JavaScript is disabled in your browser. Please enable JavaScript to view this website.
AB195517

HRP Anti-ALDH1A1 antibody [EP1933Y]

Be the first to review this product! Submit a review

|

(1 Publication)

Rabbit Recombinant Monoclonal ALDH1A1 antibody - conjugated to HRP. Suitable for IHC-P, WB and reacts with Human samples. Cited in 1 publication.

View Alternative Names

ALDC, ALDH1, PUMB1, ALDH1A1, Aldehyde dehydrogenase 1A1, 3-deoxyglucosone dehydrogenase, ALDH-E1, ALHDII, Aldehyde dehydrogenase family 1 member A1, Retinal dehydrogenase 1, RALDH 1, RalDH1

2 Images
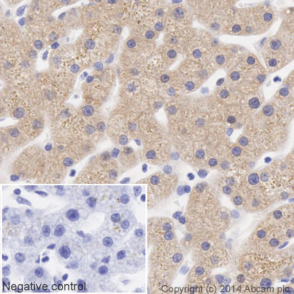
Immunohistochemistry (Formalin/PFA-fixed paraffin-embedded sections) - HRP Anti-ALDH1A1 antibody [EP1933Y] (AB195517)
  • IHC-P

Lab

Immunohistochemistry (Formalin/PFA-fixed paraffin-embedded sections) - HRP Anti-ALDH1A1 antibody [EP1933Y] (AB195517)

IHC image of ALDH1A1 staining in a section of formalin-fixed paraffin-embedded normal human liver tissue*, performed on a Leica BOND. The section was pre-treated using heat mediated antigen retrieval with sodium citrate buffer (pH6, epitope retrieval solution 1) for 20mins. The section was then incubated with ab195517 at 1/100 dilution, for 15 mins at room temperature. DAB was used as the chromogen. The section was then counterstained with haematoxylin and mounted with DPX. The inset negative control image is taken from an identical assay without primary antibody.

For other IHC staining systems (automated and non-automated) customers should optimize variable parameters such as antigen retrieval conditions, primary antibody concentration and antibody incubation times.

*Tissue obtained from the Human Research Tissue Bank, supported by the NIHR Cambridge Biomedical Research Centre

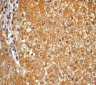
Western blot - HRP Anti-ALDH1A1 antibody [EP1933Y] (AB195517)
  • WB

Lab

Western blot - HRP Anti-ALDH1A1 antibody [EP1933Y] (AB195517)

This blot was produced using a 4-12% Bis-tris gel under the MOPS buffer system. The gel was run at 200V for 50 minutes before being transferred onto a Nitrocellulose membrane at 30V for 70 minutes. The membrane was then blocked for an hour using 2% Bovine Serum Albumin before being incubated with ab195517 overnight at 4°C. Antibody binding was visualised using ECL development solution ab133406.

All lanes:

Western blot - HRP Anti-ALDH1A1 antibody [EP1933Y] (ab195517) at 1/5000 dilution

All lanes:

HepG2 (Human hepatocellular liver carcinoma cell line) Whole Cell Lysate at 10 µg

Predicted band size: 54 kDa

Observed band size: 55 kDa

true

Exposure time: 8min

Key facts

Host species

Rabbit

Clonality

Monoclonal

Clone number

EP1933Y

Isotype

IgG

Conjugation

HRP

Excitation/Emission
Carrier free

No

Reacts with

Human

Applications

WB, IHC-P

applications

Immunogen

The exact immunogen used to generate this antibody is proprietary information.

Reactivity data

{ "title": "Reactivity Data", "filters": { "stats": ["", "Species", "Dilution Info", "Notes"], "tabs": { "all-applications": {"fullname" : "All Applications", "shortname": "All Applications"}, "IHCP" : {"fullname" : "Immunohistochemistry (Formalin/PFA-fixed paraffin-embedded sections)", "shortname":"IHC-P"}, "WB" : {"fullname" : "Western blot", "shortname":"WB"} }, "product-promise": { "all": "all", "testedAndGuaranteed": "tested", "guaranteed": "expected", "predicted": "predicted", "notRecommended": "not-recommended" } }, "values": { "Human": { "IHCP-species-checked": "testedAndGuaranteed", "IHCP-species-dilution-info": "1/100", "IHCP-species-notes": "<p><a href='/en-us/products/primary-antibodies/hrp-rabbit-igg-monoclonal-epr25a-isotype-control-ab199507'>ab199507</a> - Rabbit monoclonal IgG (HRP), is suitable for use an as isotype control with this antibody.</p>", "WB-species-checked": "testedAndGuaranteed", "WB-species-dilution-info": "1/5000", "WB-species-notes": "<p></p>" }, "Mouse": { "IHCP-species-checked": "predicted", "IHCP-species-dilution-info": "", "IHCP-species-notes": "", "WB-species-checked": "predicted", "WB-species-dilution-info": "", "WB-species-notes": "" }, "Rat": { "IHCP-species-checked": "predicted", "IHCP-species-dilution-info": "", "IHCP-species-notes": "", "WB-species-checked": "predicted", "WB-species-dilution-info": "", "WB-species-notes": "" } } }

Product details

Patented technology
Our RabMAb® technology is a patented hybridoma-based technology for making rabbit monoclonal antibodies. For details on our patents, please refer to RabMAb® patents.

