JavaScript is disabled in your browser. Please enable JavaScript to view this website.
AB325038

HRP Anti-Aquaporin 2 antibody [EPR21080]

Be the first to review this product! Submit a review

|

(0 Publication)

Rabbit Recombinant Monoclonal Aquaporin 2 antibody - conjugated to HRP. Suitable for IHC-P and reacts with Human, Mouse, Rat samples.

View Alternative Names

Aquaporin-2, AQP-2, ADH water channel, Aquaporin-CD, Collecting duct water channel protein, WCH-CD, Water channel protein for renal collecting duct, AQP-CD, AQP2

4 Images
Immunohistochemistry (Formalin/PFA-fixed paraffin-embedded sections) - HRP Anti-Aquaporin 2 antibody [EPR21080] (AB325038)
  • IHC-P

Supplier Data

Immunohistochemistry (Formalin/PFA-fixed paraffin-embedded sections) - HRP Anti-Aquaporin 2 antibody [EPR21080] (AB325038)

Immunohistochemical analysis of paraffin-embedded Human skeletal muscle tissue labeling Aquaporin 2 with ab325038 at 1/100 (5.0 ug/ml) dilution.

Negative control : no staining on human skeletal muscle.
The section was incubated with ab325038 for 30 mins at room temperature.
The immunostaining was performed on a Leica Biosystems BOND® RX instrument

Counterstained with Hematoxylin.

Heat mediated antigen retrieval was performed with Tris-EDTA buffer (pH 9.0, Epitope Retrieval Solution2) for 20 mins

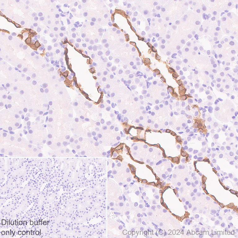
Immunohistochemistry (Formalin/PFA-fixed paraffin-embedded sections) - HRP Anti-Aquaporin 2 antibody [EPR21080] (AB325038)
  • IHC-P

Supplier Data

Immunohistochemistry (Formalin/PFA-fixed paraffin-embedded sections) - HRP Anti-Aquaporin 2 antibody [EPR21080] (AB325038)

Immunohistochemical analysis of paraffin-embedded Human kidney tissue labeling Aquaporin 2 with ab325038 at 1/100 (5.0 ug/ml) dilution.

Cytoplasmic staining on luminal surface of collecting duct in human kidney.
The section was incubated with ab325038 for 30 mins at room temperature.
The immunostaining was performed on a Leica Biosystems BOND® RX instrument

Counterstained with Hematoxylin.

Heat mediated antigen retrieval was performed with Tris-EDTA buffer (pH 9.0, Epitope Retrieval Solution2) for 20 mins

Immunohistochemistry (Formalin/PFA-fixed paraffin-embedded sections) - HRP Anti-Aquaporin 2 antibody [EPR21080] (AB325038)
  • IHC-P

Supplier Data

Immunohistochemistry (Formalin/PFA-fixed paraffin-embedded sections) - HRP Anti-Aquaporin 2 antibody [EPR21080] (AB325038)

Immunohistochemical analysis of paraffin-embedded Rat kidney tissue labeling Aquaporin 2 with ab325038 at 1/100 (5.0 ug/ml) dilution.

Cytoplasmic staining on luminal surface of collecting duct in rat kidney.
The section was incubated with ab325038 for 30 mins at room temperature.
The immunostaining was performed on a Leica Biosystems BOND® RX instrument

Counterstained with Hematoxylin.

Heat mediated antigen retrieval was performed with Tris-EDTA buffer (pH 9.0, Epitope Retrieval Solution2) for 20 mins

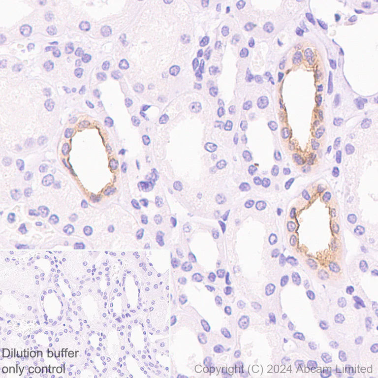
Immunohistochemistry (Formalin/PFA-fixed paraffin-embedded sections) - HRP Anti-Aquaporin 2 antibody [EPR21080] (AB325038)
  • IHC-P

Supplier Data

Immunohistochemistry (Formalin/PFA-fixed paraffin-embedded sections) - HRP Anti-Aquaporin 2 antibody [EPR21080] (AB325038)

Immunohistochemical analysis of paraffin-embedded Mouse kidney tissue labeling Aquaporin 2 with ab325038 at 1/100 (5.0 ug/ml) dilution.

Cytoplasmic staining on luminal surface of collecting duct in mouse kidney.
The section was incubated with ab325038 for 30 mins at room temperature.
The immunostaining was performed on a Leica Biosystems BOND® RX instrument

Counterstained with Hematoxylin.

Heat mediated antigen retrieval was performed with Tris-EDTA buffer (pH 9.0, Epitope Retrieval Solution2) for 20 mins

Key facts

Host species

Rabbit

Clonality

Monoclonal

Clone number

EPR21080

Isotype

IgG

Conjugation

HRP

Excitation/Emission
Carrier free

No

Reacts with

Human, Mouse, Rat

Applications

IHC-P

applications

Immunogen

The exact immunogen used to generate this antibody is proprietary information.

