JavaScript is disabled in your browser. Please enable JavaScript to view this website.
AB185067

HRP Anti-alpha Tubulin antibody [EPR13478(B)] - Loading Control

Be the first to review this product! Submit a review

|

(10 Publications)

Rabbit Recombinant Monoclonal Alpha-tubulin 4 antibody - conjugated to HRP. Suitable for IHC-P, WB and reacts with Mouse, Rat, Human samples. Cited in 10 publications.

View Alternative Names

TUBA1, TUBA4A, Tubulin alpha-4A chain, Alpha-tubulin 1, Testis-specific alpha-tubulin, Tubulin H2-alpha, Tubulin alpha-1 chain

5 Images
Immunohistochemistry (Formalin/PFA-fixed paraffin-embedded sections) - HRP Anti-alpha Tubulin antibody [EPR13478(B)] - Loading Control (AB185067)
  • IHC-P

Lab

Immunohistochemistry (Formalin/PFA-fixed paraffin-embedded sections) - HRP Anti-alpha Tubulin antibody [EPR13478(B)] - Loading Control (AB185067)

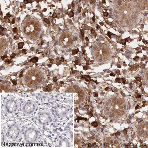
IHC image of alpha Tubulin staining in a section of formalin-fixed paraffin-embedded normal human colon*. The section was pre-treated using pressure cooker heat mediated antigen retrieval with sodium citrate buffer (pH6) for 30mins. The section was incubated with ab185067, 1μg/ml overnight at +4°C. The section was counterstained with haematoxylin and mounted with DPX.

The inset negative control image is taken from an identical assay without primary antibody.

For other IHC staining systems (automated and non-automated) customers should optimize variable parameters such as antigen retrieval conditions, primary antibody concentration and antibody incubation times.

*Tissue obtained from the Human Research Tissue Bank, supported by the NIHR Cambridge Biomedical Research Centre

Immunohistochemistry (Formalin/PFA-fixed paraffin-embedded sections) - HRP Anti-alpha Tubulin antibody [EPR13478(B)] - Loading Control (AB185067)
  • IHC-P

Lab

Immunohistochemistry (Formalin/PFA-fixed paraffin-embedded sections) - HRP Anti-alpha Tubulin antibody [EPR13478(B)] - Loading Control (AB185067)

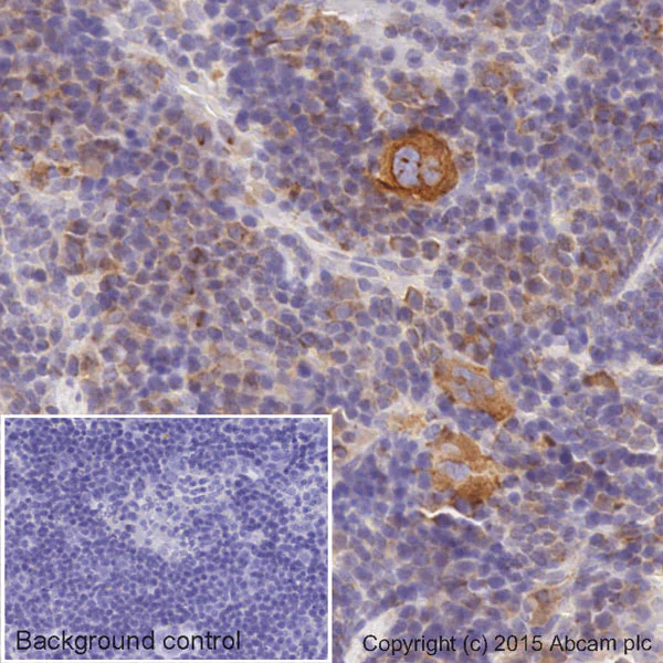
IHC image of alpha tubulin staining in a section of formalin-fixed paraffin-embedded normal human spleen*, performed on a Leica BONDTM. The section was pre-treated using heat mediated antigen retrieval with sodium citrate buffer (pH6, epitope retrieval solution 1) for 20mins. The section was then incubated with ab185067, 1/200 dilution, for 15 mins at room temperature. DAB was used as the chromogen. The section was then counterstained with haematoxylin and mounted with DPX.

The inset background control image is taken from an identical assay without primary antibody.

