JavaScript is disabled in your browser. Please enable JavaScript to view this website.
AB196638

HRP Anti-beta III Tubulin antibody [2G10] - Neuronal Marker

Be the first to review this product! Submit a review

|

(0 Publication)

Mouse Monoclonal Beta-3-tubulin antibody - conjugated to HRP. Suitable for IHC-P, WB and reacts with Human, Mouse, Rat samples.

View Alternative Names

Tubulin beta-3 chain, Neuron-specific class III beta-tubulin, Tubb3

4 Images
Western blot - HRP Anti-beta III Tubulin antibody [2G10] - Neuronal Marker (AB196638)
  • WB

Lab

Western blot - HRP Anti-beta III Tubulin antibody [2G10] - Neuronal Marker (AB196638)

ab196638 was shown to specifically react with beta III Tubulin in wild-type HAP1 cells as signal was lost in TUBB3 (beta III Tubulin) knockout cells. Wild-type and TUBB3 (beta III Tubulin) knockout samples were subjected to SDS-PAGE. ab196638 and ab184095 (Mouse monoclonal [mAbcam 9484] to GAPDH - Loading Control (Alexa Fluor® 680) loading control) were incubated overnight at 4°C at 1/5000 dilution and 1/1000 dilution respectively. The loading control was imaged using the Licor Odyssey CLx prior to blots being developed with ECL technique.

All lanes:

Western blot - HRP Anti-beta III Tubulin antibody [2G10] - Neuronal Marker (ab196638) at 1/5000 dilution

Lane 1:

Wild-type HAP1 whole cell lysate at 20 µg

Lane 2:

TUBB3 (beta III Tubulin) knockout HAP1 whole cell lysate at 20 µg

Predicted band size: 50 kDa

false

Exposure time: 2min

Western blot - HRP Anti-beta III Tubulin antibody [2G10] - Neuronal Marker (AB196638)
  • WB

Lab

Western blot - HRP Anti-beta III Tubulin antibody [2G10] - Neuronal Marker (AB196638)

This blot was produced using a 4-12% Bis-tris gel under the MOPS buffer system. The gel was run at 200V for 50 minutes before being transferred onto a Nitrocellulose membrane at 30V for 70 minutes. The membrane was then blocked for an hour using 2% Bovine Serum Albumin before being incubated with ab196638 overnight at 4°C. Antibody binding was visualised using ECL development solution ab133406.

All lanes:

Western blot - HRP Anti-beta III Tubulin antibody [2G10] - Neuronal Marker (ab196638) at 1/5000 dilution

Lane 1:

Brain (Human) Tissue Lysate - adult normal tissue at 10 µg

Lane 2:

Brain (Mouse) Tissue Lysate at 10 µg

Lane 3:

Brain (Rat) Tissue Lysate at 10 µg

Predicted band size: 50 kDa

Observed band size: 50 kDa

true

Exposure time: 2s

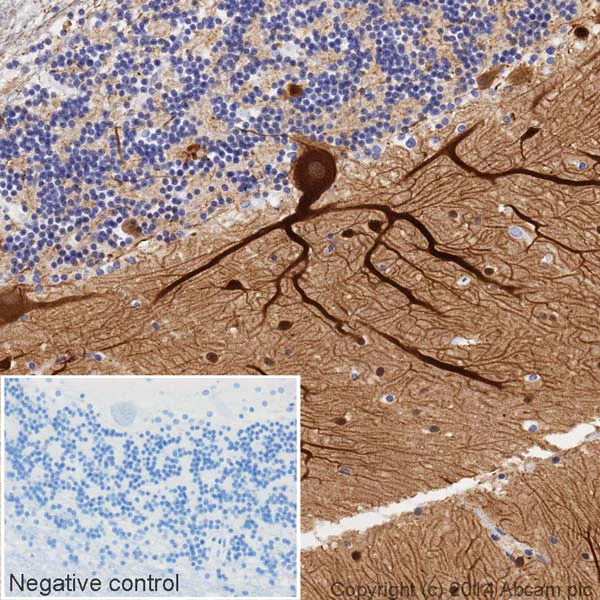
Immunohistochemistry (Formalin/PFA-fixed paraffin-embedded sections) - HRP Anti-beta III Tubulin antibody [2G10] - Neuronal Marker (AB196638)
  • IHC-P

