JavaScript is disabled in your browser. Please enable JavaScript to view this website.
AB198494

HRP Anti-CPT1A antibody [8F6AE9]

Be the first to review this product! Submit a review

|

(2 Publications)

Mouse Monoclonal CPT1A antibody - conjugated to HRP. Suitable for IHC-P, WB and reacts with Human, Rat samples. Cited in 2 publications.

View Alternative Names

CPT1, CPT1A, CPT1-L, Carnitine palmitoyltransferase 1A, Succinyltransferase CPT1A, CPT I, CPTI-L

3 Images
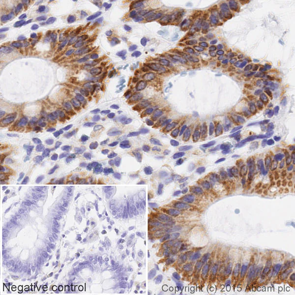
Immunohistochemistry (Formalin/PFA-fixed paraffin-embedded sections) - HRP Anti-CPT1A antibody [8F6AE9] (AB198494)
  • IHC-P

Lab

Immunohistochemistry (Formalin/PFA-fixed paraffin-embedded sections) - HRP Anti-CPT1A antibody [8F6AE9] (AB198494)

IHC image of CPT1A staining in a section of formalin-fixed paraffin-embedded normal human colon tissue*, performed on a Leica BOND. The section was pre-treated using heat mediated antigen retrieval with sodium citrate buffer (pH6, epitope retrieval solution 1) for 20mins. The section was then incubated with ab198494 at 1/100 dilution, for 15 mins at room temperature. DAB was used as the chromogen. The section was then counterstained with haematoxylin and mounted with DPX. The inset negative control image is taken from an identical assay without primary antibody.

For other IHC staining systems (automated and non-automated) customers should optimize variable parameters such as antigen retrieval conditions, primary antibody concentration and antibody incubation times.

*Tissue obtained from the Human Research Tissue Bank, supported by the NIHR Cambridge Biomedical Research Centre

Western blot - HRP Anti-CPT1A antibody [8F6AE9] (AB198494)
  • WB

Lab

Western blot - HRP Anti-CPT1A antibody [8F6AE9] (AB198494)

This blot was produced using a 4-12% Bis-tris gel under the MOPS buffer system. The gel was run at 200V for 50 minutes before being transferred onto a Nitrocellulose membrane at 30V for 70 minutes. The membrane was then blocked for an hour using 2% Bovine Serum Albumin before being incubated with ab198494 overnight at 4°C. Antibody binding was visualised using ECL development solution ab133406.

All lanes:

Western blot - HRP Anti-CPT1A antibody [8F6AE9] (ab198494) at 1/5000 dilution

Lane 1:

HepG2 (Human hepatocellular liver carcinoma cell line) Whole Cell Lysate at 20 µg

Lane 2:

Heart (Human) Tissue Lysate - adult normal tissue at 20 µg

Lane 3:

Liver (Rat) Tissue Lysate at 20 µg

Predicted band size: 88 kDa

Observed band size: 88 kDa

true

Exposure time: 1min

Western blot - HRP Anti-CPT1A antibody [8F6AE9] (AB198494)
  • WB

Lab

Western blot - HRP Anti-CPT1A antibody [8F6AE9] (AB198494)

Lanes 1 - 4 : Merged signal (red and green). Green - ab198494 observed at 88 kDa. Red - loading control, ab181602, observed at 37 kDa.

ab198494 was shown to specifically react with in wild-type HAP1 cells as signal was lost in CPT1A knockout cells. Wild-type and CPT1A knockout samples were subjected to SDS-PAGE. The membrane was blocked with 3% NF Milk. ab198494 and ab181602 (Rabbit anti-GAPDH loading control) were incubated overnight at 4°C at 1/5000 dilution and 1/20000 dilution respectively. The loading control was imaged using the Licor Odyssey CLx prior to blots being developed with ECL technique.

