JavaScript is disabled in your browser. Please enable JavaScript to view this website.
AB197920

HRP Anti-COX IV antibody [20E8C12] - Mitochondrial Marker

Be the first to review this product! Submit a review

|

(1 Publication)

Mouse Monoclonal COX IV antibody - conjugated to HRP. Suitable for IHC-P, WB and reacts with Human samples. Cited in 1 publication.

View Alternative Names

COX4, COX4I1, Cytochrome c oxidase polypeptide IV, Cytochrome c oxidase subunit IV isoform 1, COX IV-1

2 Images
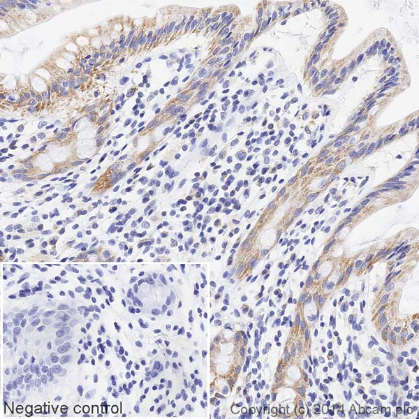
Immunohistochemistry (Formalin/PFA-fixed paraffin-embedded sections) - HRP Anti-COX IV antibody [20E8C12] - Mitochondrial Marker (AB197920)
  • IHC-P

Lab

Immunohistochemistry (Formalin/PFA-fixed paraffin-embedded sections) - HRP Anti-COX IV antibody [20E8C12] - Mitochondrial Marker (AB197920)

IHC image of COX IV staining in a section of formalin-fixed paraffin-embedded normal human colon*, performed on a Leica BOND. The section was pre-treated using heat mediated antigen retrieval with sodium citrate buffer (pH6, epitope retrieval solution 1) for 20mins. The section was then incubated with ab197920, 1/100 dilution, for 15 mins at room temperature. DAB was used as the chromogen. The section was then counterstained with haematoxylin and mounted with DPX. The inset negative control image is taken from an identical assay without primary antibody.

For other IHC staining systems (automated and non-automated) customers should optimize variable parameters such as antigen retrieval conditions, primary antibody concentration and antibody incubation times.

*Tissue obtained from the Human Research Tissue Bank, supported by the NIHR Cambridge Biomedical Research Centre

Western blot - HRP Anti-COX IV antibody [20E8C12] - Mitochondrial Marker (AB197920)
  • WB

Lab

Western blot - HRP Anti-COX IV antibody [20E8C12] - Mitochondrial Marker (AB197920)

This blot was produced using a 4-12% Bis-tris gel under the MES buffer system. The gel was run at 200V for 35 minutes before being transferred onto a Nitrocellulose membrane at 30V for 70 minutes. The membrane was then blocked for an hour using 2% Bovine Serum Albumin before being incubated with ab197920 overnight at 4°C. Antibody binding was visualised using ECL development solution ab133406.

All lanes:

Western blot - HRP Anti-COX IV antibody [20E8C12] - Mitochondrial Marker (ab197920) at 1/5000 dilution

All lanes:

Human heart tissue lysate - mitochondrial extract (<a href='/en-us/products/unavailable/human-heart-tissue-lysate-mitochondrial-extract-ab110337'>ab110337</a>) at 5 µg

Predicted band size: 19 kDa

Observed band size: 16 kDa

true

Exposure time: 10s

  • Unconjugated

    Anti-COX IV antibody [20E8C12] - Mitochondrial Marker

Key facts

Host species

Mouse

Clonality

Monoclonal

Clone number

20E8C12

Isotype

IgG2a

Light chain type

kappa

Conjugation

HRP

Excitation/Emission
Carrier free

No

Reacts with

Human

Applications

IHC-P, WB

applications

Immunogen

The exact immunogen used to generate this antibody is proprietary information.

Reactivity data

{ "title": "Reactivity Data", "filters": { "stats": ["", "Species", "Dilution Info", "Notes"], "tabs": { "all-applications": {"fullname" : "All Applications", "shortname": "All Applications"}, "IHCP" : {"fullname" : "Immunohistochemistry (Formalin/PFA-fixed paraffin-embedded sections)", "shortname":"IHC-P"}, "WB" : {"fullname" : "Western blot", "shortname":"WB"} }, "product-promise": { "all": "all", "testedAndGuaranteed": "tested", "guaranteed": "expected", "predicted": "predicted", "notRecommended": "not-recommended" } }, "values": { "Human": { "IHCP-species-checked": "testedAndGuaranteed", "IHCP-species-dilution-info": "1/100", "IHCP-species-notes": "<p></p>", "WB-species-checked": "testedAndGuaranteed", "WB-species-dilution-info": "1/5000", "WB-species-notes": "<p></p>" }, "Mouse": { "IHCP-species-checked": "predicted", "IHCP-species-dilution-info": "", "IHCP-species-notes": "", "WB-species-checked": "predicted", "WB-species-dilution-info": "", "WB-species-notes": "" }, "Rat": { "IHCP-species-checked": "predicted", "IHCP-species-dilution-info": "", "IHCP-species-notes": "", "WB-species-checked": "predicted", "WB-species-dilution-info": "", "WB-species-notes": "" }, "Cow": { "IHCP-species-checked": "predicted", "IHCP-species-dilution-info": "", "IHCP-species-notes": "", "WB-species-checked": "predicted", "WB-species-dilution-info": "", "WB-species-notes": "" }, "Drosophila melanogaster": { "IHCP-species-checked": "predicted", "IHCP-species-dilution-info": "", "IHCP-species-notes": "", "WB-species-checked": "predicted", "WB-species-dilution-info": "", "WB-species-notes": "" }, "Zebrafish": { "IHCP-species-checked": "predicted", "IHCP-species-dilution-info": "", "IHCP-species-notes": "", "WB-species-checked": "predicted", "WB-species-dilution-info": "", "WB-species-notes": "" } } }

