JavaScript is disabled in your browser. Please enable JavaScript to view this website.
AB202951

HRP Anti-Alcohol Dehydrogenase antibody [EPR4439]

Be the first to review this product! Submit a review

|

(1 Publication)

Rabbit Recombinant Monoclonal Alcohol Dehydrogenase antibody - conjugated to HRP. Suitable for IHC-P, WB and reacts with Human, Mouse, Rat samples. Cited in 1 publication.

View Alternative Names

ADH1, ADH1A, Alcohol dehydrogenase 1A, Alcohol dehydrogenase subunit alpha

2 Images
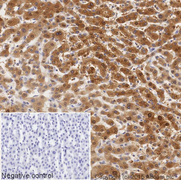
Immunohistochemistry (Formalin/PFA-fixed paraffin-embedded sections) - HRP Anti-Alcohol Dehydrogenase antibody [EPR4439] (AB202951)
  • IHC-P

Lab

Immunohistochemistry (Formalin/PFA-fixed paraffin-embedded sections) - HRP Anti-Alcohol Dehydrogenase antibody [EPR4439] (AB202951)

IHC image of Alcohol Dehydrogenase staining in a section of formalin-fixed paraffin-embedded normal human liver tissue*, performed on a Leica BONDTM. The section was pre-treated using heat mediated antigen retrieval with sodium citrate buffer (pH6, epitope retrieval solution 1) for 20mins. The section was then incubated with ab202951, 1/125 dilution, for 15 mins at room temperature. DAB was used as the chromogen. The section was then counterstained with haematoxylin and mounted with DPX. The inset negative control image is taken from an identical assay without primary antibody.

For other IHC staining systems (automated and non-automated) customers should optimize variable parameters such as antigen retrieval conditions, primary antibody concentration and antibody incubation times.

*Tissue obtained from the Human Research Tissue Bank, supported by the NIHR Cambridge Biomedical Research Centre

Western blot - HRP Anti-Alcohol Dehydrogenase antibody [EPR4439] (AB202951)
  • WB

Lab

Western blot - HRP Anti-Alcohol Dehydrogenase antibody [EPR4439] (AB202951)

This blot was produced using a 4-12% Bis-tris gel under the MOPS buffer system. The gel was run at 200V for 50 minutes before being transferred onto a Nitrocellulose membrane at 30V for 70 minutes. The membrane was then blocked for an hour using 3% milk before being incubated with ab202951 overnight at 4°C. Antibody binding was visualised using ECL development solution ab133406.

All lanes:

Western blot - HRP Anti-Alcohol Dehydrogenase antibody [EPR4439] (ab202951) at 1/5000 dilution

Lane 1:

Liver (Mouse) Tissue Lysate at 10 µg

Lane 2:

Liver (Human) Tissue Lysate - fetal normal tissue at 10 µg

Lane 3:

Liver (Rat) Tissue Lysate at 10 µg

Predicted band size: 40 kDa

Observed band size: 37 kDa,40 kDa

false

Exposure time: 10s

Key facts

Host species

Rabbit

Clonality

Monoclonal

Clone number

EPR4439

Isotype

IgG

Conjugation

HRP

Excitation/Emission
Carrier free

No

Reacts with

Mouse, Rat, Human

Applications

WB, IHC-P

applications

Immunogen

The exact immunogen used to generate this antibody is proprietary information.

Reactivity data

{ "title": "Reactivity Data", "filters": { "stats": ["", "Species", "Dilution Info", "Notes"], "tabs": { "all-applications": {"fullname" : "All Applications", "shortname": "All Applications"}, "IHCP" : {"fullname" : "Immunohistochemistry (Formalin/PFA-fixed paraffin-embedded sections)", "shortname":"IHC-P"}, "WB" : {"fullname" : "Western blot", "shortname":"WB"} }, "product-promise": { "all": "all", "testedAndGuaranteed": "tested", "guaranteed": "expected", "predicted": "predicted", "notRecommended": "not-recommended" } }, "values": { "Human": { "IHCP-species-checked": "testedAndGuaranteed", "IHCP-species-dilution-info": "1/125", "IHCP-species-notes": "<p></p>", "WB-species-checked": "testedAndGuaranteed", "WB-species-dilution-info": "1/5000", "WB-species-notes": "<p></p>" }, "Mouse": { "IHCP-species-checked": "guaranteed", "IHCP-species-dilution-info": "", "IHCP-species-notes": "", "WB-species-checked": "testedAndGuaranteed", "WB-species-dilution-info": "1/5000", "WB-species-notes": "<p></p>" }, "Rat": { "IHCP-species-checked": "guaranteed", "IHCP-species-dilution-info": "", "IHCP-species-notes": "", "WB-species-checked": "testedAndGuaranteed", "WB-species-dilution-info": "1/5000", "WB-species-notes": "<p></p>" } } }

Product details

Patented technology
Our RabMAb® technology is a patented hybridoma-based technology for making rabbit monoclonal antibodies. For details on our patents, please refer to RabMAb® patents.