For other IHC staining systems (automated and non-automated) customers should optimize variable parameters such as antigen retrieval conditions, primary antibody concentration and antibody incubation times.

*Tissue obtained from the Human Research Tissue Bank, supported by the NIHR Cambridge Biomedical Research Centre

Immunohistochemistry (Formalin/PFA-fixed paraffin-embedded sections) - HRP Anti-alpha Tubulin antibody [EPR13478(B)] - Loading Control (AB185067)
  • IHC-P

Lab

Immunohistochemistry (Formalin/PFA-fixed paraffin-embedded sections) - HRP Anti-alpha Tubulin antibody [EPR13478(B)] - Loading Control (AB185067)

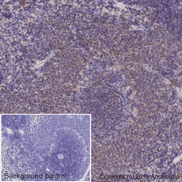
IHC image of alpha tubulin staining in a section of formalin-fixed paraffin-embedded normal mouse spleen, performed on a Leica BONDTM. The section was pre-treated using heat mediated antigen retrieval with sodium citrate buffer (pH6, epitope retrieval solution 1) for 20mins. The section was then incubated with ab185067, 1/200 dilution, for 15 mins at room temperature. DAB was used as the chromogen. The section was then counterstained with haematoxylin and mounted with DPX.

The inset background control image is taken from an identical assay without primary antibody.

For other IHC staining systems (automated and non-automated) customers should optimize variable parameters such as antigen retrieval conditions, primary antibody concentration and antibody incubation times.

Immunohistochemistry (Formalin/PFA-fixed paraffin-embedded sections) - HRP Anti-alpha Tubulin antibody [EPR13478(B)] - Loading Control (AB185067)
  • IHC-P

Lab

Immunohistochemistry (Formalin/PFA-fixed paraffin-embedded sections) - HRP Anti-alpha Tubulin antibody [EPR13478(B)] - Loading Control (AB185067)

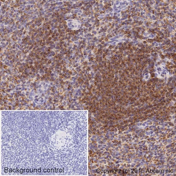
IHC image of alpha tubulin staining in a section of formalin-fixed paraffin-embedded normal rat spleen, performed on a Leica BONDTM. The section was pre-treated using heat mediated antigen retrieval with sodium citrate buffer (pH6, epitope retrieval solution 1) for 20mins. The section was then incubated with ab185067, 1/200 dilution, for 15 mins at room temperature. DAB was used as the chromogen. The section was then counterstained with haematoxylin and mounted with DPX.

The inset background control image is taken from an identical assay without primary antibody.

For other IHC staining systems (automated and non-automated) customers should optimize variable parameters such as antigen retrieval conditions, primary antibody concentration and antibody incubation times.

Western blot - HRP Anti-alpha Tubulin antibody [EPR13478(B)] - Loading Control (AB185067)
  • WB

Lab

Western blot - HRP Anti-alpha Tubulin antibody [EPR13478(B)] - Loading Control (AB185067)

This blot was produced using a 4-12% Bis-tris gel under the MOPS buffer system. The gel was run at 200V for 50 minutes before being transferred onto a Nitrocellulose membrane at 30V for 70 minutes. The membrane was then blocked for an hour using 5% Bovine Serum Albumin before being incubated with ab185067 overnight at 4°C. Antibody binding was visualised using ECL development solution ab133406

All lanes:

Western blot - HRP Anti-alpha Tubulin antibody [EPR13478(B)] - Loading Control (ab185067) at 1/5000 dilution

Lane 1:

Western blot - HeLa whole cell lysate (<a href='/en-us/products/cell-lysates/hela-whole-cell-lysate-ab150035'>ab150035</a>) at 10 µg

Lane 2:

Jurkat (Human T cell lymphoblast-like cell line) Whole Cell Lysate at 10 µg

Lane 3:

A431 (Human epithelial carcinoma cell line) Whole Cell Lysate at 10 µg

Lane 4:

