JavaScript is disabled in your browser. Please enable JavaScript to view this website.
AB195190

HRP Anti-gamma H2A.X (phospho S139) antibody [EP854(2)Y]

Be the first to review this product! Submit a review

|

(4 Publications)

Rabbit Recombinant Monoclonal H2A.X phospho S139 antibody - conjugated to HRP. Suitable for IHC-P, WB and reacts with Human samples. Cited in 4 publications.

View Alternative Names

H2AFX, H2AX, Histone H2AX, H2a/x, Histone H2A.X, H2AS139p, H2AXS139p, H2A.XS139p

4 Images
Immunohistochemistry (Formalin/PFA-fixed paraffin-embedded sections) - HRP Anti-gamma H2A.X (phospho S139) antibody [EP854(2)Y] (AB195190)
  • IHC-P

Unknown

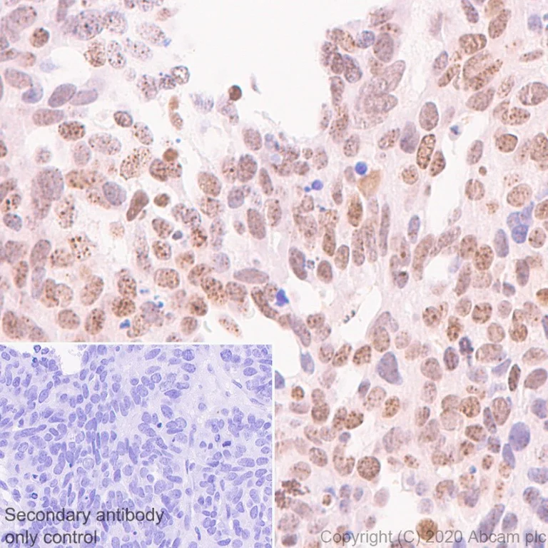
Immunohistochemistry (Formalin/PFA-fixed paraffin-embedded sections) - HRP Anti-gamma H2A.X (phospho S139) antibody [EP854(2)Y] (AB195190)

Immunohistochemistry (Formalin/PFA-fixed paraffin-embedded sections) analysis of Human endometrial adenocarcinoma tissue labelling gamma H2A.X with ab195190 at 5 μg/mL. Heat mediated antigen retrieval was performed using Bond™ Epitope Retrieval Solution 1 (pH 6.0) for 20 minutes. Negative control using PBS instead of primary antibody. Counterstained with hematoxylin.

Nuclear staining on human endometrial adenocarcinoma.

The section was incubated with ab195190 for 15 mins at room temperature.

The immunostaining was performed on a Leica Biosystems BOND® RX instrument

Immunohistochemistry (Formalin/PFA-fixed paraffin-embedded sections) - HRP Anti-gamma H2A.X (phospho S139) antibody [EP854(2)Y] (AB195190)
  • IHC-P

Lab

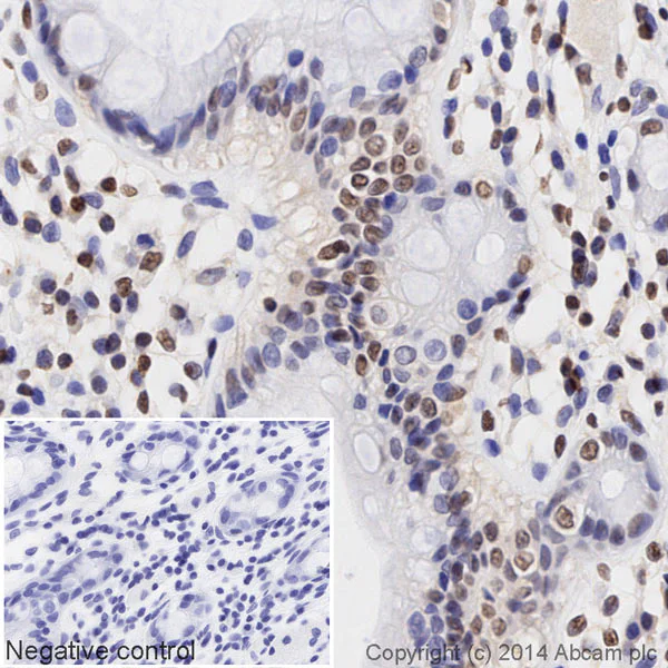
Immunohistochemistry (Formalin/PFA-fixed paraffin-embedded sections) - HRP Anti-gamma H2A.X (phospho S139) antibody [EP854(2)Y] (AB195190)

