JavaScript is disabled in your browser. Please enable JavaScript to view this website.
AB202354

HRP Anti-CD21 antibody [EP3093]

Be the first to review this product! Submit a review

|

(0 Publication)

Rabbit Recombinant Monoclonal CD21 antibody - conjugated to HRP. Suitable for IHC-P, WB and reacts with Human samples.

View Alternative Names

CD21, C3DR, CR2, Complement receptor type 2, Cr2, Complement C3d receptor, Epstein-Barr virus receptor, EBV receptor

2 Images
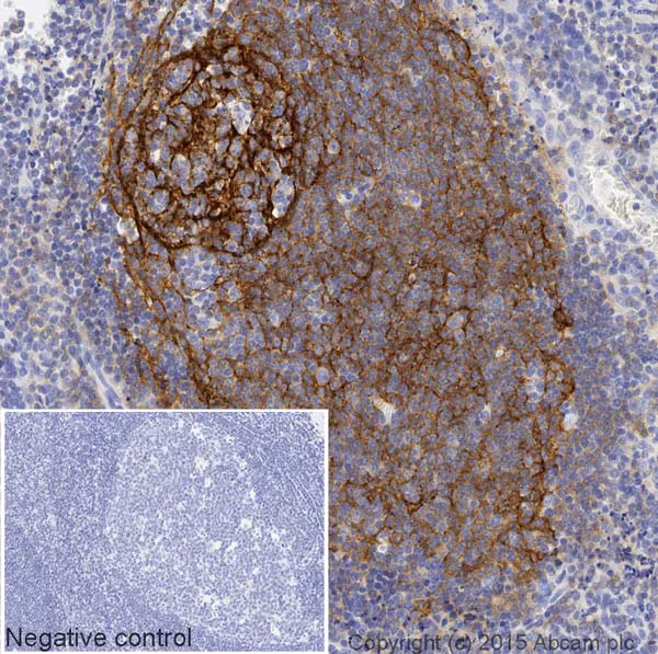
Immunohistochemistry (Formalin/PFA-fixed paraffin-embedded sections) - HRP Anti-CD21 antibody [EP3093] (AB202354)
  • IHC-P

Lab

Immunohistochemistry (Formalin/PFA-fixed paraffin-embedded sections) - HRP Anti-CD21 antibody [EP3093] (AB202354)

IHC image of CD21 staining in a section of formalin-fixed paraffin-embedded normal human tonsil tissue*, performed on a Leica BONDTM. The section was pre-treated using heat mediated antigen retrieval with sodium citrate buffer (pH6, epitope retrieval solution 1) for 20mins. The section was then incubated with ab202354, 1/250 dilution, for 15 mins at room temperature. DAB was used as the chromogen. The section was then counterstained with haematoxylin and mounted with DPX. The inset negative control image is taken from an identical assay without primary antibody.

For other IHC staining systems (automated and non-automated) customers should optimize variable parameters such as antigen retrieval conditions, primary antibody concentration and antibody incubation times.

*Tissue obtained from the Human Research Tissue Bank, supported by the NIHR Cambridge Biomedical Research Centre

Western blot - HRP Anti-CD21 antibody [EP3093] (AB202354)
  • WB

Lab

Western blot - HRP Anti-CD21 antibody [EP3093] (AB202354)

This blot was produced using a 3-8% Tris Acetate gel under the TA buffer system. The gel was run at 150V for 60 minutes before being transferred onto a Nitrocellulose membrane at 30V for 70 minutes. The membrane was then blocked for an hour using 3% milk before being incubated with ab202354 overnight at 4°C. Antibody binding was visualised using ECL development solution ab133406.

All lanes:

Western blot - HRP Anti-CD21 antibody [EP3093] (ab202354) at 1/5000 dilution

All lanes:

Raji (Human Burkitt's lymphoma cell line) Whole Cell Lysate at 10 µg

Predicted band size: 113 kDa

Observed band size: 155 kDa

true

Exposure time: 8min

Key facts

Host species

Rabbit

Clonality

Monoclonal

Clone number

EP3093

Isotype

IgG

Conjugation

HRP

Excitation/Emission
Carrier free

No

Reacts with

Human

Applications

IHC-P, WB

applications

Immunogen

The exact immunogen used to generate this antibody is proprietary information.

