JavaScript is disabled in your browser. Please enable JavaScript to view this website.
AB20272

HRP Anti-beta Actin antibody [mAbcam 8226] - Loading Control

5

(17 Reviews)

|

(377 Publications)

Anti-beta Actin antibody [mAbcam 8226] - Loading Control - HRP conjugated (ab20272) is a mouse monoclonal antibody detecting beta Actin in Western Blot. Suitable for Human, Mouse, Rat.

- Over 290 publications
- Trusted since 2005

View Alternative Names

Beta-actin, ACTB

3 Images
Western blot - HRP Anti-beta Actin antibody [mAbcam 8226] - Loading Control (AB20272)
  • WB

Unknown

Western blot - HRP Anti-beta Actin antibody [mAbcam 8226] - Loading Control (AB20272)

All lanes:

Western blot - HRP Anti-beta Actin antibody [mAbcam 8226] - Loading Control (ab20272) at 1/5000 dilution

Lane 1:

human testis lysate at 20 µg

Lane 2:

human brain lysate at 20 µg

Lane 3:

human tonsil lysate at 20 µg

Lane 4:

mouse brain lysate at 20 µg

Lane 5:

mouse spleen lysate at 20 µg

Predicted band size: 41 kDa

true

Exposure time: 2min

Western blot - HRP Anti-beta Actin antibody [mAbcam 8226] - Loading Control (AB20272)
  • WB

Project

Western blot - HRP Anti-beta Actin antibody [mAbcam 8226] - Loading Control (AB20272)

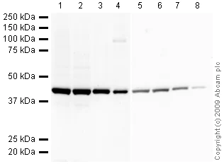
The membrane 1-4 was blocked in 5% BSA (1 hour). The membrane 5-8 was blocked in 5% MILK (1 hour). Abcam routinely uses 5% BSA to block, however following recent customer feedback our labs investigated the effect of 5% milk blocking. We can now confirm that milk is not a suitable blocking agent for this antibody and significantly decreases the signal on the membrane.

All lanes:

Western blot - HRP Anti-beta Actin antibody [mAbcam 8226] - Loading Control (ab20272) at 1/5000 dilution

Lanes 1 and 5:

HeLa (Human epithelial carcinoma cell line) Whole Cell Lysate at 10 µg

Lanes 2 and 6:

Jurkat (Human T cell lymphoblast-like cell line) Whole Cell Lysate at 10 µg

Lanes 3 and 7:

Western blot - NIH/3T3 whole cell lysate (<a href='/en-us/products/cell-lysates/nih-3t3-whole-cell-lysate-ab7179'>ab7179</a>) at 10 µg

Lanes 4 and 8:

PC12 (Rat adrenal pheochromocytoma cell line) Whole Cell Lysate at 10 µg

Predicted band size: 41 kDa

Observed band size: 42 kDa

true

Exposure time: 1min

Western blot - HRP Anti-beta Actin antibody [mAbcam 8226] - Loading Control (AB20272)
  • WB

Project

Western blot - HRP Anti-beta Actin antibody [mAbcam 8226] - Loading Control (AB20272)

All lanes:

Western blot - HRP Anti-beta Actin antibody [mAbcam 8226] - Loading Control (ab20272) at 1/5000 dilution

Lane 1:

HeLa whole cell lysate at 20 µg

Lane 2:

3T3 whole cell lysate at 20 µg

Lane 3:

Rat brain lysate at 20 µg

Predicted band size: 41 kDa

Observed band size: 42 kDa

true

Exposure time: 30s

  • 805 Alexa Fluor® 790

    Alexa Fluor® 790 Anti-beta Actin antibody [mAbcam 8226] - Loading Control

  • 702 Alexa Fluor® 680

    Alexa Fluor® 680 Anti-beta Actin antibody [mAbcam 8226] - Loading Control

  • Unconjugated

    Anti-beta Actin antibody [mAbcam 8226] - Loading Control

  • Carrier free

    Anti-beta Actin antibody [mAbcam 8226] - BSA and Azide free

Key facts

Host species

Mouse

Clonality

Monoclonal

Clone number

mAbcam 8226

Isotype

IgG1

Light chain type

kappa

Conjugation

HRP

Excitation/Emission
Carrier free

No

Reacts with

Mouse, Rat, Human

Applications

WB

applications

Immunogen

The exact immunogen used to generate this antibody is proprietary information.

