JavaScript is disabled in your browser. Please enable JavaScript to view this website.
AB205782

HRP Anti-GNAI2 antibody [EPR9469]

Be the first to review this product! Submit a review

|

(1 Publication)

Rabbit Recombinant Monoclonal GNAI2 antibody - conjugated to HRP. Suitable for IHC-P, WB and reacts with Human samples. Cited in 1 publication.

View Alternative Names

GNAI2B, GNAI2, Guanine nucleotide-binding protein G(i) subunit alpha-2, Adenylate cyclase-inhibiting G alpha protein

2 Images
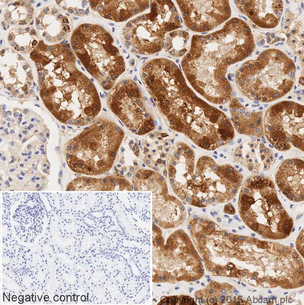
Immunohistochemistry (Formalin/PFA-fixed paraffin-embedded sections) - HRP Anti-GNAI2 antibody [EPR9469] (AB205782)
  • IHC-P

Lab

Immunohistochemistry (Formalin/PFA-fixed paraffin-embedded sections) - HRP Anti-GNAI2 antibody [EPR9469] (AB205782)

IHC image of GNAI2 staining in a section of formalin-fixed paraffin-embedded normal human kidney tissue*, performed on a Leica BONDTM. The section was pre-treated using heat mediated antigen retrieval with sodium citrate buffer (pH6, epitope retrieval solution 1) for 20mins. The section was then incubated with ab205782, 1/250 dilution, for 15 mins at room temperature. DAB was used as the chromogen. The section was then counterstained with haematoxylin and mounted with DPX. The inset negative control image is taken from an identical assay without primary antibody.

For other IHC staining systems (automated and non-automated) customers should optimize variable parameters such as antigen retrieval conditions, primary antibody concentration and antibody incubation times.

*Tissue obtained from the Human Research Tissue Bank, supported by the NIHR Cambridge Biomedical Research Centre

Western blot - HRP Anti-GNAI2 antibody [EPR9469] (AB205782)
  • WB

Lab

Western blot - HRP Anti-GNAI2 antibody [EPR9469] (AB205782)

This blot was produced using a 4-12% Bis-tris gel under the MOPS buffer system. The gel was run at 200V for 50 minutes before being transferred onto a Nitrocellulose membrane at 30V for 70 minutes. The membrane was then blocked for an hour using 3% milk before being incubated with ab205782 overnight at 4°C. Antibody binding was visualised using ECL development solution ab133406.

All lanes:

Western blot - HRP Anti-GNAI2 antibody [EPR9469] (ab205782) at 1/5000 dilution

Lane 1:

Brain (Human) Tissue Lysate - fetal normal tissue at 10 µg

Lane 2:

U-87 MG (Human glioblastoma astrocytoma) Whole Cell Lysate at 10 µg

Predicted band size: 40 kDa

Observed band size: 40 kDa

true

Exposure time: 4min

Key facts

Host species

Rabbit

Clonality

Monoclonal

Clone number

EPR9469

Isotype

IgG

Conjugation

HRP

Excitation/Emission
Carrier free

No

Reacts with

Human

Applications

WB, IHC-P

applications

Immunogen

The exact immunogen used to generate this antibody is proprietary information.

Reactivity data

{ "title": "Reactivity Data", "filters": { "stats": ["", "Species", "Dilution Info", "Notes"], "tabs": { "all-applications": {"fullname" : "All Applications", "shortname": "All Applications"}, "IHCP" : {"fullname" : "Immunohistochemistry (Formalin/PFA-fixed paraffin-embedded sections)", "shortname":"IHC-P"}, "WB" : {"fullname" : "Western blot", "shortname":"WB"} }, "product-promise": { "all": "all", "testedAndGuaranteed": "tested", "guaranteed": "expected", "predicted": "predicted", "notRecommended": "not-recommended" } }, "values": { "Human": { "IHCP-species-checked": "testedAndGuaranteed", "IHCP-species-dilution-info": "1/250", "IHCP-species-notes": "<p></p>", "WB-species-checked": "testedAndGuaranteed", "WB-species-dilution-info": "1/5000", "WB-species-notes": "<p></p>" }, "Mouse": { "IHCP-species-checked": "predicted", "IHCP-species-dilution-info": "", "IHCP-species-notes": "", "WB-species-checked": "predicted", "WB-species-dilution-info": "", "WB-species-notes": "" }, "Rat": { "IHCP-species-checked": "predicted", "IHCP-species-dilution-info": "", "IHCP-species-notes": "", "WB-species-checked": "predicted", "WB-species-dilution-info": "", "WB-species-notes": "" } } }

Product details

Patented technology
Our RabMAb® technology is a patented hybridoma-based technology for making rabbit monoclonal antibodies. For details on our patents, please refer to RabMAb® patents.