Lab

Immunohistochemistry (Formalin/PFA-fixed paraffin-embedded sections) - HRP Anti-beta III Tubulin antibody [2G10] - Neuronal Marker (AB196638)

IHC image of beta III Tubulin staining in a section of formalin-fixed paraffin-embedded normal human cerebellum tissue, performed on a Leica BOND. The section was pre-treated using heat mediated antigen retrieval with sodium citrate buffer (pH6, epitope retrieval solution 1) for 20mins. The section was then incubated with ab196638 at 1/100 dilution, for 15 mins at room temperature. DAB was used as the chromogen. The section was then counterstained with haematoxylin and mounted with DPX. The inset negative control image is taken from an identical assay without primary antibody.

For other IHC staining systems (automated and non-automated) customers should optimize variable parameters such as antigen retrieval conditions, primary antibody concentration and antibody incubation times.

Immunohistochemistry (Formalin/PFA-fixed paraffin-embedded sections) - HRP Anti-beta III Tubulin antibody [2G10] - Neuronal Marker (AB196638)
  • IHC-P

Lab

Immunohistochemistry (Formalin/PFA-fixed paraffin-embedded sections) - HRP Anti-beta III Tubulin antibody [2G10] - Neuronal Marker (AB196638)

IHC image of beta III Tubulin staining in a section of formalin-fixed paraffin-embedded normal human cerebellum tissue, performed on a Leica BOND. The section was pre-treated using heat mediated antigen retrieval with sodium citrate buffer (pH6, epitope retrieval solution 1) for 20mins. The section was then incubated with ab196638 at 1/500 dilution, for 15 mins at room temperature. DAB was used as the chromogen. The section was then counterstained with haematoxylin and mounted with DPX. The inset negative control image is taken from an identical assay without primary antibody.

For other IHC staining systems (automated and non-automated) customers should optimize variable parameters such as antigen retrieval conditions, primary antibody concentration and antibody incubation times.

  • Carrier free

    Anti-beta III Tubulin antibody [2G10] - BSA and Azide free

  • Unconjugated

    Anti-beta III Tubulin antibody [2G10] - Neuronal Marker

  • 519 Alexa Fluor® 488

    Alexa Fluor® 488 Anti-beta III Tubulin antibody [2G10] - Neuronal Marker

  • 665 Alexa Fluor® 647

    Alexa Fluor® 647 Anti-beta III Tubulin antibody [2G10] - Neuronal Marker

Key facts

Host species

Mouse

Clonality

Monoclonal

Clone number

2G10

Isotype

IgG2a

Conjugation

HRP

Excitation/Emission
Carrier free

No

Reacts with

Mouse, Rat, Human

Applications

WB, IHC-P

applications

Immunogen

The exact immunogen used to generate this antibody is proprietary information.