IHC image of Histone H2A.X staining in a section of formalin-fixed paraffin-embedded normal human colon*, performed on a Leica BOND. The section was pre-treated using heat mediated antigen retrieval with sodium citrate buffer (pH6, epitope retrieval solution 1) for 20mins. The section was then incubated with ab195190, 1/71.4285714285714 dilution, for 15 mins at room temperature. DAB was used as the chromogen. The section was then counterstained with haematoxylin and mounted with DPX. The inset negative control image is taken from an identical assay without primary antibody.

For other IHC staining systems (automated and non-automated) customers should optimize variable parameters such as antigen retrieval conditions, primary antibody concentration and antibody incubation times.

*Tissue obtained from the Human Research Tissue Bank, supported by the NIHR Cambridge Biomedical Research Centre

Immunohistochemistry (Formalin/PFA-fixed paraffin-embedded sections) - HRP Anti-gamma H2A.X (phospho S139) antibody [EP854(2)Y] (AB195190)
  • IHC-P

Unknown

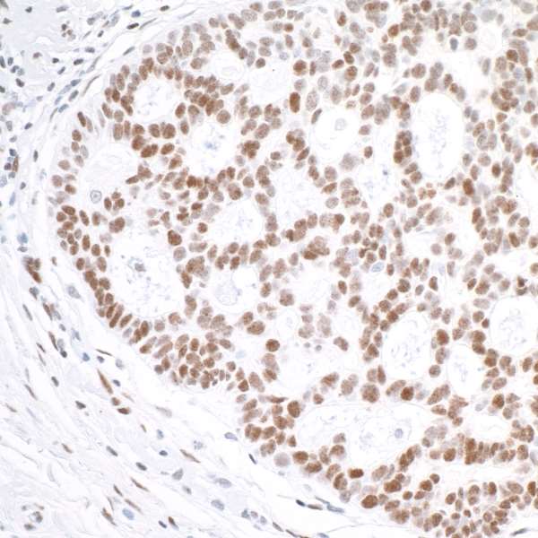
Immunohistochemistry (Formalin/PFA-fixed paraffin-embedded sections) - HRP Anti-gamma H2A.X (phospho S139) antibody [EP854(2)Y] (AB195190)

Immunohistochemistry (Formalin/PFA-fixed paraffin-embedded sections) analysis of Human testis tissue labelling gamma H2A.X with ab195190 at 5 μg/mL. Heat mediated antigen retrieval was performed using Bond™ Epitope Retrieval Solution 1 (pH 6.0) for 20 minutes. Negative control using PBS instead of primary antibody. Counterstained with hematoxylin.

Nuclear staining on human testis.

The section was incubated with ab195190 for 15 mins at room temperature.

The immunostaining was performed on a Leica Biosystems BOND® RX instrument

Western blot - HRP Anti-gamma H2A.X (phospho S139) antibody [EP854(2)Y] (AB195190)
  • WB

Unknown

Western blot - HRP Anti-gamma H2A.X (phospho S139) antibody [EP854(2)Y] (AB195190)

Blocking/diluting buffer and concentration : 5% NFDM/TBST

All lanes:

Western blot - HRP Anti-gamma H2A.X (phospho S139) antibody [EP854(2)Y] (ab195190) at 1/10000 dilution

Lane 1:

Untreated Jurkat (Human T cell leukemia T lymphocyte) whole cell lysate at 15 µg

Lane 2:

Jurkat (Human T cell leukemia T lymphocyte) treated with 25µM Etoposide for 8 hours whole cell lysate at 15 µg

Predicted band size: 15 kDa

Observed band size: 15 kDa

false

Exposure time: 15s

  • 519 Alexa Fluor® 488

    Alexa Fluor® 488 Anti-gamma H2A.X (phospho S139) antibody [EP854(2)Y]

