JavaScript is disabled in your browser. Please enable JavaScript to view this website.
AB309977

HRP Anti-CD55 antibody [EPR6689]

Be the first to review this product! Submit a review

|

(0 Publication)

Rabbit Recombinant Monoclonal DAF antibody - conjugated to HRP. Suitable for IHC-P and reacts with Human samples.

View Alternative Names

CD55, CR, DAF, Complement decay-accelerating factor

4 Images
Immunohistochemistry (Formalin/PFA-fixed paraffin-embedded sections) - HRP Anti-CD55 antibody [EPR6689] (AB309977)
  • IHC-P

Supplier Data

Immunohistochemistry (Formalin/PFA-fixed paraffin-embedded sections) - HRP Anti-CD55 antibody [EPR6689] (AB309977)

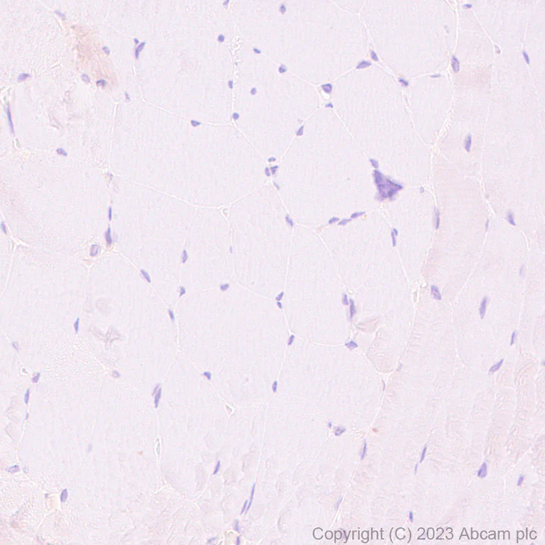
Immunohistochemical analysis of paraffin-embedded Human skeletal muscle tissue labelling CD55 with ab309977 at 1/200 (2.5 μg/ml). Negative control : no staining on human skeletal muscle. The section was incubated with ab309977 for 30 mins at room temperature. The immunostaining was performed on a Leica Biosystems BOND® RX instrument Counterstained with Hematoxylin. Heat mediated antigen retrieval was performed with Tris-EDTA buffer (pH 9.0, Epitope Retrieval Solution2) for 20 mins.

Immunohistochemistry (Formalin/PFA-fixed paraffin-embedded sections) - HRP Anti-CD55 antibody [EPR6689] (AB309977)
  • IHC-P

Supplier Data

Immunohistochemistry (Formalin/PFA-fixed paraffin-embedded sections) - HRP Anti-CD55 antibody [EPR6689] (AB309977)

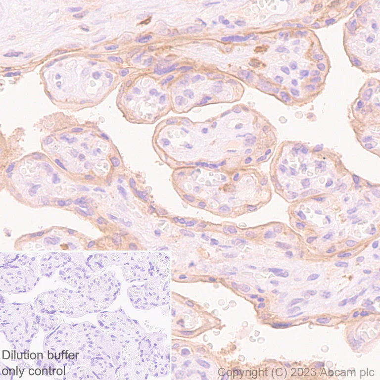
Immunohistochemical analysis of paraffin-embedded Human placenta tissue labelling CD55 with ab309977 at 1/200 (2.5 μg/ml). Membranous staining on human placenta. The section was incubated with ab309977 for 30 mins at room temperature. The immunostaining was performed on a Leica Biosystems BOND® RX instrument Counterstained with Hematoxylin. Heat mediated antigen retrieval was performed with Tris-EDTA buffer (pH 9.0, Epitope Retrieval Solution2) for 20 mins.

