JavaScript is disabled in your browser. Please enable JavaScript to view this website.
AB198969

HRP Anti-CPS1 antibody [EPR7493-3]

Be the first to review this product! Submit a review

|

(1 Publication)

Rabbit Recombinant Monoclonal CPS1 antibody - conjugated to HRP. Suitable for IHC-P, WB and reacts with Human, Mouse, Rat samples. Cited in 1 publication.

View Alternative Names

Carbamoyl-phosphate synthetase I, CPSase I, CPS1

2 Images
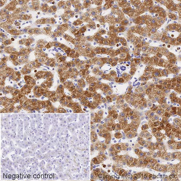
Immunohistochemistry (Formalin/PFA-fixed paraffin-embedded sections) - HRP Anti-CPS1 antibody [EPR7493-3] (AB198969)
  • IHC-P

Lab

Immunohistochemistry (Formalin/PFA-fixed paraffin-embedded sections) - HRP Anti-CPS1 antibody [EPR7493-3] (AB198969)

IHC image of CPS1 staining in a section of formalin-fixed paraffin-embedded normal human liver tissue*, performed on a Leica BOND. The section was pre-treated using heat mediated antigen retrieval with sodium citrate buffer (pH6, epitope retrieval solution 1) for 20mins. The section was then incubated with ab198969 at 1/100 dilution, for 15 mins at room temperature. DAB was used as the chromogen. The section was then counterstained with haematoxylin and mounted with DPX. The inset negative control image is taken from an identical assay without primary antibody.

For other IHC staining systems (automated and non-automated) customers should optimize variable parameters such as antigen retrieval conditions, primary antibody concentration and antibody incubation times.

*Tissue obtained from the Human Research Tissue Bank, supported by the NIHR Cambridge Biomedical Research Centre.

Western blot - HRP Anti-CPS1 antibody [EPR7493-3] (AB198969)
  • WB

Lab

Western blot - HRP Anti-CPS1 antibody [EPR7493-3] (AB198969)

This blot was produced using a 4-12% Bis-tris gel under the MOPS buffer system. The gel was run at 200V for 50 minutes before being transferred onto a Nitrocellulose membrane at 30V for 70 minutes. The membrane was then blocked for an hour using 2% Bovine Serum Albumin before being incubated with ab198969 overnight at 4°C. Antibody binding was visualised using ECL development solution ab133406.

All lanes:

Western blot - HRP Anti-CPS1 antibody [EPR7493-3] (ab198969) at 1/5000 dilution

Lane 1:

Fetal Liver (Human) Normal Tissue Lysate at 10 µg

Lane 2:

Liver (Mouse) Tissue Lysate at 10 µg

Lane 3:

Liver (Rat) Tissue Lysate at 10 µg

Predicted band size: 165 kDa

Observed band size: 165 kDa

true

Exposure time: 30s

Key facts

Host species

Rabbit

Clonality

Monoclonal

Clone number

EPR7493-3

Isotype

IgG

Conjugation

HRP

Excitation/Emission
Carrier free

No

Reacts with

Mouse, Rat, Human

Applications

IHC-P, WB

applications

Immunogen

The exact immunogen used to generate this antibody is proprietary information.

Reactivity data

{ "title": "Reactivity Data", "filters": { "stats": ["", "Species", "Dilution Info", "Notes"], "tabs": { "all-applications": {"fullname" : "All Applications", "shortname": "All Applications"}, "IHCP" : {"fullname" : "Immunohistochemistry (Formalin/PFA-fixed paraffin-embedded sections)", "shortname":"IHC-P"}, "WB" : {"fullname" : "Western blot", "shortname":"WB"} }, "product-promise": { "all": "all", "testedAndGuaranteed": "tested", "guaranteed": "expected", "predicted": "predicted", "notRecommended": "not-recommended" } }, "values": { "Human": { "IHCP-species-checked": "testedAndGuaranteed", "IHCP-species-dilution-info": "1/100", "IHCP-species-notes": "<p></p>", "WB-species-checked": "testedAndGuaranteed", "WB-species-dilution-info": "1/5000", "WB-species-notes": "<p></p>" }, "Mouse": { "IHCP-species-checked": "guaranteed", "IHCP-species-dilution-info": "", "IHCP-species-notes": "", "WB-species-checked": "testedAndGuaranteed", "WB-species-dilution-info": "1/5000", "WB-species-notes": "<p></p>" }, "Rat": { "IHCP-species-checked": "guaranteed", "IHCP-species-dilution-info": "", "IHCP-species-notes": "", "WB-species-checked": "testedAndGuaranteed", "WB-species-dilution-info": "1/5000", "WB-species-notes": "<p></p>" } } }

Product details

Patented technology
Our RabMAb® technology is a patented hybridoma-based technology for making rabbit monoclonal antibodies. For details on our patents, please refer to RabMAb® patents.

