JavaScript is disabled in your browser. Please enable JavaScript to view this website.
AB209039

HRP Anti-Bcl-2 antibody [EPR17509]

  • BOND RX™ Validated
  • RabMAb
  • Recombinant
  • KO Validated
  • What is this?

Be the first to review this product! Submit a review

|

(3 Publications)

Rabbit Recombinant Monoclonal Bcl-2 antibody - conjugated to HRP. Suitable for WB, IHC-P and reacts with Mouse, Human samples. Cited in 3 publications.

View Alternative Names

Apoptosis regulator Bcl-2, BCL2

3 Images
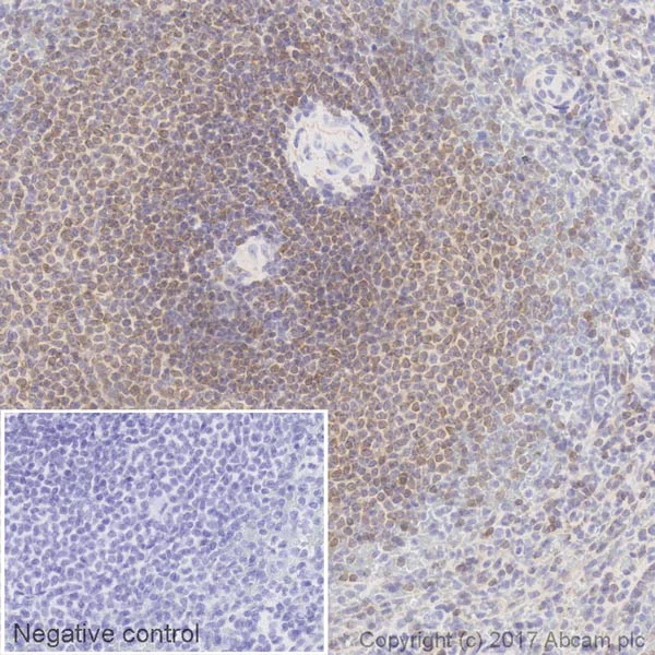
Immunohistochemistry (Formalin/PFA-fixed paraffin-embedded sections) - HRP Anti-Bcl-2 antibody [EPR17509] (AB209039)
  • IHC-P

Lab

Immunohistochemistry (Formalin/PFA-fixed paraffin-embedded sections) - HRP Anti-Bcl-2 antibody [EPR17509] (AB209039)

IHC image of Bcl-2 staining in a section of formalin-fixed paraffin-embedded normal human spleen*, performed on a Leica BOND™. The section was pre-treated using heat mediated antigen retrieval with Tris/EDTA buffer (pH9, epitope retrieval solution 2) for 20mins. The section was then incubated with ab209039, 1/250 dilution, for 15 mins at room temperature. DAB was used as the chromogen. The section was then counterstained with haematoxylin and mounted with DPX. The inset negative control image is taken from an identical assay without primary antibody.

For other IHC staining systems (automated and non-automated) customers should optimize variable parameters such as antigen retrieval conditions, primary antibody concentration and antibody incubation times.

*Tissue obtained from the Human Research Tissue Bank, supported by the NIHR Cambridge Biomedical Research Centre

Western blot - HRP Anti-Bcl-2 antibody [EPR17509] (AB209039)
  • WB

Lab

Western blot - HRP Anti-Bcl-2 antibody [EPR17509] (AB209039)

This blot was produced using a 4-12% Bis-tris gel under the MES buffer system. The gel was run at 200V for 35 minutes before being transferred onto a Nitrocellulose membrane at 30V for 70 minutes. The membrane was then blocked for an hour using 3% milk before being incubated with ab209039 overnight at 4°C. Antibody binding was visualised using ECL development solution ab133406.