K562 (Human erythromyeloblastoid leukemia cell line) Whole Cell Lysate at 10 µg

Predicted band size: 50 kDa

Observed band size: 52 kDa

true

Exposure time: 10s

  • 665 Alexa Fluor® 647

    Alexa Fluor® 647 Anti-alpha Tubulin antibody [EPR13478(B)] - Microtubule Marker

  • 578 PE

    PE Anti-alpha Tubulin antibody [EPR13478(B)] - Microtubule Marker

  • 421 Alexa Fluor® 405

    Alexa Fluor® 405 Anti-alpha Tubulin antibody [EPR13478(B)] - Microtubule Marker

  • 519 Alexa Fluor® 488

    Alexa Fluor® 488 Anti-alpha Tubulin [EPR13478(B)] - Microtubule Marker

  • 660 APC

    APC Anti-alpha Tubulin antibody [EPR13478(B)] - Microtubule Marker

  • Unconjugated

    Anti-alpha Tubulin antibody [EPR13478(B)] - Loading Control

  • Carrier free

    Anti-alpha Tubulin antibody [EPR13478(B)] - BSA and Azide free

Key facts

Host species

Rabbit

Clonality

Monoclonal

Clone number

EPR13478(B)

Isotype

IgG

Conjugation

HRP

Excitation/Emission
Carrier free

No

Reacts with

Mouse, Rat, Human

Applications

WB, IHC-P

applications

Immunogen

The exact immunogen used to generate this antibody is proprietary information.

Reactivity data

{ "title": "Reactivity Data", "filters": { "stats": ["", "Species", "Dilution Info", "Notes"], "tabs": { "all-applications": {"fullname" : "All Applications", "shortname": "All Applications"}, "IHCP" : {"fullname" : "Immunohistochemistry (Formalin/PFA-fixed paraffin-embedded sections)", "shortname":"IHC-P"}, "WB" : {"fullname" : "Western blot", "shortname":"WB"} }, "product-promise": { "all": "all", "testedAndGuaranteed": "tested", "guaranteed": "expected", "predicted": "predicted", "notRecommended": "not-recommended" } }, "values": { "Human": { "IHCP-species-checked": "testedAndGuaranteed", "IHCP-species-dilution-info": "1 µg/mL", "IHCP-species-notes": "<p><a href='/en-us/products/primary-antibodies/hrp-rabbit-igg-monoclonal-epr25a-isotype-control-ab199507'>ab199507</a> - Rabbit monoclonal IgG (HRP), is suitable for use an as isotype control with this antibody.</p>", "WB-species-checked": "testedAndGuaranteed", "WB-species-dilution-info": "1/5000", "WB-species-notes": "<p></p>" }, "Mouse": { "IHCP-species-checked": "testedAndGuaranteed", "IHCP-species-dilution-info": "1 µg/mL", "IHCP-species-notes": "<p><a href='/en-us/products/primary-antibodies/hrp-rabbit-igg-monoclonal-epr25a-isotype-control-ab199507'>ab199507</a> - Rabbit monoclonal IgG (HRP), is suitable for use an as isotype control with this antibody.</p>", "WB-species-checked": "guaranteed", "WB-species-dilution-info": "", "WB-species-notes": "" }, "Rat": { "IHCP-species-checked": "testedAndGuaranteed", "IHCP-species-dilution-info": "1 µg/mL", "IHCP-species-notes": "<p><a href='/en-us/products/primary-antibodies/hrp-rabbit-igg-monoclonal-epr25a-isotype-control-ab199507'>ab199507</a> - Rabbit monoclonal IgG (HRP), is suitable for use an as isotype control with this antibody.</p>", "WB-species-checked": "guaranteed", "WB-species-dilution-info": "", "WB-species-notes": "" }, "African green monkey": { "IHCP-species-checked": "predicted", "IHCP-species-dilution-info": "", "IHCP-species-notes": "", "WB-species-checked": "predicted", "WB-species-dilution-info": "", "WB-species-notes": "" } } }

Product details

Patented technology
Our RabMAb® technology is a patented hybridoma-based technology for making rabbit monoclonal antibodies. For details on our patents, please refer to RabMAb® patents.

What are the advantages of a recombinant monoclonal antibody?
This product is a recombinant monoclonal antibody, which offers several advantages including:

  • - High batch-to-batch consistency and reproducibility
  • - Improved sensitivity and specificity
  • - Long-term security of supply
  • - Animal-free batch production

For more information, read more on recombinant antibodies.