Reactivity data

{ "title": "Reactivity Data", "filters": { "stats": ["", "Species", "Dilution Info", "Notes"], "tabs": { "all-applications": {"fullname" : "All Applications", "shortname": "All Applications"}, "IHCP" : {"fullname" : "Immunohistochemistry (Formalin/PFA-fixed paraffin-embedded sections)", "shortname":"IHC-P"}, "WB" : {"fullname" : "Western blot", "shortname":"WB"} }, "product-promise": { "all": "all", "testedAndGuaranteed": "tested", "guaranteed": "expected", "predicted": "predicted", "notRecommended": "not-recommended" } }, "values": { "Human": { "IHCP-species-checked": "testedAndGuaranteed", "IHCP-species-dilution-info": "1/100", "IHCP-species-notes": "<p></p> Perform heat-mediated antigen retrieval with Tris/EDTA buffer pH 9.0 before commencing with IHC staining protocol.", "WB-species-checked": "notRecommended", "WB-species-dilution-info": "", "WB-species-notes": "<p></p>" }, "Mouse": { "IHCP-species-checked": "testedAndGuaranteed", "IHCP-species-dilution-info": "1/100", "IHCP-species-notes": "<p></p> Perform heat-mediated antigen retrieval with Tris/EDTA buffer pH 9.0 before commencing with IHC staining protocol.", "WB-species-checked": "notRecommended", "WB-species-dilution-info": "", "WB-species-notes": "<p></p>" }, "Rat": { "IHCP-species-checked": "testedAndGuaranteed", "IHCP-species-dilution-info": "1/100", "IHCP-species-notes": "<p></p> Perform heat-mediated antigen retrieval with Tris/EDTA buffer pH 9.0 before commencing with IHC staining protocol.", "WB-species-checked": "notRecommended", "WB-species-dilution-info": "", "WB-species-notes": "<p></p>" } } }

Product details

Patented technology
Our RabMAb® technology is a patented hybridoma-based technology for making rabbit monoclonal antibodies. For details on our patents, please refer to RabMAb® patents.

What are the advantages of a recombinant monoclonal antibody?
This product is a recombinant monoclonal antibody, which offers several advantages including:

  • - High batch-to-batch consistency and reproducibility
  • - Improved sensitivity and specificity
  • - Long-term security of supply
  • - Animal-free batch production

For more information, read more on recombinant antibodies.

Properties and storage information

Form
Liquid
Purification technique
Affinity purification Protein A
Storage buffer
pH: 7.4 Preservative: 0.1% Proclin 300 Solution Constituents: 68% PBS, 30% Glycerol (glycerin, glycerine), 1% BSA
Shipped at conditions
Blue Ice
Appropriate short-term storage duration
1-2 weeks
Appropriate short-term storage conditions
+4°C
Appropriate long-term storage conditions
-20°C
Aliquoting information
Upon delivery aliquot
Storage information
Avoid freeze / thaw cycle|Store in the dark

Supplementary information

This supplementary information is collated from multiple sources and compiled automatically.

Aquaporin 2 often referred to as AQP2 or aquaporin-2 channels is a water channel protein facilitating water transport across cell membranes. This protein belongs to the larger family of aquaporins which includes variants such as aquaporine often referred to interchangeably. Aquaporin 2 is a glycosylated integral membrane protein with an estimated mass of about 29 kDa. It expresses mainly in the kidney specifically in the collecting duct cells where it plays a pivotal role in water reabsorption.
Biological function summary

Aquaporin 2 serves a critical function in maintaining body water balance homeostasis. AQP2 responds to vasopressin a hormone that triggers its translocation to the apical membrane of collecting duct cells enabling water permeability. It is not part of a broader protein complex but operates independently within the cell membrane. This activity regulates urine concentration contributing to the maintenance of body fluids under variable hydration conditions.

Pathways

Aquaporin 2 contributes prominently to the vasopressin-regulated water reabsorption pathway and relates to the renal water reabsorption pathway. These pathways are important for interpreting how water homeostasis is managed by the body. Proteins such as the vasopressin receptor (also known as AVPR2) interact directly with AQP2 enabling its regulation and function. The interaction with cAMP signaling pathways facilitates the relocation of aquaporin 2 to its active site on the cell membrane ensuring efficient water reabsorption.

Mutations or dysregulation in aquaporin 2 can cause conditions like nephrogenic diabetes insipidus characterized by an inability to concentrate urine leading to excessive urination and thirst. Another disorder associated with AQP2 is syndrome of inappropriate antidiuretic hormone secretion (SIADH). These conditions highlight the importance of aquaporin 2 in fluid homeostasis and they connect it to regulatory proteins such as vasopressin itself emphasizing the interconnected nature of cellular proteins in disease mechanisms.

Product protocols

For this product, it's our understanding that no specific protocols are required. You can visit:

Target data

Forms a water-specific channel that provides the plasma membranes of renal collecting duct with high permeability to water, thereby permitting water to move in the direction of an osmotic gradient (PubMed : 15509592, PubMed : 7510718, PubMed : 7524315, PubMed : 8140421, PubMed : 8584435). Plays an essential role in renal water homeostasis (PubMed : 15509592, PubMed : 7524315, PubMed : 8140421). Could also be permeable to glycerol (PubMed : 8584435).
See full target information AQP2

Product promise

We are committed to supporting your work with high-quality reagents, and we're here for you every step of the way. In the unlikely event that one of our products does not perform as expected, you're protected by our Product Promise.
For full details, please see our Terms & Conditions

Please note: All products are 'FOR RESEARCH USE ONLY. NOT FOR USE IN DIAGNOSTIC OR THERAPEUTIC PROCEDURES'.

For licensing inquiries, please contact partnerships@abcam.com