JavaScript is disabled in your browser. Please enable JavaScript to view this website.
AB323727

HRP Anti-Asialoglycoprotein Receptor 1/HL-1 antibody [EPR22642-17]

Be the first to review this product! Submit a review

|

(0 Publication)

Rabbit Recombinant Monoclonal Asialoglycoprotein Receptor 1/HL-1 antibody - conjugated to HRP. Suitable for WB, IHC-P and reacts with Human, Mouse samples.

View Alternative Names

CLEC4H1, ASGR1, Asialoglycoprotein receptor 1, ASGP-R 1, ASGPR 1, C-type lectin domain family 4 member H1, Hepatic lectin H1, HL-1

4 Images
Immunohistochemistry (Formalin/PFA-fixed paraffin-embedded sections) - HRP Anti-Asialoglycoprotein Receptor 1/HL-1 antibody [EPR22642-17] (AB323727)
  • IHC-P

Supplier Data

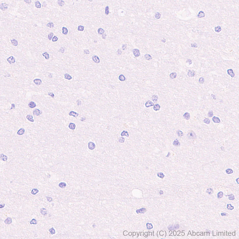
Immunohistochemistry (Formalin/PFA-fixed paraffin-embedded sections) - HRP Anti-Asialoglycoprotein Receptor 1/HL-1 antibody [EPR22642-17] (AB323727)

Immunohistochemical analysis of paraffin-embedded Human cerebrum tissue labeling Asialoglycoprotein Receptor 1/HL-1 with ab323727 at 1/100 (5.0 ug/ml) dilution.

Negative control : no staining on human cerebrum.
The section was incubated with ab323727 for 30 mins at room temperature.
The immunostaining was performed on a Leica Biosystems BOND® RX instrument

Counterstained with Hematoxylin.

Heat mediated antigen retrieval was performed with Tris-EDTA buffer (pH 9.0, Epitope Retrieval Solution2) for 20 mins

Immunohistochemistry (Formalin/PFA-fixed paraffin-embedded sections) - HRP Anti-Asialoglycoprotein Receptor 1/HL-1 antibody [EPR22642-17] (AB323727)
  • IHC-P

Supplier Data

Immunohistochemistry (Formalin/PFA-fixed paraffin-embedded sections) - HRP Anti-Asialoglycoprotein Receptor 1/HL-1 antibody [EPR22642-17] (AB323727)

Immunohistochemical analysis of paraffin-embedded Human liver cancer tissue labeling Asialoglycoprotein Receptor 1/HL-1 with ab323727 at 1/100 (5.0 ug/ml) dilution.

Positive staining on human liver cancer.
The section was incubated with ab323727 for 30 mins at room temperature.
The immunostaining was performed on a Leica Biosystems BOND® RX instrument

Counterstained with Hematoxylin.

Heat mediated antigen retrieval was performed with Tris-EDTA buffer (pH 9.0, Epitope Retrieval Solution2) for 20 mins

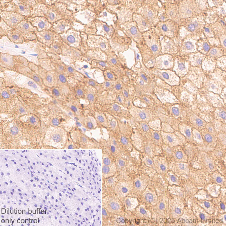
Immunohistochemistry (Formalin/PFA-fixed paraffin-embedded sections) - HRP Anti-Asialoglycoprotein Receptor 1/HL-1 antibody [EPR22642-17] (AB323727)
  • IHC-P

Supplier Data

Immunohistochemistry (Formalin/PFA-fixed paraffin-embedded sections) - HRP Anti-Asialoglycoprotein Receptor 1/HL-1 antibody [EPR22642-17] (AB323727)

Immunohistochemical analysis of paraffin-embedded Human liver tissue labeling Asialoglycoprotein Receptor 1/HL-1 with ab323727 at 1/100 (5.0 ug/ml) dilution.

