JavaScript is disabled in your browser. Please enable JavaScript to view this website.
AB195896

HRP Anti-CD19 antibody [EPR5906]

Be the first to review this product! Submit a review

|

(0 Publication)

Rabbit Recombinant Monoclonal CD19 antibody - conjugated to HRP. Suitable for IHC-P, WB and reacts with Human samples.

View Alternative Names

CD19, B-lymphocyte antigen CD19, B-lymphocyte surface antigen B4, Differentiation antigen CD19, T-cell surface antigen Leu-12

2 Images
Western blot - HRP Anti-CD19 antibody [EPR5906] (AB195896)
  • WB

Lab

Western blot - HRP Anti-CD19 antibody [EPR5906] (AB195896)

This blot was produced using a 4-12% Bis-tris gel under the MOPS buffer system. The gel was run at 200V for 50 minutes before being transferred onto a Nitrocellulose membrane at 30V for 70 minutes. The membrane was then blocked for an hour using 2% Bovine Serum Albumin before being incubated with ab195896 overnight at 4°C. Antibody binding was visualised using ECL development solution ab133406.

All lanes:

Western blot - HRP Anti-CD19 antibody [EPR5906] (ab195896) at 1/5000 dilution

All lanes:

Ramos (Human Burkitt's lymphoma cell line) Whole Cell Lysate at 10 µg

Predicted band size: 61 kDa

Observed band size: 85 kDa

true

Exposure time: 3min

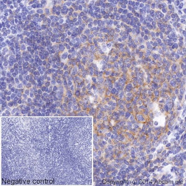
Immunohistochemistry (Formalin/PFA-fixed paraffin-embedded sections) - HRP Anti-CD19 antibody [EPR5906] (AB195896)
  • IHC-P

Lab

Immunohistochemistry (Formalin/PFA-fixed paraffin-embedded sections) - HRP Anti-CD19 antibody [EPR5906] (AB195896)

IHC image of CD19 staining in a section of formalin-fixed paraffin-embedded normal human tonsil*, performed on a Leica BOND. The section was pre-treated using heat mediated antigen retrieval with sodium citrate buffer (pH6, epitope retrieval solution 1) for 20mins. The section was then incubated with ab195896, 1/50 dilution, for 15 mins at room temperature. DAB was used as the chromogen. The section was then counterstained with haematoxylin and mounted with DPX. The inset negative control image is taken from an identical assay without primary antibody.

For other IHC staining systems (automated and non-automated) customers should optimize variable parameters such as antigen retrieval conditions, primary antibody concentration and antibody incubation times.

*Tissue obtained from the Human Research Tissue Bank, supported by the NIHR Cambridge Biomedical Research Centre

Key facts

Host species

Rabbit

Clonality

Monoclonal

Clone number

EPR5906

Isotype

IgG

Conjugation

HRP

Excitation/Emission
Carrier free

No

Reacts with

Human

Applications

WB, IHC-P

applications

Immunogen

The exact immunogen used to generate this antibody is proprietary information.

Reactivity data

{ "title": "Reactivity Data", "filters": { "stats": ["", "Species", "Dilution Info", "Notes"], "tabs": { "all-applications": {"fullname" : "All Applications", "shortname": "All Applications"}, "IHCP" : {"fullname" : "Immunohistochemistry (Formalin/PFA-fixed paraffin-embedded sections)", "shortname":"IHC-P"}, "WB" : {"fullname" : "Western blot", "shortname":"WB"} }, "product-promise": { "all": "all", "testedAndGuaranteed": "tested", "guaranteed": "expected", "predicted": "predicted", "notRecommended": "not-recommended" } }, "values": { "Human": { "IHCP-species-checked": "testedAndGuaranteed", "IHCP-species-dilution-info": "1/50", "IHCP-species-notes": "<p><a href='/en-us/products/primary-antibodies/hrp-rabbit-igg-monoclonal-epr25a-isotype-control-ab199507'>ab199507</a> - Rabbit monoclonal IgG (HRP), is suitable for use an as isotype control with this antibody.</p> Perform heat-mediated antigen retrieval with citrate buffer pH 6 before commencing with IHC staining protocol.", "WB-species-checked": "testedAndGuaranteed", "WB-species-dilution-info": "1/5000", "WB-species-notes": "<p></p>" } } }

