JavaScript is disabled in your browser. Please enable JavaScript to view this website.
AB207674

HRP Anti-Actin antibody [EPR16769] - Loading Control

Be the first to review this product! Submit a review

|

(3 Publications)

Rabbit Recombinant Monoclonal alpha skeletal muscle Actin antibody - conjugated to HRP. Suitable for IHC-P, WB and reacts with Human, Mouse, Rat samples. Cited in 3 publications.

View Alternative Names

ACTA, ACTA1, Alpha-actin-1

2 Images
Immunohistochemistry (Formalin/PFA-fixed paraffin-embedded sections) - HRP Anti-Actin antibody [EPR16769] - Loading Control (AB207674)
  • IHC-P

Lab

Immunohistochemistry (Formalin/PFA-fixed paraffin-embedded sections) - HRP Anti-Actin antibody [EPR16769] - Loading Control (AB207674)

IHC image of Actin staining in a section of formalin-fixed paraffin-embedded normal human kidney tissue* performed on a Leica BONDTM. The section was pre-treated using heat mediated antigen retrieval with sodium citrate buffer (pH6, epitope retrieval solution 1) for 20mins. The section was then incubated with ab207674, 1/100 dilution, for 15 mins at room temperature. DAB was used as the chromogen. The section was then counterstained with haematoxylin and mounted with DPX. The inset negative control image is taken from an identical assay without primary antibody.

For other IHC staining systems (automated and non-automated) customers should optimize variable parameters such as antigen retrieval conditions, primary antibody concentration and antibody incubation times.

*Tissue obtained from the Human Research Tissue Bank, supported by the NIHR Cambridge Biomedical Research Centre

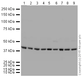
Western blot - HRP Anti-Actin antibody [EPR16769] - Loading Control (AB207674)
  • WB

Lab

Western blot - HRP Anti-Actin antibody [EPR16769] - Loading Control (AB207674)

This blot was produced using a 4-12% Bis-tris gel under the MOPS buffer system. The gel was run at 200V for 50 minutes before being transferred onto a Nitrocellulose membrane at 30V for 70 minutes. The membrane was then blocked for an hour using 2% Bovine Serum Albumin before being incubated with ab207674 overnight at 4°C. Antibody binding was visualised using ECL development solution ab133406.

All lanes:

Western blot - HRP Anti-Actin antibody [EPR16769] - Loading Control (ab207674) at 1/5000 dilution

Lane 1:

HeLa (Human epithelial carcinoma cell line) Whole Cell Lysate at 10 µg

Lane 2:

HEK293 (Human) Whole Cell Lysate at 10 µg

Lane 3:

Human heart tissue lysate at 10 µg

Lane 4:

RAW 264.7 (Mouse leukaemic monocyte macrophage cell line) Whole Cell Lysate at 10 µg

Lane 5:

NIH 3T3 (Mouse) Whole Cell Lysate at 10 µg

Lane 6:

Mouse heart tissue lysate at 10 µg

Lane 7:

C6 (Rat glioma cell line) Whole Cell Lysate at 10 µg

Lane 8:

PC12 (Rat adrenal pheochromocytoma cell line) Whole Cell Lysate at 10 µg

Lane 9:

Rat heart tissue lysate at 10 µg

Predicted band size: 42 kDa,56 kDa

Observed band size: 42 kDa

true

Exposure time: 6s

  • 421 Alexa Fluor® 405

    Alexa Fluor® 405 Anti-Actin antibody [EPR16769] - Cytoskeleton Marker

  • 565 Alexa Fluor® 555

    Alexa Fluor® 555 Anti-Actin antibody [EPR16769] - Cytoskeleton Marker

  • 519 Alexa Fluor® 488

    Alexa Fluor® 488 Anti-Actin antibody [EPR16769] - Cytoskeleton Marker

  • 665 Alexa Fluor® 647

    Alexa Fluor® 647 Anti-Actin antibody [EPR16769] - Cytoskeleton Marker

  • Unconjugated

    Anti-Actin antibody [EPR16769] - Loading Control

  • Carrier free

    Anti-Actin antibody [EPR16769] - BSA and Azide free

Key facts

Host species

Rabbit

Clonality

Monoclonal

Clone number

EPR16769

Isotype

IgG

Conjugation

HRP

Excitation/Emission
Carrier free

No

Reacts with

Mouse, Rat, Human, Human, Mouse, Rat

Applications

WB, IHC-P

applications

Immunogen

The exact immunogen used to generate this antibody is proprietary information.

Reactivity data

{ "title": "Reactivity Data", "filters": { "stats": ["", "Species", "Dilution Info", "Notes"], "tabs": { "all-applications": {"fullname" : "All Applications", "shortname": "All Applications"}, "IHCP" : {"fullname" : "Immunohistochemistry (Formalin/PFA-fixed paraffin-embedded sections)", "shortname":"IHC-P"}, "WB" : {"fullname" : "Western blot", "shortname":"WB"} }, "product-promise": { "all": "all", "testedAndGuaranteed": "tested", "guaranteed": "expected", "predicted": "predicted", "notRecommended": "not-recommended" } }, "values": { "Human": { "IHCP-species-checked": "testedAndGuaranteed", "IHCP-species-dilution-info": "1/50 - 1/100", "IHCP-species-notes": "<p></p> Perform heat-mediated antigen retrieval with citrate buffer pH 6 before commencing with IHC staining protocol.", "WB-species-checked": "testedAndGuaranteed", "WB-species-dilution-info": "1/5000", "WB-species-notes": "<p></p>" }, "Mouse": { "IHCP-species-checked": "guaranteed", "IHCP-species-dilution-info": "", "IHCP-species-notes": "", "WB-species-checked": "testedAndGuaranteed", "WB-species-dilution-info": "1/5000", "WB-species-notes": "<p></p>" }, "Rat": { "IHCP-species-checked": "guaranteed", "IHCP-species-dilution-info": "", "IHCP-species-notes": "", "WB-species-checked": "testedAndGuaranteed", "WB-species-dilution-info": "1/5000", "WB-species-notes": "<p></p>" }, "Chicken": { "IHCP-species-checked": "predicted", "IHCP-species-dilution-info": "", "IHCP-species-notes": "", "WB-species-checked": "predicted", "WB-species-dilution-info": "", "WB-species-notes": "" } } }

Product details

Patented technology
Our RabMAb® technology is a patented hybridoma-based technology for making rabbit monoclonal antibodies. For details on our patents, please refer to RabMAb® patents.

