JavaScript is disabled in your browser. Please enable JavaScript to view this website.
AB199555

HRP Anti-HLA A antibody [EP1395Y]

  • BOND RX™ Validated
  • RabMAb
  • Recombinant
  • KO Validated
  • What is this?

Be the first to review this product! Submit a review

|

(1 Publication)

Rabbit Recombinant Monoclonal HLA A antibody - conjugated to HRP. Suitable for IHC-P, WB and reacts with Human samples. Cited in 1 publication.

View Alternative Names

HLAA, HLA-A, Human leukocyte antigen A

3 Images
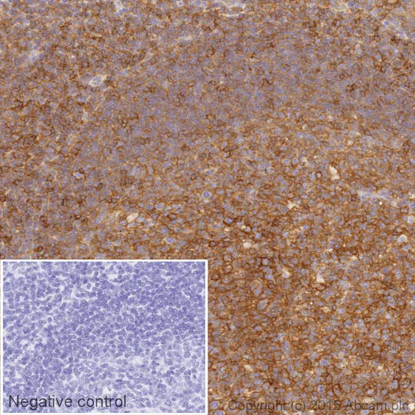
Immunohistochemistry (Formalin/PFA-fixed paraffin-embedded sections) - HRP Anti-HLA A antibody [EP1395Y] (AB199555)
  • IHC-P

Lab

Immunohistochemistry (Formalin/PFA-fixed paraffin-embedded sections) - HRP Anti-HLA A antibody [EP1395Y] (AB199555)

IHC image of HLA A staining in a section of formalin-fixed paraffin-embedded normal human tonsil*, performed on a Leica BOND. The section was pre-treated using heat mediated antigen retrieval with sodium citrate buffer (pH6, epitope retrieval solution 1) for 20mins. The section was then incubated with ab199555, 1/100 dilution, for 15 mins at room temperature. DAB was used as the chromogen. The section was then counterstained with haematoxylin and mounted with DPX. The inset negative control image is taken from an identical assay without primary antibody.

For other IHC staining systems (automated and non-automated) customers should optimize variable parameters such as antigen retrieval conditions, primary antibody concentration and antibody incubation times.

*Tissue obtained from the Human Research Tissue Bank, supported by the NIHR Cambridge Biomedical Research Centre

Western blot - HRP Anti-HLA A antibody [EP1395Y] (AB199555)
  • WB

Lab

Western blot - HRP Anti-HLA A antibody [EP1395Y] (AB199555)

Lanes 1 - 4 : Merged signal (red and green). Green - ab199555 observed at 40 kDa. Red - loading control, ab7291 (Mouse anti-Alpha Tubulin [DM1A] observed at 55kDa.

ab199555 was shown to react with HLA A (HRP) in wild-type A431 cells in western blot. Loss of signal was observed when HLA-A knockout sample was used. Wild-type and HLA-A knockout A431 cell lysates were subjected to SDS-PAGE. Membranes were blocked in 3% milk in TBS-T (0.1% Tween®) before incubation with ab199555 and ab7291 (Mouse anti-Alpha Tubulin [DM1A] overnight at 4°C at a 1 in 10000 Dilution and a 1 in 20000 dilution respectively. Blots were incubated with Goat anti-Rabbit IgG H&L (IRDye® 800CW) preabsorbed (ab216773) and Goat anti-Mouse IgG H&L (IRDye® 680RD) preabsorbed (ab216776) secondary antibodies at 1 in 20000 dilution for 1 hour at room temperature before imaging.

All lanes:

Western blot - HRP Anti-HLA A antibody [EP1395Y] (ab199555) at 1/10000 dilution

Lane 1:

Wild-type A431 cell lysate at 20 µg

Lane 2:

HLA-A knockout A431 cell lysate at 20 µg

Lane 3:

A549 cell lysate at 20 µg

Lane 4:

Jurkat cell lysate at 20 µg

Predicted band size: 41 kDa

Observed band size: 40 kDa

false

Western blot - HRP Anti-HLA A antibody [EP1395Y] (AB199555)
  • WB

Lab

Western blot - HRP Anti-HLA A antibody [EP1395Y] (AB199555)

This blot was produced using a 4-12% Bis-tris gel under the MOPS buffer system. The gel was run at 200V for 50 minutes before being transferred onto a Nitrocellulose membrane at 30V for 70 minutes. The membrane was then blocked for an hour using 3% milk before being incubated with ab199555 overnight at 4°C. Antibody binding was visualised using ECL development solution ab133406.