All lanes:

Western blot - HRP Anti-Bcl-2 antibody [EPR17509] (ab209039) at 1/5000 dilution

Lane 1:

THP1 (Human acute monocytic leukemia cell line) Whole Cell Lysate at 10 µg

Lane 2:

Tonsil (Human) Tissue Lysate - adult normal tissue at 10 µg

Lane 3:

Thymus (Human) Tissue Lysate - adult normal tissue at 10 µg

Lane 4:

Spleen (Mouse) Tissue Lysate at 10 µg

Predicted band size: 26 kDa

Observed band size: 26 kDa

true

Exposure time: 8min

Western blot - HRP Anti-Bcl-2 antibody [EPR17509] (AB209039)
  • WB

Lab

Western blot - HRP Anti-Bcl-2 antibody [EPR17509] (AB209039)

ab209039 was shown to specifically react with Bcl-2 in wild-type HAP1 cells as signal was lost in BCL2 knockout cells. Wile-type and BCL2 knockout samples were subjected to SDS-PAGE. ab209039 was incubated overnight at 4°C at 1/5000 dilution. Blots were developed with ECL technique.

All lanes:

Western blot - HRP Anti-Bcl-2 antibody [EPR17509] (ab209039) at 1/5000 dilution

Lane 1:

Wild-type HAP1 whole cell lysate at 20 µg

Lane 2:

BCL2 knockout HAP1 whole cell lysate at 20 µg

Predicted band size: 26 kDa

true

Exposure time: 20min

  • Unconjugated

    Anti-Bcl-2 antibody [EPR17509]

  • Carrier free

    Anti-Bcl-2 antibody [EPR17509] - BSA and Azide free (Detector)

  • Carrier free

    Anti-Bcl-2 antibody [EPR17509] - BSA and Azide free

Key facts

Host species

Rabbit

Clonality

Monoclonal

Clone number

EPR17509

Isotype

IgG

Conjugation

HRP

Excitation/Emission
Carrier free

No

Reacts with

Mouse, Human, Human, Mouse

Applications

WB, IHC-P

applications

Immunogen

The exact immunogen used to generate this antibody is proprietary information.

Specificity

From Jan 2026, QC testing of replenishment batches of this primary conjugate changed. All tested and expected application and reactive species combinations are still covered by our Abcam product promise. However, the replenishment lots are subjected to bioanalytical testing only. For more information on a specific batch, please contact our Scientific Support who will be happy to help.

Reactivity data

{ "title": "Reactivity Data", "filters": { "stats": ["", "Species", "Dilution Info", "Notes"], "tabs": { "all-applications": {"fullname" : "All Applications", "shortname": "All Applications"}, "WB" : {"fullname" : "Western blot", "shortname":"WB"}, "IHCP" : {"fullname" : "Immunohistochemistry (Formalin/PFA-fixed paraffin-embedded sections)", "shortname":"IHC-P"} }, "product-promise": { "all": "all", "testedAndGuaranteed": "tested", "guaranteed": "expected", "predicted": "predicted", "notRecommended": "not-recommended" } }, "values": { "Human": { "WB-species-checked": "testedAndGuaranteed", "WB-species-dilution-info": "1/5000", "WB-species-notes": "<p></p>", "IHCP-species-checked": "testedAndGuaranteed", "IHCP-species-dilution-info": "1/250", "IHCP-species-notes": "<p></p>" }, "Mouse": { "WB-species-checked": "testedAndGuaranteed", "WB-species-dilution-info": "1/5000", "WB-species-notes": "<p></p>", "IHCP-species-checked": "guaranteed", "IHCP-species-dilution-info": "", "IHCP-species-notes": "" } } }

Product details

Patented technology
Our RabMAb® technology is a patented hybridoma-based technology for making rabbit monoclonal antibodies. For details on our patents, please refer to RabMAb® patents.

Properties and storage information

Form
Liquid
Purification technique
Affinity purification Protein A
Storage buffer
pH: 7.4 Preservative: 0.1% Proclin 300 Solution Constituents: PBS, 30% Glycerol (glycerin, glycerine), 1% BSA
Shipped at conditions
Blue Ice
Appropriate short-term storage duration
1-2 weeks
Appropriate short-term storage conditions
+4°C
Appropriate long-term storage conditions
-20°C
Aliquoting information
Upon delivery aliquot
Storage information
Avoid freeze / thaw cycle|Store in the dark

Supplementary information

This supplementary information is collated from multiple sources and compiled automatically.

