JavaScript is disabled in your browser. Please enable JavaScript to view this website.
AB209018

HRP Anti-ASS1 antibody [EPR12398]

Be the first to review this product! Submit a review

|

(0 Publication)

Rabbit Recombinant Monoclonal ASS1 antibody - conjugated to HRP. Suitable for IHC-P, WB and reacts with Human samples.

View Alternative Names

ASS, ASS1, Argininosuccinate synthase, Citrulline--aspartate ligase

2 Images
Western blot - HRP Anti-ASS1 antibody [EPR12398] (AB209018)
  • WB

Unknown

Western blot - HRP Anti-ASS1 antibody [EPR12398] (AB209018)

Blocking buffer : 2% BSA

Gel type : MOPS

All lanes:

Western blot - HRP Anti-ASS1 antibody [EPR12398] (ab209018) at 1/5000 dilution

All lanes:

Human liver lysate at 10 µg

Predicted band size: 47 kDa

Observed band size: 44 kDa

false

Exposure time: 10s

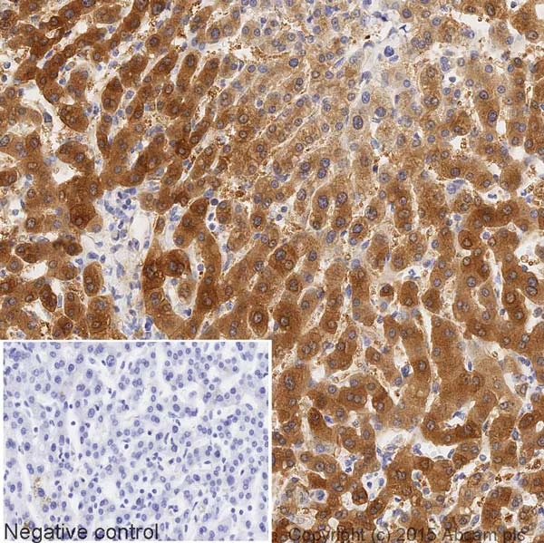
Immunohistochemistry (Formalin/PFA-fixed paraffin-embedded sections) - HRP Anti-ASS1 antibody [EPR12398] (AB209018)
  • IHC-P

Lab

Immunohistochemistry (Formalin/PFA-fixed paraffin-embedded sections) - HRP Anti-ASS1 antibody [EPR12398] (AB209018)

IHC image of ASS1 staining in a section of formalin-fixed paraffin-embedded normal human liver tissue*, performed on a Leica BONDTM. The section was pre-treated using heat mediated antigen retrieval with sodium citrate buffer (pH6, epitope retrieval solution 1) for 20mins. The section was then incubated with ab209018, 1/50 dilution, for 15 mins at room temperature. DAB was used as the chromogen. The section was then counterstained with haematoxylin and mounted with DPX. The inset negative control image is taken from an identical assay without primary antibody.

For other IHC staining systems (automated and non-automated) customers should optimize variable parameters such as antigen retrieval conditions, primary antibody concentration and antibody incubation times.

*Tissue obtained from the Human Research Tissue Bank, supported by the NIHR Cambridge Biomedical Research Centre

Key facts

Host species

Rabbit

Clonality

Monoclonal

Clone number

EPR12398

Isotype

IgG

Conjugation

HRP

Excitation/Emission
Carrier free

No

Reacts with

Human

Applications

IHC-P, WB

applications

Immunogen

The exact immunogen used to generate this antibody is proprietary information.

Reactivity data

{ "title": "Reactivity Data", "filters": { "stats": ["", "Species", "Dilution Info", "Notes"], "tabs": { "all-applications": {"fullname" : "All Applications", "shortname": "All Applications"}, "IHCP" : {"fullname" : "Immunohistochemistry (Formalin/PFA-fixed paraffin-embedded sections)", "shortname":"IHC-P"}, "WB" : {"fullname" : "Western blot", "shortname":"WB"} }, "product-promise": { "all": "all", "testedAndGuaranteed": "tested", "guaranteed": "expected", "predicted": "predicted", "notRecommended": "not-recommended" } }, "values": { "Human": { "IHCP-species-checked": "testedAndGuaranteed", "IHCP-species-dilution-info": "1/50", "IHCP-species-notes": "<p></p>", "WB-species-checked": "testedAndGuaranteed", "WB-species-dilution-info": "1/5000", "WB-species-notes": "<p></p>" }, "Mouse": { "IHCP-species-checked": "predicted", "IHCP-species-dilution-info": "", "IHCP-species-notes": "", "WB-species-checked": "predicted", "WB-species-dilution-info": "", "WB-species-notes": "" }, "Rat": { "IHCP-species-checked": "predicted", "IHCP-species-dilution-info": "", "IHCP-species-notes": "", "WB-species-checked": "predicted", "WB-species-dilution-info": "", "WB-species-notes": "" } } }

You may be interested in:

AB83362

Urea Assay Kit

5

3 Reviews

View product

We recommend this product because it’s often used in the same experiment or related research.