Immunohistochemistry (Formalin/PFA-fixed paraffin-embedded sections) - HRP Anti-CD55 antibody [EPR6689] (AB309977)
  • IHC-P

Supplier Data

Immunohistochemistry (Formalin/PFA-fixed paraffin-embedded sections) - HRP Anti-CD55 antibody [EPR6689] (AB309977)

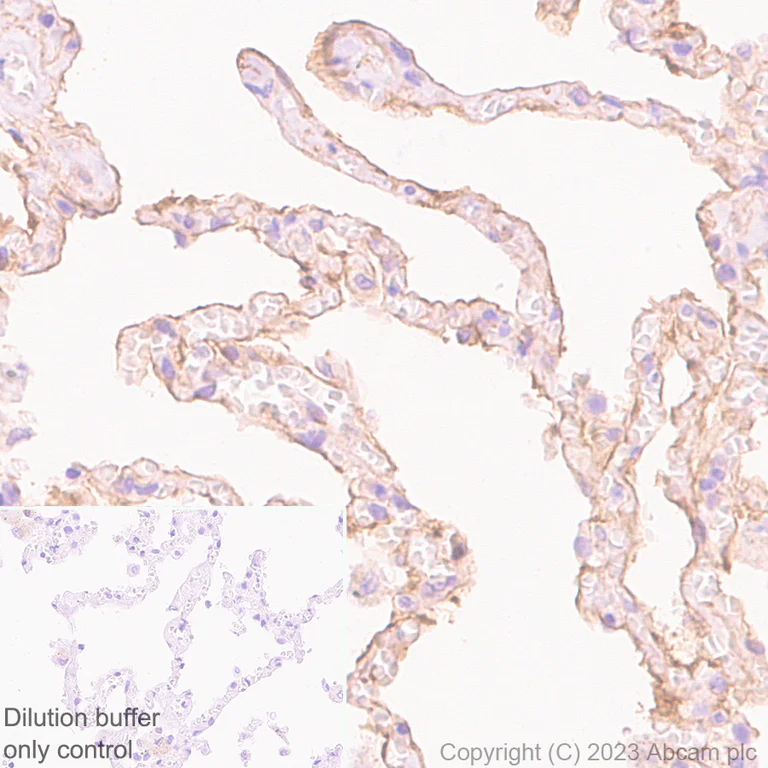
Immunohistochemical analysis of paraffin-embedded Human lung tissue labelling CD55 with ab309977 at 1/200 (2.5 μg/ml). Membranous staining on human lung. The section was incubated with ab309977 for 30 mins at room temperature. The immunostaining was performed on a Leica Biosystems BOND® RX instrument Counterstained with Hematoxylin. Heat mediated antigen retrieval was performed with Tris-EDTA buffer (pH 9.0, Epitope Retrieval Solution2) for 20 mins.

Immunohistochemistry (Formalin/PFA-fixed paraffin-embedded sections) - HRP Anti-CD55 antibody [EPR6689] (AB309977)
  • IHC-P

Supplier Data

Immunohistochemistry (Formalin/PFA-fixed paraffin-embedded sections) - HRP Anti-CD55 antibody [EPR6689] (AB309977)

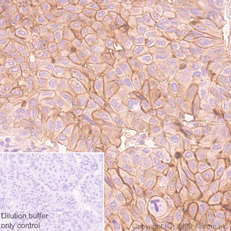
Immunohistochemical analysis of paraffin-embedded Human lung cancer tissue labelling CD55 with ab309977 at 1/200 (2.5 μg/ml). Membranous staining on human lung cancer. The section was incubated with ab309977 for 30 mins at room temperature. The immunostaining was performed on a Leica Biosystems BOND® RX instrument Counterstained with Hematoxylin. Heat mediated antigen retrieval was performed with Tris-EDTA buffer (pH 9.0, Epitope Retrieval Solution2) for 20 mins.

Key facts

Host species

Rabbit

Clonality

Monoclonal

Clone number

EPR6689

Isotype

IgG

Conjugation

HRP

Excitation/Emission
Carrier free

No

Reacts with

Human

Applications

IHC-P

applications

Immunogen

The exact immunogen used to generate this antibody is proprietary information.

Reactivity data

{ "title": "Reactivity Data", "filters": { "stats": ["", "Species", "Dilution Info", "Notes"], "tabs": { "all-applications": {"fullname" : "All Applications", "shortname": "All Applications"}, "IHCP" : {"fullname" : "Immunohistochemistry (Formalin/PFA-fixed paraffin-embedded sections)", "shortname":"IHC-P"} }, "product-promise": { "all": "all", "testedAndGuaranteed": "tested", "guaranteed": "expected", "predicted": "predicted", "notRecommended": "not-recommended" } }, "values": { "Human": { "IHCP-species-checked": "testedAndGuaranteed", "IHCP-species-dilution-info": "1/200", "IHCP-species-notes": "<p></p>" } } }

Product details

Patented technology
Our RabMAb® technology is a patented hybridoma-based technology for making rabbit monoclonal antibodies. For details on our patents, please refer to RabMAb® patents.

