JavaScript is disabled in your browser. Please enable JavaScript to view this website.
AB195534

HRP Anti-CD11c antibody [EP1347Y]

Be the first to review this product! Submit a review

|

(2 Publications)

Rabbit Recombinant Monoclonal CD11c antibody - conjugated to HRP. Suitable for IHC-P, WB and reacts with Human samples. Cited in 2 publications.

View Alternative Names

CD11c, CD11C, ITGAX, Integrin alpha-X, CD11 antigen-like family member C, Leu M5

2 Images
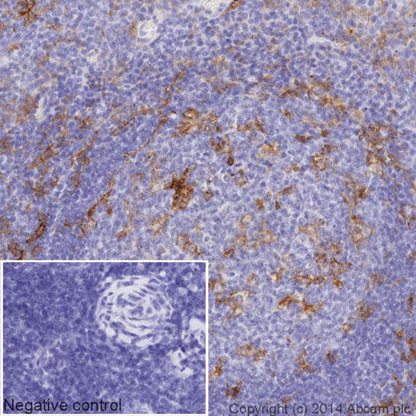
Immunohistochemistry (Formalin/PFA-fixed paraffin-embedded sections) - HRP Anti-CD11c antibody [EP1347Y] (AB195534)
  • IHC-P

Lab

Immunohistochemistry (Formalin/PFA-fixed paraffin-embedded sections) - HRP Anti-CD11c antibody [EP1347Y] (AB195534)

IHC image of CD11c staining in a section of formalin-fixed paraffin-embedded normal human tonsil tissue*, performed on a Leica BOND. The section was pre-treated using heat mediated antigen retrieval with sodium citrate buffer (pH6, epitope retrieval solution 1) for 20mins. The section was then incubated with ab195534 at 1/100 dilution, for 15 mins at room temperature. DAB was used as the chromogen. The section was then counterstained with haematoxylin and mounted with DPX. The inset negative control image is taken from an identical assay without primary antibody.

For other IHC staining systems (automated and non-automated) customers should optimize variable parameters such as antigen retrieval conditions, primary antibody concentration and antibody incubation times.

*Tissue obtained from the Human Research Tissue Bank, supported by the NIHR Cambridge Biomedical Research Centre

Western blot - HRP Anti-CD11c antibody [EP1347Y] (AB195534)
  • WB

Lab

Western blot - HRP Anti-CD11c antibody [EP1347Y] (AB195534)

This blot was produced using a 3-8% Tris Acetate gel under the TA buffer system. The gel was run at 150V for 60 minutes before being transferred onto a Nitrocellulose membrane at 30V for 70 minutes. The membrane was then blocked for an hour using 2% Bovine Serum Albumin before being incubated with ab195534 overnight at 4°C. Antibody binding was visualised using ECL development solution ab133406.

All lanes:

Western blot - HRP Anti-CD11c antibody [EP1347Y] (ab195534) at 1/5000 dilution

All lanes:

THP1 (Human acute monocytic leukemia cell line) + TPA Whole Cell Lysate at 10 µg

Predicted band size: 127 kDa

Observed band size: 150 kDa

true

Exposure time: 8s

Key facts

Host species

Rabbit

Clonality

Monoclonal

Clone number

EP1347Y

Isotype

IgG

Conjugation

HRP

Excitation/Emission
Carrier free

No

Reacts with

Human, Human

Applications

WB, IHC-P

applications

Immunogen

The exact immunogen used to generate this antibody is proprietary information.

Reactivity data

{ "title": "Reactivity Data", "filters": { "stats": ["", "Species", "Dilution Info", "Notes"], "tabs": { "all-applications": {"fullname" : "All Applications", "shortname": "All Applications"}, "IHCP" : {"fullname" : "Immunohistochemistry (Formalin/PFA-fixed paraffin-embedded sections)", "shortname":"IHC-P"}, "WB" : {"fullname" : "Western blot", "shortname":"WB"} }, "product-promise": { "all": "all", "testedAndGuaranteed": "tested", "guaranteed": "expected", "predicted": "predicted", "notRecommended": "not-recommended" } }, "values": { "Human": { "IHCP-species-checked": "testedAndGuaranteed", "IHCP-species-dilution-info": "1/100", "IHCP-species-notes": "<p><a href='/en-us/products/primary-antibodies/hrp-rabbit-igg-monoclonal-epr25a-isotype-control-ab199507'>ab199507</a> - Rabbit monoclonal IgG (HRP), is suitable for use an as isotype control with this antibody.</p>", "WB-species-checked": "testedAndGuaranteed", "WB-species-dilution-info": "1/5000", "WB-species-notes": "<p></p>" } } }

Product details

Patented technology
Our RabMAb® technology is a patented hybridoma-based technology for making rabbit monoclonal antibodies. For details on our patents, please refer to RabMAb® patents.

