JavaScript is disabled in your browser. Please enable JavaScript to view this website.
AB307473

HRP Anti-C Reactive Protein antibody [Y284]

Be the first to review this product! Submit a review

|

(0 Publication)

Rabbit Recombinant Monoclonal C Reactive Protein antibody - conjugated to HRP. Suitable for IHC-P and reacts with Human samples.

View Alternative Names

PTX1, CRP, C-reactive protein

3 Images
Immunohistochemistry (Formalin/PFA-fixed paraffin-embedded sections) - HRP Anti-C Reactive Protein antibody [Y284] (AB307473)
  • IHC-P

Supplier Data

Immunohistochemistry (Formalin/PFA-fixed paraffin-embedded sections) - HRP Anti-C Reactive Protein antibody [Y284] (AB307473)

Immunohistochemical analysis of paraffin-embedded Human skeletal muscle tissue labeling C Reactive Protein with ab307473 at 1/100 (5.0 μg/ml). Negative control : no staining on human skeletal muscle. The section was incubated with ab307473 for 30 mins at room temperature. The immunostaining was performed on a Leica Biosystems BOND® RX instrument. Counterstained with Hematoxylin. Heat mediated antigen retrieval was performed with Tris-EDTA buffer (pH 9.0, Epitope Retrieval Solution2) for 20 mins.

Immunohistochemistry (Formalin/PFA-fixed paraffin-embedded sections) - HRP Anti-C Reactive Protein antibody [Y284] (AB307473)
  • IHC-P

Supplier Data

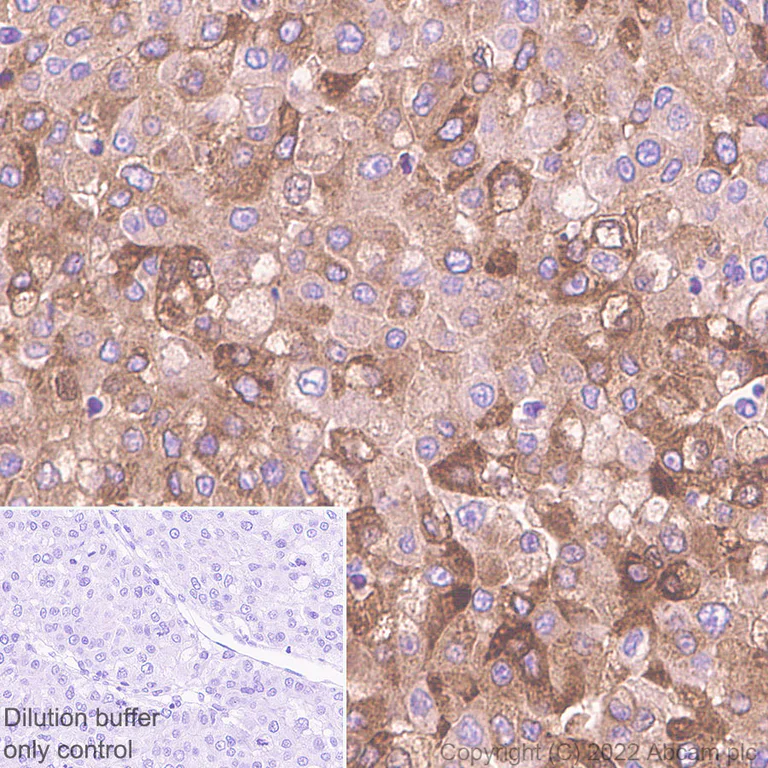
Immunohistochemistry (Formalin/PFA-fixed paraffin-embedded sections) - HRP Anti-C Reactive Protein antibody [Y284] (AB307473)

Immunohistochemical analysis of paraffin-embedded Human liver tissue labeling C Reactive Protein with ab307473 at 1/100 (5.0 μg/ml). Cytoplasmic staining in human liver. The section was incubated with ab307473 for 30 mins at room temperature. The immunostaining was performed on a Leica Biosystems BOND® RX instrument. Counterstained with Hematoxylin. Heat mediated antigen retrieval was performed with Tris-EDTA buffer (pH 9.0, Epitope Retrieval Solution2) for 20 mins.

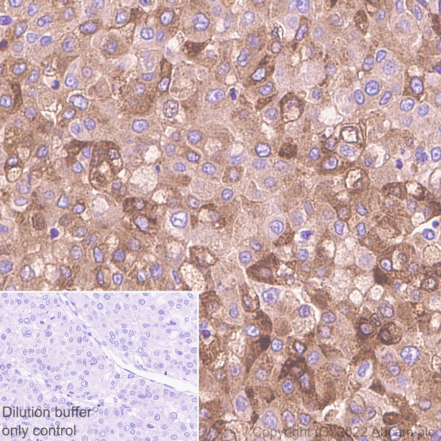
Immunohistochemistry (Formalin/PFA-fixed paraffin-embedded sections) - HRP Anti-C Reactive Protein antibody [Y284] (AB307473)
  • IHC-P

Supplier Data

Immunohistochemistry (Formalin/PFA-fixed paraffin-embedded sections) - HRP Anti-C Reactive Protein antibody [Y284] (AB307473)

Immunohistochemical analysis of paraffin-embedded Human hepatocellular tissue labeling C Reactive Protein with ab307473 at 1/100 (5.0 μg/ml). Cytoplasmic staining in human hepatocellular carcinoma. The section was incubated with ab307473 for 30 mins at room temperature. The immunostaining was performed on a Leica Biosystems BOND® RX instrument. Counterstained with Hematoxylin. Heat mediated antigen retrieval was performed with Tris-EDTA buffer (pH 9.0, Epitope Retrieval Solution2) for 20 mins.

