JavaScript is disabled in your browser. Please enable JavaScript to view this website.
AB202936

HRP Anti-ADRA1B antibody [EPR10336]

Be the first to review this product! Submit a review

|

(1 Publication)

Rabbit Recombinant Monoclonal ADRA1B antibody - conjugated to HRP. Suitable for IHC-P, WB and reacts with Rat, Human, Mouse samples. Cited in 1 publication.

View Alternative Names

Alpha-1B adrenergic receptor, Alpha-1B adrenoreceptor, Alpha-1B adrenoceptor, ADRA1B

2 Images
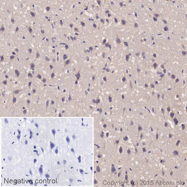
Immunohistochemistry (Formalin/PFA-fixed paraffin-embedded sections) - HRP Anti-ADRA1B antibody [EPR10336] (AB202936)
  • IHC-P

Lab

Immunohistochemistry (Formalin/PFA-fixed paraffin-embedded sections) - HRP Anti-ADRA1B antibody [EPR10336] (AB202936)

IHC image of ADRA1B staining in a section of formalin-fixed paraffin-embedded normal rat brain, performed on a Leica BOND™. The section was pre-treated using heat mediated antigen retrieval with sodium citrate buffer (pH6, epitope retrieval solution 1) for 20mins. The section was then incubated with ab202936, 1/100 dilution, for 15 mins at room temperature. DAB was used as the chromogen. The section was then counterstained with haematoxylin and mounted with DPX. The inset negative control image is taken from an identical assay without primary antibody.

For other IHC staining systems (automated and non-automated) customers should optimize variable parameters such as antigen retrieval conditions, primary antibody concentration and antibody incubation times.

Western blot - HRP Anti-ADRA1B antibody [EPR10336] (AB202936)
  • WB

Lab

Western blot - HRP Anti-ADRA1B antibody [EPR10336] (AB202936)

This blot was produced using a 4-12% Bis-tris gel under the MOPS buffer system. The gel was run at 200V for 50 minutes before being transferred onto a Nitrocellulose membrane at 30V for 70 minutes. The membrane was then blocked for an hour using 2% Bovine Serum Albumin before being incubated with ab202936 overnight at 4°C. Antibody binding was visualised using ECL development solution ab133406.

All lanes:

Western blot - HRP Anti-ADRA1B antibody [EPR10336] (ab202936) at 1/5000 dilution

Lane 1:

Brain (Human) Tissue Lysate - fetal normal tissue at 10 µg

Lane 2:

PC3 (Human prostate carcinoma cell line) Whole Cell Lysate Whole Cell Lysate at 10 µg

Lane 3:

HeLa (Human epithelial carcinoma cell line) Whole Cell Lysate at 10 µg

Predicted band size: 57 kDa

Observed band size: 53 kDa

true

Exposure time: 20s

Key facts

Host species

Rabbit

Clonality

Monoclonal

Clone number

EPR10336

Isotype

IgG

Conjugation

HRP

Excitation/Emission
Carrier free

No

Reacts with

Rat, Human

Applications

IHC-P, WB

applications

Immunogen

The exact immunogen used to generate this antibody is proprietary information.

Reactivity data

{ "title": "Reactivity Data", "filters": { "stats": ["", "Species", "Dilution Info", "Notes"], "tabs": { "all-applications": {"fullname" : "All Applications", "shortname": "All Applications"}, "IHCP" : {"fullname" : "Immunohistochemistry (Formalin/PFA-fixed paraffin-embedded sections)", "shortname":"IHC-P"}, "WB" : {"fullname" : "Western blot", "shortname":"WB"} }, "product-promise": { "all": "all", "testedAndGuaranteed": "tested", "guaranteed": "expected", "predicted": "predicted", "notRecommended": "not-recommended" } }, "values": { "Human": { "IHCP-species-checked": "guaranteed", "IHCP-species-dilution-info": "", "IHCP-species-notes": "", "WB-species-checked": "testedAndGuaranteed", "WB-species-dilution-info": "1/5000", "WB-species-notes": "<p></p>" }, "Mouse": { "IHCP-species-checked": "guaranteed", "IHCP-species-dilution-info": "", "IHCP-species-notes": "<p></p>", "WB-species-checked": "guaranteed", "WB-species-dilution-info": "", "WB-species-notes": "<p></p>" }, "Rat": { "IHCP-species-checked": "testedAndGuaranteed", "IHCP-species-dilution-info": "1/100", "IHCP-species-notes": "<p></p>", "WB-species-checked": "guaranteed", "WB-species-dilution-info": "", "WB-species-notes": "" } } }

Product details

Patented technology
Our RabMAb® technology is a patented hybridoma-based technology for making rabbit monoclonal antibodies. For details on our patents, please refer to RabMAb® patents.

