JavaScript is disabled in your browser. Please enable JavaScript to view this website.
AB173840

HRP Anti-beta Tubulin antibody [BT7R] - Loading Control

Be the first to review this product! Submit a review

|

(3 Publications)

Mouse Monoclonal Beta-5-tubulin antibody - conjugated to HRP. Suitable for WB and reacts with Mouse, Rat, African green monkey, Human, Dog, Primates samples. Cited in 3 publications. Immunogen corresponding to Synthetic Peptide within Human TUBB conjugated to Keyhole Limpet Haemocyanin.

View Alternative Names

TUBB5, OK/SW-cl.56, TUBB, Tubulin beta chain, Tubulin beta-5 chain

2 Images
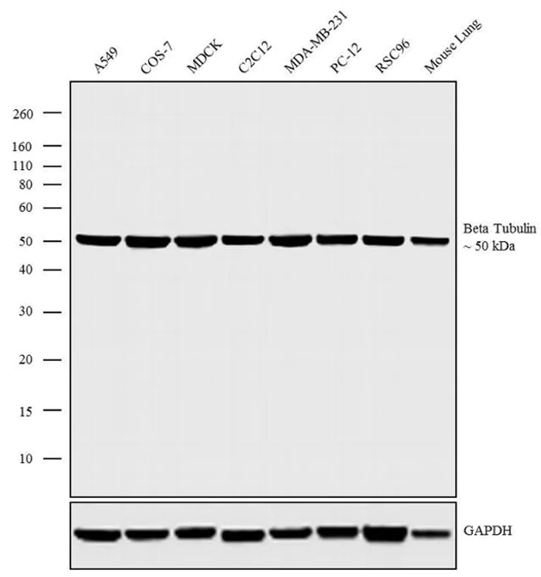
Western blot - HRP Anti-beta Tubulin antibody [BT7R] - Loading Control (AB173840)
  • WB

Supplier Data

Western blot - HRP Anti-beta Tubulin antibody [BT7R] - Loading Control (AB173840)

Blocking buffer : 5% milk.

All lanes:

Western blot - HRP Anti-beta Tubulin antibody [BT7R] - Loading Control (ab173840) at 1 µg/mL

Lane 1:

A549 (Human adenocarcinomic alveolar basal epithelial cells) at 30 µg

Lane 2:

COS-7 (African green monkey kidney fibroblast cells) at 30 µg

Lane 3:

MDCK (Madin-Darby Canine Kidney cells) at 30 µg

Lane 4:

C2C12 (Mouse myoblast cells) at 30 µg

Lane 5:

MDA-MB-231 (Human breast cancer cells) at 30 µg

Lane 6:

PC-12 (Embryonic Rat adrenal medulla cells) at 30 µg

Lane 7:

RSC96 at 30 µg

Lane 8:

Mouse lung tissue at 30 µg

Predicted band size: 49 kDa

Observed band size: 50 kDa

false

Western blot - HRP Anti-beta Tubulin antibody [BT7R] - Loading Control (AB173840)
  • WB

Supplier Data

Western blot - HRP Anti-beta Tubulin antibody [BT7R] - Loading Control (AB173840)

4-20% Tris-HCl polyacrylamide gel.

All lanes:

Western blot - HRP Anti-beta Tubulin antibody [BT7R] - Loading Control (ab173840) at 1/1000 dilution

Lane 1:

A431 cell lysate at 50 µg

Lane 2:

U2OS cell lysate at 50 µg

Lane 3:

293T cell lysate at 50 µg

Lane 4:

Jurkat cell lysate at 50 µg

Lane 5:

HeLa cell lysate at 50 µg

Lane 6:

COS7 cell lysate at 50 µg

Lane 7:

C2C12 cell lysate at 50 µg

Lane 8:

NRK cell lysate at 50 µg

Predicted band size: 49 kDa

true

Key facts

Host species

Mouse

Clonality

Monoclonal

Clone number

BT7R

Isotype

IgG2a

Conjugation

HRP

Excitation/Emission
Carrier free

No

Reacts with

Mouse, Rat, Dog, Human, Primates, African green monkey

Applications

WB

applications

Immunogen

Synthetic Peptide within Human TUBB conjugated to Keyhole Limpet Haemocyanin. The exact immunogen used to generate this antibody is proprietary information.