Reactivity data

{ "title": "Reactivity Data", "filters": { "stats": ["", "Species", "Dilution Info", "Notes"], "tabs": { "all-applications": {"fullname" : "All Applications", "shortname": "All Applications"}, "WB" : {"fullname" : "Western blot", "shortname":"WB"} }, "product-promise": { "all": "all", "testedAndGuaranteed": "tested", "guaranteed": "expected", "predicted": "predicted", "notRecommended": "not-recommended" } }, "values": { "Human": { "WB-species-checked": "testedAndGuaranteed", "WB-species-dilution-info": "1/5000", "WB-species-notes": "<p>Abcam strongly recommends blocking and incubation using 5% BSA as we have found that use of 5% milk seems to drastically reduce the intensity of the signal obtained. Please refer to WB image for further details.</p>" }, "Mouse": { "WB-species-checked": "testedAndGuaranteed", "WB-species-dilution-info": "1/5000", "WB-species-notes": "<p>Abcam strongly recommends blocking and incubation using 5% BSA as we have found that use of 5% milk seems to drastically reduce the intensity of the signal obtained. Please refer to WB image for further details.</p>" }, "Rat": { "WB-species-checked": "testedAndGuaranteed", "WB-species-dilution-info": "1/5000", "WB-species-notes": "<p>Abcam strongly recommends blocking and incubation using 5% BSA as we have found that use of 5% milk seems to drastically reduce the intensity of the signal obtained. Please refer to WB image for further details.</p>" }, "African green monkey": { "WB-species-checked": "predicted", "WB-species-dilution-info": "", "WB-species-notes": "" }, "Chicken": { "WB-species-checked": "predicted", "WB-species-dilution-info": "", "WB-species-notes": "" }, "Chinese hamster": { "WB-species-checked": "predicted", "WB-species-dilution-info": "", "WB-species-notes": "" }, "Cow": { "WB-species-checked": "predicted", "WB-species-dilution-info": "", "WB-species-notes": "" }, "Dog": { "WB-species-checked": "predicted", "WB-species-dilution-info": "", "WB-species-notes": "" }, "Drosophila melanogaster": { "WB-species-checked": "predicted", "WB-species-dilution-info": "", "WB-species-notes": "" }, "Guinea pig": { "WB-species-checked": "predicted", "WB-species-dilution-info": "", "WB-species-notes": "" }, "Horse": { "WB-species-checked": "predicted", "WB-species-dilution-info": "", "WB-species-notes": "" }, "Monkey": { "WB-species-checked": "predicted", "WB-species-dilution-info": "", "WB-species-notes": "" }, "Pig": { "WB-species-checked": "predicted", "WB-species-dilution-info": "", "WB-species-notes": "" }, "Rabbit": { "WB-species-checked": "predicted", "WB-species-dilution-info": "", "WB-species-notes": "" }, "Sheep": { "WB-species-checked": "predicted", "WB-species-dilution-info": "", "WB-species-notes": "" } } }

Product details

What is this antibody validated in?
HRP Anti-beta Actin antibody [mAbcam 8226] - Loading Control (ab20272) is a mouse monoclonal antibody and is validated for use in Western Blot (WB) in Human, Mouse, Rat samples.

What is the molecular weight of beta Actin?
Anti-beta Actin [mAbcam 8226] - Loading Control HRP (ab20272) is often used as a loading control in Western blot. It specifically detects a band for beta Actin (UniProt: P60709) at a molecular weight of 42kDa.

Trusted by the scientific community
Anti-beta Actin [mAbcam 8226] - Loading Control HRP (ab20272) was first used in a scientific publication in 2005 and has been cited over 290 times in peer-reviewed journals.

Reviewed by scientists
Anti-beta Actin [mAbcam 8226] - Loading Control HRP (ab20272) has over 15 independent reviews from customers.

Related products
Antibody clone mAbcam 8226 is also available pre-conjugated to a variety of labels for your convenience – Anti-beta Actin HRP [mAbcam 8226] - Loading Control (ab20272).

