JavaScript is disabled in your browser. Please enable JavaScript to view this website.
AB195855

HRP Anti-Apolipoprotein E antibody [EP1374Y]

Be the first to review this product! Submit a review

|

(0 Publication)

Rabbit Recombinant Monoclonal Apolipoprotein E antibody - conjugated to HRP. Suitable for IHC-P, WB and reacts with Human samples.

View Alternative Names

Apolipoprotein E, Apo-E, APOE

3 Images
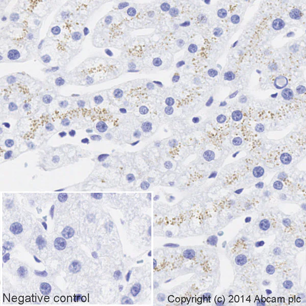
Immunohistochemistry (Formalin/PFA-fixed paraffin-embedded sections) - HRP Anti-Apolipoprotein E antibody [EP1374Y] (AB195855)
  • IHC-P

Lab

Immunohistochemistry (Formalin/PFA-fixed paraffin-embedded sections) - HRP Anti-Apolipoprotein E antibody [EP1374Y] (AB195855)

IHC image of Apolipoprotein E staining in a section of formalin-fixed paraffin-embedded normal human lung*, performed on a Leica BOND. The section was pre-treated using heat mediated antigen retrieval with sodium citrate buffer (pH6, epitope retrieval solution 1) for 20mins. The section was then incubated with ab195855, 1/50 dilution, for 15 mins at room temperature. DAB was used as the chromogen. The section was then counterstained with haematoxylin and mounted with DPX. The inset negative control image is taken from an identical assay without primary antibody.

For other IHC staining systems (automated and non-automated) customers should optimize variable parameters such as antigen retrieval conditions, primary antibody concentration and antibody incubation times.

*Tissue obtained from the Human Research Tissue Bank, supported by the NIHR Cambridge Biomedical Research Centre

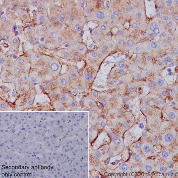
Immunohistochemistry (Formalin/PFA-fixed paraffin-embedded sections) - HRP Anti-Apolipoprotein E antibody [EP1374Y] (AB195855)
  • IHC-P

Lab

Immunohistochemistry (Formalin/PFA-fixed paraffin-embedded sections) - HRP Anti-Apolipoprotein E antibody [EP1374Y] (AB195855)

IHC image of Apolipoprotein E staining in a section of formalin-fixed paraffin-embedded normal human liver*, performed on a Leica BOND. The section was pre-treated using heat mediated antigen retrieval with sodium citrate buffer (pH6, epitope retrieval solution 1) for 20mins. The section was then incubated with ab195855, 1/71.4285714285714 dilution, for 15 mins at room temperature. DAB was used as the chromogen. The section was then counterstained with haematoxylin and mounted with DPX. The inset negative control image is taken from an identical assay without primary antibody.

For other IHC staining systems (automated and non-automated) customers should optimize variable parameters such as antigen retrieval conditions, primary antibody concentration and antibody incubation times.

*Tissue obtained from the Human Research Tissue Bank, supported by the NIHR Cambridge Biomedical Research Centre

Western blot - HRP Anti-Apolipoprotein E antibody [EP1374Y] (AB195855)
  • WB

Lab

Western blot - HRP Anti-Apolipoprotein E antibody [EP1374Y] (AB195855)

This blot was produced using a 4-12% Bis-tris gel under the MOPS buffer system. The gel was run at 200V for 50 minutes before being transferred onto a Nitrocellulose membrane at 30V for 70 minutes. The membrane was then blocked for an hour using 2% Bovine Serum Albumin before being incubated with ab195855 overnight at 4°C. Antibody binding was visualised using ECL development solution ab133406.

All lanes:

Western blot - HRP Anti-Apolipoprotein E antibody [EP1374Y] (ab195855) at 1/5000 dilution

All lanes:

Human Plasma Total Protein Lysate at 10 µg

Predicted band size: 36 kDa

Observed band size: 36 kDa

true

Exposure time: 4s

  • Unconjugated

    Anti-Apolipoprotein E antibody [EP1374Y]

  • Carrier free

    Anti-Apolipoprotein E antibody [EP1374Y] - BSA and Azide free

  • 519 Alexa Fluor® 488

    Alexa Fluor® 488 Anti-Apolipoprotein E antibody [EP1374Y]

  • 665 Alexa Fluor® 647

    Alexa Fluor® 647 Anti-Apolipoprotein E antibody [EP1374Y]

Key facts

Host species

Rabbit

Clonality

Monoclonal

Clone number

EP1374Y

Isotype

IgG

Conjugation

HRP

Excitation/Emission
Carrier free

No

Reacts with

Human

Applications

WB, IHC-P

applications

Immunogen

The exact immunogen used to generate this antibody is proprietary information.