Properties and storage information

Form
Liquid
Purification technique
Affinity purification Protein A
Storage buffer
pH: 7.4 Preservative: 0.1% Proclin 300 Solution Constituents: PBS, 30% Glycerol (glycerin, glycerine), 1% BSA
Shipped at conditions
Blue Ice
Appropriate short-term storage duration
1-2 weeks
Appropriate short-term storage conditions
+4°C
Appropriate long-term storage conditions
-20°C
Aliquoting information
Upon delivery aliquot
Storage information
Avoid freeze / thaw cycle|Store in the dark

Supplementary information

This supplementary information is collated from multiple sources and compiled automatically.

ALDH1A1 also known as aldehyde dehydrogenase 1 family member A1 is an enzyme with a molecular weight of approximately 54 kDa. It functions by catalyzing the irreversible oxidation of aldehydes to carboxylic acids which is an important step in detoxifying alcohol-derived acetaldehyde and other aldehydes. ALDH1A1 is expressed in various tissues including liver kidney and cornea. Its activity allows for maintaining cellular homeostasis by processing endogenous and exogenous aldehydes.
Biological function summary

ALDH1A1 plays significant roles in the biosynthesis of retinoic acid an important regulator of gene expression in developmental and adult processes. It does not form part of a larger enzyme complex but functions independently. The ALDH1A1 proteins contribute to the regulation of cell proliferation differentiation and survival. Researchers often measure its expression using methods like the ALDH1A1 ELISA which quantifies the protein levels in biological samples.

Pathways

The ALDH1A1 enzyme is notably implicated in the retinoid metabolism pathway and the detoxification of alcohol-derived aldehydes within the body. It is closely related to other members of the aldehyde dehydrogenase family including ALDH2 which shares similar detoxification functions. ALDH1A1’s role in retinoic acid production links it to gene expression pathways associated with cell differentiation and growth.

ALDH1A1 has associations with cancer and alcohol-induced liver disease. Its elevated expression in cancerous tissues often correlates with stem-cell like characteristics and chemoresistance. A connection exists between ALDH1A1 and ALDH2 in the context of alcohol metabolism where ALDH1A1's role in detoxifying acetaldehyde contributes to the lower risk of alcohol-induced damage. Studies explore ALDH1A1 antibodies and inhibitors as potential therapeutic approaches for these conditions.

Product protocols

For this product, it's our understanding that no specific protocols are required. You can visit:

Target data

Cytosolic dehydrogenase that catalyzes the irreversible oxidation of a wide range of aldehydes to their corresponding carboxylic acid (PubMed : 12941160, PubMed : 15623782, PubMed : 17175089, PubMed : 19296407, PubMed : 25450233, PubMed : 26373694). Functions downstream of retinol dehydrogenases and catalyzes the oxidation of retinaldehyde into retinoic acid, the second step in the oxidation of retinol/vitamin A into retinoic acid (By similarity). This pathway is crucial to control the levels of retinol and retinoic acid, two important molecules which excess can be teratogenic and cytotoxic (By similarity). Also oxidizes aldehydes resulting from lipid peroxidation like (E)-4-hydroxynon-2-enal/HNE, malonaldehyde and hexanal that form protein adducts and are highly cytotoxic. By participating for instance to the clearance of (E)-4-hydroxynon-2-enal/HNE in the lens epithelium prevents the formation of HNE-protein adducts and lens opacification (PubMed : 12941160, PubMed : 15623782, PubMed : 19296407). Functions also downstream of fructosamine-3-kinase in the fructosamine degradation pathway by catalyzing the oxidation of 3-deoxyglucosone, the carbohydrate product of fructosamine 3-phosphate decomposition, which is itself a potent glycating agent that may react with lysine and arginine side-chains of proteins (PubMed : 17175089). Has also an aminobutyraldehyde dehydrogenase activity and is probably part of an alternative pathway for the biosynthesis of GABA/4-aminobutanoate in midbrain, thereby playing a role in GABAergic synaptic transmission (By similarity).
See full target information ALDH1A1

Publications (1)

Recent publications for all applications. Explore the full list and refine your search

Nature 629:704-709 PubMed38693257

2024

Structural and molecular basis of choline uptake into the brain by FLVCR2.

Applications

Unspecified application

Species

Unspecified reactive species

Rosemary J Cater,Dibyanti Mukherjee,Eva Gil-Iturbe,Satchal K Erramilli,Ting Chen,Katie Koo,Nicolás Santander,Andrew Reckers,Brian Kloss,Tomasz Gawda,Brendon C Choy,Zhening Zhang,Aditya Katewa,Amara Larpthaveesarp,Eric J Huang,Scott W J Mooney,Oliver B Clarke,Sook Wah Yee,Kathleen M Giacomini,Anthony A Kossiakoff,Matthias Quick,Thomas Arnold,Filippo Mancia
View all publications

Product promise

We are committed to supporting your work with high-quality reagents, and we're here for you every step of the way. In the unlikely event that one of our products does not perform as expected, you're protected by our Product Promise.
For full details, please see our Terms & Conditions

Please note: All products are 'FOR RESEARCH USE ONLY. NOT FOR USE IN DIAGNOSTIC OR THERAPEUTIC PROCEDURES'.

For licensing inquiries, please contact partnerships@abcam.com