Positive staining on human liver.
The section was incubated with ab323727 for 30 mins at room temperature.
The immunostaining was performed on a Leica Biosystems BOND® RX instrument

Counterstained with Hematoxylin.

Heat mediated antigen retrieval was performed with Tris-EDTA buffer (pH 9.0, Epitope Retrieval Solution2) for 20 mins

Western blot - HRP Anti-Asialoglycoprotein Receptor 1/HL-1 antibody [EPR22642-17] (AB323727)
  • WB

Supplier Data

Western blot - HRP Anti-Asialoglycoprotein Receptor 1/HL-1 antibody [EPR22642-17] (AB323727)

Blocking and diluting buffer and concentration : 5% NFDM/TBST.

Negative control : brain.

The diffuse bands between 40-50 kDa are likely due to glycosylation (PMID : 30965276).

The expression profile is consistent with what has been described in the literature (PMID : 27241665, 29858079).

In Western blot, Anti-GAPDH antibody [EPR16891] - Loading Control (ab181602) staining at 1/200000 dilution.

All lanes:

Western blot - HRP Anti-Asialoglycoprotein Receptor 1/HL-1 antibody [EPR22642-17] (ab323727) at 1/1000 dilution

Lane 1:

HepG2 (human hepatocellar carcinoma epithelial cell) whole cell lysate at 20 µg

Lane 2:

Mouse liver tissue lysate at 20 µg

Lane 3:

Mouse brain tissue lysate at 20 µg

Observed band size: 40-50 kDa,36 kDa

false

Exposure time: 3s

  • 519 Alexa Fluor® 488

    Alexa Fluor® 488 Anti-Asialoglycoprotein Receptor 1/HL-1 antibody [EPR22642-17]

  • 665 Alexa Fluor® 647

    Alexa Fluor® 647 Anti-Asialoglycoprotein Receptor 1/HL-1 antibody [EPR22642-17]

  • 578 PE

    PE Anti-Asialoglycoprotein Receptor 1/HL-1 antibody [EPR22642-17]

  • Unconjugated

    Anti-Asialoglycoprotein Receptor 1/HL-1 antibody [EPR22642-17]

  • Carrier free

    Anti-Asialoglycoprotein Receptor 1/HL-1 antibody [EPR22642-17] - BSA and Azide free

Key facts

Host species

Rabbit

Clonality

Monoclonal

Clone number

EPR22642-17

Isotype

IgG

Conjugation

HRP

Excitation/Emission
Carrier free

No

Reacts with

Human, Mouse

Applications

WB, IHC-P

applications

Immunogen

The exact immunogen used to generate this antibody is proprietary information.

Reactivity data

{ "title": "Reactivity Data", "filters": { "stats": ["", "Species", "Dilution Info", "Notes"], "tabs": { "all-applications": {"fullname" : "All Applications", "shortname": "All Applications"}, "WB" : {"fullname" : "Western blot", "shortname":"WB"}, "IHCP" : {"fullname" : "Immunohistochemistry (Formalin/PFA-fixed paraffin-embedded sections)", "shortname":"IHC-P"} }, "product-promise": { "all": "all", "testedAndGuaranteed": "tested", "guaranteed": "expected", "predicted": "predicted", "notRecommended": "not-recommended" } }, "values": { "Human": { "WB-species-checked": "testedAndGuaranteed", "WB-species-dilution-info": "1/1000", "WB-species-notes": "<p></p>", "IHCP-species-checked": "testedAndGuaranteed", "IHCP-species-dilution-info": "1/100", "IHCP-species-notes": "<p></p> Perform heat-mediated antigen retrieval with Tris/EDTA buffer pH 9.0 before commencing with IHC staining protocol." }, "Mouse": { "WB-species-checked": "testedAndGuaranteed", "WB-species-dilution-info": "1/1000", "WB-species-notes": "<p></p>", "IHCP-species-checked": "guaranteed", "IHCP-species-dilution-info": "", "IHCP-species-notes": "" } } }

Product details

Patented technology
Our RabMAb® technology is a patented hybridoma-based technology for making rabbit monoclonal antibodies. For details on our patents, please refer to RabMAb® patents.

