JavaScript is disabled in your browser. Please enable JavaScript to view this website.
AB237315

HRP Anti-Hexokinase II antibody [EPR20839]

Be the first to review this product! Submit a review

|

(1 Publication)

Rabbit Recombinant Monoclonal Hexokinase II antibody - conjugated to HRP. Suitable for IHC-P and reacts with Human samples. Cited in 1 publication.

View Alternative Names

Hexokinase-2, Hexokinase type II, Hexokinase-B, Muscle form hexokinase, HK II, HK2

1 Images
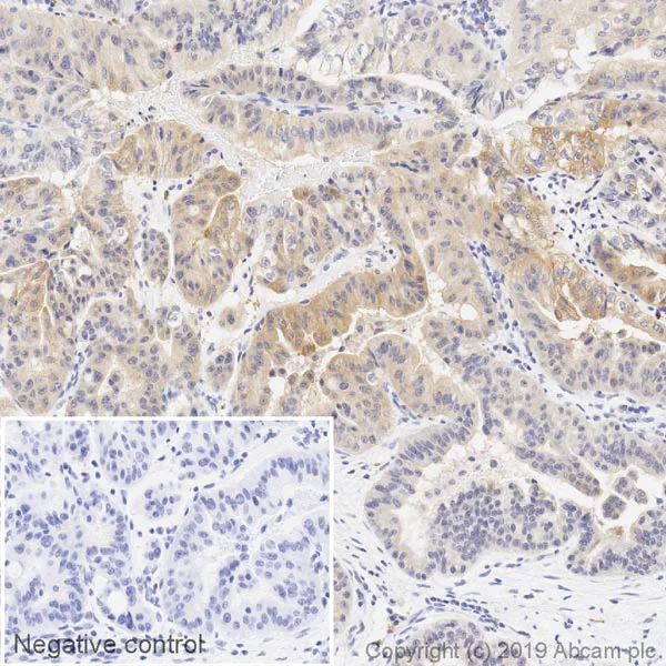
Immunohistochemistry (Formalin/PFA-fixed paraffin-embedded sections) - HRP Anti-Hexokinase II antibody [EPR20839] (AB237315)
  • IHC-P

Supplier Data

Immunohistochemistry (Formalin/PFA-fixed paraffin-embedded sections) - HRP Anti-Hexokinase II antibody [EPR20839] (AB237315)

IHC image of Hexokinase II staining in a section of formalin-fixed paraffin-embedded human pancreas adenocarcinoma*, performed on a Leica BOND.

The section was pre-treated using heat mediated antigen retrieval with Tris/EDTA buffer (pH9, epitope retrieval solution 2) for 20mins. The section was then incubated with ab237315, 1/100 dilution, for 15 mins at room temperature. DAB was used as the chromogen. The section was then counterstained with haematoxylin and mounted with DPX. The inset negative control image is taken from an identical assay without primary antibody.

For other IHC staining systems (automated and non-automated) customers should optimize variable parameters such as antigen retrieval conditions, primary antibody concentration and antibody incubation times.

*Tissue obtained from the Human Research Tissue Bank, supported by the NIHR Cambridge Biomedical Research Centre

  • 665 Alexa Fluor® 647

    Alexa Fluor® 647 Anti-Hexokinase II antibody [EPR20839]

  • Unconjugated

    Anti-Hexokinase II antibody [EPR20839]

  • Carrier free

    Anti-Hexokinase II antibody [EPR20839] - BSA and Azide free

Key facts

Host species

Rabbit

Clonality

Monoclonal

Clone number

EPR20839

Isotype

IgG

Conjugation

HRP

Excitation/Emission
Carrier free

No

Reacts with

Human

Applications

IHC-P

applications

Immunogen

The exact immunogen used to generate this antibody is proprietary information.

Reactivity data

{ "title": "Reactivity Data", "filters": { "stats": ["", "Species", "Dilution Info", "Notes"], "tabs": { "all-applications": {"fullname" : "All Applications", "shortname": "All Applications"}, "IHCP" : {"fullname" : "Immunohistochemistry (Formalin/PFA-fixed paraffin-embedded sections)", "shortname":"IHC-P"} }, "product-promise": { "all": "all", "testedAndGuaranteed": "tested", "guaranteed": "expected", "predicted": "predicted", "notRecommended": "not-recommended" } }, "values": { "Human": { "IHCP-species-checked": "testedAndGuaranteed", "IHCP-species-dilution-info": "1/100", "IHCP-species-notes": "<p></p> Perform heat-mediated antigen retrieval with Tris/EDTA buffer pH 9.0 before commencing with IHC staining protocol." } } }

Product details

Patented technology
Our RabMAb® technology is a patented hybridoma-based technology for making rabbit monoclonal antibodies. For details on our patents, please refer to RabMAb® patents.

What are the advantages of a recombinant monoclonal antibody?
This product is a recombinant monoclonal antibody, which offers several advantages including:

  • - High batch-to-batch consistency and reproducibility
  • - Improved sensitivity and specificity
  • - Long-term security of supply
  • - Animal-free batch production

For more information, read more on recombinant antibodies.

Properties and storage information

Form
Liquid
Purification technique
Affinity purification Protein A
Storage buffer
pH: 7.4 Preservative: 0.1% Proclin 300 Solution Constituents: PBS, 30% Glycerol (glycerin, glycerine), 1% BSA
Shipped at conditions
Blue Ice
Appropriate short-term storage duration
1-2 weeks
Appropriate short-term storage conditions
+4°C
Appropriate long-term storage conditions
-20°C
Aliquoting information
Upon delivery aliquot
Storage information
Avoid freeze / thaw cycle|Store in the dark

Product protocols

For this product, it's our understanding that no specific protocols are required. You can visit:

Target data

Catalyzes the phosphorylation of hexose, such as D-glucose and D-fructose, to hexose 6-phosphate (D-glucose 6-phosphate and D-fructose 6-phosphate, respectively) (PubMed : 23185017, PubMed : 26985301, PubMed : 29298880). Mediates the initial step of glycolysis by catalyzing phosphorylation of D-glucose to D-glucose 6-phosphate (PubMed : 29298880). Plays a key role in maintaining the integrity of the outer mitochondrial membrane by preventing the release of apoptogenic molecules from the intermembrane space and subsequent apoptosis (PubMed : 18350175).
See full target information HK2

Publications (1)

Recent publications for all applications. Explore the full list and refine your search

iScience 27:111279 PubMed39628557

2024

Dietary caloric restriction protects experimental autoimmune uveitis by regulating Teff/Treg balance.

Applications

Unspecified application

Species

Unspecified reactive species

Zhaohuai Li,Runping Duan,Qi Jiang,Jiaying Liu,Jialing Chen,Loujing Jiang,Tianfu Wang,He Li,Yihan Zhang,Xuening Peng,Zhaohao Huang,Lei Zhu,Wenjun Zou,Ying Lin,Wenru Su
View all publications

Product promise

We are committed to supporting your work with high-quality reagents, and we're here for you every step of the way. In the unlikely event that one of our products does not perform as expected, you're protected by our Product Promise.
For full details, please see our Terms & Conditions

Please note: All products are 'FOR RESEARCH USE ONLY. NOT FOR USE IN DIAGNOSTIC OR THERAPEUTIC PROCEDURES'.

For licensing inquiries, please contact partnerships@abcam.com