JavaScript is disabled in your browser. Please enable JavaScript to view this website.
AB200798

HRP Anti-Annexin-2/ANXA2 antibody [EPR13052(B)]

Be the first to review this product! Submit a review

|

(1 Publication)

Rabbit Recombinant Monoclonal Annexin-2/ANXA2 antibody - conjugated to HRP. Suitable for IHC-P, WB and reacts with Human samples. Cited in 1 publication.

View Alternative Names

ANX2, ANX2L4, CAL1H, LPC2D, ANXA2, Annexin A2, Annexin II, Annexin-2, Calpactin I heavy chain, Calpactin-1 heavy chain, Chromobindin-8, Lipocortin II, Placental anticoagulant protein IV, Protein I, p36, PAP-IV

3 Images
Immunohistochemistry (Formalin/PFA-fixed paraffin-embedded sections) - HRP Anti-Annexin-2/ANXA2 antibody [EPR13052(B)] (AB200798)
  • IHC-P

Lab

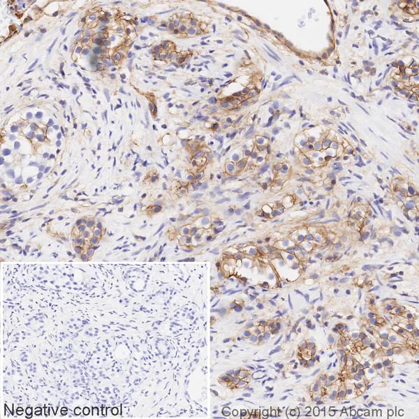
Immunohistochemistry (Formalin/PFA-fixed paraffin-embedded sections) - HRP Anti-Annexin-2/ANXA2 antibody [EPR13052(B)] (AB200798)

IHC image of Annexin-2/ANXA2 staining in a section of formalin-fixed paraffin-embedded human prostate tissue (normal)*, performed on a Leica BOND. The section was pre-treated using heat mediated antigen retrieval with sodium citrate buffer (pH6, epitope retrieval solution

  1. for 20mins. The section was then incubated with ab200798, 1/100 dilution, for 15 mins at room temperature. DAB was used as the chromogen. The section was then counterstained with haematoxylin and mounted with DPX. The inset negative control image is taken from an identical assay without primary antibody.

For other IHC staining systems (automated and non-automated) customers should optimize variable parameters such as antigen retrieval conditions, primary antibody concentration and antibody incubation times.

*Tissue obtained from the Human Research Tissue Bank, supported by the NIHR Cambridge Biomedical Research Centre

Western blot - HRP Anti-Annexin-2/ANXA2 antibody [EPR13052(B)] (AB200798)
  • WB

Lab

Western blot - HRP Anti-Annexin-2/ANXA2 antibody [EPR13052(B)] (AB200798)

This blot was produced using a 4-12% Bis-tris gel under the MOPS buffer system. The gel was run at 200V for 50 minutes before being transferred onto a Nitrocellulose membrane at 30V for 70 minutes. The membrane was then blocked for an hour using 3% milk before being incubated with ab200798 overnight at 4°C. Antibody binding was visualised using ECL development solution ab133406.

All lanes:

Western blot - HRP Anti-Annexin-2/ANXA2 antibody [EPR13052(B)] (ab200798) at 1/5000 dilution

Lane 1:

SKBR3 (Human adenocarcinoma cell line) Whole Cell Lysate at 10 µg

Lane 2:

K562 (Human erythromyeloblastoid leukemia cell line) Whole Cell Lysate at 10 µg

Predicted band size: 38 kDa

Observed band size: 37 kDa

true

Exposure time: 4min

Western blot - HRP Anti-Annexin-2/ANXA2 antibody [EPR13052(B)] (AB200798)
  • WB

Lab

Western blot - HRP Anti-Annexin-2/ANXA2 antibody [EPR13052(B)] (AB200798)

This blot was produced using a 4-12% Bis-tris gel under the MOPS buffer system. The gel was run at 200V for 50 minutes before being transferred onto a Nitrocellulose membrane at 30V for 70 minutes. The membrane was then blocked for an hour using 3% milk before being incubated with ab200798 overnight at 4°C. Antibody binding was visualised using ECL development solution ab133406.