What are the advantages of a recombinant monoclonal antibody?
This product is a recombinant monoclonal antibody, which offers several advantages including:

  • - High batch-to-batch consistency and reproducibility
  • - Improved sensitivity and specificity
  • - Long-term security of supply
  • - Animal-free batch production

For more information, read more on recombinant antibodies.

Properties and storage information

Form
Liquid
Purification technique
Affinity purification Protein A
Storage buffer
pH: 7.4 Preservative: 0.1% Proclin 300 Solution Constituents: PBS, 30% Glycerol (glycerin, glycerine), 1% BSA
Shipped at conditions
Blue Ice
Appropriate short-term storage duration
1-2 weeks
Appropriate short-term storage conditions
+4°C
Appropriate long-term storage conditions
-20°C
Aliquoting information
Upon delivery aliquot
Storage information
Avoid freeze / thaw cycle|Store in the dark

Supplementary information

This supplementary information is collated from multiple sources and compiled automatically.

Actin also known as globular (G-actin) or filamentous (F-actin) actin plays a central role in cell structure and movement. This protein has a molecular weight of approximately 42 kDa and resides abundantly in eukaryotic cells especially in muscle and cytoskeletal structures. It comes in several isoforms with varying expression profiles across tissues. Actin can undergo polymerization from its G-actin monomers into F-actin filaments a process that is reversible through depolymerization allowing for dynamic cellular functions.
Biological function summary

Actin contributes to various cellular processes by forming the cytoskeleton which provides mechanical support and determines cell shape. Actin also facilitates cell motility division and intracellular transport through rapid polymerization and depolymerization cycles. Within cells actin associates with other proteins to form complexes such as the Arp2/3 complex which assists actin in the branching of filaments critical for pushing forward the cell's leading edge during movement. Techniques like actin immunofluorescence help visualize actin filaments within cells revealing its extensive network.

Pathways

Actin plays an integral role in pathways like cell movement and signal transduction. The Rho family of GTPases regulates actin cytoskeleton rearrangements influencing cell shape and migration. Actin function interactions involve proteins like myosin forming actomyosin complexes essential for muscle contraction and other cell motility activities. Actin polymerization and depolymerization cycles are key to the dynamic regulation within these pathways ensuring adequate cellular responses to environmental signals.

Mutations or misregulation of actin and its associated pathways link to conditions such as cardiomyopathies and cancer metastasis. In familial cardiomyopathy actin mutations disrupt normal cardiac muscle contraction. In cancer altered actin polymerization and depolymerization enable invasive cell migration facilitating metastasis. Proteins like myosin and tropomyosin associate with actin in these pathologies illustrating the impact of actin dynamics on disease progression and highlighting actin as a therapeutic target. Anti-actin antibodies can be used in research and diagnostics to better understand these disorders.

Product protocols

For this product, it's our understanding that no specific protocols are required. You can visit:

Target data

Actins are highly conserved proteins that are involved in various types of cell motility and are ubiquitously expressed in all eukaryotic cells.
See full target information ACTA1

Publications (3)

Recent publications for all applications. Explore the full list and refine your search

Hypertension research : official journal of the Japanese Society of Hypertension 48:2083-2094 PubMed40335722

2025

Identification of putative baroreceptors in human aortic arch by histological and omics analyses.

Applications

Unspecified application

Species

Unspecified reactive species

Yankey Yundung,Jaroslav Pelisek,Umberto Maccio,Zsuzsanna Varga,Houria Ech-Cherif,Enni Markkanen,Fabian Rössler,Ahmed Ouda,Omer Dzemali,Alexander Zimmermann,Benedikt Reutersberg

Biomolecules 12: PubMed36358914

2022

Semicarbazide-Sensitive Amine Oxidase (SSAO) and Lysyl Oxidase (LOX) Association in Rat Aortic Vascular Smooth Muscle Cells.

Applications

Unspecified application

Species

Unspecified reactive species

Vesna Manasieva,Shori Thakur,Lisa A Lione,Jessal Patel,Anwar Baydoun,John Skamarauskas

Journal of cellular biochemistry 122:1791-1804 PubMed34397115

2021

Mesenchymal stem cell and endothelial progenitor cells coinjection improves LPS-induced lung injury via Tie2 activation and downregulation of the TLR4/MyD88 pathway.

Applications

Unspecified application

Species

Unspecified reactive species

Sadaf Hoseinnia,Maryam Ghane,Jamile Norouzi,Farzaneh Hosseini
View all publications

Product promise

We are committed to supporting your work with high-quality reagents, and we're here for you every step of the way. In the unlikely event that one of our products does not perform as expected, you're protected by our Product Promise.
For full details, please see our Terms & Conditions

Please note: All products are 'FOR RESEARCH USE ONLY. NOT FOR USE IN DIAGNOSTIC OR THERAPEUTIC PROCEDURES'.

For licensing inquiries, please contact partnerships@abcam.com