JavaScript is disabled in your browser. Please enable JavaScript to view this website.
AB196715

HRP Anti-Coilin antibody [IH10]

Be the first to review this product! Submit a review

|

(1 Publication)

Mouse Monoclonal Coilin antibody - conjugated to HRP. Suitable for IHC-P, WB and reacts with Human samples. Cited in 1 publication.

View Alternative Names

CLN80, COIL, Coilin, p80-coilin

2 Images
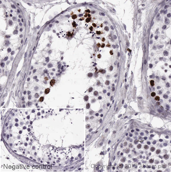
Immunohistochemistry (Formalin/PFA-fixed paraffin-embedded sections) - HRP Anti-Coilin antibody [IH10] (AB196715)
  • IHC-P

Lab

Immunohistochemistry (Formalin/PFA-fixed paraffin-embedded sections) - HRP Anti-Coilin antibody [IH10] (AB196715)

IHC image of Collin staining in a section of formalin-fixed paraffin-embedded normal human testis*. The section was pre-treated using pressure cooker heat mediated antigen retrieval with sodium citrate buffer (pH6) for 30mins, and incubated overnight at +4°C with ab196715 at 1/50 dilution. DAB was used as the chromogen (ab103723), diluted 1/100 and incubated for 10min at room temperature. The section was counterstained with haematoxylin and mounted with DPX. The inset negative control image is taken from an identical assay without primary antibody.

For other IHC staining systems (automated and non-automated) customers should optimize variable parameters such as antigen retrieval conditions, primary antibody concentration and antibody incubation times.

*Tissue obtained from the Human Research Tissue Bank, supported by the NIHR Cambridge Biomedical Research Centre

Western blot - HRP Anti-Coilin antibody [IH10] (AB196715)
  • WB

Lab

Western blot - HRP Anti-Coilin antibody [IH10] (AB196715)

This blot was produced using a 4-12% Bis-tris gel under the MOPS buffer system. The gel was run at 200V for 50 minutes before being transferred onto a Nitrocellulose membrane at 30V for 70 minutes. The membrane was then blocked for an hour using 3% milk before being incubated with ab196715 overnight at 4°C. Antibody binding was visualised using ECL development solution ab133406.

All lanes:

Western blot - HRP Anti-Coilin antibody [IH10] (ab196715) at 1/2000 dilution

Lane 1:

Western blot - HeLa whole cell lysate (<a href='/en-us/products/cell-lysates/hela-whole-cell-lysate-ab150035'>ab150035</a>) at 10 µg

Lane 2:

MCF7 (Human breast adenocarcinoma cell line) Whole Cell Lysate at 10 µg

Lane 3:

SHSY-5Y (Human neuroblastoma cell line) Whole Cell Lysate at 10 µg

Predicted band size: 62 kDa

Observed band size: 75 kDa

true

Exposure time: 4min

Key facts

Host species

Mouse

Clonality

Monoclonal

Clone number

IH10

Isotype

IgG2b

Conjugation

HRP

Excitation/Emission
Carrier free

No

Reacts with

Human

Applications

WB, IHC-P

applications

Immunogen

The exact immunogen used to generate this antibody is proprietary information.

Reactivity data

{ "title": "Reactivity Data", "filters": { "stats": ["", "Species", "Dilution Info", "Notes"], "tabs": { "all-applications": {"fullname" : "All Applications", "shortname": "All Applications"}, "IHCP" : {"fullname" : "Immunohistochemistry (Formalin/PFA-fixed paraffin-embedded sections)", "shortname":"IHC-P"}, "WB" : {"fullname" : "Western blot", "shortname":"WB"} }, "product-promise": { "all": "all", "testedAndGuaranteed": "tested", "guaranteed": "expected", "predicted": "predicted", "notRecommended": "not-recommended" } }, "values": { "Human": { "IHCP-species-checked": "testedAndGuaranteed", "IHCP-species-dilution-info": "1/50", "IHCP-species-notes": "<p></p>", "WB-species-checked": "testedAndGuaranteed", "WB-species-dilution-info": "1/2000", "WB-species-notes": "<p></p>" } } }

Properties and storage information

Form
Liquid
Purity
IgG fraction
Storage buffer
pH: 7.4 Preservative: 0.1% Proclin 300 Solution Constituents: PBS, 30% Glycerol (glycerin, glycerine), 1% BSA
Shipped at conditions
Blue Ice
Appropriate short-term storage duration
1-2 weeks
Appropriate short-term storage conditions
+4°C
Appropriate long-term storage conditions
-20°C
Aliquoting information
Upon delivery aliquot
Storage information
Avoid freeze / thaw cycle|Store in the dark

Supplementary information

This supplementary information is collated from multiple sources and compiled automatically.

Coilin also known as Coilin protein or its gene name COIL is a nuclear phosphoprotein with a mass of approximately 62 kDa. It plays a mechanical role in the formation and maintenance of Cajal bodies which are subnuclear structures involved in various RNA processes. Coilin is mainly expressed in the nucleus of eukaryotic cells including a high expression in HeLa cells where its localization to Cajal bodies can be easily studied with tools like Alexa Fluor 488. Occasionally references may be made to terms like 'HeLa coil' which pertain to specific structural features noted in these contexts.
Biological function summary

This protein facilitates the organization and biogenesis of nuclear bodies associated with RNA processing and small nuclear ribonucleoproteins (snRNPs) assembly. Coilin operates as part of a larger complex involving several other proteins that interact within Cajal bodies. These nuclear bodies serve as sites where components necessary for RNA processing are concentrated. Coilin aids in the trafficking and modification of snRNP elements which are essential for pre-mRNA splicing.

Pathways

Coilin affects RNA metabolism and processing notably within the spliceosome assembly pathway and in snRNP biogenesis. The pathways include interactions with proteins such as SMN (Survival of Motor Neuron) protein which links to spinal muscular atrophy-related processes. Additionally Coilin contributes to the broader framework of nucleic acid processing systems impacting the outcome of RNA transcription and modification through its regulatory roles.

Coilin shows connections to neurological conditions and cancer. For instance alterations or dysregulation in Coilin expression can correlate with spinal muscular atrophy where it associates with the SMN protein if there are disruptions in Cajal body integrity. Furthermore links exist with certain cancers where the mismanagement of RNA processes influenced by Coilin and its interaction partners like PDEdelta can lead to aberrant cell behaviors and tumor progression. Coilin’s involvement in such diseases makes it an appealing target for therapeutic exploration reflected in ongoing cancer research and therapeutic developments.

Product protocols

For this product, it's our understanding that no specific protocols are required. You can visit:

Target data

Component of nuclear coiled bodies, also known as Cajal bodies or CBs, which are involved in the modification and assembly of nucleoplasmic snRNPs.
See full target information COIL

Publications (1)

Recent publications for all applications. Explore the full list and refine your search

Genes 11: PubMed32585969

2020

Leukocyte Nucleolus and -When Falling Apart Means Falling in Place.

Applications

Unspecified application

Species

Unspecified reactive species

Ivona Mladineo,Jerko Hrabar
View all publications

Product promise

We are committed to supporting your work with high-quality reagents, and we're here for you every step of the way. In the unlikely event that one of our products does not perform as expected, you're protected by our Product Promise.
For full details, please see our Terms & Conditions

Please note: All products are 'FOR RESEARCH USE ONLY. NOT FOR USE IN DIAGNOSTIC OR THERAPEUTIC PROCEDURES'.

For licensing inquiries, please contact partnerships@abcam.com