Reactivity data

{ "title": "Reactivity Data", "filters": { "stats": ["", "Species", "Dilution Info", "Notes"], "tabs": { "all-applications": {"fullname" : "All Applications", "shortname": "All Applications"}, "IHCP" : {"fullname" : "Immunohistochemistry (Formalin/PFA-fixed paraffin-embedded sections)", "shortname":"IHC-P"}, "WB" : {"fullname" : "Western blot", "shortname":"WB"} }, "product-promise": { "all": "all", "testedAndGuaranteed": "tested", "guaranteed": "expected", "predicted": "predicted", "notRecommended": "not-recommended" } }, "values": { "Human": { "IHCP-species-checked": "testedAndGuaranteed", "IHCP-species-dilution-info": "100.00000-500.00000 µg/mL", "IHCP-species-notes": "<p></p>", "WB-species-checked": "testedAndGuaranteed", "WB-species-dilution-info": "1/5000", "WB-species-notes": "<p></p>" }, "Mouse": { "IHCP-species-checked": "guaranteed", "IHCP-species-dilution-info": "", "IHCP-species-notes": "", "WB-species-checked": "testedAndGuaranteed", "WB-species-dilution-info": "1/5000", "WB-species-notes": "<p></p>" }, "Rat": { "IHCP-species-checked": "guaranteed", "IHCP-species-dilution-info": "", "IHCP-species-notes": "", "WB-species-checked": "testedAndGuaranteed", "WB-species-dilution-info": "1/5000", "WB-species-notes": "<p></p>" }, "Common marmoset": { "IHCP-species-checked": "predicted", "IHCP-species-dilution-info": "", "IHCP-species-notes": "", "WB-species-checked": "predicted", "WB-species-dilution-info": "", "WB-species-notes": "" }, "Cow": { "IHCP-species-checked": "predicted", "IHCP-species-dilution-info": "", "IHCP-species-notes": "", "WB-species-checked": "predicted", "WB-species-dilution-info": "", "WB-species-notes": "" } } }

You may be interested in:

AB235644

Human Beta-III Tubulin ELISA Kit

0

0 Reviews

View product

We recommend this product because it’s often used in the same experiment or related research.

We advise that you always check the datasheet to ensure it fits your experiments, or contact ourtechnical teamfor help.

Properties and storage information

Form
Liquid
Purification technique
Affinity purification
Storage buffer
pH: 7.4 Preservative: 0.1% Proclin 300 Solution Constituents: PBS, 30% Glycerol (glycerin, glycerine), 1% BSA
Shipped at conditions
Blue Ice
Appropriate short-term storage duration
1-2 weeks
Appropriate short-term storage conditions
+4°C
Appropriate long-term storage conditions
-20°C
Aliquoting information
Upon delivery aliquot
Storage information
Avoid freeze / thaw cycle|Store in the dark

Supplementary information

This supplementary information is collated from multiple sources and compiled automatically.

Beta III tubulin often referred to as βIII tubulin or beta-tubulin 3 is a microtubule element involved in the cellular cytoskeleton structure. This protein with a molecular mass of approximately 55 kDa plays an important role in the development and maintenance of neuron structures. It is most prominently expressed in neurons within the central and peripheral nervous systems. In these cells beta III tubulin contributes to microtubule polymerization facilitating the formation of the intricate network necessary for cell shape intracellular transport and division.
Biological function summary

Beta III tubulin acts in stabilizing microtubules which are essential for proper neuronal function. It exists as part of the tubulin dimer complex partnering with alpha-tubulin to form the building blocks of microtubules. This particular isotype is often used as a marker for neuronal differentiation due to its specific expression pattern in neural tissues. Its regulation and expression levels are important for neurogenesis and maintaining neuronal plasticity.

Pathways

Beta III tubulin plays a role in neuron-specific intracellular transport and signaling pathways like the Rho GTPase and MAPK signaling pathways. These pathways are involved in cell cycle regulation and apoptotic processes. Relationships with other proteins such as kinesins and dyneins are important in these pathways influencing intracellular transport and signaling through binding and moving along the microtubule tracks created by beta-tubulin isotypes including beta III tubulin.

Abnormal beta III tubulin expression has been associated with cancer particularly in tumors originating from neuronal lineage such as glioblastomas. Overexpression or mutations can contribute to chemoresistance complicating treatment for certain types of cancer. Beta III tubulin is also linked to neurodevelopmental disorders as it affects proper neural network formation and stability. Its relationship with tumor protein p53 is noted in cancer pathways as p53 can influence beta III tubulin expression impacting cellular proliferation and apoptosis in oncogenic processes.

