JavaScript is disabled in your browser. Please enable JavaScript to view this website.
AB201754

HRP Anti-Bid antibody [Y8]

Be the first to review this product! Submit a review

|

(3 Publications)

Rabbit Recombinant Monoclonal BID antibody - conjugated to HRP. Suitable for IHC-P, WB and reacts with Human samples. Cited in 3 publications.

View Alternative Names

BH3-interacting domain death agonist, p22 BID, BID

2 Images
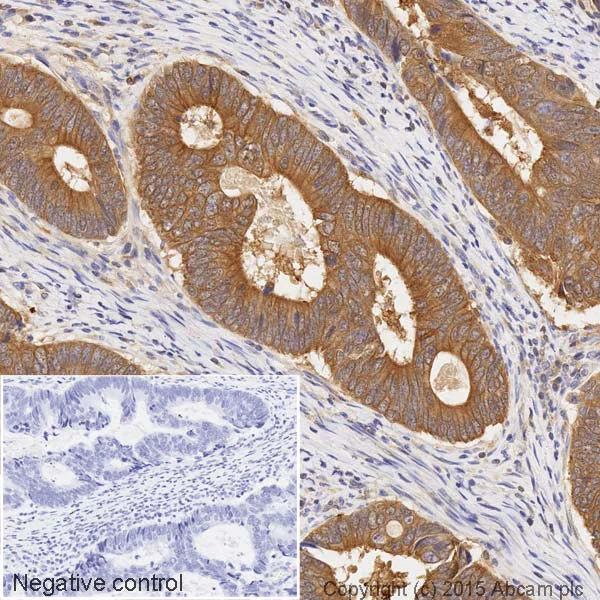
Immunohistochemistry (Formalin/PFA-fixed paraffin-embedded sections) - HRP Anti-Bid antibody [Y8] (AB201754)
  • IHC-P

Lab

Immunohistochemistry (Formalin/PFA-fixed paraffin-embedded sections) - HRP Anti-Bid antibody [Y8] (AB201754)

IHC image of Bid staining in a section of formalin-fixed paraffin-embedded colon adenocarcinoma*, performed on a Leica BONDTM. The section was pre-treated using heat mediated antigen retrieval with sodium citrate buffer (pH6, epitope retrieval solution

  1. for 20mins. The section was then incubated with ab201754, 1/1000 dilution, for 15 mins at room temperature. DAB was used as the chromogen. The section was then counterstained with haematoxylin and mounted with DPX. The inset negative control image is taken from an identical assay without primary antibody.

For other IHC staining systems (automated and non-automated) customers should optimize variable parameters such as antigen retrieval conditions, primary antibody concentration and antibody incubation times.

*Tissue obtained from the Human Research Tissue Bank, supported by the NIHR Cambridge Biomedical Research Centre

Western blot - HRP Anti-Bid antibody [Y8] (AB201754)
  • WB

Lab

Western blot - HRP Anti-Bid antibody [Y8] (AB201754)

This blot was produced using a 4-12% Bis-tris gel under the MES buffer system. The gel was run at 200V for 35 minutes before being transferred onto a Nitrocellulose membrane at 30V for 70 minutes. The membrane was then blocked for an hour using 3% milk before being incubated with ab201754 overnight at 4°C. Antibody binding was visualised using ECL development solution ab133406.

All lanes:

Western blot - HRP Anti-Bid antibody [Y8] (ab201754) at 1/10000 dilution

All lanes:

Jurkat (Human T cell lymphoblast-like cell line) Whole Cell Lysate at 10 µg

Predicted band size: 22 kDa

Observed band size: 22 kDa

true

Exposure time: 4s

Key facts

Host species

Rabbit

Clonality

Monoclonal

Clone number

Y8

Isotype

IgG

Conjugation

HRP

Excitation/Emission
Carrier free

No

Reacts with

Human, Human

Applications

IHC-P, WB

applications

Immunogen

The exact immunogen used to generate this antibody is proprietary information.

Reactivity data

{ "title": "Reactivity Data", "filters": { "stats": ["", "Species", "Dilution Info", "Notes"], "tabs": { "all-applications": {"fullname" : "All Applications", "shortname": "All Applications"}, "IHCP" : {"fullname" : "Immunohistochemistry (Formalin/PFA-fixed paraffin-embedded sections)", "shortname":"IHC-P"}, "WB" : {"fullname" : "Western blot", "shortname":"WB"} }, "product-promise": { "all": "all", "testedAndGuaranteed": "tested", "guaranteed": "expected", "predicted": "predicted", "notRecommended": "not-recommended" } }, "values": { "Human": { "IHCP-species-checked": "testedAndGuaranteed", "IHCP-species-dilution-info": "1/1000", "IHCP-species-notes": "<p></p>", "WB-species-checked": "testedAndGuaranteed", "WB-species-dilution-info": "1/10000", "WB-species-notes": "<p></p>" } } }

Product details

Patented technology
Our RabMAb® technology is a patented hybridoma-based technology for making rabbit monoclonal antibodies. For details on our patents, please refer to RabMAb® patents.