Reactivity data

{ "title": "Reactivity Data", "filters": { "stats": ["", "Species", "Dilution Info", "Notes"], "tabs": { "all-applications": {"fullname" : "All Applications", "shortname": "All Applications"}, "IHCP" : {"fullname" : "Immunohistochemistry (Formalin/PFA-fixed paraffin-embedded sections)", "shortname":"IHC-P"}, "WB" : {"fullname" : "Western blot", "shortname":"WB"} }, "product-promise": { "all": "all", "testedAndGuaranteed": "tested", "guaranteed": "expected", "predicted": "predicted", "notRecommended": "not-recommended" } }, "values": { "Human": { "IHCP-species-checked": "testedAndGuaranteed", "IHCP-species-dilution-info": "1/250", "IHCP-species-notes": "<p></p>", "WB-species-checked": "testedAndGuaranteed", "WB-species-dilution-info": "1/5000", "WB-species-notes": "<p></p>" }, "Mouse": { "IHCP-species-checked": "predicted", "IHCP-species-dilution-info": "", "IHCP-species-notes": "", "WB-species-checked": "predicted", "WB-species-dilution-info": "", "WB-species-notes": "" } } }

You may be interested in:

AB45909

Human CD21 ELISA Kit

0

0 Reviews

View product

We recommend this product because it’s often used in the same experiment or related research.

We advise that you always check the datasheet to ensure it fits your experiments, or contact ourtechnical teamfor help.

Product details

Patented technology
Our RabMAb® technology is a patented hybridoma-based technology for making rabbit monoclonal antibodies. For details on our patents, please refer to RabMAb® patents.

Properties and storage information

Form
Liquid
Purification technique
Affinity purification Protein A
Storage buffer
pH: 7.4 Preservative: 0.1% Proclin 300 Solution Constituents: PBS, 30% Glycerol (glycerin, glycerine), 1% BSA
Shipped at conditions
Blue Ice
Appropriate short-term storage duration
1-2 weeks
Appropriate short-term storage conditions
+4°C
Appropriate long-term storage conditions
-20°C
Aliquoting information
Upon delivery aliquot
Storage information
Avoid freeze / thaw cycle|Store in the dark

Supplementary information

This supplementary information is collated from multiple sources and compiled automatically.

CD21 also known as complement receptor type 2 (CR2) or BU32 is a protein primarily expressed on the surface of B cells and some T cells. It functions as a receptor for complement component C3d EBV (Epstein-Barr Virus) and IFN-α. CD21 weighs approximately 145 kDa and belongs to the membrane protein family. Detection of CD21 can be done via immunohistochemistry (IHC) and blood tests. This marker is valuable for identifying cell populations that have roles in immune responses.
Biological function summary

Complement receptor type 2 is key in the immune system by facilitating B cell activation and proliferation. CD21 forms complexes with CD19 and CD81 increasing the sensitivity of B cells to antigens. This interaction enhances signal transduction enabling B lymphocytes to respond effectively to pathogens. The protein also plays a role in regulating immune tolerance and maintaining humoral immunity being important not only in immune defense but also in preventing autoimmunity.

Pathways

CD21 interacts with complement activation and immune response pathways. It connects with CD19 in a pivotal role where it further amplifies signaling in B lymphocytes. This interaction strengthens the downstream signaling of BCR (B cell receptor) important for antibody production. CD21 contributes to bridging the innate and adaptive immunological pathways by engaging components like C3d.

CD21 shows significant relevance in systemic lupus erythematosus (SLE) and some B cell lymphomas. Deficiencies or mutations in CD21 can lead to defective immune responses and increased susceptibility to autoimmune conditions such as SLE where CD19 is also implicated. Furthermore in Epstein-Barr Virus infections CD21 serves as an entry receptor facilitating pathogen establishment which can result in chronic conditions or even malignancies.