All lanes:

Western blot - HRP Anti-Annexin-2/ANXA2 antibody [EPR13052(B)] (ab200798) at 1/5000 dilution

All lanes:

HeLa (Human epithelial carcinoma cell line) Whole Cell Lysate at 10 µg

Predicted band size: 38 kDa

Observed band size: 37 kDa

true

Exposure time: 20s

  • 578 PE

    PE Anti-Annexin-2/ANXA2 antibody [EPR13052(B)]

  • 617 Alexa Fluor® 594

    Alexa Fluor® 594 Anti-Annexin-2/ANXA2 antibody [EPR13052(B)]

  • 519 Alexa Fluor® 488

    Alexa Fluor® 488 Anti-Annexin-2/ANXA2 antibody [EPR13052(B)]

  • 665 Alexa Fluor® 647

    Alexa Fluor® 647 Anti-Annexin-2/ANXA2 antibody [EPR13052(B)]

  • Unconjugated

    Anti-Annexin-2/ANXA2 antibody [EPR13052(B)]

  • Carrier free

    Anti-Annexin-2/ANXA2 antibody [EPR13052(B)] - BSA and Azide free

Key facts

Host species

Rabbit

Clonality

Monoclonal

Clone number

EPR13052(B)

Isotype

IgG

Conjugation

HRP

Excitation/Emission
Carrier free

No

Reacts with

Human

Applications

IHC-P, WB

applications

Immunogen

The exact immunogen used to generate this antibody is proprietary information.

Reactivity data

{ "title": "Reactivity Data", "filters": { "stats": ["", "Species", "Dilution Info", "Notes"], "tabs": { "all-applications": {"fullname" : "All Applications", "shortname": "All Applications"}, "IHCP" : {"fullname" : "Immunohistochemistry (Formalin/PFA-fixed paraffin-embedded sections)", "shortname":"IHC-P"}, "WB" : {"fullname" : "Western blot", "shortname":"WB"} }, "product-promise": { "all": "all", "testedAndGuaranteed": "tested", "guaranteed": "expected", "predicted": "predicted", "notRecommended": "not-recommended" } }, "values": { "Human": { "IHCP-species-checked": "testedAndGuaranteed", "IHCP-species-dilution-info": "1/100", "IHCP-species-notes": "<p></p>", "WB-species-checked": "testedAndGuaranteed", "WB-species-dilution-info": "1/5000", "WB-species-notes": "<p></p>" }, "Mouse": { "IHCP-species-checked": "predicted", "IHCP-species-dilution-info": "", "IHCP-species-notes": "", "WB-species-checked": "predicted", "WB-species-dilution-info": "", "WB-species-notes": "" }, "Rat": { "IHCP-species-checked": "predicted", "IHCP-species-dilution-info": "", "IHCP-species-notes": "", "WB-species-checked": "predicted", "WB-species-dilution-info": "", "WB-species-notes": "" } } }

Product details

Patented technology
Our RabMAb® technology is a patented hybridoma-based technology for making rabbit monoclonal antibodies. For details on our patents, please refer to RabMAb® patents.

What are the advantages of a recombinant monoclonal antibody?
This product is a recombinant monoclonal antibody, which offers several advantages including:

  • - High batch-to-batch consistency and reproducibility
  • - Improved sensitivity and specificity
  • - Long-term security of supply
  • - Animal-free batch production

For more information, read more on recombinant antibodies.