Properties and storage information

Form
Liquid
Purification technique
Affinity purification Protein A
Storage buffer
pH: 7.4 Preservative: 0.1% Proclin 300 Solution Constituents: PBS, 30% Glycerol (glycerin, glycerine), 1% BSA
Shipped at conditions
Blue Ice
Appropriate short-term storage duration
1-2 weeks
Appropriate short-term storage conditions
+4°C
Appropriate long-term storage conditions
-20°C
Aliquoting information
Upon delivery aliquot
Storage information
Stable for 12 months at -20°C|Store in the dark

Supplementary information

This supplementary information is collated from multiple sources and compiled automatically.

Bid also known as BH3-interacting domain death agonist or BID protein functions as a pro-apoptotic member of the Bcl-2 protein family. This protein plays a significant role in the apoptotic process by helping to mediate the release of cytochrome c from mitochondria an important step in this cell death pathway. Bid exists in cells as an inactive uncleaved form but upon activation a caspase cleaves it into a truncated form tBID. The molecular weight of Bid is approximately 22 kDa. It is commonly expressed in numerous tissues throughout the body contributing to its various apoptotic regulatory roles.
Biological function summary

Bid induces mitochondria-mediated apoptosis that significantly affects cellular homeostasis. Bid is not considered to be part of a permanent protein complex; instead it acts as a mobile activator bridging interactions between different proteins within the apoptotic pathway. Upon activation tBID interacts with other Bcl-2 family members like Bax and Bak which leads to mitochondrial membrane permeabilization and subsequent release of cytochrome c.

Pathways

Bid significantly influences apoptotic signaling under different cellular stress conditions. It plays important functions in both intrinsic and extrinsic pathways of apoptosis. Within the intrinsic pathway Bid links the external death receptor signals to the mitochondria-mediated apoptotic pathway. In addition to interacting with Bax and Bak Bid indirectly connects to the apoptosome complex facilitating caspase activation which ultimately results in cellular apoptosis.

Bid has strong associations with conditions characterized by deregulated apoptosis such as cancer and neurodegenerative diseases. For instance downregulation or dysfunction of Bid is noted in certain cancer types contributing to the evasion of apoptosis a hallmark of cancer. Moreover in neurodegenerative diseases where excess apoptosis leads to loss of neuronal cells Bid activity has shown to connect with the regulation of apoptosis through its interactions with key apoptotic proteins such as Bcl-2 and Bax. Understanding Bid's role provides potential therapeutic targets to either promote or inhibit apoptotic processes in disease treatment.

Product protocols

For this product, it's our understanding that no specific protocols are required. You can visit:

Target data

Induces caspases and apoptosis (PubMed : 14583606). Counters the protective effect of BCL2 (By similarity).. BH3-interacting domain death agonist p15. Induces caspase activation and apoptosis (PubMed : 15661737, PubMed : 32029622). Translocates to mitochondria following cleavage and disrupts the outer mitochondrial membrane leading to the release of cytochrome c (PubMed : 10480954, PubMed : 32029622, PubMed : 9727491).. Isoform 1. Induces ICE-like proteases and apoptosis.. Isoform 2. Induces ICE-like proteases and apoptosis.. Isoform 3. Does not induce apoptosis.. Isoform 4. Induces ICE-like proteases and apoptosis.
See full target information BID

Publications (3)

Recent publications for all applications. Explore the full list and refine your search

Biomicrofluidics 18:054105 PubMed39280192

2024

An multi-organ microphysiological system (MPS) to investigate the gut-to-brain translocation of neurotoxins.

Applications

Unspecified application

Species

Unspecified reactive species

Emily J Jones,Benjamin M Skinner,Aimee Parker,Lydia R Baldwin,John Greenman,Simon R Carding,Simon G P Funnell

Journal of cellular and molecular medicine 24:7829-7840 PubMed32441887

2020

Lestaurtinib potentiates TRAIL-induced apoptosis in glioma via CHOP-dependent DR5 induction.

Applications

Unspecified application

Species

Unspecified reactive species

Yingxiao Cao,Shiqi Kong,Yuling Xin,Yan Meng,Shuling Shang,Yanhui Qi

Human gene therapy 31:325-338 PubMed32024383

2020

Truncated Bid Regulates Cisplatin Response via Activation of Mitochondrial Apoptosis Pathway in Ovarian Cancer.

Applications

Unspecified application

Species

Unspecified reactive species

Yun Dai,Xue-Jiao Zhao,Fei Li,Yuan Yuan,Dan-Mei Yan,Heng Cao,Xiao-Yuan Huang,Zheng Hu,Ding Ma,Qing-Lei Gao
View all publications

Product promise

We are committed to supporting your work with high-quality reagents, and we're here for you every step of the way. In the unlikely event that one of our products does not perform as expected, you're protected by our Product Promise.
For full details, please see our Terms & Conditions

Please note: All products are 'FOR RESEARCH USE ONLY. NOT FOR USE IN DIAGNOSTIC OR THERAPEUTIC PROCEDURES'.

For licensing inquiries, please contact partnerships@abcam.com