What are the advantages of a recombinant monoclonal antibody?
This product is a recombinant monoclonal antibody, which offers several advantages including:

  • - High batch-to-batch consistency and reproducibility
  • - Improved sensitivity and specificity
  • - Long-term security of supply
  • - Animal-free batch production

For more information, read more on recombinant antibodies.

Properties and storage information

Form
Liquid
Purification technique
Affinity purification Protein A
Storage buffer
pH: 7.4 Preservative: 0.1% Proclin 300 Solution Constituents: PBS, 30% Glycerol (glycerin, glycerine), 1% BSA
Shipped at conditions
Blue Ice
Appropriate short-term storage duration
1-2 weeks
Appropriate short-term storage conditions
+4°C
Appropriate long-term storage conditions
-20°C
Aliquoting information
Upon delivery aliquot
Storage information
Stable for 12 months at -20°C|Store in the dark

Supplementary information

This supplementary information is collated from multiple sources and compiled automatically.

GNAI2 also known as Gi2 alpha-subunit is a G protein subunit encoded by the GNAI2 gene. It has a molecular weight of approximately 40 kDa. It influences intracellular signaling pathways by inhibiting adenylyl cyclase and decreasing the levels of cyclic AMP (cAMP) within the cell. GNAI2 is found in a variety of tissues with high expression in the brain heart and lymphoid tissues. This wide expression pattern shows its importance in different physiological processes across various organs.
Biological function summary

GNAI2 functions as part of heterotrimeric G protein complexes. It couples with receptors on the cell surface transmitting signals from activated receptors to downstream effectors. GNAI2 binds with GDP in its inactive state and exchanges it for GTP upon receptor activation which causes the dissociation of the G protein into G alpha and G beta-gamma subunits continuing the signaling cascade. GNAI2 contributes to the modulation of processes such as neurotransmission immune responses and cell proliferation.

Pathways

GNAI2 plays an important role in the MAPK/ERK pathway and the PI3K/Akt signaling pathway. It interacts with various receptors and proteins to regulate cellular responses to external stimuli. For instance through the MAPK/ERK pathway GNAI2 influences gene expression and cell division while in the PI3K/Akt pathway it plays a role in cell survival and apoptosis. Its interaction with proteins like G-beta and G-gamma subunits emphasizes its integrative function in coordinating signal transduction.

GNAI2 has links to certain types of cancer and autoimmune diseases. Mutations or dysregulations in GNAI2 expression can influence cancer progression through abnormal cell signaling pathways. Additionally in autoimmune disorders aberrations in GNAI2 signaling can disrupt immune responses contributing to the pathology of diseases like systemic lupus erythematosus. GNAI2 interacts with proteins like adenylyl cyclase and specific receptor proteins which are important for maintaining normal cellular signaling and their dysregulation can lead to disease.

Product protocols

For this product, it's our understanding that no specific protocols are required. You can visit:

Target data

Guanine nucleotide-binding proteins (G proteins) are involved as modulators or transducers in various transmembrane signaling systems. The G(i) proteins are involved in hormonal regulation of adenylate cyclase : they inhibit the cyclase in response to beta-adrenergic stimuli. May play a role in cell division.. Isoform sGi2. Regulates the cell surface density of dopamine receptors DRD2 by sequestrating them as an intracellular pool.
See full target information GNAI2

Publications (1)

Recent publications for all applications. Explore the full list and refine your search

Development (Cambridge, England) 150: PubMed37971218

2023

Dysregulation of the endoplasmic reticulum blocks recruitment of centrosome-associated proteins resulting in mitotic failure.

Applications

Unspecified application

Species

Unspecified reactive species

Katherine R Rollins,J Todd Blankenship
View all publications

Product promise

We are committed to supporting your work with high-quality reagents, and we're here for you every step of the way. In the unlikely event that one of our products does not perform as expected, you're protected by our Product Promise.
For full details, please see our Terms & Conditions

Please note: All products are 'FOR RESEARCH USE ONLY. NOT FOR USE IN DIAGNOSTIC OR THERAPEUTIC PROCEDURES'.

For licensing inquiries, please contact partnerships@abcam.com