JavaScript is disabled in your browser. Please enable JavaScript to view this website.
AB194152

HRP Anti-Estrogen Receptor alpha antibody [E115]

Be the first to review this product! Submit a review

|

(1 Publication)

Rabbit Recombinant Monoclonal Estrogen Receptor alpha antibody - conjugated to HRP. Suitable for IHC-P, WB and reacts with Human, Mouse, Rat samples. Cited in 1 publication.

View Alternative Names

ESR, NR3A1, ESR1, Estrogen receptor, ER, ER-alpha, Estradiol receptor, Nuclear receptor subfamily 3 group A member 1

1 Images
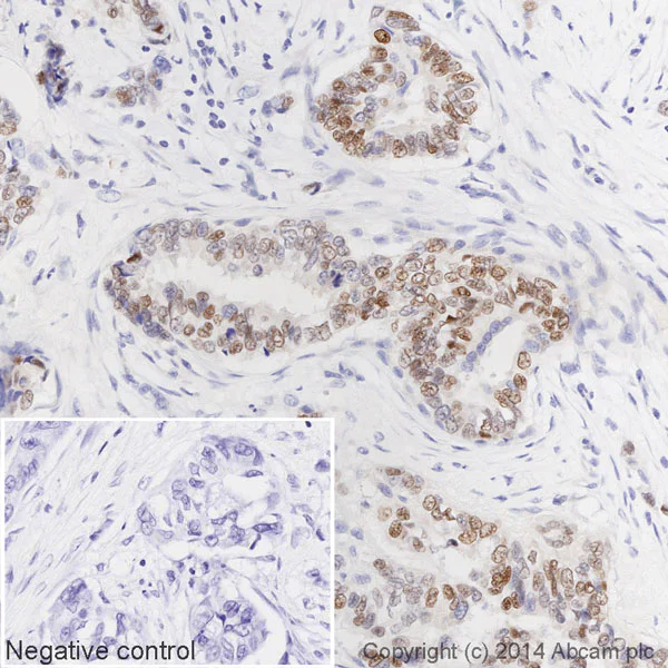
Immunohistochemistry (Formalin/PFA-fixed paraffin-embedded sections) - HRP Anti-Estrogen Receptor alpha antibody [E115] (AB194152)
  • IHC-P

Lab

Immunohistochemistry (Formalin/PFA-fixed paraffin-embedded sections) - HRP Anti-Estrogen Receptor alpha antibody [E115] (AB194152)

IHC image of Estrogen Receptor alpha staining in a section of formalin-fixed paraffin-embedded human breast ductal carcinoma*, performed on a Leica BOND. The section was pre-treated using heat mediated antigen retrieval with sodium citrate buffer (pH6, epitope retrieval solution 1) for 20mins. The section was then incubated with ab194152 at 1/100 dilution, for 15 mins at room temperature. DAB was used as the chromogen. The section was then counterstained with haematoxylin and mounted with DPX. The inset negative control image is taken from an identical assay without primary antibody.

For other IHC staining systems (automated and non-automated) customers should optimize variable parameters such as antigen retrieval conditions, primary antibody concentration and antibody incubation times.

*Tissue obtained from the Human Research Tissue Bank, supported by the NIHR Cambridge Biomedical Research Centre