Other related products
We have a range of other formats of antibody clone [mAbcam 8226] also available for your convenience: ab8226, HRP - ab20272, Alexa Fluor® 680 - ab184092, Alexa Fluor® 790 - ab184576, Carrier free - ab264083

Properties and storage information

Form
Liquid
Purity
IgG fraction
Storage buffer
pH: 7.4 Preservative: 0.1% Proclin 300 Solution Constituents: PBS, 30% Glycerol (glycerin, glycerine), 1% BSA
Shipped at conditions
Blue Ice
Appropriate short-term storage duration
1-2 weeks
Appropriate short-term storage conditions
+4°C
Appropriate long-term storage conditions
-20°C
Aliquoting information
Upon delivery aliquot
Storage information
Avoid freeze / thaw cycle|Store in the dark

Supplementary information

This supplementary information is collated from multiple sources and compiled automatically.

Beta actin also known as beta cytoplasmic actin plays a central role in cell structure and motility. It is part of the actin protein family and is widely expressed in eukaryotic cells. The molecular weight of beta actin is approximately 42 kDa. It contributes to the formation of the cytoskeleton and participates in various cellular processes including movement and stability. Actin is abundant in all cell types providing structural integrity and flexibility.
Biological function summary

Beta actin contributes to the maintenance of cell shape and is an important player in cell division and muscle contraction. It forms part of a larger actin filaments network often associating with other proteins to form the actin cytoskeleton complex. This complex supports cellular processes such as signaling intracellular trafficking and positioning of organelles. The dynamic polymerization and depolymerization of actin filaments are critical for cellular functions.

Pathways

Beta actin functions in the regulation of important biological pathways such as the Rho/Rac/Cdc42 signaling pathway and the Wnt signaling pathway. These pathways are essential in numerous cellular activities including cell morphology and gene transcription. Beta actin closely interacts with proteins like myosin and tropomyosin which facilitate its role in muscle contraction and cell division and proteins such as Rac and Cdc42 which help govern cytoskeletal dynamics and cellular responses to extracellular stimuli.

Beta actin has links to cancers and muscular dystrophies. Aberrations in actin dynamics can result in tumor cell migration and metastasis making it a component of interest in cancer research. Additionally mutations or dysregulation in actin-associated proteins may contribute to muscular dystrophies affecting muscle function and strength. Beta actin's interactions with proteins like dystrophin involved in maintaining muscle integrity further highlight its relevance in both biological functions and disease contexts.

Product protocols

For this product, it's our understanding that no specific protocols are required. You can visit:

Target data

Actin is a highly conserved protein that polymerizes to produce filaments that form cross-linked networks in the cytoplasm of cells (PubMed : 25255767, PubMed : 29581253). Actin exists in both monomeric (G-actin) and polymeric (F-actin) forms, both forms playing key functions, such as cell motility and contraction (PubMed : 29581253). In addition to their role in the cytoplasmic cytoskeleton, G- and F-actin also localize in the nucleus, and regulate gene transcription and motility and repair of damaged DNA (PubMed : 29925947). Part of the ACTR1A/ACTB filament around which the dynactin complex is built. The dynactin multiprotein complex activates the molecular motor dynein for ultra-processive transport along microtubules (By similarity).
See full target information ACTB

Publications (377)

Recent publications for all applications. Explore the full list and refine your search

Theranostics 15:9580-9600 PubMed41041054

2025

Macrophage-TREM2 promotes cardiac repair by restricting the infiltration of CD8 T cells via CXCL16-CXCR6 axis after myocardial infarction.

Applications

Unspecified application

Species

Unspecified reactive species

Linlin Zhang,Sheng Wang,Yu Ding,Tao Zheng,Jie Sheng,Yanshan Chen,Zhiyue Wang,Ximei Dai,Canbiao Wang,Long Ma,Jing Pan,Yunming Zhang,Longjiang Zhang

Molecular medicine reports 32: PubMed40999987

2025

Curcumin exerts therapeutic effects on colorectal cancer by inducing pyroptosis through caspase‑1 activation.

Applications

Unspecified application

Species

Unspecified reactive species

Jiajie Zhu,Liangjun Yang,Zheng Fang,Jiabin Chen,Yeqian Wu,Haiyan Liu,Shan Liu,Baoying Fei

Science advances 11:eadu4270 PubMed40749060

2025

Neuronal Reg3β/macrophage TNF-α-mediated positive feedback signaling contributes to pain chronicity in a rat model of CRPS-I.