What are the advantages of a recombinant monoclonal antibody?
This product is a recombinant monoclonal antibody, which offers several advantages including:

  • - High batch-to-batch consistency and reproducibility
  • - Improved sensitivity and specificity
  • - Long-term security of supply
  • - Animal-free batch production

For more information, read more on recombinant antibodies.

Properties and storage information

Form
Liquid
Purification technique
Affinity purification Protein A
Storage buffer
pH: 7.4 Preservative: 0.1% Proclin 300 Solution Constituents: PBS, 30% Glycerol (glycerin, glycerine), 1% BSA
Shipped at conditions
Blue Ice
Appropriate short-term storage duration
1-2 weeks
Appropriate short-term storage conditions
+4°C
Appropriate long-term storage conditions
-20°C
Aliquoting information
Upon delivery aliquot
Storage information
Avoid freeze / thaw cycle|Store in the dark

Supplementary information

This supplementary information is collated from multiple sources and compiled automatically.

CD55 also known as Decay-Accelerating Factor (DAF) is a glycoprotein that regulates the complement cascade. This protein typically weighs around 70 kDa. It is expressed in many cells including epithelial and endothelial cells and is often present on the surface of blood cells. CD55 plays an important role in protecting cells against lysis by inhibiting the formation and stability of C3 and C5 convertases which ultimately prevent cell destruction by the complement system.
Biological function summary

CD55 helps maintain immune homeostasis by preventing the complement-mediated damage to host tissues. It functions as a member of the regulators of complement activation (RCA) family. While not necessarily part of a larger protein complex its function is related to other regulatory proteins such as CD46 and CD59 which cooperate to regulate complement activity. The DAF protein's immunology function is instrumental in ensuring that self-cells are not inadvertently attacked by the body's immune system.

Pathways

CD55 significantly impacts the complement pathway which is a central component of the innate immune system. It directly interacts with complement components C3 and C5 accelerating their decay and disassembly. Through this pathway CD55 has a working relationship with other complement regulatory proteins like Factor H which also aids in controlling complement activation on the cell surface.

A dysfunctional CD55 can relate to conditions such as paroxysmal nocturnal hemoglobinuria (PNH) and atypical hemolytic uremic syndrome (aHUS). In PNH the absence or insufficiency of CD55 (and CD59) on red blood cells leads to complement-mediated lysis causing hemolytic anemia. In aHUS impaired regulation of the complement system including abnormalities in CD55 function exacerbates symptoms. CD55's role is therefore important in preventing these complement-related disorders and preserving cellular integrity in the human body.

Product protocols

For this product, it's our understanding that no specific protocols are required. You can visit:

Target data

This protein recognizes C4b and C3b fragments that condense with cell-surface hydroxyl or amino groups when nascent C4b and C3b are locally generated during C4 and c3 activation. Interaction of daf with cell-associated C4b and C3b polypeptides interferes with their ability to catalyze the conversion of C2 and factor B to enzymatically active C2a and Bb and thereby prevents the formation of C4b2a and C3bBb, the amplification convertases of the complement cascade (PubMed : 7525274). Inhibits complement activation by destabilizing and preventing the formation of C3 and C5 convertases, which prevents complement damage (PubMed : 28657829).. (Microbial infection) Acts as a receptor for Coxsackievirus A21, coxsackieviruses B1, B3 and B5.. (Microbial infection) Acts as a receptor for Human enterovirus 70 and D68 (Probable).. (Microbial infection) Acts as a receptor for Human echoviruses 6, 7, 11, 12, 20 and 21.
See full target information CD55

Product promise

We are committed to supporting your work with high-quality reagents, and we're here for you every step of the way. In the unlikely event that one of our products does not perform as expected, you're protected by our Product Promise.
For full details, please see our Terms & Conditions

Please note: All products are 'FOR RESEARCH USE ONLY. NOT FOR USE IN DIAGNOSTIC OR THERAPEUTIC PROCEDURES'.

For licensing inquiries, please contact partnerships@abcam.com