Properties and storage information

Form
Liquid
Purification technique
Affinity purification Protein A
Storage buffer
pH: 7.4 Preservative: 0.1% Proclin 300 Solution Constituents: PBS, 30% Glycerol (glycerin, glycerine), 1% BSA
Shipped at conditions
Blue Ice
Appropriate short-term storage duration
1-2 weeks
Appropriate short-term storage conditions
+4°C
Appropriate long-term storage conditions
-20°C
Aliquoting information
Upon delivery aliquot
Storage information
Stable for 12 months at -20°C|Store in the dark

Supplementary information

This supplementary information is collated from multiple sources and compiled automatically.

Annexin-2 also known as ANXA2 is a multifunctional protein of approximately 36 kDa. It belongs to the annexin family and is known for its strong calcium-dependent interactions with phospholipid membranes. Commonly expressed in endothelial cells it also appears in various tissues including epithelial cells and certain types of cancer cells. ANXA2 forms a heterotetramer complex with S100A10 also known as p11 which modulates its availability and function. Other names for ANXA2 include its gene designation M298 and its role in complexes often goes by ANXA2R.
Biological function summary

Annexin-2 acts beyond mere cellular structural support. It plays a part in fibrinolysis by acting as a co-receptor for plasminogen and tissue plasminogen activator promoting plasmin generation. The protein is also implicated in membrane trafficking signal transduction and organization of microdomains on cellular surfaces. As part of a complex with S100A10 ANXA2 can bind to cytoskeletal elements facilitating vesicle trafficking and influencing cell shape and motility. This complex assembly hints at ANXA2's importance in maintaining cellular dynamism and interplay with external signals.

Pathways

ANXA2 is integral in the regulation of the plasminogen activation pathway important for fibrinolytic activity. It also participates in the signal transduction pathways influencing cellular responses to stress and growth factors. ANXA2 interacts with various proteins like Src kinase and is involved in processes like the EGFR signaling pathway. This protein often crosstalks with the cytoskeletal network enabling the coupling of membrane dynamics with intracellular signaling cascades.

Annexin-2's dysregulation associates with conditions such as cancer and thrombosis. In cancer overexpression of ANXA2 links with tumor progression invasion and metastasis acting synergistically with proteins like Src to promote oncogenic pathways. In thrombosis ANXA2’s role in fibrinolysis becomes impaired contributing to excessive clot formation. Studies also indicate interactions with plasminogen-related proteins as being central to understanding its pathological roles in these diseases.

Product protocols

For this product, it's our understanding that no specific protocols are required. You can visit:

Target data

Calcium-regulated membrane-binding protein whose affinity for calcium is greatly enhanced by anionic phospholipids. It binds two calcium ions with high affinity. May be involved in heat-stress response. Inhibits PCSK9-enhanced LDLR degradation, probably reduces PCSK9 protein levels via a translational mechanism but also competes with LDLR for binding with PCSK9 (PubMed : 18799458, PubMed : 22848640, PubMed : 24808179).. (Microbial infection) Binds M.pneumoniae CARDS toxin, probably serves as one receptor for this pathogen. When ANXA2 is down-regulated by siRNA, less toxin binds to human cells and less vacuolization (a symptom of M.pneumoniae infection) is seen.
See full target information ANXA2

Publications (1)

Recent publications for all applications. Explore the full list and refine your search

Cancer cell international 20:193 PubMed32508529

2020

MicroRNA-19b-3p suppresses gastric cancer development by negatively regulating neuropilin-1.

Applications

Unspecified application

Species

Unspecified reactive species

Yingfeng Wei,Sheng Guo,Jianhua Tang,Jianjun Wen,Huifen Wang,Xiaobo Hu,Qiuping Gu
View all publications

Product promise

We are committed to supporting your work with high-quality reagents, and we're here for you every step of the way. In the unlikely event that one of our products does not perform as expected, you're protected by our Product Promise.
For full details, please see our Terms & Conditions

Please note: All products are 'FOR RESEARCH USE ONLY. NOT FOR USE IN DIAGNOSTIC OR THERAPEUTIC PROCEDURES'.

For licensing inquiries, please contact partnerships@abcam.com