Properties and storage information

Form
Liquid
Purification technique
Affinity purification Protein A
Storage buffer
pH: 7.4 Preservative: 0.1% Proclin 300 Solution Constituents: PBS, 30% Glycerol (glycerin, glycerine), 1% BSA
Shipped at conditions
Blue Ice
Appropriate short-term storage duration
1-2 weeks
Appropriate short-term storage conditions
+4°C
Appropriate long-term storage conditions
-20°C
Aliquoting information
Upon delivery aliquot
Storage information
Avoid freeze / thaw cycle|Store in the dark

Supplementary information

This supplementary information is collated from multiple sources and compiled automatically.

Alpha tubulin also known as DM1A is an important component of the structural unit called microtubules. This protein weighs approximately 50 kDa and acts as a building block in the cytoskeleton. Alpha tubulin is expressed in various cell types across many organisms playing a fundamental role in maintaining cell shape and enabling intracellular transport. Researchers often acetylate alpha tubulin to study post-translational modifications and its effects on microtubule dynamics.
Biological function summary

Alpha tubulin combines with beta tubulin to form the tubulin dimer which is the basic unit of microtubule polymerization. These dimers assemble into microtubule filaments integral in numerous cellular processes. As part of the cytoskeleton network alpha tubulin facilitates roles in mitosis and meiosis providing spindle structures necessary for chromosome separation. Its participation in cell signaling pathways is noteworthy as it interacts with motor proteins like kinesins and dyneins to aid cellular activities.

Pathways

Alpha tubulin holds critical roles in microtubule-associated processes within the cytoskeleton and intracellular transport pathways. It interacts with the MAP (microtubule-associated protein) family which modulates microtubule stability and impacts cell division and trafficking. Moreover the microtubule pathway involves proteins like tau which bind to stabilize microtubules and are implicated in cellular dynamics and signaling.

Alpha tubulin is relevant in neurodegenerative diseases such as Alzheimer's disease and cancer. Aberrant modifications or mutations in alpha tubulin or associated proteins like tau can disrupt microtubule stability contributing to pathological conditions. In cancer altered expression of alpha tubulin affects cell division leading to tumor progression and chemoresistance. Researchers study alpha tubulin using techniques such as immunofluorescence with Alexa fluor 555 to understand its role in disease better.

Product protocols

For this product, it's our understanding that no specific protocols are required. You can visit:

Target data

Tubulin is the major constituent of microtubules, a cylinder consisting of laterally associated linear protofilaments composed of alpha- and beta-tubulin heterodimers. Microtubules grow by the addition of GTP-tubulin dimers to the microtubule end, where a stabilizing cap forms. Below the cap, tubulin dimers are in GDP-bound state, owing to GTPase activity of alpha-tubulin.
See full target information TUBA4A

Publications (10)

Recent publications for all applications. Explore the full list and refine your search

Scientific reports 14:15331 PubMed38961200

2024

Biparatopic anti-PCSK9 antibody enhances the LDL-uptake in HepG2 cells.

Applications

Unspecified application

Species

Unspecified reactive species

Xinyang Li,Wei Zhang,Yu Shu,Rui Huo,Chengyang Zheng,Qi Qi,Pengfei Fu,Jie Sun,Yuhuan Wang,Yan Wang,Juxu Lu,Xiangjie Zhao,Guoyou Yin,Qingqing Wang,Jun Hong

Clinical epigenetics 15:158 PubMed37798757

2023

A transgenic mice model of retinopathy of cblG-type inherited disorder of one-carbon metabolism highlights epigenome-wide alterations related to cone photoreceptor cells development and retinal metabolism.

Applications

Unspecified application

Species

Unspecified reactive species

Karim Matmat,Jean-Baptiste Conart,Paul-Henri Graindorge,Sandra El Kouche,Ziad Hassan,Youssef Siblini,Rémy Umoret,Ramia Safar,Okan Baspinar,Aurélie Robert,Jean-Marc Alberto,Abderrahim Oussalah,David Coelho,Jean-Louis Guéant,Rosa-Maria Guéant-Rodriguez

International journal of molecular sciences 24: PubMed37511533

2023

CD44 Modulates Cell Migration and Invasion in Ewing Sarcoma Cells.

