JavaScript is disabled in your browser. Please enable JavaScript to view this website.
AB202685

HRP Anti-AMPK alpha 1 + AMPK alpha 2 antibody [34.2]

Be the first to review this product! Submit a review

|

(1 Publication)

Mouse Monoclonal AMPK alpha 1 antibody - conjugated to HRP. Suitable for IHC-P, WB and reacts with Human, Mouse, Rat samples. Cited in 1 publication.

View Alternative Names

AMPK1, PRKAA1, 5'-AMP-activated protein kinase catalytic subunit alpha-1, AMPK subunit alpha-1, Acetyl-CoA carboxylase kinase, Hydroxymethylglutaryl-CoA reductase kinase, Tau-protein kinase PRKAA1, ACACA kinase, HMGCR kinase, AMPK, AMPK2, PRKAA2, 5'-AMP-activated protein kinase catalytic subunit alpha-2, AMPK subunit alpha-2, Acetyl-CoA carboxylase kinase, Hydroxymethylglutaryl-CoA reductase kinase, ACACA kinase, HMGCR kinase

2 Images
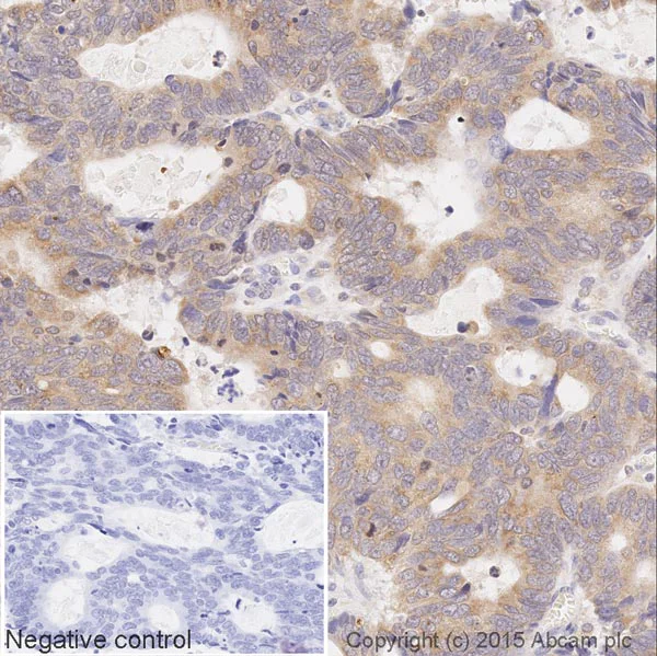
Immunohistochemistry (Formalin/PFA-fixed paraffin-embedded sections) - HRP Anti-AMPK alpha 1 + AMPK alpha 2 antibody [34.2] (AB202685)
  • IHC-P

Lab

Immunohistochemistry (Formalin/PFA-fixed paraffin-embedded sections) - HRP Anti-AMPK alpha 1 + AMPK alpha 2 antibody [34.2] (AB202685)

IHC image of AMPK alpha 1 + AMPK alpha 2 staining in a section of formalin-fixed paraffin-embedded human colon adenocarcinoma*, performed on a Leica BOND. The section was pre-treated using heat mediated antigen retrieval with sodium citrate buffer (pH6, epitope retrieval solution 1) for 20mins. The section was then incubated with ab202685, 1/100 dilution, for 15 mins at room temperature. DAB was used as the chromogen. The section was then counterstained with haematoxylin and mounted with DPX. The inset negative control image is taken from an identical assay without primary antibody.

For other IHC staining systems (automated and non-automated) customers should optimize variable parameters such as antigen retrieval conditions, primary antibody concentration and antibody incubation times.

*Tissue obtained from the Human Research Tissue Bank, supported by the NIHR Cambridge Biomedical Research Centre

Western blot - HRP Anti-AMPK alpha 1 + AMPK alpha 2 antibody [34.2] (AB202685)
  • WB

Lab

Western blot - HRP Anti-AMPK alpha 1 + AMPK alpha 2 antibody [34.2] (AB202685)

This blot was produced using a 4-12% Bis-tris gel under the MOPS buffer system. The gel was run at 200V for 50 minutes before being transferred onto a Nitrocellulose membrane at 30V for 70 minutes. The membrane was then blocked for an hour using 3% milk before being incubated with ab202685 overnight at 4°C. Antibody binding was visualised using ECL development solution ab133406.

