JavaScript is disabled in your browser. Please enable JavaScript to view this website.
AB215345

HRP Anti-CRISPR-Cas9 antibody [EPR18991]

Be the first to review this product! Submit a review

|

(1 Publication)

Rabbit Recombinant Monoclonal CRISPR-Cas9 antibody - conjugated to HRP. Suitable for WB and reacts with Transfected cell lysate - Streptococcus pyogenes samples. Cited in 1 publication.

View Alternative Names

csn1, SPy_1046, cas9, CRISPR-associated endonuclease Cas9/Csn1, SpCas9, SpyCas9

1 Images
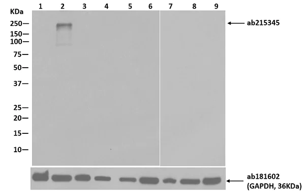
Western blot - HRP Anti-CRISPR-Cas9 antibody [EPR18991] (AB215345)
  • WB

Lab

Western blot - HRP Anti-CRISPR-Cas9 antibody [EPR18991] (AB215345)

All lanes:

Western blot - HRP Anti-CRISPR-Cas9 antibody [EPR18991] (ab215345) at 1/8000 dilution

Lane 1:

HEK-293T (Human embryonic kidney epithelial cell) transfected with vector control (pcDNA3.1(+)-EGFP-Myc), whole cell lysate

Lane 2:

HEK-293T transfected with CRISPR-Cas9 (Q99ZW2, Streptococcus pyogenes serotype M1) with GFP-Myc tag, whole cell lysate

Lane 3:

HEK-293T transfected with CRISPR-Cas9 (G3ECR1, Streptococcus thermophilus, N–terminal aa1-800) with GFP-Myc tag, whole cell lysate

Lane 4:

HEK-293T transfected with CRISPR-Cas9 (G3ECR1, Streptococcus thermophilus, C–terminal aa801-1409) with GFP-Myc tag, whole cell lysate

Lane 5:

HEK-293T transfected vector control with GFP-Myc tag, whole cell lysate

Lane 6:

HEK-293T transfected with CRISPR-Cas9 (A1IQ68, Neisseria meningitidis serogroup A / serotype 4A (strain Z2491)) with Myc-His tag, whole cell lysate

Lane 7:

HEK-293T transfected with CRISPR-Cas9 (G3ECR1, Streptococcus thermophilus) with Myc-His tag, whole cell lysate

Lane 8:

HEK-293T transfected with CRISPR-Cas9 (Q03JI6, Streptococcus thermophilus (strain ATCC BAA-491 / LMD-9)) with Myc-His tag, whole cell lysate

Lane 9:

HEK-293T transfected with CRISPR-Cas9 (J7RUA5, Staphylococcus aureus subsp. aureus) with Myc-His tag, whole cell lysate

Predicted band size: 158 kDa

Observed band size: 184 kDa

false

Exposure time: 3min

Key facts

Host species

Rabbit

Clonality

Monoclonal

Clone number

EPR18991

Isotype

IgG

Conjugation

HRP

Excitation/Emission
Carrier free

No

Applications

WB

applications

Immunogen

The exact immunogen used to generate this antibody is proprietary information.

Reactivity data

{ "title": "Reactivity Data", "filters": { "stats": ["", "Species", "Dilution Info", "Notes"], "tabs": { "all-applications": {"fullname" : "All Applications", "shortname": "All Applications"}, "WB" : {"fullname" : "Western blot", "shortname":"WB"} }, "product-promise": { "all": "all", "testedAndGuaranteed": "tested", "guaranteed": "expected", "predicted": "predicted", "notRecommended": "not-recommended" } }, "values": { "Streptococcus pyogenes": { "WB-species-checked": "predicted", "WB-species-dilution-info": "", "WB-species-notes": "" }, "Transfected cell lysate - Streptococcus pyogenes": { "WB-species-checked": "testedAndGuaranteed", "WB-species-dilution-info": "1/8000", "WB-species-notes": "<p></p>" } } }

Product details

Patented technology
Our RabMAb® technology is a patented hybridoma-based technology for making rabbit monoclonal antibodies. For details on our patents, please refer to RabMAb® patents.

What are the advantages of a recombinant monoclonal antibody?
This product is a recombinant monoclonal antibody, which offers several advantages including:

  • - High batch-to-batch consistency and reproducibility
  • - Improved sensitivity and specificity
  • - Long-term security of supply
  • - Animal-free batch production

For more information, read more on recombinant antibodies.

Properties and storage information

Form
Liquid
Purification technique
Affinity purification Protein A
Storage buffer
pH: 7.4 Preservative: 0.1% Proclin 300 Solution Constituents: PBS, 30% Glycerol (glycerin, glycerine), 1% BSA
Shipped at conditions
Blue Ice
Appropriate short-term storage duration
1-2 weeks
Appropriate short-term storage conditions
+4°C
Appropriate long-term storage conditions
-20°C
Aliquoting information
Upon delivery aliquot
Storage information
Avoid freeze / thaw cycle|Store in the dark

Supplementary information

This supplementary information is collated from multiple sources and compiled automatically.