What are the advantages of a recombinant monoclonal antibody?
This product is a recombinant monoclonal antibody, which offers several advantages including:

  • - High batch-to-batch consistency and reproducibility
  • - Improved sensitivity and specificity
  • - Long-term security of supply
  • - Animal-free batch production

For more information, read more on recombinant antibodies.

Properties and storage information

Form
Liquid
Purification technique
Affinity purification Protein A
Storage buffer
pH: 7.4 Preservative: 0.1% Proclin 300 Solution Constituents: PBS, 30% Glycerol (glycerin, glycerine), 1% BSA
Shipped at conditions
Blue Ice
Appropriate short-term storage duration
1-2 weeks
Appropriate short-term storage conditions
+4°C
Appropriate long-term storage conditions
-20°C
Aliquoting information
Upon delivery aliquot
Storage information
Stable for 12 months at -20°C|Store in the dark

Supplementary information

This supplementary information is collated from multiple sources and compiled automatically.

ADRA1B also known as alpha-1B adrenergic receptor is a G protein-coupled receptor (GPCR) involved in various cellular processes. It has a molecular mass of approximately 56 kDa. ADRA1B mainly expresses in smooth muscle cells particularly within arterial walls and cardiac tissues which suggests its involvement in cardiovascular function. It also expresses in the central nervous system reflecting a broader physiological role.
Biological function summary

Alpha-1B adrenergic receptor mediates vasoconstriction and regulates blood pressure by interacting with catecholamines like norepinephrine. This receptor participates in forming a homodimer or a heterodimer complex with other adrenergic receptors which affects its signaling capabilities and functional outcomes. The receptor's activation influences smooth muscle contraction cardiac output and alpha-adrenergic signaling.

Pathways

ADRA1B actively participates in the adrenergic signaling pathway influencing cardiovascular regulation and smooth muscle contraction. The receptor interacts with proteins such as G proteins which are central to signal transduction. It also relates to the mitogen-activated protein kinase (MAPK) pathway promoting cell proliferation and survival linking its function to both cardiac and neural activities.

ADRA1B associates with hypertension and heart failure where its overexpression or dysregulation affects vascular resistance and cardiac workload. It connects to proteins like phospholipase C which further modulate intracellular calcium levels linked to these cardiovascular conditions. Additionally changes in this receptor's function may relate to psychiatric disorders reflecting its role in the central nervous system and interactions with noradrenergic pathways.

Product protocols

For this product, it's our understanding that no specific protocols are required. You can visit:

Target data

This alpha-adrenergic receptor mediates its action by association with G proteins that activate a phosphatidylinositol-calcium second messenger system. Its effect is mediated by G(q) and G(11) proteins. Nuclear ADRA1A-ADRA1B heterooligomers regulate phenylephrine (PE)-stimulated ERK signaling in cardiac myocytes.
See full target information ADRA1B

Publications (1)

Recent publications for all applications. Explore the full list and refine your search

International journal of oncology 55:1077-1089 PubMed31545408

2019

Genome profiling revealed the activation of IL2RG/JAK3/STAT5 in peripheral T‑cell lymphoma expressing the ITK‑SYK fusion gene.

Applications

Unspecified application

Species

Unspecified reactive species

Lei-Lei Zhang,Hua-Xiong Pan,Yi-Xuan Wang,Tao Guo,Lin Liu
View all publications

Product promise

We are committed to supporting your work with high-quality reagents, and we're here for you every step of the way. In the unlikely event that one of our products does not perform as expected, you're protected by our Product Promise.
For full details, please see our Terms & Conditions

Please note: All products are 'FOR RESEARCH USE ONLY. NOT FOR USE IN DIAGNOSTIC OR THERAPEUTIC PROCEDURES'.

For licensing inquiries, please contact partnerships@abcam.com