JavaScript is disabled in your browser. Please enable JavaScript to view this website.
AB309499

HRP Anti-alpha 1 Antitrypsin antibody [EPR17087-50]

Be the first to review this product! Submit a review

|

(0 Publication)

Rabbit Recombinant Monoclonal alpha 1 Antitrypsin antibody - conjugated to HRP. Suitable for IHC-P and reacts with Human samples.

View Alternative Names

AAT, PI, PRO0684, PRO2209, SERPINA1, Alpha-1-antitrypsin, Alpha-1 protease inhibitor, Alpha-1-antiproteinase, Serpin A1

2 Images
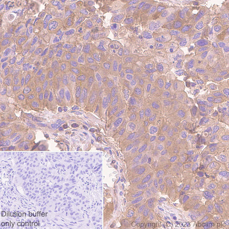
Immunohistochemistry (Formalin/PFA-fixed paraffin-embedded sections) - HRP Anti-alpha 1 Antitrypsin antibody [EPR17087-50] (AB309499)
  • IHC-P

Supplier Data

Immunohistochemistry (Formalin/PFA-fixed paraffin-embedded sections) - HRP Anti-alpha 1 Antitrypsin antibody [EPR17087-50] (AB309499)

Immunohistochemical analysis of paraffin-embedded Human lung cancer tissue labelling alpha 1 Antitrypsin with ab309499 at 1/200 (2.5 ug/ml). Positive staining on human lung cancer. The section was incubated with ab309499 for 30 mins at room temperature. The immunostaining was performed on a Leica Biosystems BOND® RX instrument Counterstained with Hematoxylin. Heat mediated antigen retrieval was performed with Tris-EDTA buffer (pH 9.0, Epitope Retrieval Solution2) for 20 mins.

Immunohistochemistry (Formalin/PFA-fixed paraffin-embedded sections) - HRP Anti-alpha 1 Antitrypsin antibody [EPR17087-50] (AB309499)
  • IHC-P

Supplier Data

Immunohistochemistry (Formalin/PFA-fixed paraffin-embedded sections) - HRP Anti-alpha 1 Antitrypsin antibody [EPR17087-50] (AB309499)

Immunohistochemical analysis of paraffin-embedded Human liver tissue labelling alpha 1 Antitrypsin with ab309499 at 1/200 (2.5 ug/ml). Positive staining on human liver. The section was incubated with ab309499 for 30 mins at room temperature. The immunostaining was performed on a Leica Biosystems BOND® RX instrument. Counterstained with Hematoxylin. Heat mediated antigen retrieval was performed with Tris-EDTA buffer (pH 9.0, Epitope Retrieval Solution2) for 20 mins.

Key facts

Host species

Rabbit

Clonality

Monoclonal

Clone number

EPR17087-50

Isotype

IgG

Conjugation

HRP

Excitation/Emission
Carrier free

No

Reacts with

Human

Applications

IHC-P

applications

Immunogen

The exact immunogen used to generate this antibody is proprietary information.

Reactivity data

{ "title": "Reactivity Data", "filters": { "stats": ["", "Species", "Dilution Info", "Notes"], "tabs": { "all-applications": {"fullname" : "All Applications", "shortname": "All Applications"}, "IHCP" : {"fullname" : "Immunohistochemistry (Formalin/PFA-fixed paraffin-embedded sections)", "shortname":"IHC-P"} }, "product-promise": { "all": "all", "testedAndGuaranteed": "tested", "guaranteed": "expected", "predicted": "predicted", "notRecommended": "not-recommended" } }, "values": { "Human": { "IHCP-species-checked": "testedAndGuaranteed", "IHCP-species-dilution-info": "1/200", "IHCP-species-notes": "<p></p>" } } }

Product details

Patented technology
Our RabMAb® technology is a patented hybridoma-based technology for making rabbit monoclonal antibodies. For details on our patents, please refer to RabMAb® patents.

What are the advantages of a recombinant monoclonal antibody?
This product is a recombinant monoclonal antibody, which offers several advantages including:

  • - High batch-to-batch consistency and reproducibility
  • - Improved sensitivity and specificity
  • - Long-term security of supply
  • - Animal-free batch production

For more information, read more on recombinant antibodies.

Properties and storage information

Form
Liquid
Purification technique
Affinity purification Protein A
Storage buffer
pH: 7.4 Preservative: 0.1% Proclin 300 Solution Constituents: PBS, 30% Glycerol (glycerin, glycerine), 1% BSA
Shipped at conditions
Blue Ice
Appropriate short-term storage duration
1-2 weeks
Appropriate short-term storage conditions
+4°C
Appropriate long-term storage conditions
-20°C
Aliquoting information
Upon delivery aliquot
Storage information
Avoid freeze / thaw cycle|Store in the dark

Supplementary information

This supplementary information is collated from multiple sources and compiled automatically.

Alpha 1 Antitrypsin also known as A1AT or alpha-1 proteinase inhibitor is a serine protease inhibitor with a molecular mass of about 52 kDa. This protein mainly expresses in the liver and found in high concentrations in the blood plasma. A1AT protects tissues from enzymes of inflammatory cells especially neutrophil elastase. Its expression level is regulated by the liver making it a significant player in maintaining tissue integrity.
Biological function summary

A1AT regulates protease activity by forming complexes with target enzymes. It specifically inhibits neutrophil elastase a powerful enzyme capable of degrading elastin an important component of connective tissues. A1AT prevents excessive tissue damage during inflammation by maintaining a balance in protease activity within connective tissues across various organs.

Pathways

Alpha 1 Antitrypsin functions within the proteolytic pathways involved in inflammatory response and tissue remodeling. A1AT is closely related to neutrophil elastase in these processes. It interacts with other protease inhibitors like alpha 2-macroglobulin reinforcing its protective role against enzymatic activity that can lead to tissue destruction under pathophysiological conditions.

Alpha 1 Antitrypsin deficiency is a genetic condition that can cause chronic obstructive pulmonary disease (COPD) and liver cirrhosis. Deficient A1AT levels result in unregulated elastase activity leading to lung tissue damage and impaired liver function. Other proteins such as MMP-9 collaborate with elastase in exacerbating tissue damage illustrating how insufficient A1AT can significantly contribute to disease development.

Product protocols

For this product, it's our understanding that no specific protocols are required. You can visit:

Target data

Inhibitor of serine proteases. Its primary target is elastase, but it also has a moderate affinity for plasmin and thrombin. Irreversibly inhibits trypsin, chymotrypsin and plasminogen activator. The aberrant form inhibits insulin-induced NO synthesis in platelets, decreases coagulation time and has proteolytic activity against insulin and plasmin.. Short peptide from AAT. Reversible chymotrypsin inhibitor. It also inhibits elastase, but not trypsin. Its major physiological function is the protection of the lower respiratory tract against proteolytic destruction by human leukocyte elastase (HLE).
See full target information SERPINA1

Product promise

We are committed to supporting your work with high-quality reagents, and we're here for you every step of the way. In the unlikely event that one of our products does not perform as expected, you're protected by our Product Promise.
For full details, please see our Terms & Conditions

Please note: All products are 'FOR RESEARCH USE ONLY. NOT FOR USE IN DIAGNOSTIC OR THERAPEUTIC PROCEDURES'.

For licensing inquiries, please contact partnerships@abcam.com