Product details

Properties and storage information

Form
Liquid
Purification technique
Affinity purification Protein A
Storage buffer
pH: 7.4 Preservative: 0.1% Proclin 300 Solution Constituents: PBS, 30% Glycerol (glycerin, glycerine), 1% BSA
Shipped at conditions
Blue Ice
Appropriate short-term storage duration
1-2 weeks
Appropriate short-term storage conditions
+4°C
Appropriate long-term storage conditions
-20°C
Aliquoting information
Upon delivery aliquot
Storage information
Avoid freeze / thaw cycle|Store in the dark

Supplementary information

This supplementary information is collated from multiple sources and compiled automatically.

CD19 is a transmembrane protein also known as B4 or B-lymphocyte antigen CD19 with an approximate molecular weight of 95 kDa. It is expressed on the surface of B cells throughout their development from pro-B cells to mature B cells. CD19 functions mechanically as a coreceptor enhancing the sensitivity of B cell receptor (BCR) signaling. This protein plays a significant role in promoting the activation and proliferation of B cells by lowering the threshold for antigen receptor engagement.
Biological function summary

CD19 acts as an essential player in B cell signaling. CD19 integrates signals from the BCR with other coreceptors acting as a signaling hub. It participates in forming a signaling complex that includes proteins like CD21 and CD81 which further amplifies BCR-mediated signaling. This complex plays a critical role in B cell activation differentiation and survival ensuring that immune responses are efficiently mounted against pathogens.

Pathways

The CD19 protein fits into key immune response pathways such as the BCR signaling pathway and the PI3K-Akt signaling pathway. CD19 collaborates with other proteins like CD21 CD81 and PI3K within these pathways. Its interaction in the PI3K-Akt pathway for instance supports critical processes including B cell activation and homeostasis contributing to the adaptive immune response.

CD19 is connected to B cell malignancies and autoimmune diseases. B cell acute lymphoblastic leukemia (ALL) often shows aberrant CD19 expression making it a valuable target for therapeutic interventions like anti-CD19 monoclonal antibodies. Additionally overexpression or mutations of CD19 may contribute to autoimmune diseases by disrupting normal B cell regulation. CD19's connection with proteins like CD22 and CD20 in these pathological contexts highlights its relevance in developing targeted therapies.

Product protocols

For this product, it's our understanding that no specific protocols are required. You can visit:

Target data

Functions as a coreceptor for the B-cell antigen receptor complex (BCR) on B-lymphocytes (PubMed : 29523808). Decreases the threshold for activation of downstream signaling pathways and for triggering B-cell responses to antigens (PubMed : 1373518, PubMed : 16672701, PubMed : 2463100). Activates signaling pathways that lead to the activation of phosphatidylinositol 3-kinase and the mobilization of intracellular Ca(2+) stores (PubMed : 12387743, PubMed : 16672701, PubMed : 9317126, PubMed : 9382888). Is not required for early steps during B cell differentiation in the blood marrow (PubMed : 9317126). Required for normal differentiation of B-1 cells (By similarity). Required for normal B cell differentiation and proliferation in response to antigen challenges (PubMed : 1373518, PubMed : 2463100). Required for normal levels of serum immunoglobulins, and for production of high-affinity antibodies in response to antigen challenge (PubMed : 12387743, PubMed : 16672701, PubMed : 9317126).
See full target information CD19

Product promise

We are committed to supporting your work with high-quality reagents, and we're here for you every step of the way. In the unlikely event that one of our products does not perform as expected, you're protected by our Product Promise.
For full details, please see our Terms & Conditions

Associated Products

Select an associated product type
Alternative Product
Primary Antibodies

AB227019

Anti-CD19 antibody

primary-antibodies

cd19-antibody-ab227019

0

(1 reviews)

Alternative Product
Primary Antibodies

AB18224

APC Anti-CD19 antibody [LT19]

primary-antibodies

apc-cd19-antibody-lt19-ab18224

0

(0 reviews)