Applications

Unspecified application

Species

Unspecified reactive species

Huimin Nie,Boyu Liu,Chengyu Yin,Zishan Dong,Yushuang Pan,Peiyi Li,Qimiao Hu,Jie Wang,Yan Tai,Xiaomei Shao,Guihua Tian,Chuan Wang,Jianqiao Fang,Boyi Liu

International journal of molecular sciences 26: PubMed40724911

2025

Biochemical Insights into the Effects of a Small Molecule Drug Candidate on Imatinib-Induced Cardiac Inflammation.

Applications

Unspecified application

Species

Unspecified reactive species

Renáta Szabó,Denise Börzsei,András Nagy,Viktória Kiss,Zoltán Virág,Gyöngyi Kis,Nikoletta Almási,Szilvia Török,Médea Veszelka,Mária Bagyánszki,Nikolett Bódi,Bence Pál Barta,Patrícia Neuperger,Gabor J Szebeni,Csaba Varga

Journal of thoracic disease 17:4249-4263 PubMed40688308

2025

regulation of cardiac fibroblast proliferation via the TGF-β/Smad pathway in an model of atrial fibrillation.

Applications

Unspecified application

Species

Unspecified reactive species

Yimeng Zhou,Lianzhi Zhang,Wenjia Zhang,Qunlin Gong,Zhong Zhang,Nan Xu,Ashley R Wilson-Smith,Nannan Chen

Nature neuroscience 28:1688-1703 PubMed40659845

2025

Response of spatially defined microglia states with distinct chromatin accessibility in a mouse model of Alzheimer's disease.

Applications

Unspecified application

Species

Unspecified reactive species

Alberto Ardura-Fabregat,Lance Fredrick Pahutan Bosch,Emile Wogram,Omar Mossad,Roman Sankowski,Philipp Aktories,Lina Kieger,James Cook,Dilara Hasavci,Hatice Ulupinar,Daniel Brock,Fang Wang,Nicola Iovino,Samuel Wald,Sebastian Preissl,Bahtiyar Yilmaz,Daniel Schnepf,Andrew J Macpherson,Thomas Blank,Katrin Kierdorf,Marco Prinz

International journal of molecular sciences 26: PubMed40649891

2025

Targeting PAD4: A Promising Strategy to Combat β-Cell Loss in Type 1 Diabetes.

Applications

Unspecified application

Species

Unspecified reactive species

Hsu Lin Kang,András Szász,Zsuzsanna Valkusz,Tamás Várkonyi,Anikó Pósa,Krisztina Kupai

Brain communications 7:fcaf224 PubMed40574971

2025

Glycine-to-aspartic acid mutation at codon 51 in disrupts the synaptic localisation of α-synuclein and enhances its propensity for synucleinopathy.

Applications

Unspecified application

Species

Unspecified reactive species

Stephen West,Ammar Natalwala,Karamjit Singh Dolt,Douglas J Lamont,Melanie McMillan,Kelvin Luk,Tomoji Mashimo,Tilo Kunath

Nature communications 16:5209 PubMed40473625

2025

Lysosomal TMEM165 controls cellular ion homeostasis and survival by mediating lysosomal Ca import and H efflux.

Applications

Unspecified application

Species

Unspecified reactive species

Ran Chen,Bin Liu,Dawid Jaślan,Lucija Kucej,Veronika Kudrina,Belinda Warnke,Yvonne E Klingl,Arnas Petrauskas,Sandra Prat Castro,Kenji Maeda,Christian Grimm,Marja Jäättelä

Cell reports. Medicine 6:102135 PubMed40398389

2025

MPXV infection activates cGAS-STING signaling and IFN-I treatment reduces pathogenicity of mpox in CAST/EiJ mice and rhesus macaques.

Applications

Unspecified application

Species

Unspecified reactive species

Lin Zhu,Qi Liu,Yongzhi Hou,Baoying Huang,Dong Zhang,Zhe Cong,Jianrong Ma,Na Li,Jiahan Lu,Jingjing Zhang,Lingyan Zhang,Ting Chen,Qiang Wei,Jiangning Liu,Wenjie Tan,Jing Xue
View all publications

Product promise

We are committed to supporting your work with high-quality reagents, and we're here for you every step of the way. In the unlikely event that one of our products does not perform as expected, you're protected by our Product Promise.
For full details, please see our Terms & Conditions

Please note: All products are 'FOR RESEARCH USE ONLY. NOT FOR USE IN DIAGNOSTIC OR THERAPEUTIC PROCEDURES'.

For licensing inquiries, please contact partnerships@abcam.com