JavaScript is disabled in your browser. Please enable JavaScript to view this website.
AB209945

HRP Anti-Cytokeratin 7 antibody [EPR17078]

  • BOND RX™ Validated
  • RabMAb
  • Recombinant
  • KO Validated
  • What is this?

Be the first to review this product! Submit a review

|

(1 Publication)

Rabbit Recombinant Monoclonal Cytokeratin 7 antibody - conjugated to HRP. Suitable for IHC-P, WB and reacts with Human, Mouse samples. Cited in 1 publication.

View Alternative Names

SCL, KRT7, Cytokeratin-7, Keratin-7, Sarcolectin, Type-II keratin Kb7, CK-7, K7

3 Images
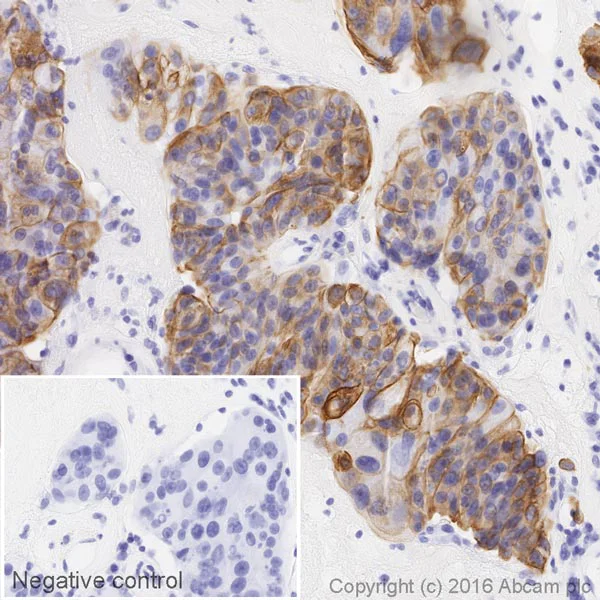
Immunohistochemistry (Formalin/PFA-fixed paraffin-embedded sections) - HRP Anti-Cytokeratin 7 antibody [EPR17078] (AB209945)
  • IHC-P

Lab

Immunohistochemistry (Formalin/PFA-fixed paraffin-embedded sections) - HRP Anti-Cytokeratin 7 antibody [EPR17078] (AB209945)

IHC image of Cytokeratin 7 staining in a section of formalin-fixed paraffin-embedded normal human breast*, performed on a Leica BOND™. The section was pre-treated using heat mediated antigen retrieval with sodium citrate buffer (pH6, epitope retrieval solution 1) for 20mins. The section was then incubated with ab209945, 1/100 dilution, for 15 mins at room temperature. DAB was used as the chromogen. The section was then counterstained with haematoxylin and mounted with DPX. The inset negative control image is taken from an identical assay without primary antibody.

For other IHC staining systems (automated and non-automated) customers should optimize variable parameters such as antigen retrieval conditions, primary antibody concentration and antibody incubation times.

*Tissue obtained from the Human Research Tissue Bank, supported by the NIHR Cambridge Biomedical Research Centre

Western blot - HRP Anti-Cytokeratin 7 antibody [EPR17078] (AB209945)
  • WB

Lab

Western blot - HRP Anti-Cytokeratin 7 antibody [EPR17078] (AB209945)

This blot was produced using a 4-12% Bis-tris gel under the MOPS buffer system. The gel was run at 200V for 50 minutes before being transferred onto a Nitrocellulose membrane at 30V for 70 minutes. The membrane was then blocked for an hour using 2% Bovine Serum Albumin before being incubated with ab209945 overnight at 4°C. Antibody binding was visualised using ECL development solution ab133406.

All lanes:

Western blot - HRP Anti-Cytokeratin 7 antibody [EPR17078] (ab209945) at 1/5000 dilution

Lane 1:

Lung (Mouse) Tissue Lysate at 10 µg

Lane 2:

HeLa (Human epithelial carcinoma cell line) Whole Cell Lysate at 10 µg

Predicted band size: 51 kDa

Observed band size: 53 kDa

true

Exposure time: 15s

Western blot - HRP Anti-Cytokeratin 7 antibody [EPR17078] (AB209945)
  • WB

Lab

Western blot - HRP Anti-Cytokeratin 7 antibody [EPR17078] (AB209945)

ab209945 was shown to specifically react with KRT7 in wild-type A549 cells as signal was lost in KRT7 knockout cell line ab261867 (knockout cell lysate ab261676). Wild-type and KRT7 knockout samples were subjected to SDS-PAGE. The membrane was blocked with 3% milk. ab209945 and ab8245 (Mouse anti-GAPDH loading control) were incubated overnight at 4°C at 1/5000 dilution and 1/20000 dilution respectively. Blots were developed with Goat anti-Mouse IgG H&L (IRDye® 680RD) preabsorbed ab216776 secondary antibody at 1/20000 dilution for 1 hour at room temperature. The loading control was imaged using the Licor Odyssey CLx prior to blots being developed with ECL technique.