What are the advantages of a recombinant monoclonal antibody?
This product is a recombinant monoclonal antibody, which offers several advantages including:

  • - High batch-to-batch consistency and reproducibility
  • - Improved sensitivity and specificity
  • - Long-term security of supply
  • - Animal-free batch production

For more information, read more on recombinant antibodies.

Properties and storage information

Form
Liquid
Purification technique
Affinity purification Protein A
Storage buffer
pH: 7.4 Preservative: 0.1% Proclin 300 Solution Constituents: PBS, 30% Glycerol (glycerin, glycerine), 1% BSA
Shipped at conditions
Blue Ice
Appropriate short-term storage duration
1-2 weeks
Appropriate short-term storage conditions
+4°C
Appropriate long-term storage conditions
-20°C
Aliquoting information
Upon delivery aliquot
Storage information
Avoid freeze / thaw cycle|Store in the dark

Supplementary information

This supplementary information is collated from multiple sources and compiled automatically.

Alcohol dehydrogenase (ADH) also known as aldehyde reductase is an enzyme that catalyzes the conversion of alcohols to aldehydes while reducing NAD+ to NADH. This enzyme's structure comprises approximately 40 kDa per subunit and it typically functions as a dimer. ADH is predominantly expressed in the liver where it plays a major role in alcohol metabolism. However its presence is also noted in other tissues such as the stomach lining and kidneys. The enzyme's activities are significant enough to be measured through various assays including ADH assay and alcohol dehydrogenase test highlighting its enzymatic kinetics.
Biological function summary

Alcohol dehydrogenase's role extends beyond simple alcohol metabolism. It participates in the body's detoxification processes. This enzyme is not part of a larger complex but can function alongside other dehydrogenases involved in metabolic processes. ADH's activity helps in managing blood alcohol levels by converting ethanol to acetaldehyde which is further processed by aldehyde dehydrogenase to acetate. The balance and efficiency of these reactions determine the rate and capacity of alcohol clearance from the body.

Pathways

Alcohol dehydrogenase significantly contributes to the alcohol metabolism pathway and the retinol metabolism pathway. It plays a role in converting retinol to retinal which is important for vision and cell growth. In these pathways ADH works closely with aldehyde dehydrogenase to ensure the continuation of the metabolic processes in the human body. The enzyme's function is also connected to the smooth operation of the cytochrome P450 system in the liver for comprehensive detoxification.

The activity of alcohol dehydrogenase links closely to conditions like alcoholism and liver disease. Variations in ADH enzyme activity can affect an individual's susceptibility to alcohol use disorder due to differences in alcohol metabolism rates. Additionally high acetaldehyde levels a product of the alcohol dehydrogenase reaction can contribute to liver damage leading to cirrhosis. This enzyme's relationship to aldehyde dehydrogenase is critical as the failure in converting acetaldehyde can exacerbate the toxic effects and contribute further to these disorders.

Product protocols

For this product, it's our understanding that no specific protocols are required. You can visit:

Target data

Alcohol dehydrogenase (PubMed : 2738060). Oxidizes primary as well as secondary alcohols. Ethanol is a very poor substrate (PubMed : 2738060).
See full target information ADH1A

Publications (1)

Recent publications for all applications. Explore the full list and refine your search

International journal of oncology 55:1077-1089 PubMed31545408

2019

Genome profiling revealed the activation of IL2RG/JAK3/STAT5 in peripheral T‑cell lymphoma expressing the ITK‑SYK fusion gene.

Applications

Unspecified application

Species

Unspecified reactive species

Lei-Lei Zhang,Hua-Xiong Pan,Yi-Xuan Wang,Tao Guo,Lin Liu
View all publications

Product promise

We are committed to supporting your work with high-quality reagents, and we're here for you every step of the way. In the unlikely event that one of our products does not perform as expected, you're protected by our Product Promise.
For full details, please see our Terms & Conditions

Please note: All products are 'FOR RESEARCH USE ONLY. NOT FOR USE IN DIAGNOSTIC OR THERAPEUTIC PROCEDURES'.

For licensing inquiries, please contact partnerships@abcam.com