JavaScript is disabled in your browser. Please enable JavaScript to view this website.
AB307472

HRP Anti-Albumin antibody [EPR12774]

Be the first to review this product! Submit a review

|

(0 Publication)

Rabbit Recombinant Monoclonal Albumin antibody - conjugated to HRP. Suitable for IHC-P and reacts with Human samples.

View Alternative Names

Albumin, BSA, ALB

3 Images
Immunohistochemistry (Formalin/PFA-fixed paraffin-embedded sections) - HRP Anti-Albumin antibody [EPR12774] (AB307472)
  • IHC-P

Supplier Data

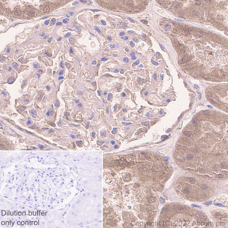
Immunohistochemistry (Formalin/PFA-fixed paraffin-embedded sections) - HRP Anti-Albumin antibody [EPR12774] (AB307472)

Immunohistochemical analysis of paraffin-embedded Human kidney tissue labeling Albumin with ab307472 at 1/50 (10.0 μg/ml). Positive staining on human kidney. The section was incubated with ab307472 at 4°C overnight. Counterstained with Hematoxylin.  Heat mediated antigen retrieval was performed using ab93684 (Tris/EDTA buffer, pH 9.0)

Immunohistochemistry (Formalin/PFA-fixed paraffin-embedded sections) - HRP Anti-Albumin antibody [EPR12774] (AB307472)
  • IHC-P

Supplier Data

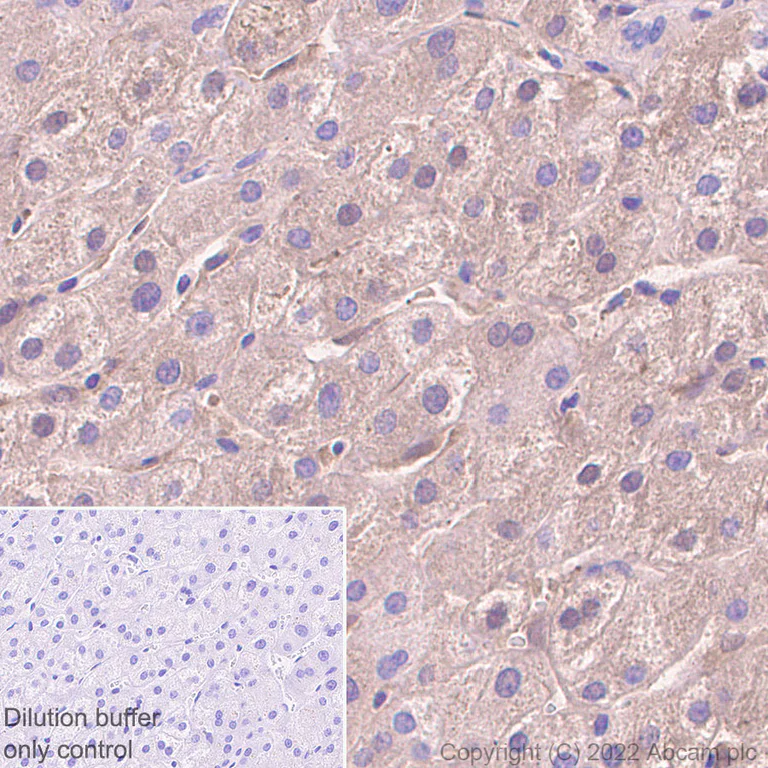
Immunohistochemistry (Formalin/PFA-fixed paraffin-embedded sections) - HRP Anti-Albumin antibody [EPR12774] (AB307472)

Immunohistochemical analysis of paraffin-embedded Human liver tissue labeling Albumin with ab307472 at 1/50 (10.0 μg/ml). Positive staining on human liver. The section was incubated with ab307472 at 4°C overnight. Counterstained with Hematoxylin.  Heat mediated antigen retrieval was performed using ab93684 (Tris/EDTA buffer, pH 9.0)

Immunohistochemistry (Formalin/PFA-fixed paraffin-embedded sections) - HRP Anti-Albumin antibody [EPR12774] (AB307472)
  • IHC-P

Supplier Data

Immunohistochemistry (Formalin/PFA-fixed paraffin-embedded sections) - HRP Anti-Albumin antibody [EPR12774] (AB307472)

Immunohistochemical analysis of paraffin-embedded Human cerebrum tissue labeling Albumin with ab307472 at 1/50 (10.0 μg/ml). Negative control : no staining on human cerebrum. The section was incubated with ab307472 at 4°C overnight. Counterstained with Hematoxylin. Heat mediated antigen retrieval was performed using ab93684 (Tris/EDTA buffer, pH 9.0).