Reactivity data

{ "title": "Reactivity Data", "filters": { "stats": ["", "Species", "Dilution Info", "Notes"], "tabs": { "all-applications": {"fullname" : "All Applications", "shortname": "All Applications"}, "IHCP" : {"fullname" : "Immunohistochemistry (Formalin/PFA-fixed paraffin-embedded sections)", "shortname":"IHC-P"}, "WB" : {"fullname" : "Western blot", "shortname":"WB"} }, "product-promise": { "all": "all", "testedAndGuaranteed": "tested", "guaranteed": "expected", "predicted": "predicted", "notRecommended": "not-recommended" } }, "values": { "Human": { "IHCP-species-checked": "testedAndGuaranteed", "IHCP-species-dilution-info": "1/50 - 1/100", "IHCP-species-notes": "<p></p> Perform heat-mediated antigen retrieval with citrate buffer pH 6 before commencing with IHC staining protocol.", "WB-species-checked": "testedAndGuaranteed", "WB-species-dilution-info": "1/5000", "WB-species-notes": "<p></p>" } } }

Product details

Patented technology
Our RabMAb® technology is a patented hybridoma-based technology for making rabbit monoclonal antibodies. For details on our patents, please refer to RabMAb® patents.

Properties and storage information

Form
Liquid
Purification technique
Affinity purification Protein A
Storage buffer
pH: 7.4 Preservative: 0.1% Proclin 300 Solution Constituents: PBS, 30% Glycerol (glycerin, glycerine), 1% BSA
Shipped at conditions
Blue Ice
Appropriate short-term storage duration
1-2 weeks
Appropriate short-term storage conditions
+4°C
Appropriate long-term storage conditions
-20°C
Aliquoting information
Upon delivery aliquot
Storage information
Avoid freeze / thaw cycle|Store in the dark

Supplementary information

This supplementary information is collated from multiple sources and compiled automatically.

Apolipoprotein E (ApoE) also known as apolipoprotein e or apoE is a major protein involved in lipid metabolism. It has an approximate molecular weight of 34 kDa. This protein is mainly produced in the liver and brain where it plays a critical role in transporting lipoproteins fat-soluble vitamins and cholesterol. ApoE exists in three common isoforms: ApoE2 ApoE3 and ApoE4 each having different impacts on lipid binding and metabolic processes. Scientists often use an ApoE ELISA kit to quantify this protein in various samples providing insights into its expression in health and disease.
Biological function summary

ApoE mediates the binding internalization and catabolism of these lipoprotein particles facilitating their interaction with specific cell-surface receptors such as the LDL receptor. This protein operates as part of a complex that includes various other apolipoproteins and lipid molecules. The study of mouse apoe using tools like a mouse apoe ELISA provides valuable data due to its similar physiological functions in lipid transport and metabolism.

Pathways

In the lipid metabolism pathway ApoE interacts with proteins such as the LDL receptor influencing the clearance of chylomicron remnants and VLDL from the bloodstream. In the cardiovascular disease pathway this protein impacts cholesterol levels and promotes plaques stabilization. ApoE's role in these pathways offers insights into its interaction with related proteins like apolipoprotein B and LDL receptor which are critical for maintaining lipid equilibrium.

In Alzheimer’s disease ApoE4 isoform has a higher risk factor compared to ApoE3 and ApoE2 contributing to amyloid plaque formation through interactions with amyloid precursor protein. In cardiovascular diseases ApoE abnormalities influence atherosclerosis development with ApoE-deficient models showing increased susceptibility. ApoE's links to these diseases also connect it to other key proteins such as presenilin-1 in Alzheimer's disease and apolipoprotein B in cardiovascular disorders highlighting its extensive biological impact.