All lanes:

Western blot - HRP Anti-AMPK alpha 1 + AMPK alpha 2 antibody [34.2] (ab202685) at 1/5000 dilution

Lane 1:

Heart (Rat) Tissue Lysate at 10 µg

Lane 2:

Brain (Mouse) Tissue Lysate at 10 µg

Lane 3:

HepG2 (Human hepatocellular liver carcinoma cell line) Whole Cell Lysate at 10 µg

Lane 4:

HEK293 (Human embryonic kidney cell line) Whole Cell Lysate at 10 µg

Predicted band size: 64 kDa

Observed band size: 62 kDa,75 kDa,90 kDa

true

Exposure time: 20min

  • Carrier free

    Anti-AMPK alpha 1 + AMPK alpha 2 antibody [34.2] - BSA and Azide free

  • Unconjugated

    Anti-AMPK alpha 1 + AMPK alpha 2 antibody [34.2]

Key facts

Host species

Mouse

Clonality

Monoclonal

Clone number

34.2

Isotype

IgG2a

Conjugation

HRP

Excitation/Emission
Carrier free

No

Reacts with

Mouse, Rat, Human

Applications

IHC-P, WB

applications

Immunogen

The exact immunogen used to generate this antibody is proprietary information.

Reactivity data

{ "title": "Reactivity Data", "filters": { "stats": ["", "Species", "Dilution Info", "Notes"], "tabs": { "all-applications": {"fullname" : "All Applications", "shortname": "All Applications"}, "IHCP" : {"fullname" : "Immunohistochemistry (Formalin/PFA-fixed paraffin-embedded sections)", "shortname":"IHC-P"}, "WB" : {"fullname" : "Western blot", "shortname":"WB"} }, "product-promise": { "all": "all", "testedAndGuaranteed": "tested", "guaranteed": "expected", "predicted": "predicted", "notRecommended": "not-recommended" } }, "values": { "Human": { "IHCP-species-checked": "testedAndGuaranteed", "IHCP-species-dilution-info": "1/100", "IHCP-species-notes": "<p></p>", "WB-species-checked": "testedAndGuaranteed", "WB-species-dilution-info": "1/5000", "WB-species-notes": "<p>Abcam recommends using 3% milk as the blocking agent.</p>" }, "Mouse": { "IHCP-species-checked": "guaranteed", "IHCP-species-dilution-info": "", "IHCP-species-notes": "", "WB-species-checked": "testedAndGuaranteed", "WB-species-dilution-info": "1/5000", "WB-species-notes": "<p>Abcam recommends using 3% milk as the blocking agent.</p>" }, "Rat": { "IHCP-species-checked": "guaranteed", "IHCP-species-dilution-info": "", "IHCP-species-notes": "", "WB-species-checked": "testedAndGuaranteed", "WB-species-dilution-info": "1/5000", "WB-species-notes": "<p>Abcam recommends using 3% milk as the blocking agent.</p>" }, "Drosophila melanogaster": { "IHCP-species-checked": "predicted", "IHCP-species-dilution-info": "", "IHCP-species-notes": "", "WB-species-checked": "predicted", "WB-species-dilution-info": "", "WB-species-notes": "" } } }

Properties and storage information

Form
Liquid
Purification technique
Affinity purification
Storage buffer
pH: 7.4 Preservative: 0.1% Proclin 300 Solution Constituents: PBS, 30% Glycerol (glycerin, glycerine), 1% BSA
Shipped at conditions
Blue Ice
Appropriate short-term storage duration
1-2 weeks
Appropriate short-term storage conditions
+4°C
Appropriate long-term storage conditions
-20°C
Aliquoting information
Upon delivery aliquot
Storage information
Avoid freeze / thaw cycle|Store in the dark

Product protocols

For this product, it's our understanding that no specific protocols are required. You can visit:

Target data

Catalytic subunit of AMP-activated protein kinase (AMPK), an energy sensor protein kinase that plays a key role in regulating cellular energy metabolism (PubMed : 17307971, PubMed : 17712357, PubMed : 24563466, PubMed : 31492851, PubMed : 37821951, PubMed : 40233740). In response to reduction of intracellular ATP levels, AMPK activates energy-producing pathways and inhibits energy-consuming processes : inhibits protein, carbohydrate and lipid biosynthesis, as well as cell growth and proliferation (PubMed : 17307971, PubMed : 17712357). AMPK acts via direct phosphorylation of metabolic enzymes, and by longer-term effects via phosphorylation of transcription regulators (PubMed : 17307971, PubMed : 17712357). Regulates lipid synthesis by phosphorylating and inactivating lipid metabolic enzymes such as ACACA, ACACB, GYS1, HMGCR and LIPE; regulates fatty acid and cholesterol synthesis by phosphorylating acetyl-CoA carboxylase (ACACA and ACACB) and hormone-sensitive lipase (LIPE) enzymes, respectively (By similarity). Promotes lipolysis of lipid droplets by mediating phosphorylation of isoform 1 of CHKA (CHKalpha2) (PubMed : 34077757). Regulates insulin-signaling and glycolysis by phosphorylating IRS1, PFKFB2 and PFKFB3 (By similarity). AMPK stimulates glucose uptake in muscle by increasing the translocation of the glucose transporter SLC2A4/GLUT4 to the plasma membrane, possibly by mediating phosphorylation of TBC1D4/AS160 (By similarity). Regulates transcription and chromatin structure by phosphorylating transcription regulators involved in energy metabolism such as CRTC2/TORC2, FOXO3, histone H2B, HDAC5, MEF2C, MLXIPL/ChREBP, EP300, HNF4A, p53/TP53, SREBF1, SREBF2 and PPARGC1A (PubMed : 11518699, PubMed : 11554766, PubMed : 15866171, PubMed : 17711846, PubMed : 18184930). Acts as a key regulator of glucose homeostasis in liver by phosphorylating CRTC2/TORC2, leading to CRTC2/TORC2 sequestration in the cytoplasm (By similarity). In response to stress, phosphorylates 'Ser-36' of histone H2B (H2BS36ph), leading to promote transcription (By similarity). Acts as a key regulator of cell growth and proliferation by phosphorylating FNIP1, TSC2, RPTOR, WDR24 and ATG1/ULK1 : in response to nutrient limitation, negatively regulates the mTORC1 complex by phosphorylating RPTOR component of the mTORC1 complex and by phosphorylating and activating TSC2 (PubMed : 14651849, PubMed : 18439900, PubMed : 20160076, PubMed : 21205641). Also phosphorylates and inhibits GATOR2 subunit WDR24 in response to nutrient limitation, leading to suppress glucose-mediated mTORC1 activation (PubMed : 36732624). In response to energetic stress, phosphorylates FNIP1, inactivating the non-canonical mTORC1 signaling, thereby promoting nuclear translocation of TFEB and TFE3, and inducing transcription of lysosomal or autophagy genes (PubMed : 37079666). In response to nutrient limitation, promotes autophagy by phosphorylating and activating ATG1/ULK1 (PubMed : 21205641). In that process, it also activates WDR45/WIPI4 (PubMed : 28561066). Phosphorylates CASP6, thereby preventing its autoprocessing and subsequent activation (PubMed : 32029622). In response to nutrient limitation, phosphorylates transcription factor FOXO3 promoting FOXO3 mitochondrial import (By similarity). Also acts as a regulator of cellular polarity by remodeling the actin cytoskeleton; probably by indirectly activating myosin (PubMed : 17486097). AMPK also acts as a regulator of circadian rhythm by mediating phosphorylation of CRY1, leading to destabilize it (By similarity). May regulate the Wnt signaling pathway by phosphorylating CTNNB1, leading to stabilize it (By similarity). Also has tau-protein kinase activity : in response to amyloid beta A4 protein (APP) exposure, activated by CAMKK2, leading to phosphorylation of MAPT/TAU; however the relevance of such data remains unclear in vivo (By similarity). Also phosphorylates CFTR, EEF2K, KLC1, NOS3 and SLC12A1 (PubMed : 12519745, PubMed : 20074060). Regulates hepatic lipogenesis. Activated via SIRT3, represses sterol regulatory element-binding protein (SREBP) transcriptional activities and ATP-consuming lipogenesis to restore cellular energy balance. Upon stress, regulates mitochondrial fragmentation through phosphorylation of MTFR1L (PubMed : 36367943). Phosphorylates ALDH7A1 in response to cellular stress, such as hypoxia or ferroptotic stress, promoting ALDH7A1 recruitment to membranes (PubMed : 31492851, PubMed : 40233740).
See full target information PRKAA1

Additional targets

PRKAA2

Publications (1)

Recent publications for all applications. Explore the full list and refine your search

The FEBS journal 290:4562-4576 PubMed37255287

2023

PTPN22 activates the PI3K pathway via 14-3-3τ in T cells.

Applications

Unspecified application

Species

Unspecified reactive species

Bin Bai,Tao Wang,Xiaonan Zhang,Xinlei Ba,Na Zhang,Yanjiao Zhao,Xipeng Wang,Yang Yu,Bing Wang
View all publications

Product promise

We are committed to supporting your work with high-quality reagents, and we're here for you every step of the way. In the unlikely event that one of our products does not perform as expected, you're protected by our Product Promise.
For full details, please see our Terms & Conditions

Please note: All products are 'FOR RESEARCH USE ONLY. NOT FOR USE IN DIAGNOSTIC OR THERAPEUTIC PROCEDURES'.

For licensing inquiries, please contact partnerships@abcam.com