JavaScript is disabled in your browser. Please enable JavaScript to view this website.
AB207526

HRP Anti-cIAP1 antibody [EPR4673]

Be the first to review this product! Submit a review

|

(1 Publication)

Rabbit Recombinant Monoclonal cIAP1 antibody - conjugated to HRP. Suitable for IHC-P, WB and reacts with Human samples. Cited in 1 publication.

View Alternative Names

API1, MIHB, RNF48, BIRC2, Baculoviral IAP repeat-containing protein 2, Cellular inhibitor of apoptosis 1, IAP homolog B, Inhibitor of apoptosis protein 2, RING finger protein 48, RING-type E3 ubiquitin transferase BIRC2, TNFR2-TRAF-signaling complex protein 2, C-IAP1, hIAP-2, hIAP2

2 Images
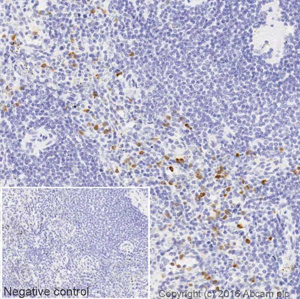
Immunohistochemistry (Formalin/PFA-fixed paraffin-embedded sections) - HRP Anti-cIAP1 antibody [EPR4673] (AB207526)
  • IHC-P

Lab

Immunohistochemistry (Formalin/PFA-fixed paraffin-embedded sections) - HRP Anti-cIAP1 antibody [EPR4673] (AB207526)

IHC image of cIAP1 staining in a section of formalin-fixed paraffin-embedded normal human spleen tissue performed on a Leica BONDTM. The section was pre-treated using heat mediated antigen retrieval with sodium citrate buffer (pH6, epitope retrieval solution 1) for 20mins. The section was then incubated with ab207526, 1/50 dilution, for 15 mins at room temperature. DAB was used as the chromogen. The section was then counterstained with haematoxylin and mounted with DPX. The inset negative control image is taken from an identical assay without primary antibody.

For other IHC staining systems (automated and non-automated) customers should optimize variable parameters such as antigen retrieval conditions, primary antibody concentration and antibody incubation times.

*Tissue obtained from the Human Research Tissue Bank, supported by the NIHR Cambridge Biomedical Research Centre

Western blot - HRP Anti-cIAP1 antibody [EPR4673] (AB207526)
  • WB

Lab

Western blot - HRP Anti-cIAP1 antibody [EPR4673] (AB207526)

This blot was produced using a 4-12% Bis-tris gel under the MOPS buffer system. The gel was run at 200V for 50 minutes before being transferred onto a Nitrocellulose membrane at 30V for 70 minutes. The membrane was then blocked for an hour using 2% Bovine Serum Albumin before being incubated with ab207526 overnight at 4°C. Antibody binding was visualised using ECL development solution ab133406.

All lanes:

Western blot - HRP Anti-cIAP1 antibody [EPR4673] (ab207526) at 1/5000 dilution

Lane 1:

HeLa (Human epithelial carcinoma cell line) Whole Cell Lysate at 10 µg

Lane 2:

HepG2 (Human hepatocellular liver carcinoma cell line) Whole Cell Lysate at 10 µg

Predicted band size: 70 kDa

Observed band size: 75 kDa

true

Exposure time: 20s

Key facts

Host species

Rabbit

Clonality

Monoclonal

Clone number

EPR4673

Isotype

IgG

Conjugation

HRP

Excitation/Emission
Carrier free

No

Reacts with

Human

Applications

WB, IHC-P

applications

Immunogen

The exact immunogen used to generate this antibody is proprietary information.

Reactivity data

{ "title": "Reactivity Data", "filters": { "stats": ["", "Species", "Dilution Info", "Notes"], "tabs": { "all-applications": {"fullname" : "All Applications", "shortname": "All Applications"}, "IHCP" : {"fullname" : "Immunohistochemistry (Formalin/PFA-fixed paraffin-embedded sections)", "shortname":"IHC-P"}, "WB" : {"fullname" : "Western blot", "shortname":"WB"} }, "product-promise": { "all": "all", "testedAndGuaranteed": "tested", "guaranteed": "expected", "predicted": "predicted", "notRecommended": "not-recommended" } }, "values": { "Human": { "IHCP-species-checked": "testedAndGuaranteed", "IHCP-species-dilution-info": "1/50", "IHCP-species-notes": "<p></p>", "WB-species-checked": "testedAndGuaranteed", "WB-species-dilution-info": "1/5000", "WB-species-notes": "<p></p>" } } }

Product details

Patented technology
Our RabMAb® technology is a patented hybridoma-based technology for making rabbit monoclonal antibodies. For details on our patents, please refer to RabMAb® patents.

What are the advantages of a recombinant monoclonal antibody?
This product is a recombinant monoclonal antibody, which offers several advantages including:

  • - High batch-to-batch consistency and reproducibility
  • - Improved sensitivity and specificity
  • - Long-term security of supply
  • - Animal-free batch production

For more information, read more on recombinant antibodies.