All lanes:

Western blot - HRP Anti-CPT1A antibody [8F6AE9] (ab198494) at 1/5000 dilution

Lane 1:

Wild-type HAP1 whole cell lysate at 20 µg

Lane 2:

CPT1A knockout HAP1 whole cell lysate at 20 µg

Lane 3:

HeLa whole cell lysate at 20 µg

Lane 4:

MCF7 whole cell lysate at 20 µg

Predicted band size: 88 kDa

Observed band size: 88 kDa

false

Exposure time: 3min

Key facts

Host species

Mouse

Clonality

Monoclonal

Clone number

8F6AE9

Isotype

IgG2b

Light chain type

kappa

Conjugation

HRP

Excitation/Emission
Carrier free

No

Reacts with

Rat, Human

Applications

WB, IHC-P

applications

Immunogen

The exact immunogen used to generate this antibody is proprietary information.

Specificity

From Jan 2026, QC testing of replenishment batches of this primary conjugate changed. All tested and expected application and reactive species combinations are still covered by our Abcam product promise. However, the replenishment lots are subjected to bioanalytical testing only. For more information on a specific batch, please contact our Scientific Support who will be happy to help.

Reactivity data

{ "title": "Reactivity Data", "filters": { "stats": ["", "Species", "Dilution Info", "Notes"], "tabs": { "all-applications": {"fullname" : "All Applications", "shortname": "All Applications"}, "IHCP" : {"fullname" : "Immunohistochemistry (Formalin/PFA-fixed paraffin-embedded sections)", "shortname":"IHC-P"}, "WB" : {"fullname" : "Western blot", "shortname":"WB"} }, "product-promise": { "all": "all", "testedAndGuaranteed": "tested", "guaranteed": "expected", "predicted": "predicted", "notRecommended": "not-recommended" } }, "values": { "Human": { "IHCP-species-checked": "testedAndGuaranteed", "IHCP-species-dilution-info": "1/100", "IHCP-species-notes": "<p></p>", "WB-species-checked": "testedAndGuaranteed", "WB-species-dilution-info": "1/5000", "WB-species-notes": "<p></p>" }, "Mouse": { "IHCP-species-checked": "predicted", "IHCP-species-dilution-info": "", "IHCP-species-notes": "", "WB-species-checked": "predicted", "WB-species-dilution-info": "", "WB-species-notes": "" }, "Rat": { "IHCP-species-checked": "guaranteed", "IHCP-species-dilution-info": "", "IHCP-species-notes": "", "WB-species-checked": "testedAndGuaranteed", "WB-species-dilution-info": "1/5000", "WB-species-notes": "<p></p>" } } }

Properties and storage information

Form
Liquid
Purification technique
Affinity purification
Storage buffer
pH: 7.4 Preservative: 0.1% Proclin 300 Solution Constituents: PBS, 30% Glycerol (glycerin, glycerine), 1% BSA
Shipped at conditions
Blue Ice
Appropriate short-term storage duration
1-2 weeks
Appropriate short-term storage conditions
+4°C
Appropriate long-term storage conditions
-20°C
Aliquoting information
Upon delivery aliquot
Storage information
Avoid freeze / thaw cycle|Store in the dark

Supplementary information

This supplementary information is collated from multiple sources and compiled automatically.

CPT1A also known as carnitine palmitoyltransferase 1A is a vital enzyme involved in the transport of long-chain fatty acids across the mitochondrial membrane. This protein facilitates the conversion of fatty acids into acyl-carnitine a process necessary for beta-oxidation within the mitochondria. The molecular weight of CPT1A is approximately 88 kDa. CPT1A predominantly expresses in liver cells where energy metabolism from fatty acids is important. Alternate names for this target include CPT 1 and CTP1A reflecting its central role in metabolic processes related to lipid utilization.
Biological function summary

CPT1A plays a vital role in energy production by facilitating mitochondrial fatty acid oxidation. It does not function as a solitary enzyme but often associates with other enzymes forming a multiprotein complex that includes acyl-CoA synthetase. This complex enables efficient fatty acid transport and oxidation converting stored fats into usable energy. As CPT1A primarily operates in the liver its activity significantly impacts overall lipid and energy homeostasis demonstrating its critical regulatory role.