CRISPR-Cas9 also known simply as Cas9 is a protein that acts as a molecular scissor in gene editing. It has a molecular weight of approximately 160 kDa. Cas9 is a part of the CRISPR-Cas system originally discovered in bacteria where it serves as an adaptive immune system. In bacterial cells Cas9 targets and cleaves specific DNA sequences allowing for targeted gene modifications. While the expression of the CRISPR-Cas system occurs naturally in prokaryotes scientists now harness it in various organisms for genetic manipulation.
Biological function summary

The Cas9 protein functions as an integral part of the CRISPR-Cas9 complex which includes a guide RNA to direct the protein to specific DNA sequences. This complex enables precise cuts at targeted locations within the genome. The Cas9 protein size allows it to fit effectively within cells facilitating genome editing in areas such as research agriculture and therapeutics. The complexity of CRISPR-Cas9 also includes the interaction with other cellular components that assist in DNA repair post-cleavage.

Pathways

CRISPR-Cas9 plays a role in DNA repair pathways particularly non-homologous end joining and homologous recombination. After Cas9-induced DNA breaks these pathways become active to repair the cleaved DNA. The gene editing process facilitated by CRISPR-Cas9 often involves interaction with DNA repair proteins like ku70/80 and Rad51 in response to induced breaks. This allows for either the incorporation of new genetic material or the modification of existing genes.

CRISPR-Cas9 has potential in treating genetic disorders such as cystic fibrosis and Duchenne muscular dystrophy. By correcting mutated genes scientists aim to restore normal gene function offering potential therapeutic benefits. Additionally CRISPR-Cas9 relates indirectly to p53 a protein known for its tumor suppressor functions because gene-editing processes can sometimes activate p53-dependent pathways leading to cell cycle arrest or apoptosis. This highlights the importance of understanding the broader implications of CRISPR-Cas9 in therapeutic applications.

Product protocols

For this product, it's our understanding that no specific protocols are required. You can visit:

Target data

CRISPR (clustered regularly interspaced short palindromic repeat) is an adaptive immune system that provides protection against mobile genetic elements (viruses, transposable elements and conjugative plasmids) (PubMed : 21455174). CRISPR clusters contain spacers, sequences complementary to antecedent mobile elements, and target invading nucleic acids. CRISPR clusters are transcribed and processed into CRISPR RNA (crRNA). In type II CRISPR systems correct processing of pre-crRNA requires a trans-encoded small RNA (tracrRNA), endogenous ribonuclease 3 (rnc) and this protein. The tracrRNA serves as a guide for ribonuclease 3-aided processing of pre-crRNA; Cas9 only stabilizes the pre-crRNA : tracrRNA interaction and has no catalytic function in RNA processing (PubMed : 24270795). Subsequently Cas9/crRNA/tracrRNA endonucleolytically cleaves linear or circular dsDNA target complementary to the spacer; Cas9 is inactive in the absence of the 2 guide RNAs (gRNA). The target strand not complementary to crRNA is first cut endonucleolytically, then trimmed 3'-5' exonucleolytically. DNA-binding requires protein and both gRNAs, as does nuclease activity. Cas9 recognizes the protospacer adjacent motif (PAM) in the CRISPR repeat sequences to help distinguish self versus nonself, as targets within the bacterial CRISPR locus do not have PAMs. DNA strand separation and heteroduplex formation starts at PAM sites; PAM recognition is required for catalytic activity (PubMed : 24476820). Confers immunity against a plasmid with homology to the appropriate CRISPR spacer sequences (CRISPR interference) (PubMed : 21455174).
See full target information cas9

Additional targets

CRISPR-Cas9

Publications (1)

Recent publications for all applications. Explore the full list and refine your search

Frontiers in pharmacology 14:1138858 PubMed37388447

2023

Network pharmacology-based approach to explore the underlying mechanism of sinomenine on sepsis-induced myocardial injury in rats.

Applications

Unspecified application

Species

Unspecified reactive species

Linggang Sun,Zhiyun Chen,Yunjie Ni,Zhengfei He
View all publications

Product promise

We are committed to supporting your work with high-quality reagents, and we're here for you every step of the way. In the unlikely event that one of our products does not perform as expected, you're protected by our Product Promise.
For full details, please see our Terms & Conditions

Please note: All products are 'FOR RESEARCH USE ONLY. NOT FOR USE IN DIAGNOSTIC OR THERAPEUTIC PROCEDURES'.

For licensing inquiries, please contact partnerships@abcam.com