224)

Immunohistochemistry analysis of formalin fixed, paraffin embedded small intestine smooth muscle tissue using 2.5 μg/ml ab78224.

Key facts

Host species

Goat

Clonality

Polyclonal

Isotype

IgG

Carrier free

No

Reacts with

Human

Applications

IHC-P

applications

Immunogen

Synthetic Peptide within Human HRH1 aa 450 to C-terminus. The exact immunogen used to generate this antibody is proprietary information.

P35367

Reactivity data

{ "title": "Reactivity Data", "filters": { "stats": ["", "Species", "Dilution Info", "Notes"], "tabs": { "all-applications": {"fullname" : "All Applications", "shortname": "All Applications"}, "IHCP" : {"fullname" : "Immunohistochemistry (Formalin/PFA-fixed paraffin-embedded sections)", "shortname":"IHC-P"} }, "product-promise": { "all": "all", "testedAndGuaranteed": "tested", "guaranteed": "expected", "predicted": "predicted", "notRecommended": "not-recommended" } }, "values": { "Human": { "IHCP-species-checked": "testedAndGuaranteed", "IHCP-species-dilution-info": "2.5 µg/mL", "IHCP-species-notes": "<p></p>" }, "Mouse": { "IHCP-species-checked": "predicted", "IHCP-species-dilution-info": "", "IHCP-species-notes": "" }, "Rat": { "IHCP-species-checked": "predicted", "IHCP-species-dilution-info": "", "IHCP-species-notes": "" }, "Dog": { "IHCP-species-checked": "predicted", "IHCP-species-dilution-info": "", "IHCP-species-notes": "" } } }

Properties and storage information

Form
Liquid
Purification technique
Affinity purification Immunogen
Storage buffer
pH: 7.3 Preservative: 0.02% Sodium azide Constituents: 0.5% BSA, 0.5% Tris buffered saline
Shipped at conditions
Blue Ice
Appropriate short-term storage conditions
+4°C
Appropriate long-term storage conditions
-20°C
Aliquoting information
Upon delivery aliquot
Storage information
Avoid freeze / thaw cycle

Product protocols

For this product, it's our understanding that no specific protocols are required. You can visit:

Target data

G-protein-coupled receptor for histamine, a biogenic amine that functions as an immune modulator and a neurotransmitter (PubMed : 33828102, PubMed : 8280179). Through the H1 receptor, histamine mediates the contraction of smooth muscles and increases capillary permeability due to contraction of terminal venules. Also mediates neurotransmission in the central nervous system and thereby regulates circadian rhythms, emotional and locomotor activities as well as cognitive functions (By similarity).
See full target information HRH1

Publications (1)

Recent publications for all applications. Explore the full list and refine your search

Journal of neurophysiology 112:3104-15 PubMed25231620

2014

Alteration of the mu opioid receptor: Ca2+ channel signaling pathway in a subset of rat sensory neurons following chronic femoral artery occlusion.

Applications

Unspecified application

Species

Unspecified reactive species

Bassil Hassan,Joyce S Kim,Mohamed Farrag,Marc P Kaufman,Victor Ruiz-Velasco
View all publications

Product promise

We are committed to supporting your work with high-quality reagents, and we're here for you every step of the way. In the unlikely event that one of our products does not perform as expected, you're protected by our Product Promise.
For full details, please see our Terms & Conditions

Please note: All products are 'FOR RESEARCH USE ONLY. NOT FOR USE IN DIAGNOSTIC OR THERAPEUTIC PROCEDURES'.

For licensing inquiries, please contact partnerships@abcam.com