What are the advantages of a recombinant monoclonal antibody?
This product is a recombinant monoclonal antibody, which offers several advantages including:

  • - High batch-to-batch consistency and reproducibility
  • - Improved sensitivity and specificity
  • - Long-term security of supply
  • - Animal-free batch production

For more information, read more on recombinant antibodies.

Properties and storage information

Form
Liquid
Purification technique
Affinity purification Protein A
Storage buffer
pH: 7.4 Preservative: 0.1% Proclin 300 Solution Constituents: PBS, 30% Glycerol (glycerin, glycerine), 1% BSA
Shipped at conditions
Blue Ice
Appropriate short-term storage duration
1-2 weeks
Appropriate short-term storage conditions
+4°C
Appropriate long-term storage conditions
-20°C
Aliquoting information
Upon delivery aliquot
Storage information
Avoid freeze / thaw cycle|Store in the dark

Supplementary information

This supplementary information is collated from multiple sources and compiled automatically.

CPS1 also known as carbamoyl-phosphate synthetase 1 is an important mitochondrial enzyme with a mass of around 165 kDa. It acts in the urea cycle by converting ammonia and bicarbonate into carbamoyl phosphate. CPS1 expression occurs in the liver and intestinal enterocytes which situates it in tissues responsible for metabolism and detoxification processes. This enzyme plays a critical role in the removal of excess nitrogen from the body.
Biological function summary

Carbamoyl-phosphate synthetase 1 functions as an initial step enzyme in the urea cycle which is a metabolic pathway for nitrogen disposal. It does not function alone as it forms part of multi-enzyme complexes to enhance efficiency in the cycle. These complexes facilitate the process of converting toxic ammonia into urea which the body can safely excrete. The proper function of CPS1 ensures that ammonia levels remain non-toxic.

Pathways

The urea cycle remains the chief pathway involving CPS1 collaborating with enzymes like ornithine transcarbamylase and argininosuccinate synthetase. This cycle intersects with the mitochondrial respiratory chain showcasing a relationship between CPS1 and cellular energy balance. Besides the urea cycle the enzyme also links to other metabolic functions like gluconeogenesis given its prerequisite for maintaining a stable nitrogen homeostasis.

CPS1 deficiencies can lead to urea cycle disorders like hyperammonemia characterized by elevated ammonia levels in blood. This may result in neurological damage if untreated. Another condition related to CPS-1 is pulmonary arterial hypertension where studies suggest mishandling of ammonia may alter blood pressure regulation. Genetic mutations affecting the CPS1 protein often underlie these conditions highlighting the importance of genetic screening in affected individuals.

Product protocols

For this product, it's our understanding that no specific protocols are required. You can visit:

Target data

Involved in the urea cycle of ureotelic animals where the enzyme plays an important role in removing excess ammonia from the cell.
See full target information CPS1

Publications (1)

Recent publications for all applications. Explore the full list and refine your search

Osteoarthritis and cartilage 25:397-400 PubMed27480933

2016

Upregulation of Atrogin-1/FBXO32 is not necessary for cartilage destruction in mouse models of osteoarthritis.

Applications

Unspecified application

Species

Unspecified reactive species

H-E Kim,J Rhee,S Park,J Yang,J-S Chun
View all publications

Product promise

We are committed to supporting your work with high-quality reagents, and we're here for you every step of the way. In the unlikely event that one of our products does not perform as expected, you're protected by our Product Promise.
For full details, please see our Terms & Conditions

Please note: All products are 'FOR RESEARCH USE ONLY. NOT FOR USE IN DIAGNOSTIC OR THERAPEUTIC PROCEDURES'.

For licensing inquiries, please contact partnerships@abcam.com