Key facts

Host species

Rabbit

Clonality

Monoclonal

Clone number

EPR12774

Isotype

IgG

Conjugation

HRP

Excitation/Emission
Carrier free

No

Reacts with

Human

Applications

IHC-P

applications

Immunogen

The exact immunogen used to generate this antibody is proprietary information.

Reactivity data

{ "title": "Reactivity Data", "filters": { "stats": ["", "Species", "Dilution Info", "Notes"], "tabs": { "all-applications": {"fullname" : "All Applications", "shortname": "All Applications"}, "IHCP" : {"fullname" : "Immunohistochemistry (Formalin/PFA-fixed paraffin-embedded sections)", "shortname":"IHC-P"} }, "product-promise": { "all": "all", "testedAndGuaranteed": "tested", "guaranteed": "expected", "predicted": "predicted", "notRecommended": "not-recommended" } }, "values": { "Human": { "IHCP-species-checked": "testedAndGuaranteed", "IHCP-species-dilution-info": "1/50", "IHCP-species-notes": "<p></p>" } } }

Product details

Patented technology
Our RabMAb® technology is a patented hybridoma-based technology for making rabbit monoclonal antibodies. For details on our patents, please refer to RabMAb® patents.

What are the advantages of a recombinant monoclonal antibody?
This product is a recombinant monoclonal antibody, which offers several advantages including:

  • - High batch-to-batch consistency and reproducibility
  • - Improved sensitivity and specificity
  • - Long-term security of supply
  • - Animal-free batch production

For more information, read more on recombinant antibodies.

Properties and storage information

Form
Liquid
Purification technique
Affinity purification Protein A
Storage buffer
pH: 7.4 Preservative: 0.1% Proclin 300 Solution Constituents: 68% PBS, 30% Glycerol (glycerin, glycerine), 1% BSA
Shipped at conditions
Blue Ice
Appropriate short-term storage duration
1-2 weeks
Appropriate short-term storage conditions
+4°C
Appropriate long-term storage conditions
-20°C
Aliquoting information
Upon delivery aliquot
Storage information
Avoid freeze / thaw cycle|Store in the dark

Supplementary information

This supplementary information is collated from multiple sources and compiled automatically.

Albumin also known as ALB is a major plasma protein with a molecular mass of approximately 66.5 kDa. It predominantly gets synthesized in the liver and found abundantly in blood plasma. Albumin serves multiple functions including maintaining osmotic pressure and acting as a carrier protein for various endogenous substances like hormones fatty acids and bilirubin.
Biological function summary

Albumin plays a critical role in transporting small molecules like metabolites and drugs through the circulatory system. It is not a part of any complex but functions independently to bind transport and release various ligands. Albumin's affinity for hydrophobic molecules makes it essential for they to be solubilized in blood for proper metabolism and excretion.

Pathways

More than five binding sites on albumin facilitate its role in the fatty acid metabolism and renin-angiotensin system pathways. In fatty acid metabolism albumin interacts with transport proteins carrying fatty acids to tissues for energy production. Additionally during the renin-angiotensin system albumin modulates blood pressure through its interaction with angiotensin II which can influence vasoconstriction.

Researchers link albumin with nephrotic syndrome and liver cirrhosis. In nephrotic syndrome low levels of albumin (albumin low) can cause edema due to imbalanced osmotic pressure. In liver cirrhosis a reduction in albumin synthesis signifies liver damage. Albumin's interaction with proteins like angiotensin II correlates with complications such as hypertension further establishing the protein's role in health and disease contexts.

Product protocols

For this product, it's our understanding that no specific protocols are required. You can visit:

Target data

Binds water, Ca(2+), Na(+), K(+), fatty acids, hormones, bilirubin and drugs. Its main function is the regulation of the colloidal osmotic pressure of blood. Major zinc transporter in plasma, typically binds about 80% of all plasma zinc (By similarity). Major calcium and magnesium transporter in plasma, binds approximately 45% of circulating calcium and magnesium in plasma (Probable). Potentially has more than two calcium-binding sites and might additionally bind calcium in a non-specific manner (PubMed : 22677715). The shared binding site between zinc and calcium at residue Asp-272 suggests a crosstalk between zinc and calcium transport in the blood (Probable). The rank order of affinity is zinc > calcium > magnesium (Probable). Binds to the bacterial siderophore enterobactin and inhibits enterobactin-mediated iron uptake of E.coli, and may thereby limit the utilization of iron and growth of enteric bacteria such as E.coli (PubMed : 6234017). Does not prevent iron uptake by the bacterial siderophore aerobactin (PubMed : 6234017).
See full target information Albumin

Product promise

We are committed to supporting your work with high-quality reagents, and we're here for you every step of the way. In the unlikely event that one of our products does not perform as expected, you're protected by our Product Promise.
For full details, please see our Terms & Conditions

Please note: All products are 'FOR RESEARCH USE ONLY. NOT FOR USE IN DIAGNOSTIC OR THERAPEUTIC PROCEDURES'.

For licensing inquiries, please contact partnerships@abcam.com