Applications

Unspecified application

Species

Unspecified reactive species

Enrique Fernández-Tabanera,Laura García-García,Carlos Rodríguez-Martín,Saint T Cervera,Laura González-González,Cristina Robledo,Santiago Josa,Selene Martínez,Luis Chapado,Sara Monzón,Raquel M Melero-Fernández de Mera,Javier Alonso

Antioxidants (Basel, Switzerland) 12: PubMed37507992

2023

Interactions between Angiotensin Type-1 Antagonists, Statins, and ROCK Inhibitors in a Rat Model of L-DOPA-Induced Dyskinesia.

Applications

Unspecified application

Species

Unspecified reactive species

Andrea Lopez-Lopez,Rita Valenzuela,Ana Isabel Rodriguez-Perez,María J Guerra,Jose Luis Labandeira-Garcia,Ana Muñoz

Clinical and experimental pharmacology & physiology 50:728-737 PubMed37331719

2023

3-aminohydantoin derivate as a promising scaffold in dopaminergic neuroprotection and neurorescue in the in vivo and in vitro 6-hydroxydopamine models of Parkinson's disease.

Applications

Unspecified application

Species

Unspecified reactive species

Sahar Mani,Houda Bouchnak,Solène Pradeloux,Jamil Kraiem,Denis Soulet,Imed Messaoudi

Antioxidants (Basel, Switzerland) 11: PubMed35204211

2022

Angiotensin Type-1 Receptor Inhibition Reduces NLRP3 Inflammasome Upregulation Induced by Aging and Neurodegeneration in the of Male Rodents and Primary Mesencephalic Cultures.

Applications

Unspecified application

Species

Unspecified reactive species

Aloia Quijano,Carmen Diaz-Ruiz,Andrea Lopez-Lopez,Begoña Villar-Cheda,Ana Muñoz,Ana I Rodriguez-Perez,Jose L Labandeira-Garcia

Cancers 13: PubMed34830820

2021

The Transcription Factor , a Direct Target of in Ewing Sarcoma Cells, Regulates the Expression of Neural-Specific Genes.

Applications

Unspecified application

Species

Unspecified reactive species

Laura García-García,Enrique Fernández-Tabanera,Saint T Cervera,Raquel M Melero-Fernández de Mera,Santiago Josa,Laura González-González,Carlos Rodríguez-Martín,Thomas G P Grünewald,Javier Alonso

Life science alliance 4: PubMed34426491

2021

Elevated glucose increases genomic instability by inhibiting nucleotide excision repair.

Applications

Unspecified application

Species

Unspecified reactive species

Alexandra K Ciminera,Sarah C Shuck,John Termini

Cancer cell 37:371-386.e12 PubMed32109374

2020

Proteome Instability Is a Therapeutic Vulnerability in Mismatch Repair-Deficient Cancer.

Applications

Unspecified application

Species

Unspecified reactive species

Daniel J McGrail,Jeannine Garnett,Jun Yin,Hui Dai,David J H Shih,Truong Nguyen Anh Lam,Yang Li,Chaoyang Sun,Yongsheng Li,Rosemarie Schmandt,Ji Yuan Wu,Limei Hu,Yulong Liang,Guang Peng,Eric Jonasch,David Menter,Melinda S Yates,Scott Kopetz,Karen H Lu,Russell Broaddus,Gordon B Mills,Nidhi Sahni,Shiaw-Yih Lin

The Journal of biological chemistry 293:6363-6373 PubMed29523681

2018

Half-life-extended recombinant coagulation factor IX-albumin fusion protein is recycled via the FcRn-mediated pathway.

Applications

Unspecified application

Species

Unspecified reactive species

Jenny Chia,Jade Louber,Isabelle Glauser,Shirley Taylor,Greg T Bass,Steve K Dower,Paul A Gleeson,Anne M Verhagen
View all publications

Product promise

We are committed to supporting your work with high-quality reagents, and we're here for you every step of the way. In the unlikely event that one of our products does not perform as expected, you're protected by our Product Promise.
For full details, please see our Terms & Conditions

Please note: All products are 'FOR RESEARCH USE ONLY. NOT FOR USE IN DIAGNOSTIC OR THERAPEUTIC PROCEDURES'.

For licensing inquiries, please contact partnerships@abcam.com