P07437

Reactivity data

{ "title": "Reactivity Data", "filters": { "stats": ["", "Species", "Dilution Info", "Notes"], "tabs": { "all-applications": {"fullname" : "All Applications", "shortname": "All Applications"}, "WB" : {"fullname" : "Western blot", "shortname":"WB"} }, "product-promise": { "all": "all", "testedAndGuaranteed": "tested", "guaranteed": "expected", "predicted": "predicted", "notRecommended": "not-recommended" } }, "values": { "Human": { "WB-species-checked": "testedAndGuaranteed", "WB-species-dilution-info": "1/500 - 1/2000", "WB-species-notes": "<p></p>" }, "Mouse": { "WB-species-checked": "testedAndGuaranteed", "WB-species-dilution-info": "1/500 - 1/2000", "WB-species-notes": "<p></p>" }, "Rat": { "WB-species-checked": "testedAndGuaranteed", "WB-species-dilution-info": "1/500 - 1/2000", "WB-species-notes": "<p></p>" }, "African green monkey": { "WB-species-checked": "testedAndGuaranteed", "WB-species-dilution-info": "1/500 - 1/2000", "WB-species-notes": "<p></p>" }, "Dog": { "WB-species-checked": "testedAndGuaranteed", "WB-species-dilution-info": "1/500 - 1/2000", "WB-species-notes": "<p></p>" }, "Primates": { "WB-species-checked": "guaranteed", "WB-species-dilution-info": "1/500 - 1/2000", "WB-species-notes": "<p></p>" } } }

Properties and storage information

Form
Liquid
Storage buffer
Constituents: PBS, 0.07% Kathon
Shipped at conditions
Blue Ice
Appropriate short-term storage conditions
+4°C
Appropriate long-term storage conditions
+4°C

Supplementary information

This supplementary information is collated from multiple sources and compiled automatically.

Beta tubulin also known as beta-tubulin or β-tubulin is a globular protein with a molecular weight of approximately 50 kDa. It is a major component of microtubules which are cylindrical structures vital for maintaining cell shape and enabling intracellular transport. This protein is expressed widely in eukaryotic cells and plays a role in mitosis and meiosis by forming the spindle apparatus important for chromosome separation during cell division. The size of beta tubulin allows it to effectively polymerize with alpha tubulin forming heterodimers which are the building blocks of the microtubule network.
Biological function summary

This protein contributes significantly to the dynamic instability of microtubules allowing rapid assembly and disassembly which is essential for cellular processes like motility signaling and maintaining the cell’s architecture. Beta tubulin operates as part of the tubulin family which includes several related proteins within microtubule structures. The beta-tubulin molecules in microtubules are critical for the interactions with microtubule-associated proteins (MAPs) and motor proteins such as kinesin and dynein influencing trafficking and positioning of organelles within the cell.

Pathways

Beta tubulin plays key roles in the mitotic spindle assembly checkpoint ensuring accurate chromosome segregation. It is actively involved in the microtubule pathway and has associations with signaling pathways such as the Wnt signaling pathway which affects cell growth and differentiation. Through these pathways beta tubulin interacts with proteins like tau and MAP2 which stabilize microtubules to control their functional dynamics within the cell.

Mutations or dysregulations in beta tubulin can affect neurological and proliferative conditions such as neurodegenerative diseases and cancer. Beta tubulin is notably linked to Alzheimer's disease where tau protein tangles disrupt normal microtubule function. It also connects to diseases like paclitaxel-resistant cancer where altered beta tubulin isoform expression can lead to chemotherapy resistance. The interaction of beta tubulin with tau and alpha tubulin provides further insight into etiological mechanisms of these conditions.

Product protocols

For this product, it's our understanding that no specific protocols are required. You can visit:

Target data

Tubulin is the major constituent of microtubules, a cylinder consisting of laterally associated linear protofilaments composed of alpha- and beta-tubulin heterodimers. Microtubules grow by the addition of GTP-tubulin dimers to the microtubule end, where a stabilizing cap forms. Below the cap, tubulin dimers are in GDP-bound state, owing to GTPase activity of alpha-tubulin.
See full target information TUBB

Publications (3)

Recent publications for all applications. Explore the full list and refine your search

Viruses 17: PubMed40285013

2025

Characterization of Nanobody Binding to Distinct Regions of the SARS-CoV-2 Spike Protein by Flow Virometry.

Applications

Unspecified application

Species

Unspecified reactive species

Mariam Maltseva,Martin A Rossotti,Jamshid Tanha,Marc-André Langlois

Journal of thrombosis and haemostasis : JTH 18:2976-2986 PubMed32692888

2020

The role of the androgen receptor in prostate cancer-induced platelet aggregation and platelet-induced invasion.

Applications

Unspecified application

Species

Unspecified reactive species

Jan K Rudzinski,Natasha P Govindasamy,John D Lewis,Paul Jurasz

Molecular medicine reports 14:2405-14 PubMed27484316

2016

Proteomic analysis of the effects of CSF-1 and IL-1α on dental follicle cells.

Applications

Unspecified application

Species

Unspecified reactive species

Chanchan Chen,Nan Xie,Junqi Ling,Yu Du,Haijing Gu
View all publications

Product promise

We are committed to supporting your work with high-quality reagents, and we're here for you every step of the way. In the unlikely event that one of our products does not perform as expected, you're protected by our Product Promise.
For full details, please see our Terms & Conditions

Please note: All products are 'FOR RESEARCH USE ONLY. NOT FOR USE IN DIAGNOSTIC OR THERAPEUTIC PROCEDURES'.

For licensing inquiries, please contact partnerships@abcam.com