JavaScript is disabled in your browser. Please enable JavaScript to view this website.
AB203476

HRP Anti-Galectin 1 antibody [EPR3205]

Be the first to review this product! Submit a review

|

(1 Publication)

Rabbit Recombinant Monoclonal Galectin 1 antibody - conjugated to HRP. Suitable for IHC-P, WB and reacts with Human, Mouse samples. Cited in 1 publication.

View Alternative Names

Galectin-1, Gal-1, 14 kDa laminin-binding protein, 14 kDa lectin, Beta-galactoside-binding lectin L-14-I, Galaptin, HBL, HPL, Lactose-binding lectin 1, Lectin galactoside-binding soluble 1, Putative MAPK-activating protein PM12, S-Lac lectin 1, HLBP14, LGALS1

2 Images
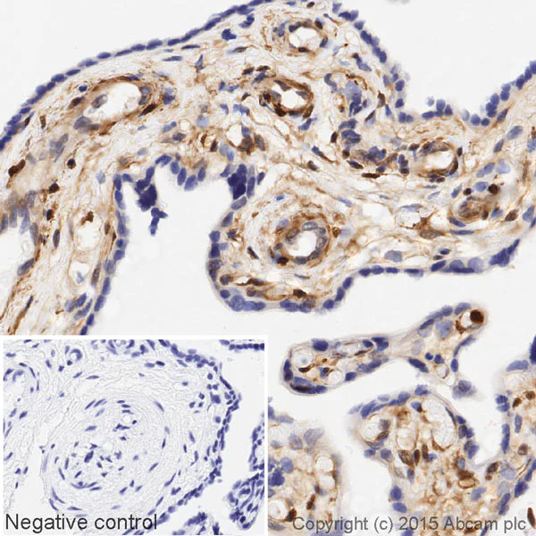
Immunohistochemistry (Formalin/PFA-fixed paraffin-embedded sections) - HRP Anti-Galectin 1 antibody [EPR3205] (AB203476)
  • IHC-P

Lab

Immunohistochemistry (Formalin/PFA-fixed paraffin-embedded sections) - HRP Anti-Galectin 1 antibody [EPR3205] (AB203476)

IHC image of Galectin 1 staining in a section of formalin-fixed paraffin-embedded normal human placenta*, performed on a Leica BONDTM. The section was pre-treated using heat mediated antigen retrieval with sodium citrate buffer (pH6, epitope retrieval solution 1) for 20mins. The section was then incubated with ab203476, 1/50 dilution, for 15 mins at room temperature. DAB was used as the chromogen. The section was then counterstained with haematoxylin and mounted with DPX. The inset negative control image is taken from an identical assay without primary antibody.

For other IHC staining systems (automated and non-automated) customers should optimize variable parameters such as antigen retrieval conditions, primary antibody concentration and antibody incubation times.

*Tissue obtained from the Human Research Tissue Bank, supported by the NIHR Cambridge Biomedical Research Centre

Western blot - HRP Anti-Galectin 1 antibody [EPR3205] (AB203476)
  • WB

Lab

Western blot - HRP Anti-Galectin 1 antibody [EPR3205] (AB203476)

This blot was produced using a 4-12% Bis-tris gel under the MES buffer system. The gel was run at 200V for 35 minutes before being transferred onto a Nitrocellulose membrane at 30V for 70 minutes. The membrane was then blocked for an hour using 3% milk before being incubated with ab203476 overnight at 4°C. Antibody binding was visualised using ECL development solution ab133406.

All lanes:

Western blot - HRP Anti-Galectin 1 antibody [EPR3205] (ab203476) at 1/5000 dilution

All lanes:

NIH 3T3 (Mouse embryonic fibroblast cell line) Whole Cell Lysate at 10 µg

Predicted band size: 15 kDa

Observed band size: 15 kDa

true

Exposure time: 2min

  • 578 PE

    PE Anti-Galectin 1 antibody [EPR3205]

  • 660 APC

    APC Anti-Galectin 1 antibody [EPR3205]

  • 519 Alexa Fluor® 488

    Alexa Fluor® 488 Anti-Galectin 1 antibody [EPR3205]

  • 617 Alexa Fluor® 594

    Alexa Fluor® 594 Anti-Galectin 1 antibody [EPR3205]

  • 565 Alexa Fluor® 555

    Alexa Fluor® 555 Anti-Galectin 1 antibody [EPR3205]

  • 665 Alexa Fluor® 647

    Alexa Fluor® 647 Anti-Galectin 1 antibody [EPR3205]

  • 775 Alexa Fluor® 750

    Alexa Fluor® 750 Anti-Galectin 1 antibody [EPR3205]

  • Unconjugated

    Anti-Galectin 1 antibody [EPR3205]

  • Carrier free

    Anti-Galectin 1 antibody [EPR3205] - BSA and Azide free (Detector)

  • Carrier free

    Anti-Galectin 1 antibody [EPR3205] - Low endotoxin, Azide free

  • Carrier free

    Anti-Galectin 1 antibody [EPR3205] - BSA and Azide free

Key facts

Host species

Rabbit

Clonality

Monoclonal

Clone number

EPR3205

Isotype

IgG

Conjugation

HRP

Excitation/Emission
Carrier free

No

Reacts with

Mouse, Human

Applications

IHC-P, WB

applications

Immunogen

The exact immunogen used to generate this antibody is proprietary information.