Bcl-2 also known as B-cell lymphoma 2 is an important protein involved in the regulation of apoptosis. It mechanically functions by inhibiting cell death and is a member of the Bcl-2 family of proteins. Bcl-2 has a molecular weight of approximately 26 kDa. It is expressed mainly in fetal and adult tissues including the immune system and is notably present in hematopoietic stem cells and various cell lines derived from lymphoid tissues. In laboratory practices scientists often assess Bcl-2 expression levels through techniques like western blotting using antibodies such as 10c4 for detection.
Biological function summary

The role of Bcl-2 extends to maintaining cell survival and balancing apoptotic signals. It functions as an anti-apoptotic molecule within the cell primarily involved in forming complexes with pro-apoptotic members of the Bcl-2 family like Bax and Bak. These interactions prevent mitochondrial membrane permeabilization which is an important step in apoptotic signal transduction. As an important regulator of apoptosis Bcl-2 helps in cellular homeostasis and appropriate immune responses under physiological conditions.

Pathways

Bcl-2 plays a critical role in the intrinsic or mitochondrial pathway of apoptosis. Within this pathway Bcl-2 interacts with other proteins such as cytochrome c and APAF-1 to inhibit apoptosis. This pathway involves a network of Bcl-2 family proteins where Bcl-2's anti-apoptotic role counteracts the pro-apoptotic activity of proteins like Bax. These interactions help fine-tune the apoptotic response to various internal stimuli maintaining cellular integrity and function.

The dysregulation of Bcl-2 expression has been implicated in cancer and autoimmune diseases. Overexpression of Bcl-2 is associated with several types of cancer including lymphomas and breast cancer where its anti-apoptotic property leads to tumor cell survival and resistance to chemotherapy. Bcl-2 also connects to disorders such as autoimmune diseases due to its regulation of cell survival with proteins like Bim playing an opposite role in promoting apoptosis. Understanding Bcl-2's functionality within these contexts is essential for developing targeted therapies.

Product protocols

For this product, it's our understanding that no specific protocols are required. You can visit:

Target data

Suppresses apoptosis in a variety of cell systems including factor-dependent lymphohematopoietic and neural cells (PubMed : 1508712, PubMed : 8183370). Regulates cell death by controlling the mitochondrial membrane permeability (PubMed : 11368354). Appears to function in a feedback loop system with caspases (PubMed : 11368354). Inhibits caspase activity either by preventing the release of cytochrome c from the mitochondria and/or by binding to the apoptosis-activating factor (APAF-1) (PubMed : 11368354). Also acts as an inhibitor of autophagy : interacts with BECN1 and AMBRA1 during non-starvation conditions and inhibits their autophagy function (PubMed : 18570871, PubMed : 20889974, PubMed : 21358617). May attenuate inflammation by impairing NLRP1-inflammasome activation, hence CASP1 activation and IL1B release (PubMed : 17418785).
See full target information BCL2

Publications (3)

Recent publications for all applications. Explore the full list and refine your search

Frontiers in pharmacology 15:1466208 PubMed39717556

2024

Synergistic combinations of for myocardial infarction treatment: network pharmacology and quadratic optimization approach.

Applications

Unspecified application

Species

Unspecified reactive species

Wen-Di Wang,Xin-Yi Fan,Xiao-Qi Wei,Wang-Jing Chai,Fang-He Li,Kuo Gao,Bin Liu,Shu-Zhen Guo

Molecular medicine reports 23: PubMed33300072

2020

miR‑654‑3p suppresses cell viability and promotes apoptosis by targeting RASAL2 in non‑small‑cell lung cancer.

Applications

Unspecified application

Species

Unspecified reactive species

Jie Xiong,Shigang Xing,Zheng Dong,Lei Niu,Qinghua Xu,Yusheng Li,Pingyi Liu,Peixia Yang

The journal of histochemistry and cytochemistry : 67:309-334 PubMed30879407

2019

Synthetic Antigen Gels as Practical Controls for Standardized and Quantitative Immunohistochemistry.

Applications

Unspecified application

Species

Unspecified reactive species

Kathy J Hötzel,Charles A Havnar,Hai V Ngu,Sandra Rost,Scot D Liu,Linda K Rangell,Franklin V Peale
View all publications

Product promise

We are committed to supporting your work with high-quality reagents, and we're here for you every step of the way. In the unlikely event that one of our products does not perform as expected, you're protected by our Product Promise.
For full details, please see our Terms & Conditions

Please note: All products are 'FOR RESEARCH USE ONLY. NOT FOR USE IN DIAGNOSTIC OR THERAPEUTIC PROCEDURES'.

For licensing inquiries, please contact partnerships@abcam.com