Properties and storage information

Form
Liquid
Purification technique
Affinity purification Protein A
Storage buffer
pH: 7.4 Preservative: 0.1% Proclin 300 Solution Constituents: PBS, 30% Glycerol (glycerin, glycerine), 1% BSA
Shipped at conditions
Blue Ice
Appropriate short-term storage duration
1-2 weeks
Appropriate short-term storage conditions
+4°C
Appropriate long-term storage conditions
-20°C
Storage information
Avoid freeze / thaw cycle|Store in the dark

Supplementary information

This supplementary information is collated from multiple sources and compiled automatically.

CD11c also known as ITGAX is a subunit of integrin proteins that plays a pivotal role in immune cell function. This protein has a molecular mass of about 150 kDa and is primarily expressed on the surface of dendritic cells monocytes and macrophages. It serves as a marker for these cells commonly utilized in applications like CD11c flow cytometry and CD11c IHC. Researchers often study this target using CD11c antibodies to explore immune system dynamics and cell surface characteristics.
Biological function summary

CD11c functions as an integrin alpha X subunit forming a heterodimer with the beta 2 subunit known as ITGB2. This complex is important for cell adhesion and migration processes. It mediates the binding of leukocytes to endothelial cells facilitating their migration from the bloodstream to sites of inflammation or infection. CD11c's presence on immune cells makes it essential for presenting antigens and initiating immune responses therefore having critical implications for immunity.

Pathways

CD11c plays a significant role in the immune system particularly in the leukocyte adhesion and migration pathways. It partners with proteins like ITGB2 to mediate these functions. The signaling pathways involving CD11c and related molecules regulate leukocyte trafficking and activation ensuring proper localization and function at sites of damage or infection. These pathways are essential for maintaining immune homeostasis and prompt responses to pathogens.

CD11c has significant connections to autoimmune diseases and chronic inflammatory conditions. Aberrant CD11c expression or activity can contribute to the pathogenesis of conditions like rheumatoid arthritis where leukocyte migration and persistent inflammation play a role. Studies also link CD11c with proteins involved in these disorders highlighting its importance in disease progression and potential as a therapeutic target. The understanding of CD11c's role in these conditions can guide the development of treatments aimed at modulating immune responses.

Product protocols

For this product, it's our understanding that no specific protocols are required. You can visit:

Target data

Integrin alpha-X/beta-2 is a receptor for fibrinogen. It recognizes the sequence G-P-R in fibrinogen. It mediates cell-cell interaction during inflammatory responses. It is especially important in monocyte adhesion and chemotaxis. Functions as a receptor of the erythrocyte-specific adhesion molecule ICAM4 and mediates erythrophagocytosis (PubMed : 16985175).
See full target information ITGAX

Publications (2)

Recent publications for all applications. Explore the full list and refine your search

International journal of biological sciences 20:367-386 PubMed38164187

2024

Rebalancing TGF-β/PGE breaks RT-induced immunosuppressive barriers by enhancing tumor-infiltrated dendritic cell homing.

Applications

Unspecified application

Species

Unspecified reactive species

Ziqi Zhou,Qianqian Zhou,Jing Zhao,Xiaorong Hou,Junfang Yan,Xiansong Sun,Zhiwei Yang,Jiabin Ma,Fuquan Zhang,Linsheng Zhan,Ke Hu

Neurogastroenterology and motility 30:e13318 PubMed29488287

2018

Electro-acupuncture at ST37 and ST25 induce different effects on colonic motility via the enteric nervous system by affecting excitatory and inhibitory neurons.

Applications

Unspecified application

Species

Unspecified reactive species

C Liang,K-Y Wang,M-R Gong,Q Li,Z Yu,B Xu
View all publications

Product promise

We are committed to supporting your work with high-quality reagents, and we're here for you every step of the way. In the unlikely event that one of our products does not perform as expected, you're protected by our Product Promise.
For full details, please see our Terms & Conditions

Please note: All products are 'FOR RESEARCH USE ONLY. NOT FOR USE IN DIAGNOSTIC OR THERAPEUTIC PROCEDURES'.

For licensing inquiries, please contact partnerships@abcam.com