Reactivity data

{ "title": "Reactivity Data", "filters": { "stats": ["", "Species", "Dilution Info", "Notes"], "tabs": { "all-applications": {"fullname" : "All Applications", "shortname": "All Applications"}, "IHCP" : {"fullname" : "Immunohistochemistry (Formalin/PFA-fixed paraffin-embedded sections)", "shortname":"IHC-P"}, "WB" : {"fullname" : "Western blot", "shortname":"WB"} }, "product-promise": { "all": "all", "testedAndGuaranteed": "tested", "guaranteed": "expected", "predicted": "predicted", "notRecommended": "not-recommended" } }, "values": { "Human": { "IHCP-species-checked": "testedAndGuaranteed", "IHCP-species-dilution-info": "1/50", "IHCP-species-notes": "<p></p>", "WB-species-checked": "guaranteed", "WB-species-dilution-info": "", "WB-species-notes": "" }, "Mouse": { "IHCP-species-checked": "guaranteed", "IHCP-species-dilution-info": "", "IHCP-species-notes": "", "WB-species-checked": "testedAndGuaranteed", "WB-species-dilution-info": "1/5000", "WB-species-notes": "<p></p>" }, "Rat": { "IHCP-species-checked": "predicted", "IHCP-species-dilution-info": "", "IHCP-species-notes": "", "WB-species-checked": "predicted", "WB-species-dilution-info": "", "WB-species-notes": "" } } }

Product details

Patented technology
Our RabMAb® technology is a patented hybridoma-based technology for making rabbit monoclonal antibodies. For details on our patents, please refer to RabMAb® patents.

What are the advantages of a recombinant monoclonal antibody?
This product is a recombinant monoclonal antibody, which offers several advantages including:

  • - High batch-to-batch consistency and reproducibility
  • - Improved sensitivity and specificity
  • - Long-term security of supply
  • - Animal-free batch production

For more information, read more on recombinant antibodies.

Properties and storage information

Form
Liquid
Purification technique
Affinity purification Protein A
Storage buffer
pH: 7.4 Preservative: 0.1% Proclin 300 Solution Constituents: PBS, 30% Glycerol (glycerin, glycerine), 1% BSA
Shipped at conditions
Blue Ice
Appropriate short-term storage duration
1-2 weeks
Appropriate short-term storage conditions
+4°C
Appropriate long-term storage conditions
-20°C
Aliquoting information
Upon delivery aliquot
Storage information
Avoid freeze / thaw cycle|Store in the dark

Supplementary information

This supplementary information is collated from multiple sources and compiled automatically.

Galectin-1 also referred to as GAL1 or galectin 1 is a protein with a molecular mass of approximately 14.5 kDa. It belongs to a group called the beta-galactoside-binding lectins and is typically characterized by its distinct carbohydrate-recognition domain. Galectin-1 is expressed in a variety of tissues including muscle epithelial cells the nervous system and immune cells. In particular high expression levels are found in the placenta and the thymus indicating a role in development and immune function.
Biological function summary

This protein mediates a variety of cellular processes such as cell differentiation apoptosis and immune cell modulation. As a monomer galectin-1 binds specifically to beta-galactoside residues on the cell surface. It plays a significant role in regulation of cell signaling circuits affecting T-cell activation as well as macrophage function. The Galectin-1 protein does not commonly form complexes but can influence interactions of other proteins by binding to glycoproteins on the cell surface which can modulate signaling outcomes.

Pathways

The protein is actively involved in pathways related to cell-cell interactions and immune modulation. It interacts with pathways like Ras signaling which is fundamental in cell growth proliferation and survival. Through these pathways galectin-1 is closely related to other proteins including Ras and Raf which are critical in transmitting signals from the cell surface to the DNA in the nucleus affecting gene expression involved in apoptosis and autophagy.

Galectin-1 association with cancer progression and autoimmune diseases reflects its role in immune system regulation. High galectin-1 levels have been recorded in various tumors where the protein promotes tumor progression by supporting angiogenesis and suppressing immune response against cancer cells. In autoimmune disorders such as multiple sclerosis modulation of Galectin-1 levels can alter disease progression and the immune system’s behavior. The protein interacts with other key regulators like cytokines emphasizing its importance in immune-inflammatory pathways and potential as a therapeutic target.

Product protocols

For this product, it's our understanding that no specific protocols are required. You can visit:

Target data

Lectin that binds beta-galactoside and a wide array of complex carbohydrates. Plays a role in regulating apoptosis, cell proliferation and cell differentiation. Inhibits CD45 protein phosphatase activity and therefore the dephosphorylation of Lyn kinase. Strong inducer of T-cell apoptosis. Plays a negative role in Th17 cell differentiation via activation of the receptor CD69 (PubMed : 24752896).
See full target information LGALS1

Publications (1)

Recent publications for all applications. Explore the full list and refine your search

Nature communications 16:1295 PubMed39900923

2025

Plant-nanoparticles enhance anti-PD-L1 efficacy by shaping human commensal microbiota metabolites.

Applications

Unspecified application

Species

Unspecified reactive species

Yun Teng,Chao Luo,Xiaolan Qiu,Jingyao Mu,Mukesh K Sriwastva,Qingbo Xu,Minmin Liu,Xin Hu,Fangyi Xu,Lifeng Zhang,Juw Won Park,Jae Yeon Hwang,Maiying Kong,Zhanxu Liu,Xiang Zhang,Raobo Xu,Jun Yan,Michael L Merchant,Craig J McClain,Huang-Ge Zhang
View all publications

Product promise

We are committed to supporting your work with high-quality reagents, and we're here for you every step of the way. In the unlikely event that one of our products does not perform as expected, you're protected by our Product Promise.
For full details, please see our Terms & Conditions

Please note: All products are 'FOR RESEARCH USE ONLY. NOT FOR USE IN DIAGNOSTIC OR THERAPEUTIC PROCEDURES'.

For licensing inquiries, please contact partnerships@abcam.com