  • 665 Alexa Fluor® 647

    Alexa Fluor® 647 Anti-gamma H2A.X (phospho S139) antibody [EP854(2)Y]

  • 565 Alexa Fluor® 555

    Alexa Fluor® 555 Anti-gamma H2A.X (phospho S139) antibody [EP854(2)Y]

  • 617 Alexa Fluor® 594

    Alexa Fluor® 594 Anti-gamma H2A.X (phospho S139) antibody [EP854(2)Y]

Key facts

Host species

Rabbit

Clonality

Monoclonal

Clone number

EP854(2)Y

Isotype

IgG

Conjugation

HRP

Excitation/Emission
Carrier free

No

Reacts with

Human

Applications

WB, IHC-P

applications

Immunogen

The exact immunogen used to generate this antibody is proprietary information.

Reactivity data

{ "title": "Reactivity Data", "filters": { "stats": ["", "Species", "Dilution Info", "Notes"], "tabs": { "all-applications": {"fullname" : "All Applications", "shortname": "All Applications"}, "IHCP" : {"fullname" : "Immunohistochemistry (Formalin/PFA-fixed paraffin-embedded sections)", "shortname":"IHC-P"}, "WB" : {"fullname" : "Western blot", "shortname":"WB"} }, "product-promise": { "all": "all", "testedAndGuaranteed": "tested", "guaranteed": "expected", "predicted": "predicted", "notRecommended": "not-recommended" } }, "values": { "Human": { "IHCP-species-checked": "testedAndGuaranteed", "IHCP-species-dilution-info": "1/50 - 1/100", "IHCP-species-notes": "<p></p>", "WB-species-checked": "testedAndGuaranteed", "WB-species-dilution-info": "1/10000", "WB-species-notes": "<p></p>" }, "Mouse": { "IHCP-species-checked": "predicted", "IHCP-species-dilution-info": "", "IHCP-species-notes": "", "WB-species-checked": "predicted", "WB-species-dilution-info": "", "WB-species-notes": "" }, "Rat": { "IHCP-species-checked": "predicted", "IHCP-species-dilution-info": "", "IHCP-species-notes": "", "WB-species-checked": "predicted", "WB-species-dilution-info": "", "WB-species-notes": "" }, "Sheep": { "IHCP-species-checked": "predicted", "IHCP-species-dilution-info": "", "IHCP-species-notes": "", "WB-species-checked": "predicted", "WB-species-dilution-info": "", "WB-species-notes": "" } } }

Product details

Patented technology
Our RabMAb® technology is a patented hybridoma-based technology for making rabbit monoclonal antibodies. For details on our patents, please refer to RabMAb® patents.

Properties and storage information

Form
Liquid
Purification technique
Affinity purification Protein A
Storage buffer
pH: 7.4 Preservative: 0.1% Proclin 300 Solution Constituents: PBS, 30% Glycerol (glycerin, glycerine), 1% BSA
Shipped at conditions
Blue Ice
Appropriate short-term storage duration
1-2 weeks
Appropriate short-term storage conditions
+4°C
Appropriate long-term storage conditions
-20°C
Aliquoting information
Upon delivery aliquot
Storage information
Avoid freeze / thaw cycle|Store in the dark

Supplementary information

This supplementary information is collated from multiple sources and compiled automatically.

Gamma H2A.X also known as phospho H2A.X or γH2A.X is a phosphorylated form of the histone variant H2A.X. It has a molecular weight of about 14 kilodaltons and occurs primarily in they nucleus. When DNA double-strand breaks (DSBs) occur serine 139 in H2A.X undergoes rapid phosphorylation resulting in gamma H2A.X. This modification happens swiftly at the site of damage and gamma H2A.X spreads over a large chromatin area facilitating the recruitment of DNA repair proteins. Gamma H2A.X staining typically evaluated using gamma H2A.X immunofluorescence techniques aids in identifying the presence and extent of DNA damage.
Biological function summary

Gamma H2A.X plays a role in DNA damage response and repair. It does not operate alone; it acts as part of a complex with other repair proteins. The formation of gamma H2A.X foci at DNA damage sites creates a signal attracting repair factors that help maintain genome stability. Its interaction with MDC1 and ATM proteins exemplifies its significant role in orchestrating an effective response to DNA damage. Beyond DNA repair gamma H2A.X influences cell cycle checkpoints permitting cells to pause and repair before proceeding with division.

