JavaScript is disabled in your browser. Please enable JavaScript to view this website.
AB199092

HRP Anti-Cytokeratin 13 antibody [EPR3671]

Be the first to review this product! Submit a review

|

(1 Publication)

Rabbit Recombinant Monoclonal Cytokeratin 13 antibody - conjugated to HRP. Suitable for IHC-P, WB and reacts with Human samples. Cited in 1 publication.

View Alternative Names

Cytokeratin-13, Keratin-13, CK-13, K13, KRT13

2 Images
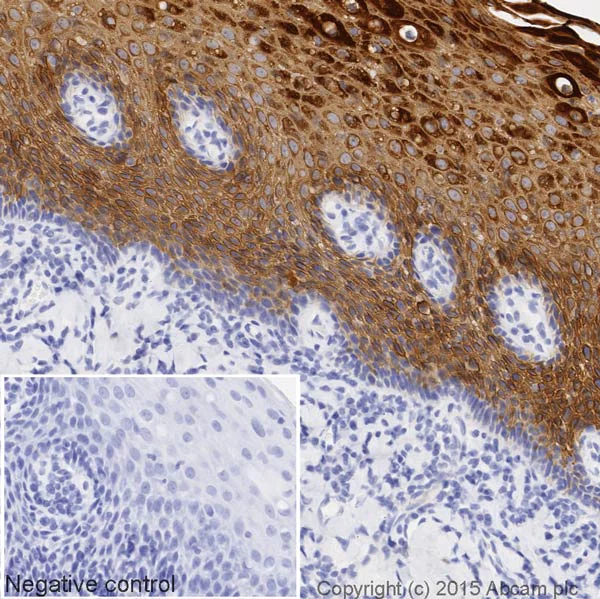
Immunohistochemistry (Formalin/PFA-fixed paraffin-embedded sections) - HRP Anti-Cytokeratin 13 antibody [EPR3671] (AB199092)
  • IHC-P

Lab

Immunohistochemistry (Formalin/PFA-fixed paraffin-embedded sections) - HRP Anti-Cytokeratin 13 antibody [EPR3671] (AB199092)

IHC image of Cytokeratin 13 staining in a section of formalin-fixed paraffin-embedded normal human tonsil tissue*, performed on a Leica BONDTM. The section was pre-treated using heat mediated antigen retrieval with sodium citrate buffer (pH6, epitope retrieval solution 1) for 20mins. The section was then incubated with ab199092, 1/100 dilution, for 15 mins at room temperature. DAB was used as the chromogen. The section was then counterstained with haematoxylin and mounted with DPX. The inset negative control image is taken from an identical assay without primary antibody.

For other IHC staining systems (automated and non-automated) customers should optimize variable parameters such as antigen retrieval conditions, primary antibody concentration and antibody incubation times.

*Tissue obtained from the Human Research Tissue Bank, supported by the NIHR Cambridge Biomedical Research Centre

Western blot - HRP Anti-Cytokeratin 13 antibody [EPR3671] (AB199092)
  • WB

Lab

Western blot - HRP Anti-Cytokeratin 13 antibody [EPR3671] (AB199092)

This blot was produced using a 4-12% Bis-tris gel under the MOPS buffer system. The gel was run at 200V for 50 minutes before being transferred onto a Nitrocellulose membrane at 30V for 70 minutes. The membrane was then blocked for an hour using 2% Bovine Serum Albumin before being incubated with ab199092 overnight at 4°C. Antibody binding was visualised using ECL development solution ab133406.

All lanes:

Western blot - HRP Anti-Cytokeratin 13 antibody [EPR3671] (ab199092) at 1/5000 dilution

All lanes:

A431 (Human epithelial carcinoma cell line) Whole Cell Lysate at 10 µg

Predicted band size: 50 kDa

Observed band size: 50 kDa

true

Exposure time: 10s

  • 519 Alexa Fluor® 488

    Alexa Fluor® 488 Anti-Cytokeratin 13 antibody [EPR3671]

  • 665 Alexa Fluor® 647

    Alexa Fluor® 647 Anti-Cytokeratin 13 antibody [EPR3671]

  • 660 APC

    APC Anti-Cytokeratin 13 antibody [EPR3671]

  • 578 PE

    PE Anti-Cytokeratin 13 antibody [EPR3671]

  • 617 Alexa Fluor® 594

    Alexa Fluor® 594 Anti-Cytokeratin 13 antibody [EPR3671]

  • 565 Alexa Fluor® 555

    Alexa Fluor® 555 Anti-Cytokeratin 13 antibody [EPR3671]

  • 775 Alexa Fluor® 750

    Alexa Fluor® 750 Anti-Cytokeratin 13 antibody [EPR3671]

  • Unconjugated

    Anti-Cytokeratin 13 antibody [EPR3671]

  • Carrier free

    Anti-Cytokeratin 13 antibody [EPR3671] - BSA and Azide free

Key facts

Host species

Rabbit

Clonality

Monoclonal

Clone number

EPR3671

Isotype

IgG

Conjugation

HRP

Excitation/Emission
Carrier free

No

Reacts with

Human, Human

Applications

WB, IHC-P

applications

Immunogen

The exact immunogen used to generate this antibody is proprietary information.