Properties and storage information

Form
Liquid
Purification technique
Affinity purification
Storage buffer
pH: 7.4 Preservative: 0.1% Proclin 300 Solution Constituents: PBS, 30% Glycerol (glycerin, glycerine), 1% BSA
Shipped at conditions
Blue Ice
Appropriate short-term storage duration
1-2 weeks
Appropriate short-term storage conditions
+4°C
Appropriate long-term storage conditions
-20°C
Aliquoting information
Upon delivery aliquot
Storage information
Avoid freeze / thaw cycle|Store in the dark

Supplementary information

This supplementary information is collated from multiple sources and compiled automatically.

Cytochrome c oxidase subunit IV commonly known as COX IV is a component of the enzyme complex located in the inner mitochondrial membrane. COX IV has a molecular weight of approximately 17 kDa and serves as a subunit of the larger cytochrome c oxidase complex which is essential in cellular respiration. As a mitochondrial marker COX IV is expressed in various tissues where it acts as an important player in the electron transport chain. The presence and function of COX IV are critical in facilitating the last step of the mitochondrial respiratory chain.
Biological function summary

COX IV acts as a significant part of the cytochrome c oxidase complex helping catalyze the reduction of oxygen to water. This process is an important step in the overall mechanism of oxidative phosphorylation. COX IV's role in this complex enables the proton gradient generation across the inner mitochondrial membrane which is necessary for ATP synthesis. Its activity regulates the efficiency of cellular respiration impacting energy production and metabolic activities within cells.

Pathways

COX IV functionally interacts within the oxidative phosphorylation and electron transport chain pathways. Its coordination with other proteins like COX I and COX II in the cytochrome c oxidase complex ensures proper electron transfer to oxygen. Additionally COX IV is implicated in the regulation of reactive oxygen species maintaining cellular homeostasis. These pathways interconnect with broader cellular mechanisms that involve energy metabolism and apoptosis.

COX IV has been linked to mitochondrial disorders where defects in the oxidative phosphorylation processes can lead to conditions such as mitochondrial encephalomyopathy. Abnormalities in COX IV function and expression can also contribute to neurodegenerative diseases including Parkinson's disease. Here interactions with proteins like superoxide dismutase (SOD) highlight how oxidative stress and mitochondrial dysfunction relate closely to disease progression. These associations underline the importance of COX IV in maintaining cellular and organismal health.

Product protocols

For this product, it's our understanding that no specific protocols are required. You can visit:

Target data

Component of the cytochrome c oxidase, the last enzyme in the mitochondrial electron transport chain which drives oxidative phosphorylation. The respiratory chain contains 3 multisubunit complexes succinate dehydrogenase (complex II, CII), ubiquinol-cytochrome c oxidoreductase (cytochrome b-c1 complex, complex III, CIII) and cytochrome c oxidase (complex IV, CIV), that cooperate to transfer electrons derived from NADH and succinate to molecular oxygen, creating an electrochemical gradient over the inner membrane that drives transmembrane transport and the ATP synthase. Cytochrome c oxidase is the component of the respiratory chain that catalyzes the reduction of oxygen to water. Electrons originating from reduced cytochrome c in the intermembrane space (IMS) are transferred via the dinuclear copper A center (CU(A)) of subunit 2 and heme A of subunit 1 to the active site in subunit 1, a binuclear center (BNC) formed by heme A3 and copper B (CU(B)). The BNC reduces molecular oxygen to 2 water molecules using 4 electrons from cytochrome c in the IMS and 4 protons from the mitochondrial matrix.
See full target information COX4I1

Publications (1)

Recent publications for all applications. Explore the full list and refine your search

Cell 175:101-116.e25 PubMed30220459

2018

Transaminase Inhibition by 2-Hydroxyglutarate Impairs Glutamate Biosynthesis and Redox Homeostasis in Glioma.

Applications

Unspecified application

Species

Unspecified reactive species

Samuel K McBrayer,Jared R Mayers,Gabriel J DiNatale,Diana D Shi,Januka Khanal,Abhishek A Chakraborty,Kristopher A Sarosiek,Kimberly J Briggs,Alissa K Robbins,Tomasz Sewastianik,Sarah J Shareef,Benjamin A Olenchock,Seth J Parker,Kensuke Tateishi,Jessica B Spinelli,Mirazul Islam,Marcia C Haigis,Ryan E Looper,Keith L Ligon,Bradley E Bernstein,Ruben D Carrasco,Daniel P Cahill,John M Asara,Christian M Metallo,Neela H Yennawar,Matthew G Vander Heiden,William G Kaelin
View all publications

Product promise

We are committed to supporting your work with high-quality reagents, and we're here for you every step of the way. In the unlikely event that one of our products does not perform as expected, you're protected by our Product Promise.
For full details, please see our Terms & Conditions

Please note: All products are 'FOR RESEARCH USE ONLY. NOT FOR USE IN DIAGNOSTIC OR THERAPEUTIC PROCEDURES'.

For licensing inquiries, please contact partnerships@abcam.com