  • 660 APC

    APC Anti-Estrogen Receptor alpha antibody [E115] - ChIP Grade

  • 665 Alexa Fluor® 647

    Alexa Fluor® 647 Anti-Estrogen Receptor alpha antibody [E115] - ChIP Grade

  • 617 Alexa Fluor® 594

    Alexa Fluor® 594 Anti-Estrogen Receptor alpha antibody [E115] - ChIP Grade

  • 603 Alexa Fluor® 568

    Alexa Fluor® 568 Anti-Estrogen Receptor alpha antibody [E115] - ChIP Grade

  • 565 Alexa Fluor® 555

    Alexa Fluor® 555 Anti-Estrogen Receptor alpha antibody [E115] - ChIP Grade

  • 775 Alexa Fluor® 750

    Alexa Fluor® 750 Anti-Estrogen Receptor alpha antibody [E115] - ChIP Grade

  • Unconjugated

    Anti-Estrogen Receptor alpha antibody [E115] - ChIP Grade

  • Carrier free

    Anti-Estrogen Receptor alpha antibody [E115] - Low endotoxin, Azide free

  • Carrier free

    Anti-Estrogen Receptor alpha antibody [E115] - BSA and Azide free

Key facts

Host species

Rabbit

Clonality

Monoclonal

Clone number

E115

Isotype

IgG

Conjugation

HRP

Excitation/Emission
Carrier free

No

Reacts with

Human, Human, Mouse, Rat

Applications

IHC-P, WB

applications

Immunogen

The exact immunogen used to generate this antibody is proprietary information.

Specificity

Expression levels of ER alpha protein vary with sample type.

Reactivity data

{ "title": "Reactivity Data", "filters": { "stats": ["", "Species", "Dilution Info", "Notes"], "tabs": { "all-applications": {"fullname" : "All Applications", "shortname": "All Applications"}, "IHCP" : {"fullname" : "Immunohistochemistry (Formalin/PFA-fixed paraffin-embedded sections)", "shortname":"IHC-P"}, "WB" : {"fullname" : "Western blot", "shortname":"WB"} }, "product-promise": { "all": "all", "testedAndGuaranteed": "tested", "guaranteed": "expected", "predicted": "predicted", "notRecommended": "not-recommended" } }, "values": { "Human": { "IHCP-species-checked": "testedAndGuaranteed", "IHCP-species-dilution-info": "1/100", "IHCP-species-notes": "<p></p>", "WB-species-checked": "guaranteed", "WB-species-dilution-info": "", "WB-species-notes": "<p></p>" }, "Mouse": { "IHCP-species-checked": "guaranteed", "IHCP-species-dilution-info": "", "IHCP-species-notes": "<p></p>", "WB-species-checked": "guaranteed", "WB-species-dilution-info": "", "WB-species-notes": "<p></p>" }, "Rat": { "IHCP-species-checked": "guaranteed", "IHCP-species-dilution-info": "", "IHCP-species-notes": "<p></p>", "WB-species-checked": "guaranteed", "WB-species-dilution-info": "", "WB-species-notes": "<p></p>" } } }

Product details

Patented technology
Our RabMAb® technology is a patented hybridoma-based technology for making rabbit monoclonal antibodies. For details on our patents, please refer to RabMAb® patents.

Properties and storage information

Form
Liquid
Purification technique
Affinity purification Protein A
Storage buffer
pH: 7.4 Preservative: 0.1% Proclin 300 Solution Constituents: PBS, 30% Glycerol (glycerin, glycerine), 1% BSA
Shipped at conditions
Blue Ice
Appropriate short-term storage duration
1-2 weeks
Appropriate short-term storage conditions
+4°C
Appropriate long-term storage conditions
-20°C
Aliquoting information
Upon delivery aliquot
Storage information
Avoid freeze / thaw cycle|Store in the dark

Supplementary information

This supplementary information is collated from multiple sources and compiled automatically.

Estrogen Receptor alpha also known as ERα or ESR1 is a nuclear receptor that acts as a transcription factor when activated by its ligand estrogen. Its molecular weight is approximately 66 kDa. ERα is expressed in various tissues such as breast tissue endometrium and ovarian cells as well as some areas of the central nervous system. The ERα protein binds to specific DNA sequences called estrogen response elements to regulate the transcription of target genes. Tools like ER alpha ELISA and assays using alpha peptides help to study this receptor.
Biological function summary

ERα plays a significant role in the regulation of estrogen signaling. Estrogens binding to ERα activate the receptor which can form a homodimer or heterodimer complex with other proteins like coactivators or corepressors. This complex then modulates the transcription of genes involved in cell growth proliferation and differentiation. ERα is closely linked with processes like reproductive tissue development and maintenance.