Key facts

Host species

Rabbit

Clonality

Monoclonal

Clone number

Y284

Isotype

IgG

Conjugation

HRP

Excitation/Emission
Carrier free

No

Reacts with

Human

Applications

IHC-P

applications

Immunogen

The exact immunogen used to generate this antibody is proprietary information.

Reactivity data

{ "title": "Reactivity Data", "filters": { "stats": ["", "Species", "Dilution Info", "Notes"], "tabs": { "all-applications": {"fullname" : "All Applications", "shortname": "All Applications"}, "IHCP" : {"fullname" : "Immunohistochemistry (Formalin/PFA-fixed paraffin-embedded sections)", "shortname":"IHC-P"} }, "product-promise": { "all": "all", "testedAndGuaranteed": "tested", "guaranteed": "expected", "predicted": "predicted", "notRecommended": "not-recommended" } }, "values": { "Human": { "IHCP-species-checked": "testedAndGuaranteed", "IHCP-species-dilution-info": "1/100", "IHCP-species-notes": "<p></p>" } } }

You may be interested in:

AB99995

Human C Reactive Protein ELISA Kit (CRP)

0

0 Reviews

View product

We recommend this product because it’s often used in the same experiment or related research.

We advise that you always check the datasheet to ensure it fits your experiments, or contact ourtechnical teamfor help.

Product details

Patented technology
Our RabMAb® technology is a patented hybridoma-based technology for making rabbit monoclonal antibodies. For details on our patents, please refer to RabMAb® patents.

What are the advantages of a recombinant monoclonal antibody?
This product is a recombinant monoclonal antibody, which offers several advantages including:

  • - High batch-to-batch consistency and reproducibility
  • - Improved sensitivity and specificity
  • - Long-term security of supply
  • - Animal-free batch production

For more information, read more on recombinant antibodies.

Properties and storage information

Form
Liquid
Purification technique
Affinity purification Protein A
Storage buffer
pH: 7.4 Preservative: 0.1% Proclin 300 Solution Constituents: 68% PBS, 30% Glycerol (glycerin, glycerine), 1% BSA
Shipped at conditions
Blue Ice
Appropriate short-term storage duration
1-2 weeks
Appropriate short-term storage conditions
+4°C
Appropriate long-term storage conditions
-20°C
Aliquoting information
Upon delivery aliquot
Storage information
Avoid freeze / thaw cycle|Store in the dark

Supplementary information

This supplementary information is collated from multiple sources and compiled automatically.

C-reactive protein (CRP) also known as CRP protein is an acute-phase protein with a molecular mass of approximately 25 kDa. It is primarily synthesized in the liver in response to cytokines. This protein appears in the blood where it binds to phosphocholine expressed on the surface of dead or dying cells. CRP is often used as a biomarker for inflammation in the body and its levels in human and canine (anti CRP used) blood samples are measured using assays like the CRP ELISA test or CRP ELISA kit.
Biological function summary

CRP plays a significant role in the innate immune system by recognizing foreign pathogens and damaged cells. It does not form part of a larger complex but itself can bind to specific ligands initiating the complement cascade. This activation enhances phagocytosis by macrophages contributing to the clearance of necrotic and apoptotic cells. The CRP protein therefore acts as a fast responder in the presence of inflammation making it a useful indicator for monitoring inflammatory diseases.

Pathways

CRP operates predominantly within the acute-phase response pathway. Its production is upregulated by cytokines such as IL-6 which connects it to inflammation-signaling pathways. CRP also interacts with the complement system bridging innate and adaptive immunity. Besides CRP could indirectly influence pathways involving other inflammatory proteins like serum amyloid A and haptoglobin creating a network of responses important for managing inflammation.

Elevated CRP levels are commonly associated with cardiovascular diseases and rheumatoid arthritis. In cardiovascular diseases CRP acts as a marker for atherosclerosis where the protein levels correlate with disease severity. It connects with other proteins involved in inflammatory processes such as fibrinogen to contribute to disease pathology. In rheumatoid arthritis CRP provides insights into disease activity helping in the assessment of treatment responses.

Product protocols

For this product, it's our understanding that no specific protocols are required. You can visit:

Target data

Displays several functions associated with host defense : it promotes agglutination, bacterial capsular swelling, phagocytosis and complement fixation through its calcium-dependent binding to phosphorylcholine. Can interact with DNA and histones and may scavenge nuclear material released from damaged circulating cells.
See full target information CRP

Product promise

We are committed to supporting your work with high-quality reagents, and we're here for you every step of the way. In the unlikely event that one of our products does not perform as expected, you're protected by our Product Promise.
For full details, please see our Terms & Conditions

Associated Products

Select an associated product type
Alternative Version
Primary Antibodies

AB157242

Anti-C Reactive Protein antibody [Y284] - Low endotoxin, Azide free

primary-antibodies

c-reactive-protein-antibody-y284-low-endotoxin-azide-free-ab157242

0

(0 reviews)

Alternative Version
Primary Antibodies

AB271830

Anti-C Reactive Protein antibody [Y284] - BSA and Azide free

primary-antibodies

c-reactive-protein-antibody-y284-bsa-and-azide-free-ab271830

0

(0 reviews)

Alternative Version
Primary Antibodies

AB314471

Alexa Fluor® 488 Anti-C Reactive Protein antibody [Y284]

primary-antibodies

alexa-fluor-488-c-reactive-protein-antibody-y284-ab314471

0

(0 reviews)

Please note: All products are 'FOR RESEARCH USE ONLY. NOT FOR USE IN DIAGNOSTIC OR THERAPEUTIC PROCEDURES'.

For licensing inquiries, please contact partnerships@abcam.com