Properties and storage information

Form
Liquid
Purification technique
Affinity purification Protein A
Storage buffer
pH: 7.4 Preservative: 0.1% Proclin 300 Solution Constituents: PBS, 30% Glycerol (glycerin, glycerine), 1% BSA
Shipped at conditions
Blue Ice
Appropriate short-term storage duration
1-2 weeks
Appropriate short-term storage conditions
+4°C
Appropriate long-term storage conditions
-20°C
Aliquoting information
Upon delivery aliquot
Storage information
Avoid freeze / thaw cycle|Store in the dark

Supplementary information

This supplementary information is collated from multiple sources and compiled automatically.

The cellular inhibitor of apoptosis protein 1 (cIAP1) also referred to as BIRC2 is a protein with a molecular mass of approximately 70 kDa. cIAP1 belongs to the inhibitor of apoptosis (IAP) family and contains several distinct domains important for its function including three Baculoviral IAP Repeat (BIR) domains a ubiquitin-associated (UBA) domain and a really interesting new gene (RING) domain. This protein is expressed in various tissues but predominantly in cells engaged in apoptosis regulation such as immune cells.
Biological function summary

CIAP1 plays an important role in regulating apoptosis by inhibiting the activity of certain caspases including caspase-3 and caspase-7. It is often part of larger protein complexes that include other members of the IAP family such as cIAP2. By binding directly to tumor necrosis factor receptor-associated factors (TRAFs) cIAP1 helps modulate signaling pathways that determine cell survival or death contributing to cellular homeostasis.

Pathways

CIAP1 is intricately involved in the NF-κB signaling pathway and the TNF receptor signaling pathway. Its interaction with TRAFs links it to these critical pathways helping to control inflammatory and immune responses. Other proteins related to cIAP1 through these pathways include RIP1 and TRAF2 both important for transmitting signals that affect cell fate decisions.

CIAP1 has significant implications in cancer and autoimmune disorders. In many cancers overexpression of cIAP1 contributes to uncontrolled cell proliferation by preventing apoptosis therefore aiding tumor survival and progression. Moreover its dysregulation is linked to disorders such as rheumatoid arthritis where improper cell death regulation leads to tissue damage. cIAP1 interacts with and regulates the activity of the protein XIAP in contributing to these diseases making it a potential target for therapeutic interventions.

Product protocols

For this product, it's our understanding that no specific protocols are required. You can visit:

Target data

Multi-functional protein which regulates not only caspases and apoptosis, but also modulates inflammatory signaling and immunity, mitogenic kinase signaling, and cell proliferation, as well as cell invasion and metastasis. Acts as an E3 ubiquitin-protein ligase regulating NF-kappa-B signaling and regulates both canonical and non-canonical NF-kappa-B signaling by acting in opposite directions : acts as a positive regulator of the canonical pathway and suppresses constitutive activation of non-canonical NF-kappa-B signaling. The target proteins for its E3 ubiquitin-protein ligase activity include : RIPK1, RIPK2, RIPK3, RIPK4, CASP3, CASP7, CASP8, TRAF2, DIABLO/SMAC, MAP3K14/NIK, MAP3K5/ASK1, IKBKG/NEMO, IKBKE and MXD1/MAD1. Can also function as an E3 ubiquitin-protein ligase of the NEDD8 conjugation pathway, targeting effector caspases for neddylation and inactivation. Acts as an important regulator of innate immune signaling via regulation of Toll-like receptors (TLRs), Nodlike receptors (NLRs) and RIG-I like receptors (RLRs), collectively referred to as pattern recognition receptors (PRRs). Protects cells from spontaneous formation of the ripoptosome, a large multi-protein complex that has the capability to kill cancer cells in a caspase-dependent and caspase-independent manner. Suppresses ripoptosome formation by ubiquitinating RIPK1 and CASP8. Can stimulate the transcriptional activity of E2F1. Plays a role in the modulation of the cell cycle.
See full target information BIRC2

Publications (1)

Recent publications for all applications. Explore the full list and refine your search

Molecules (Basel, Switzerland) 26: PubMed33921211

2021

Multiplexed In Situ Protein Profiling with High-Performance Cleavable Fluorescent Tyramide.

Applications

Unspecified application

Species

Unspecified reactive species

Thai Pham,Renjie Liao,Joshua Labaer,Jia Guo
View all publications

Product promise

We are committed to supporting your work with high-quality reagents, and we're here for you every step of the way. In the unlikely event that one of our products does not perform as expected, you're protected by our Product Promise.
For full details, please see our Terms & Conditions

Please note: All products are 'FOR RESEARCH USE ONLY. NOT FOR USE IN DIAGNOSTIC OR THERAPEUTIC PROCEDURES'.

For licensing inquiries, please contact partnerships@abcam.com