Product protocols

For this product, it's our understanding that no specific protocols are required. You can visit:

Target data

Serves as a receptor for various ligands including complement component CD3d, HNRNPU OR IFNA1 (PubMed : 1849076, PubMed : 21527715, PubMed : 7753047). When C3d is bound to antigens, attaches to C3d on B-cell surface and thereby facilitates the recognition and uptake of antigens by B-cells (PubMed : 21527715). This interaction enhances B-cell activation and subsequent immune responses. Forms a complex with several partners on the surface of B-cells including CD19, FCRL5 and CD81, to form the B-cell coreceptor complex that plays a crucial role in B-cell activation and signaling (PubMed : 1383329, PubMed : 30107486). Induces also specific intracellular signaling separately from the BCR and CD19 by activating the tyrosine kinase SRC, which then phosphorylates nucleolin/NCL and triggers AKT and GSK3 kinase activities in a SYK/CD19-independent manner (PubMed : 12938232). Acts as a ligand for CD23 (FcepsilonRII), a low-affinity receptor for IgE, which is expressed on B-cells and other immune cells, and thus participates in the regulation of IgE production (PubMed : 1386409).. (Microbial infection) Acts as a receptor for Epstein-Barr virus.
See full target information CR2

Product promise

We are committed to supporting your work with high-quality reagents, and we're here for you every step of the way. In the unlikely event that one of our products does not perform as expected, you're protected by our Product Promise.
For full details, please see our Terms & Conditions

Associated Products

Select an associated product type
Alternative Product
Primary Antibodies

AB237981

Anti-CD21 antibody [CR2/1953]

primary-antibodies

cd21-antibody-cr2-1953-ab237981

0

(0 reviews)

Alternative Product
Primary Antibodies

AB201303

PE/Cy5® Anti-CD21 antibody [LT21]

primary-antibodies

pe-cy5-cd21-antibody-lt21-ab201303

0

(0 reviews)

Alternative Product
Primary Antibodies

AB187583

Alexa Fluor® 647 Anti-CD21 antibody [LT21]

primary-antibodies

alexa-fluor-647-cd21-antibody-lt21-ab187583

0

(0 reviews)

Alternative Product
Primary Antibodies

AB203299

Anti-CD21 antibody - C-terminal

primary-antibodies

cd21-antibody-c-terminal-ab203299

0

(0 reviews)

Alternative Product
Primary Antibodies

AB7290

Anti-CD21 antibody [1F8], prediluted

primary-antibodies

cd21-antibody-1f8-prediluted-ab7290

0

(0 reviews)

Alternative Product
Primary Antibodies

AB46900

Anti-CD21 antibody [B-E5] - BSA and Azide free

primary-antibodies

cd21-antibody-b-e5-bsa-and-azide-free-ab46900

0

(0 reviews)

Alternative Product
Primary Antibodies

AB240987

Anti-CD21 antibody [SP186] - BSA and Azide free

primary-antibodies

cd21-antibody-sp186-bsa-and-azide-free-ab240987

0

(0 reviews)

Alternative Product
Primary Antibodies

AB65809

FITC Anti-CD21 antibody [LT21]

primary-antibodies

fitc-cd21-antibody-lt21-ab65809

0

(0 reviews)

Alternative Product
Primary Antibodies

AB54253

Anti-CD21 antibody [Bu32]

primary-antibodies

cd21-antibody-bu32-ab54253

0

(0 reviews)

Alternative Product
Primary Antibodies

AB227662

Anti-CD21 antibody [SP186] - C-terminal

primary-antibodies

cd21-antibody-sp186-c-terminal-ab227662

0

(0 reviews)

Alternative Product
Primary Antibodies

AB227668

Anti-CD21 antibody [SP199]

primary-antibodies

cd21-antibody-sp199-ab227668

0

(0 reviews)

Alternative Product
Primary Antibodies

AB240988

Anti-CD21 antibody [SP199] - BSA and Azide free

primary-antibodies

cd21-antibody-sp199-bsa-and-azide-free-ab240988

0

(0 reviews)

Alternative Version
Primary Antibodies

AB202692

Alexa Fluor® 488 Anti-CD21 antibody [EP3093]

primary-antibodies

alexa-fluor-488-cd21-antibody-ep3093-ab202692

0

(0 reviews)

Alternative Version
Primary Antibodies

AB202693

Alexa Fluor® 647 Anti-CD21 antibody [EP3093]

primary-antibodies

alexa-fluor-647-cd21-antibody-ep3093-ab202693

5

(1 reviews)

Alternative Version
Primary Antibodies

AB193554

Anti-CD21 antibody [EP3093] - Low endotoxin, Azide free

primary-antibodies

cd21-antibody-ep3093-low-endotoxin-azide-free-ab193554

0

(0 reviews)

Please note: All products are 'FOR RESEARCH USE ONLY. NOT FOR USE IN DIAGNOSTIC OR THERAPEUTIC PROCEDURES'.

For licensing inquiries, please contact partnerships@abcam.com