All lanes:

Western blot - HRP Anti-Cytokeratin 7 antibody [EPR17078] (ab209945) at 1/5000 dilution

Lane 1:

Wild-type A549 (Human lung carcinoma cell line) whole cell lysate at 20 µg

Lane 2:

Western blot - Human KRT7 knockout A549 cell line (<a href='/en-us/products/cell-lines/human-krt7-knockout-a549-cell-line-ab261867'>ab261867</a>) at 20 µg

Lane 3:

HeLa (Human epithelial cell line from cervix adenocarcinoma) whole cell lysate at 20 µg

Lane 4:

MCF7 (Human breast adenocarcinoma cell line) whole cell lysate at 20 µg

Predicted band size: 51 kDa

false

  • 519 Alexa Fluor® 488

    Alexa Fluor® 488 Anti-Cytokeratin 7 antibody [EPR17078]

  • 665 Alexa Fluor® 647

    Alexa Fluor® 647 Anti-Cytokeratin 7 antibody [EPR17078]

  • 617 Alexa Fluor® 594

    Alexa Fluor® 594 Anti-Cytokeratin 7 antibody [EPR17078]

  • 565 Alexa Fluor® 555

    Alexa Fluor® 555 Anti-Cytokeratin 7 antibody [EPR17078]

  • 578 PE

    PE Anti-Cytokeratin 7 antibody [EPR17078]

Key facts

Host species

Rabbit

Clonality

Monoclonal

Clone number

EPR17078

Isotype

IgG

Conjugation

HRP

Excitation/Emission
Carrier free

No

Reacts with

Mouse, Human

Applications

IHC-P, WB

applications

Immunogen

The exact immunogen used to generate this antibody is proprietary information.

Specificity

From Jan 2026, QC testing of replenishment batches of this primary conjugate changed. All tested and expected application and reactive species combinations are still covered by our Abcam product promise. However, the replenishment lots are subjected to bioanalytical testing only. For more information on a specific batch, please contact our Scientific Support who will be happy to help.

Reactivity data

{ "title": "Reactivity Data", "filters": { "stats": ["", "Species", "Dilution Info", "Notes"], "tabs": { "all-applications": {"fullname" : "All Applications", "shortname": "All Applications"}, "IHCP" : {"fullname" : "Immunohistochemistry (Formalin/PFA-fixed paraffin-embedded sections)", "shortname":"IHC-P"}, "WB" : {"fullname" : "Western blot", "shortname":"WB"} }, "product-promise": { "all": "all", "testedAndGuaranteed": "tested", "guaranteed": "expected", "predicted": "predicted", "notRecommended": "not-recommended" } }, "values": { "Human": { "IHCP-species-checked": "testedAndGuaranteed", "IHCP-species-dilution-info": "1/100", "IHCP-species-notes": "<p></p>", "WB-species-checked": "testedAndGuaranteed", "WB-species-dilution-info": "1/5000", "WB-species-notes": "<p></p>" }, "Mouse": { "IHCP-species-checked": "guaranteed", "IHCP-species-dilution-info": "", "IHCP-species-notes": "", "WB-species-checked": "testedAndGuaranteed", "WB-species-dilution-info": "1/5000", "WB-species-notes": "<p></p>" }, "Rat": { "IHCP-species-checked": "predicted", "IHCP-species-dilution-info": "", "IHCP-species-notes": "", "WB-species-checked": "predicted", "WB-species-dilution-info": "", "WB-species-notes": "" } } }

Product details

Patented technology
Our RabMAb® technology is a patented hybridoma-based technology for making rabbit monoclonal antibodies. For details on our patents, please refer to RabMAb® patents.

What are the advantages of a recombinant monoclonal antibody?
This product is a recombinant monoclonal antibody, which offers several advantages including:

  • - High batch-to-batch consistency and reproducibility
  • - Improved sensitivity and specificity
  • - Long-term security of supply
  • - Animal-free batch production

For more information, read more on recombinant antibodies.

Properties and storage information

Form
Liquid
Purification technique
Affinity purification Protein A
Storage buffer
pH: 7.4 Preservative: 0.1% Proclin 300 Solution Constituents: PBS, 30% Glycerol (glycerin, glycerine), 1% BSA
Shipped at conditions
Blue Ice
Appropriate short-term storage duration
1-2 weeks
Appropriate short-term storage conditions
+4°C
Appropriate long-term storage conditions
-20°C
Aliquoting information
Upon delivery aliquot
Storage information
Stable for 12 months at -20°C|Store in the dark

Product protocols

For this product, it's our understanding that no specific protocols are required. You can visit:

Target data

Blocks interferon-dependent interphase and stimulates DNA synthesis in cells. Involved in the translational regulation of the human papillomavirus type 16 E7 mRNA (HPV16 E7).
See full target information KRT7

Publications (1)

Recent publications for all applications. Explore the full list and refine your search

Cells 11: PubMed35406690

2022

Single-Cell Molecular Characterization to Partition the Human Glioblastoma Tumor Microenvironment Genetic Background.

Applications

Unspecified application

Species

Unspecified reactive species

Francesca Lessi,Sara Franceschi,Mariangela Morelli,Michele Menicagli,Francesco Pasqualetti,Orazio Santonocito,Carlo Gambacciani,Francesco Pieri,Filippo Aquila,Paolo Aretini,Chiara Maria Mazzanti
View all publications

Product promise

We are committed to supporting your work with high-quality reagents, and we're here for you every step of the way. In the unlikely event that one of our products does not perform as expected, you're protected by our Product Promise.
For full details, please see our Terms & Conditions

Please note: All products are 'FOR RESEARCH USE ONLY. NOT FOR USE IN DIAGNOSTIC OR THERAPEUTIC PROCEDURES'.

For licensing inquiries, please contact partnerships@abcam.com