Product protocols

For this product, it's our understanding that no specific protocols are required. You can visit:

Target data

Tubulin is the major constituent of microtubules, a cylinder consisting of laterally associated linear protofilaments composed of alpha- and beta-tubulin heterodimers. Microtubules grow by the addition of GTP-tubulin dimers to the microtubule end, where a stabilizing cap forms. Below the cap, tubulin dimers are in GDP-bound state, owing to GTPase activity of alpha-tubulin. TUBB3 plays a critical role in proper axon guidance and maintenance. Binding of NTN1/Netrin-1 to its receptor UNC5C might cause dissociation of UNC5C from polymerized TUBB3 in microtubules and thereby lead to increased microtubule dynamics and axon repulsion. Plays a role in dorsal root ganglion axon projection towards the spinal cord.
See full target information Tubb3

Product promise

We are committed to supporting your work with high-quality reagents, and we're here for you every step of the way. In the unlikely event that one of our products does not perform as expected, you're protected by our Product Promise.
For full details, please see our Terms & Conditions

Associated Products

Select an associated product type
Alternative Product
Primary Antibodies

AB190575

Alexa Fluor® 647 Anti-beta III Tubulin antibody [EP1569Y] - Neuronal Marker

primary-antibodies

alexa-fluor-647-beta-iii-tubulin-antibody-ep1569y-neuronal-marker-ab190575

5

(2 reviews)

Alternative Product
Primary Antibodies

AB202519

Alexa Fluor® 555 Anti-beta III Tubulin antibody [EP1569Y] - Neuronal Marker

primary-antibodies

alexa-fluor-555-beta-iii-tubulin-antibody-ep1569y-neuronal-marker-ab202519

0

(0 reviews)

Alternative Product
Primary Antibodies

AB68193

Anti-beta III Tubulin antibody [EPR1568Y] - Neuronal Marker

primary-antibodies

beta-iii-tubulin-antibody-epr1568y-neuronal-marker-ab68193

4

(1 reviews)

Alternative Product
Primary Antibodies

AB215037

Anti-beta III Tubulin antibody [EPR19591] - Neuronal Marker

primary-antibodies

beta-iii-tubulin-antibody-epr19591-neuronal-marker-ab215037

0

(0 reviews)

Alternative Product
Primary Antibodies

AB201740

Alexa Fluor® 594 Anti-beta III Tubulin antibody [EP1569Y] - Neuronal Marker

primary-antibodies

alexa-fluor-594-beta-iii-tubulin-antibody-ep1569y-neuronal-marker-ab201740

0

(0 reviews)

Alternative Product
Primary Antibodies

AB52623

Anti-beta III Tubulin antibody [EP1569Y] - Neuronal Marker

primary-antibodies

beta-iii-tubulin-antibody-ep1569y-neuronal-marker-ab52623

5

(6 reviews)

Alternative Product
Primary Antibodies

AB221935

Anti-beta III Tubulin antibody [EP1569Y] - BSA and Azide free

primary-antibodies

beta-iii-tubulin-antibody-ep1569y-bsa-and-azide-free-ab221935

0

(0 reviews)

Alternative Version
Primary Antibodies

AB195879

Alexa Fluor® 488 Anti-beta III Tubulin antibody [2G10] - Neuronal Marker

primary-antibodies

alexa-fluor-488-beta-iii-tubulin-antibody-2g10-neuronal-marker-ab195879

0

(0 reviews)

Alternative Version
Primary Antibodies

AB195880

Alexa Fluor® 647 Anti-beta III Tubulin antibody [2G10] - Neuronal Marker

primary-antibodies

alexa-fluor-647-beta-iii-tubulin-antibody-2g10-neuronal-marker-ab195880

1

(1 reviews)

Please note: All products are 'FOR RESEARCH USE ONLY. NOT FOR USE IN DIAGNOSTIC OR THERAPEUTIC PROCEDURES'.

For licensing inquiries, please contact partnerships@abcam.com