Pathways

CPT1A is central to the fatty acid beta-oxidation pathway an important process for breaking down fatty acids to produce energy. This pathway also involves proteins such as CPT1B a related isoform present in muscle tissues. CPT1A's function is important in the liver's capacity to regulate energy balance and respond to metabolic demands. Additionally CPT1A interacts within the signaling pathway of AMPK (AMP-activated protein kinase) which further integrates it into broader metabolic regulation networks linking energy status to cellular function.

CPT1A is notably associated with metabolic syndromes and fatty liver disease. Mutations or deficiencies in CPT1A can lead to disorders like hepatic carnitine palmitoyltransferase 1A deficiency characterized by hypoketotic hypoglycemia and hepatomegaly. Furthermore its dysregulation can impact proteins such as ACC1 (acetyl-CoA carboxylase) in the context of metabolic syndrome. Research continues to explore the implications of CPT1A in non-alcoholic steatohepatitis highlighting its relevance in liver energy metabolism disorders and their pathophysiology.

Product protocols

For this product, it's our understanding that no specific protocols are required. You can visit:

Target data

Catalyzes the transfer of the acyl group of long-chain fatty acid-CoA conjugates onto carnitine, an essential step for the mitochondrial uptake of long-chain fatty acids and their subsequent beta-oxidation in the mitochondrion (PubMed : 11350182, PubMed : 14517221, PubMed : 16651524, PubMed : 9691089). Possesses also a lysine succinyltransferase activity that can regulate enzymatic activity of substrate proteins such as ENO1 and metabolism independent of its classical carnitine O-palmitoyltransferase activity (PubMed : 29425493). Plays an important role in hepatic triglyceride metabolism (By similarity). Plays also a role in inducible regulatory T-cell (iTreg) differentiation once activated by butyryl-CoA that antagonizes malonyl-CoA-mediated CPT1A repression (By similarity). Sustains the IFN-I response by recruiting ZDHCC4 to palmitoylate MAVS at the mitochondria leading to MAVS stabilization and activation (PubMed : 38016475). Promotes ROS-induced oxidative stress in liver injury via modulation of NFE2L2 and NLRP3-mediated signaling pathways (By similarity).
See full target information CPT1A

Publications (2)

Recent publications for all applications. Explore the full list and refine your search

Experimental and therapeutic medicine 17:1863-1869 PubMed30783461

2019

Incremental effect of liraglutide on traditional insulin injections in rats with type 2 diabetes mellitus by maintaining glycolipid metabolism and cardiovascular function.

Applications

Unspecified application

Species

Unspecified reactive species

Qian Huang,Chan Liu,Jia-Rui Li,Ling Zhang,Fu-Chang Huang,Dan Wang,Ya-Jing Luo

Biochimica et biophysica acta. Molecular basis of disease 1865:147-160 PubMed30404040

2018

Paternal hyperglycemia induces transgenerational inheritance of susceptibility to hepatic steatosis in rats involving altered methylation on Pparα promoter.

Applications

Unspecified application

Species

Unspecified reactive species

Xinyu Li,Xiaoqin Shi,Yi Hou,Xuemei Cao,Lei Gong,Hongying Wang,Jiayu Li,Jibin Li,Chaodong Wu,Daliao Xiao,Hongbo Qi,Xiaoqiu Xiao
View all publications

Product promise

We are committed to supporting your work with high-quality reagents, and we're here for you every step of the way. In the unlikely event that one of our products does not perform as expected, you're protected by our Product Promise.
For full details, please see our Terms & Conditions

Please note: All products are 'FOR RESEARCH USE ONLY. NOT FOR USE IN DIAGNOSTIC OR THERAPEUTIC PROCEDURES'.

For licensing inquiries, please contact partnerships@abcam.com