Pathways

ERα is involved in the estrogen signaling pathway and the cell cycle regulation pathway. In the estrogen signaling pathway ERα works together with proteins such as coactivators which enhance gene transcription and corepressors which can inhibit transcription. In the context of cell cycle regulation ERα's interactions with other cell cycle proteins help control cell division and proliferation linking ERα activity to the progression through different stages of the cell cycle.

ERα's dysregulation has been implicated in breast cancer and osteoporosis. ERα overexpression or mutations can lead to oncogenic effects in breast cancer making it a prominent therapeutic target. Drugs that modulate ERα activity like selective estrogen receptor modulators (SERMs) are used in breast cancer treatment. In osteoporosis ERα is related to bone density regulation with its activity affecting bone resorption and formation. Relationships between ERα and other proteins such as those involved in hormone signaling pathways impact these disease mechanisms.

Product protocols

For this product, it's our understanding that no specific protocols are required. You can visit:

Target data

Nuclear hormone receptor. The steroid hormones and their receptors are involved in the regulation of eukaryotic gene expression and affect cellular proliferation and differentiation in target tissues. Ligand-dependent nuclear transactivation involves either direct homodimer binding to a palindromic estrogen response element (ERE) sequence or association with other DNA-binding transcription factors, such as AP-1/c-Jun, c-Fos, ATF-2, Sp1 and Sp3, to mediate ERE-independent signaling. Ligand binding induces a conformational change allowing subsequent or combinatorial association with multiprotein coactivator complexes through LXXLL motifs of their respective components. Mutual transrepression occurs between the estrogen receptor (ER) and NF-kappa-B in a cell-type specific manner. Decreases NF-kappa-B DNA-binding activity and inhibits NF-kappa-B-mediated transcription from the IL6 promoter and displace RELA/p65 and associated coregulators from the promoter. Recruited to the NF-kappa-B response element of the CCL2 and IL8 promoters and can displace CREBBP. Present with NF-kappa-B components RELA/p65 and NFKB1/p50 on ERE sequences. Can also act synergistically with NF-kappa-B to activate transcription involving respective recruitment adjacent response elements; the function involves CREBBP. Can activate the transcriptional activity of TFF1. Also mediates membrane-initiated estrogen signaling involving various kinase cascades. Essential for MTA1-mediated transcriptional regulation of BRCA1 and BCAS3 (PubMed : 17922032). Maintains neuronal survival in response to ischemic reperfusion injury when in the presence of circulating estradiol (17-beta-estradiol/E2) (By similarity).. Isoform 3. Involved in activation of NOS3 and endothelial nitric oxide production (PubMed : 21937726). Isoforms lacking one or several functional domains are thought to modulate transcriptional activity by competitive ligand or DNA binding and/or heterodimerization with the full-length receptor (PubMed : 10970861). Binds to ERE and inhibits isoform 1 (PubMed : 10970861).
See full target information ESR1

Publications (1)

Recent publications for all applications. Explore the full list and refine your search

Journal of evidence-based integrative medicine 23:2515690X18789632 PubMed30045633

2018

A Traditional Chinese Medicine Herb Mixture Qingjie Fuzheng Granules Inhibits Hepatocellular Carcinoma Cells Growth by Inducing Apoptosis.

Applications

Unspecified application

Species

Unspecified reactive species

Pingping Zhong,Hong Yang,Shan Lin,Jun Peng,Jiumao Lin
View all publications

Product promise

We are committed to supporting your work with high-quality reagents, and we're here for you every step of the way. In the unlikely event that one of our products does not perform as expected, you're protected by our Product Promise.
For full details, please see our Terms & Conditions

Please note: All products are 'FOR RESEARCH USE ONLY. NOT FOR USE IN DIAGNOSTIC OR THERAPEUTIC PROCEDURES'.

For licensing inquiries, please contact partnerships@abcam.com