Alternative Product
Primary Antibodies

AB239315

PE/Cy7® Anti-CD19 antibody [LT19]

primary-antibodies

pe-cy7-cd19-antibody-lt19-ab239315

0

(0 reviews)

Alternative Product
Primary Antibodies

AB18229

PE Anti-CD19 antibody [LT19]

primary-antibodies

pe-cd19-antibody-lt19-ab18229

4

(1 reviews)

Alternative Product
Primary Antibodies

AB233279

APC/Cy7® Anti-CD19 antibody [LT19]

primary-antibodies

apc-cy7-cd19-antibody-lt19-ab233279

0

(0 reviews)

Alternative Product
Primary Antibodies

AB157303

PE/Cy5® Anti-CD19 antibody [4G7]

primary-antibodies

pe-cy5-cd19-antibody-4g7-ab157303

0

(0 reviews)

Alternative Product
Primary Antibodies

AB157324

PerCP/Cy5.5® Anti-CD19 antibody [4G7]

primary-antibodies

percp-cy55-cd19-antibody-4g7-ab157324

4

(1 reviews)

Alternative Product
Primary Antibodies

AB178449

PE/DyLight™ 594 Anti-CD19 antibody [4G7]

primary-antibodies

pe-dylight-594-cd19-antibody-4g7-ab178449

0

(0 reviews)

Alternative Product
Primary Antibodies

AB25548

PE/Cy5.5® Anti-CD19 antibody [6D5]

primary-antibodies

pe-cy55-cd19-antibody-6d5-ab25548

0

(0 reviews)

Alternative Product
Primary Antibodies

AB25295

Cy5 ® Anti-CD19 antibody [6D5]

primary-antibodies

cy5-cd19-antibody-6d5-ab25295

0

(0 reviews)

Alternative Product
Primary Antibodies

AB242261

redFluor™ 710 Anti-CD19 antibody [HIB19]

primary-antibodies

redfluor-710-cd19-antibody-hib19-ab242261

0

(0 reviews)

Alternative Product
Primary Antibodies

AB241934

violetFluor™ 450 Anti-CD19 antibody [1D3]

primary-antibodies

violetfluor-450-cd19-antibody-1d3-ab241934

0

(0 reviews)

Alternative Product
Primary Antibodies

AB242271

violetFluor™ 450 Anti-CD19 antibody [HIB19]

primary-antibodies

violetfluor-450-cd19-antibody-hib19-ab242271

0

(0 reviews)

Alternative Product
Primary Antibodies

AB25232

Anti-CD19 antibody [6D5]

primary-antibodies

cd19-antibody-6d5-ab25232

3

(3 reviews)

Alternative Product
Primary Antibodies

AB25484

APC Anti-CD19 antibody [6D5]

primary-antibodies

apc-cd19-antibody-6d5-ab25484

4

(2 reviews)

Alternative Version
Primary Antibodies

AB274888

Alexa Fluor® 555 Anti-CD19 antibody [EPR5906]

primary-antibodies

alexa-fluor-555-cd19-antibody-epr5906-ab274888

5

(1 reviews)

Alternative Version
Primary Antibodies

AB215382

Anti-CD19 antibody [EPR5906] - Low endotoxin, Azide free

primary-antibodies

cd19-antibody-epr5906-low-endotoxin-azide-free-ab215382

0

(0 reviews)

Alternative Version
Primary Antibodies

AB196515

Alexa Fluor® 647 Anti-CD19 antibody [EPR5906]

primary-antibodies

alexa-fluor-647-cd19-antibody-epr5906-ab196515

5

(1 reviews)

Alternative Version
Primary Antibodies

AB196468

Alexa Fluor® 488 Anti-CD19 antibody [EPR5906]

primary-antibodies

alexa-fluor-488-cd19-antibody-epr5906-ab196468

2

(3 reviews)

Please note: All products are 'FOR RESEARCH USE ONLY. NOT FOR USE IN DIAGNOSTIC OR THERAPEUTIC PROCEDURES'.

For licensing inquiries, please contact partnerships@abcam.com