We advise that you always check the datasheet to ensure it fits your experiments, or contact ourtechnical teamfor help.

Product details

Patented technology
Our RabMAb® technology is a patented hybridoma-based technology for making rabbit monoclonal antibodies. For details on our patents, please refer to RabMAb® patents.

What are the advantages of a recombinant monoclonal antibody?
This product is a recombinant monoclonal antibody, which offers several advantages including:

  • - High batch-to-batch consistency and reproducibility
  • - Improved sensitivity and specificity
  • - Long-term security of supply
  • - Animal-free batch production

For more information, read more on recombinant antibodies.

Properties and storage information

Form
Liquid
Purification technique
Affinity purification Protein A
Storage buffer
pH: 7.4 Preservative: 0.1% Proclin 300 Solution Constituents: PBS, 30% Glycerol (glycerin, glycerine), 1% BSA
Shipped at conditions
Blue Ice
Appropriate short-term storage duration
1-2 weeks
Appropriate short-term storage conditions
+4°C
Appropriate long-term storage conditions
-20°C
Aliquoting information
Upon delivery aliquot
Storage information
Avoid freeze / thaw cycle|Store in the dark

Supplementary information

This supplementary information is collated from multiple sources and compiled automatically.

ASS1 or argininosuccinate synthase 1 is an enzyme that plays an important role in the urea cycle. It catalyzes the conversion of citrulline and aspartate into argininosuccinate using ATP in the process. The ASS1 protein is commonly expressed in the liver where it actively participates in the detoxification of ammonia. It has a molecular mass of approximately 46 kDa. Some alternate names for this protein include ASS and ASS-1.
Biological function summary

Argininosuccinate synthase 1 contributes significantly to the synthesis of arginine an essential amino acid through its conversion activities. The enzyme operates as a homotrimer a complex consisting of three identical subunits. This enzymatic activity is indispensable in maintaining the balance of nitrogen and ammonia within the body particularly important for liver and kidney functions.

Pathways

ASS1 is a critical component of both the urea cycle and the nitric oxide metabolism pathway. The urea cycle helps in detoxifying ammonia by converting it into urea which is excreted in urine. In nitric oxide metabolism ASS1 links with nitric oxide synthase to facilitate the use of arginine in producing nitric oxide a vital signaling molecule. The pathway engagement partners include proteins like citrin which supplies aspartate for the reaction.

ASS1 has implications in citrullinemia and hepatocellular carcinoma. Citrullinemia results from mutations in the ASS1 gene leading to defective urea cycle function and ammonia accumulation. In cancer particularly hepatocellular carcinoma low expression of ASS1 correlates with poor prognosis as cancer cells often exhibit arginine auxotrophy. Connections through these conditions involve interactions with enzymes such as arginase which also influences arginine availability.

Product protocols

For this product, it's our understanding that no specific protocols are required. You can visit:

Target data

One of the enzymes of the urea cycle, the metabolic pathway transforming neurotoxic amonia produced by protein catabolism into inocuous urea in the liver of ureotelic animals. Catalyzes the formation of arginosuccinate from aspartate, citrulline and ATP and together with ASL it is responsible for the biosynthesis of arginine in most body tissues.
See full target information ASS1

Product promise

We are committed to supporting your work with high-quality reagents, and we're here for you every step of the way. In the unlikely event that one of our products does not perform as expected, you're protected by our Product Promise.
For full details, please see our Terms & Conditions

Associated Products

Select an associated product type
Alternative Product
Primary Antibodies

AB124465

Anti-ASS1 antibody [2B10]

primary-antibodies

ass1-antibody-2b10-ab124465

0

(0 reviews)

Alternative Product
Primary Antibodies

AB170900

Anti-ASS1 antibody [EPR12399(B)] - C-terminal

primary-antibodies

ass1-antibody-epr12399b-c-terminal-ab170900

0

(0 reviews)

Alternative Product
Primary Antibodies

AB77590

Anti-ASS1 antibody

primary-antibodies

ass1-antibody-ab77590

0

(0 reviews)

Alternative Product
Primary Antibodies

AB191165

Anti-ASS1 antibody

primary-antibodies

ass1-antibody-ab191165

0

(0 reviews)

Alternative Version
Primary Antibodies

AB208412

Alexa Fluor® 488 Anti-ASS1 antibody [EPR12398]

primary-antibodies

alexa-fluor-488-ass1-antibody-epr12398-ab208412

0

(0 reviews)

Alternative Version
Primary Antibodies

AB210451

PE Anti-ASS1 antibody [EPR12398]

primary-antibodies

pe-ass1-antibody-epr12398-ab210451

4

(1 reviews)

Alternative Version
Primary Antibodies

AB231684

Anti-ASS1 antibody [EPR12398] - BSA and Azide free

primary-antibodies

ass1-antibody-epr12398-bsa-and-azide-free-ab231684

5

(1 reviews)

Please note: All products are 'FOR RESEARCH USE ONLY. NOT FOR USE IN DIAGNOSTIC OR THERAPEUTIC PROCEDURES'.

For licensing inquiries, please contact partnerships@abcam.com