Pathways

Gamma H2A.X plays a pivotal role in the DNA damage response (DDR) pathway. This pathway is essential for detecting and repairing DNA lesions to uphold genomic integrity. Within the DDR pathway gamma H2A.X is closely associated with proteins such as NBS1 and BRCA1 which assist in repairing double-strand breaks. In addition gamma H2A.X is integral to the ATM-ATR signaling pathway where its activation promotes cell survival following genotoxic stress by signaling for damage repair or triggering apoptosis.

Gamma H2A.X has connections to cancer and neurodegeneration. Aberrant DNA repair pathways often indicated by persistent gamma H2A.X signals correlate with tumor formation and progression. For instance a failure to repair DNA damage effectively can lead to mutations that drive cancer development. Gamma H2A.X also links to neurodegenerative diseases where dysregulated DNA repair contributes to neuronal cell death. Proteins like p53 which regulate cell cycle and apoptosis further connect to gamma H2A.X bridging its role in disease pathogenesis.

Product protocols

For this product, it's our understanding that no specific protocols are required. You can visit:

Target data

The protein expressed by the H2AX gene is a variant histone H2A that replaces conventional H2A in certain nucleosomes, which are responsible for wrapping and compacting DNA into chromatin. This compaction limits DNA accessibility to cellular machineries that require DNA as a template, placing histones at the center of transcription regulation, DNA repair, DNA replication, and chromosomal stability. DNA accessibility is controlled through a complex array of post-translational histone modifications, known as the histone code, and nucleosome remodeling. The H2AX protein is essential for the checkpoint-mediated arrest of cell cycle progression in response to low doses of ionizing radiation and for the efficient repair of DNA double strand breaks (DSBs), particularly when it undergoes C-terminal phosphorylation. This supplementary information is collated from multiple sources and compiled automatically.
See full target information H2AX phospho S139

Publications (4)

Recent publications for all applications. Explore the full list and refine your search

European journal of histochemistry : EJH 68: PubMed39526436

2024

Activation of Hedgehog pathway by circEEF2/miR-625-5p/TRPM2 axis promotes prostate cancer cell proliferation through mitochondrial stress.

Applications

Unspecified application

Species

Unspecified reactive species

ChenHui Zhu,LiJuan Lin,ChangQing Huang,ZhiHui Wu

Journal of biochemical and molecular toxicology 38:e70015 PubMed39415701

2024

miR-195-5p inhibits cisplatin resistance in lung adenocarcinoma by regulating DNA damage via targeting E2F7.

Applications

Unspecified application

Species

Unspecified reactive species

Huanghui Wu,Biaolong Zheng

British journal of cancer : PubMed32741974

2020

Complete loss of ATM function augments replication catastrophe induced by ATR inhibition and gemcitabine in pancreatic cancer models.

Applications

Unspecified application

Species

Unspecified reactive species

Charles R Dunlop,Yann Wallez,Timothy Isaac Johnson,Sandra Bernaldo de Quirós Fernández,Stephen T Durant,Elaine B Cadogan,Alan Lau,Frances M Richards,Duncan I Jodrell

Cancer cell international 20:155 PubMed32410883

2020

Long non-coding RNA OIP5-AS1 suppresses multiple myeloma progression by sponging miR-27a-3p to activate TSC1 expression.

Applications

Unspecified application

Species

Unspecified reactive species

Yong Wang,Haibao Wang,Jianwei Ruan,Wenbiao Zheng,Zeyu Yang,Weiwei Pan
View all publications

Product promise

We are committed to supporting your work with high-quality reagents, and we're here for you every step of the way. In the unlikely event that one of our products does not perform as expected, you're protected by our Product Promise.
For full details, please see our Terms & Conditions

Please note: All products are 'FOR RESEARCH USE ONLY. NOT FOR USE IN DIAGNOSTIC OR THERAPEUTIC PROCEDURES'.

For licensing inquiries, please contact partnerships@abcam.com