Product protocols

For this product, it's our understanding that no specific protocols are required. You can visit:

Target data

APOE is an apolipoprotein, a protein associating with lipid particles, that mainly functions in lipoprotein-mediated lipid transport between organs via the plasma and interstitial fluids (PubMed : 14754908, PubMed : 1911868, PubMed : 6860692). APOE is a core component of plasma lipoproteins and is involved in their production, conversion and clearance (PubMed : 14754908, PubMed : 1911868, PubMed : 1917954, PubMed : 23620513, PubMed : 2762297, PubMed : 6860692, PubMed : 9395455). Apolipoproteins are amphipathic molecules that interact both with lipids of the lipoprotein particle core and the aqueous environment of the plasma (PubMed : 2762297, PubMed : 6860692, PubMed : 9395455). As such, APOE associates with chylomicrons, chylomicron remnants, very low density lipoproteins (VLDL) and intermediate density lipoproteins (IDL) but shows a preferential binding to high-density lipoproteins (HDL) (PubMed : 1911868, PubMed : 6860692). It also binds a wide range of cellular receptors including the LDL receptor/LDLR, the LDL receptor-related proteins LRP1, LRP2 and LRP8 and the very low-density lipoprotein receptor/VLDLR that mediate the cellular uptake of the APOE-containing lipoprotein particles (PubMed : 12950167, PubMed : 1530612, PubMed : 1917954, PubMed : 20030366, PubMed : 20303980, PubMed : 2063194, PubMed : 2762297, PubMed : 7635945, PubMed : 7768901, PubMed : 8756331, PubMed : 8939961). Finally, APOE has also a heparin-binding activity and binds heparan-sulfate proteoglycans on the surface of cells, a property that supports the capture and the receptor-mediated uptake of APOE-containing lipoproteins by cells (PubMed : 23676495, PubMed : 7635945, PubMed : 9395455, PubMed : 9488694). A main function of APOE is to mediate lipoprotein clearance through the uptake of chylomicrons, VLDLs, and HDLs by hepatocytes (PubMed : 1911868, PubMed : 1917954, PubMed : 23676495, PubMed : 29516132, PubMed : 9395455). APOE is also involved in the biosynthesis by the liver of VLDLs as well as their uptake by peripheral tissues ensuring the delivery of triglycerides and energy storage in muscle, heart and adipose tissues (PubMed : 2762297, PubMed : 29516132). By participating in the lipoprotein-mediated distribution of lipids among tissues, APOE plays a critical role in plasma and tissues lipid homeostasis (PubMed : 1917954, PubMed : 2762297, PubMed : 29516132). APOE is also involved in two steps of reverse cholesterol transport, the HDLs-mediated transport of cholesterol from peripheral tissues to the liver, and thereby plays an important role in cholesterol homeostasis (PubMed : 14754908, PubMed : 23620513, PubMed : 9395455). First, it is functionally associated with ABCA1 in the biogenesis of HDLs in tissues (PubMed : 14754908, PubMed : 23620513). Second, it is enriched in circulating HDLs and mediates their uptake by hepatocytes (PubMed : 9395455). APOE also plays an important role in lipid transport in the central nervous system, regulating neuron survival and sprouting (PubMed : 25173806, PubMed : 8939961). APOE is also involved in innate and adaptive immune responses, controlling for instance the survival of myeloid-derived suppressor cells (By similarity). Binds to the immune cell receptor LILRB4 (PubMed : 30333625). APOE may also play a role in transcription regulation through a receptor-dependent and cholesterol-independent mechanism, that activates MAP3K12 and a non-canonical MAPK signal transduction pathway that results in enhanced AP-1-mediated transcription of APP (PubMed : 28111074).. (Microbial infection) Through its interaction with HCV envelope glycoprotein E2, participates in the attachment of HCV to HSPGs and other receptors (LDLr, VLDLr, and SR-B1) on the cell surface and to the assembly, maturation and infectivity of HCV viral particles (PubMed : 25122793, PubMed : 29695434). This interaction is probably promoted via the up-regulation of cellular autophagy by the virus (PubMed : 29695434).
See full target information APOE

Product promise

We are committed to supporting your work with high-quality reagents, and we're here for you every step of the way. In the unlikely event that one of our products does not perform as expected, you're protected by our Product Promise.
For full details, please see our Terms & Conditions

Please note: All products are 'FOR RESEARCH USE ONLY. NOT FOR USE IN DIAGNOSTIC OR THERAPEUTIC PROCEDURES'.

For licensing inquiries, please contact partnerships@abcam.com