What are the advantages of a recombinant monoclonal antibody?
This product is a recombinant monoclonal antibody, which offers several advantages including:

  • - High batch-to-batch consistency and reproducibility
  • - Improved sensitivity and specificity
  • - Long-term security of supply
  • - Animal-free batch production

For more information, read more on recombinant antibodies.

Properties and storage information

Form
Liquid
Purification technique
Affinity purification Protein A
Storage buffer
pH: 7.4 Preservative: 0.1% Proclin 300 Solution Constituents: PBS, 30% Glycerol (glycerin, glycerine), 1% BSA
Shipped at conditions
Blue Ice
Appropriate short-term storage duration
1-2 weeks
Appropriate short-term storage conditions
+4°C
Appropriate long-term storage conditions
-20°C
Aliquoting information
Upon delivery aliquot
Storage information
Avoid freeze / thaw cycle|Store in the dark

Supplementary information

This supplementary information is collated from multiple sources and compiled automatically.

The Asialoglycoprotein Receptor 1 (ASGR1) also known as ASGPR 1 or asialoglycoprotein receptor is a well-known protein with a critical role in the mechanism of recognizing and binding to asialoglycoproteins. It has a molecular mass of approximately 46 kDa. ASGR1 is expressed mostly in liver cells specifically hepatocytes. The unique characteristic of this receptor is its lectin-like nature which allows it to bind to specific sugar moieties present on desialylated glycoproteins. Through receptor-mediated endocytosis it facilitates their removal from the bloodstream.
Biological function summary

The function of ASGR1 extends significantly. It operates as part of the asialoglycoprotein receptor complex interfacing directly with the ligand proteins to mediate endocytosis. This process is essential in most mammalian systems for maintaining serum glycoprotein homeostasis. By clearing desialylated glycoproteins from circulation ASGR1 helps prevent potential adverse effects these molecules might cause like immune activation or interference with other biological functions.

Pathways

ASGR1 is integral to glycoprotein clearance pathways. It actively participates in the hepatic clearance pathway ensuring the regulation of serum glycoprotein levels. The removal of asialoglycoproteins involves interactions with several other hepatic proteins such as GalNAc transferase which can further facilitate the remodeling of glycoconjugates. Understanding these interactions is key for comprehending how the liver maintains overall metabolic balance.

ASGR1 is linked to certain liver-related conditions. Dysfunction or aberrant expression of the ASGR1 receptor can relate to elevated levels of serum glycoproteins which might be observed in liver cirrhosis. Elevated glycoproteins can exacerbate the progression of liver diseases. Furthermore ASGR1 protein interaction with viral glycoproteins has implications in hepatitis infections where it may inadvertently facilitate viral entry into hepatocytes affecting liver function and contributing to disease pathology.

Product protocols

For this product, it's our understanding that no specific protocols are required. You can visit:

Target data

Mediates the endocytosis of plasma glycoproteins to which the terminal sialic acid residue on their complex carbohydrate moieties has been removed. The receptor recognizes terminal galactose and N-acetylgalactosamine units. After ligand binding to the receptor, the resulting complex is internalized and transported to a sorting organelle, where receptor and ligand are disassociated. The receptor then returns to the cell membrane surface.
See full target information ASGR1

Product promise

We are committed to supporting your work with high-quality reagents, and we're here for you every step of the way. In the unlikely event that one of our products does not perform as expected, you're protected by our Product Promise.
For full details, please see our Terms & Conditions

Please note: All products are 'FOR RESEARCH USE ONLY. NOT FOR USE IN DIAGNOSTIC OR THERAPEUTIC PROCEDURES'.

For licensing inquiries, please contact partnerships@abcam.com