JavaScript is disabled in your browser. Please enable JavaScript to view this website.
AB208244

HRP Anti-CtBP1 antibody [EPR6800]

Be the first to review this product! Submit a review

|

(1 Publication)

Rabbit Recombinant Monoclonal CTBP1 antibody - conjugated to HRP. Suitable for IHC-P, WB and reacts with Human samples. Cited in 1 publication.

View Alternative Names

CTBP, CTBP1, C-terminal-binding protein 1, CtBP1

2 Images
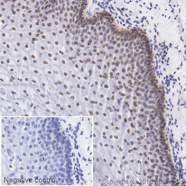
Immunohistochemistry (Formalin/PFA-fixed paraffin-embedded sections) - HRP Anti-CtBP1 antibody [EPR6800] (AB208244)
  • IHC-P

Lab

Immunohistochemistry (Formalin/PFA-fixed paraffin-embedded sections) - HRP Anti-CtBP1 antibody [EPR6800] (AB208244)

IHC image of CtBP1 staining in a section of formalin-fixed paraffin-embedded normal human cervix*, performed on a Leica BOND™. The section was pre-treated using heat mediated antigen retrieval with sodium citrate buffer (pH6, epitope retrieval solution 1) for 20mins. The section was then incubated with ab208244, 1/50 dilution, for 15 mins at room temperature. DAB was used as the chromogen. The section was then counterstained with haematoxylin and mounted with DPX. The inset negative control image is taken from an identical assay without primary antibody.

For other IHC staining systems (automated and non-automated) customers should optimize variable parameters such as antigen retrieval conditions, primary antibody concentration and antibody incubation times.

*Tissue obtained from the Human Research Tissue Bank, supported by the NIHR Cambridge Biomedical Research Centre

Western blot - HRP Anti-CtBP1 antibody [EPR6800] (AB208244)
  • WB

Lab

Western blot - HRP Anti-CtBP1 antibody [EPR6800] (AB208244)

This blot was produced using a 4-12% Bis-tris gel under the MOPS buffer system. The gel was run at 200V for 50 minutes before being transferred onto a Nitrocellulose membrane at 30V for 70 minutes. The membrane was then blocked for an hour using 3% milk before being incubated with ab208244 overnight at 4°C. Antibody binding was visualised using ECL development solution ab133406.

All lanes:

Western blot - HRP Anti-CtBP1 antibody [EPR6800] (ab208244) at 1/5000 dilution

Lane 1:

SHSY-5Y (Human neuroblastoma cell line) Whole Cell Lysate at 10 µg

Lane 2:

Raji (Human Burkitt's lymphoma cell line) Whole Cell Lysate at 10 µg

Lane 3:

A549 (Human lung adenocarcinoma epithelial cell line) Whole Cell Lysate at 10 µg

Lane 4:

HeLa (Human epithelial carcinoma cell line) Whole Cell Lysate at 10 µg

Predicted band size: 47 kDa

Observed band size: 47 kDa

true

Exposure time: 20min

Key facts

Host species

Rabbit

Clonality

Monoclonal

Clone number

EPR6800

Isotype

IgG

Conjugation

HRP

Excitation/Emission
Carrier free

No

Reacts with

Human

Applications

IHC-P, WB

applications

Immunogen

The exact immunogen used to generate this antibody is proprietary information.

Reactivity data

{ "title": "Reactivity Data", "filters": { "stats": ["", "Species", "Dilution Info", "Notes"], "tabs": { "all-applications": {"fullname" : "All Applications", "shortname": "All Applications"}, "IHCP" : {"fullname" : "Immunohistochemistry (Formalin/PFA-fixed paraffin-embedded sections)", "shortname":"IHC-P"}, "WB" : {"fullname" : "Western blot", "shortname":"WB"} }, "product-promise": { "all": "all", "testedAndGuaranteed": "tested", "guaranteed": "expected", "predicted": "predicted", "notRecommended": "not-recommended" } }, "values": { "Human": { "IHCP-species-checked": "testedAndGuaranteed", "IHCP-species-dilution-info": "1/50", "IHCP-species-notes": "<p></p>", "WB-species-checked": "testedAndGuaranteed", "WB-species-dilution-info": "1/5000", "WB-species-notes": "<p></p>" }, "Mouse": { "IHCP-species-checked": "predicted", "IHCP-species-dilution-info": "", "IHCP-species-notes": "", "WB-species-checked": "predicted", "WB-species-dilution-info": "", "WB-species-notes": "" }, "Rat": { "IHCP-species-checked": "predicted", "IHCP-species-dilution-info": "", "IHCP-species-notes": "", "WB-species-checked": "predicted", "WB-species-dilution-info": "", "WB-species-notes": "" } } }

Product details

Patented technology
Our RabMAb® technology is a patented hybridoma-based technology for making rabbit monoclonal antibodies. For details on our patents, please refer to RabMAb® patents.

What are the advantages of a recombinant monoclonal antibody?
This product is a recombinant monoclonal antibody, which offers several advantages including:

  • - High batch-to-batch consistency and reproducibility
  • - Improved sensitivity and specificity
  • - Long-term security of supply
  • - Animal-free batch production

For more information, read more on recombinant antibodies.

Properties and storage information

Form
Liquid
Purification technique
Affinity purification Protein A
Storage buffer
pH: 7.4 Preservative: 0.1% Proclin 300 Solution Constituents: PBS, 30% Glycerol (glycerin, glycerine), 1% BSA
Shipped at conditions
Blue Ice
Appropriate short-term storage duration
1-2 weeks
Appropriate short-term storage conditions
+4°C
Appropriate long-term storage conditions
-20°C
Aliquoting information
Upon delivery aliquot
Storage information
Avoid freeze / thaw cycle|Store in the dark

Product protocols

For this product, it's our understanding that no specific protocols are required. You can visit:

Target data

Corepressor targeting diverse transcription regulators such as GLIS2 or BCL6. Has dehydrogenase activity. Involved in controlling the equilibrium between tubular and stacked structures in the Golgi complex. Functions in brown adipose tissue (BAT) differentiation.
See full target information CTBP1

Publications (1)

Recent publications for all applications. Explore the full list and refine your search

Annals of medicine 57:2546670 PubMed40798940

2025

METTL3-mediated mA modification promotes intervertebral disc degeneration.

Applications

Unspecified application

Species

Unspecified reactive species

Qinghua Yang,Feihong Huang,Congyang Wang,Xiao Liang,Longao Huang,Hongyuan Xu,Jianwei Liu,Qingjun Wei,Hua Jiang
View all publications

Product promise

We are committed to supporting your work with high-quality reagents, and we're here for you every step of the way. In the unlikely event that one of our products does not perform as expected, you're protected by our Product Promise.
For full details, please see our Terms & Conditions

Please note: All products are 'FOR RESEARCH USE ONLY. NOT FOR USE IN DIAGNOSTIC OR THERAPEUTIC PROCEDURES'.

For licensing inquiries, please contact partnerships@abcam.com