Reactivity data

{ "title": "Reactivity Data", "filters": { "stats": ["", "Species", "Dilution Info", "Notes"], "tabs": { "all-applications": {"fullname" : "All Applications", "shortname": "All Applications"}, "IHCP" : {"fullname" : "Immunohistochemistry (Formalin/PFA-fixed paraffin-embedded sections)", "shortname":"IHC-P"}, "WB" : {"fullname" : "Western blot", "shortname":"WB"} }, "product-promise": { "all": "all", "testedAndGuaranteed": "tested", "guaranteed": "expected", "predicted": "predicted", "notRecommended": "not-recommended" } }, "values": { "Human": { "IHCP-species-checked": "testedAndGuaranteed", "IHCP-species-dilution-info": "1/100", "IHCP-species-notes": "<p></p>", "WB-species-checked": "testedAndGuaranteed", "WB-species-dilution-info": "1/5000", "WB-species-notes": "<p></p>" }, "Mouse": { "IHCP-species-checked": "predicted", "IHCP-species-dilution-info": "", "IHCP-species-notes": "", "WB-species-checked": "predicted", "WB-species-dilution-info": "", "WB-species-notes": "" } } }

Product details

Patented technology
Our RabMAb® technology is a patented hybridoma-based technology for making rabbit monoclonal antibodies. For details on our patents, please refer to RabMAb® patents.

Properties and storage information

Form
Liquid
Purification technique
Affinity purification Protein A
Storage buffer
pH: 7.4 Preservative: 0.1% Proclin 300 Solution Constituents: PBS, 30% Glycerol (glycerin, glycerine), 1% BSA
Shipped at conditions
Blue Ice
Appropriate short-term storage duration
1-2 weeks
Appropriate short-term storage conditions
+4°C
Appropriate long-term storage conditions
-20°C
Aliquoting information
Upon delivery aliquot
Storage information
Avoid freeze / thaw cycle|Store in the dark

Supplementary information

This supplementary information is collated from multiple sources and compiled automatically.

Cytokeratin 13 also known as KRT13 or CK13 is a type I intermediate filament protein weighing approximately 44 kDa. It is one of the cytokeratin types that plays a critical role in the mechanical stability and integrity of epithelial cells. Cytokeratin 13 is expressed in the stratified squamous epithelium particularly in the upper layers of non-cornified epithelia which include the esophagus tongue and cervix. This protein forms heteropolymers with type II keratins contributing to the cytoskeletal filament network within epithelial cells.
Biological function summary

This protein participates in maintaining the structural framework and dynamics within epithelial tissues. As part of the cytoskeletal complex cytokeratin 13 supports cellular resilience against mechanical stress. It interacts with other cytokeratins contributing to the formation of a robust keratin filament network essential for epithelial cell function and differentiation. Its expression and regulation are key to the homeostasis of the tissues where it is found ensuring proper cell division and tissue integrity.

Pathways

Cytokeratin 13 integrates into epithelial cell differentiation and repair processes. It is involved in the epithelial-mesenchymal transition (EMT) pathway important for tissue development wound healing and cancer metastasis. During the EMT process cytokeratin 13 often works alongside proteins like E-cadherin and Vimentin mediating changes in epithelial cell architecture and polarity. This modulation is essential for cellular plasticity and response to environmental cues.

Cytokeratin 13 has associations with certain epithelial tissue abnormalities such as oral squamous cell carcinoma and a subgroup of inherited blistering diseases like epidermolysis bullosa. In oral squamous cell carcinoma dysregulation of cytokeratin 13 expression may indicate tumor progression and metastasis. In epidermolysis bullosa mutations affecting keratin interactions including those with other keratins like cytokeratin 14 can lead to fragile skin and mucosal surfaces resulting in increased susceptibility to physical damage and impaired healing.

Product protocols

For this product, it's our understanding that no specific protocols are required. You can visit:

Target data

Type 1 keratin (Probable). Maintains postnatal tongue mucosal cell homeostasis and tissue organization in response to mechanical stress, potentially via regulation of the G1/S phase cyclins CCNE1 and CCNE2 (By similarity).
See full target information Keratin, type I cytoskeletal 13

Publications (1)

Recent publications for all applications. Explore the full list and refine your search

The Journal of clinical investigation 135: PubMed40100289

2025

AMPK is necessary for Treg functional adaptation to microenvironmental stress during malignancy and viral pneumonia.

Applications

Unspecified application

Species

Unspecified reactive species

Manuel A Torres Acosta,Jonathan K Gurkan,Qianli Liu,Nurbek Mambetsariev,Carla Reyes Flores,Kathryn A Helmin,Anthony M Joudi,Luisa Morales-Nebreda,Kathleen Cheng,Hiam Abdala-Valencia,Samuel E Weinberg,Benjamin D Singer
View all publications

Product promise

We are committed to supporting your work with high-quality reagents, and we're here for you every step of the way. In the unlikely event that one of our products does not perform as expected, you're protected by our Product Promise.
For full details, please see our Terms & Conditions

Please note: All products are 'FOR RESEARCH USE ONLY. NOT FOR USE IN DIAGNOSTIC OR THERAPEUTIC PROCEDURES'.

For licensing inquiries, please contact partnerships@abcam.com