All lanes:

Western blot - HRP Anti-HLA A antibody [EP1395Y] (ab199555) at 1/5000 dilution

All lanes:

Raji (Human Burkitt's lymphoma cell line) Whole Cell Lysate at 10 µg

Predicted band size: 41 kDa

Observed band size: 45 kDa

true

Exposure time: 1min

Key facts

Host species

Rabbit

Clonality

Monoclonal

Clone number

EP1395Y

Isotype

IgG

Conjugation

HRP

Excitation/Emission
Carrier free

No

Reacts with

Human

Applications

WB, IHC-P

applications

Immunogen

The exact immunogen used to generate this antibody is proprietary information.

Reactivity data

{ "title": "Reactivity Data", "filters": { "stats": ["", "Species", "Dilution Info", "Notes"], "tabs": { "all-applications": {"fullname" : "All Applications", "shortname": "All Applications"}, "IHCP" : {"fullname" : "Immunohistochemistry (Formalin/PFA-fixed paraffin-embedded sections)", "shortname":"IHC-P"}, "WB" : {"fullname" : "Western blot", "shortname":"WB"} }, "product-promise": { "all": "all", "testedAndGuaranteed": "tested", "guaranteed": "expected", "predicted": "predicted", "notRecommended": "not-recommended" } }, "values": { "Human": { "IHCP-species-checked": "testedAndGuaranteed", "IHCP-species-dilution-info": "1/100", "IHCP-species-notes": "<p></p>", "WB-species-checked": "testedAndGuaranteed", "WB-species-dilution-info": "1/10000 - 1/50000", "WB-species-notes": "<p></p>" } } }

Product details

Patented technology
Our RabMAb® technology is a patented hybridoma-based technology for making rabbit monoclonal antibodies. For details on our patents, please refer to RabMAb® patents.

Properties and storage information

Form
Liquid
Purification technique
Affinity purification Protein A
Storage buffer
pH: 7.4 Preservative: 0.1% Proclin 300 Solution Constituents: PBS, 30% Glycerol (glycerin, glycerine), 1% BSA
Shipped at conditions
Blue Ice
Appropriate short-term storage duration
1-2 weeks
Appropriate short-term storage conditions
+4°C
Appropriate long-term storage conditions
-20°C
Aliquoting information
Upon delivery aliquot
Storage information
Avoid freeze / thaw cycle|Store in the dark

Supplementary information

This supplementary information is collated from multiple sources and compiled automatically.

HLA-A also known as Human Leukocyte Antigen A is a protein that is part of the major histocompatibility complex (MHC) class I molecules. It has an approximate molecular mass of 44 kDa. HLA-A is expressed on the surface of nearly all nucleated cells and interacts with CD8+ T lymphocytes. Known for its role in immune recognition HLA-A presents endogenous peptide antigens to the T-cell receptor on cytotoxic T cells initiating immune responses to eliminate infected or malignant cells.
Biological function summary

This target functions as a component of the MHC class I molecule complex. HLA-A binds peptides derived from proteasomal degradation of intracellular proteins and presents these peptides on the cell surface. The function plays an essential role in immune surveillance and distinction between self and non-self. This antigen presentation is important for immune responses against viral infections and tumor surveillance influencing the activation and proliferation of T lymphocytes.

Pathways

HLA-A plays a significant role in the antigen processing and presentation pathway. It is closely related to the TAP (Transporter associated with Antigen Processing) proteins which transport antigenic peptides into the endoplasmic reticulum for loading onto MHC class I molecules. Additionally the target interacts with the CD8 molecule on cytotoxic T cells. This interaction is important within the immune response pathway contributing to the recognition and destruction of infected cells.

HLA-A has been associated with autoimmune diseases and transplant rejection. It plays a significant role in conditions like ankylosing spondylitis where specific HLA-A subtypes contribute to disease susceptibility. Additionally mismatches in HLA-A typing can lead to transplant rejection. In such scenarios anti-HLA antibodies can develop causing damage to transplant tissues. The complex interaction of HLA-A with related proteins such as other MHC class I molecules influences immune response outcomes in these diseases.

Product protocols

For this product, it's our understanding that no specific protocols are required. You can visit:

Target data

Antigen-presenting major histocompatibility complex class I (MHCI) molecule. In complex with B2M/beta 2 microglobulin displays primarily viral and tumor-derived peptides on antigen-presenting cells for recognition by alpha-beta T cell receptor (TCR) on HLA-A-restricted CD8-positive T cells, guiding antigen-specific T cell immune response to eliminate infected or transformed cells (PubMed : 10449296, PubMed : 12138174, PubMed : 12393434, PubMed : 1402688, PubMed : 15893615, PubMed : 17189421, PubMed : 19543285, PubMed : 21498667, PubMed : 24192765, PubMed : 24395804, PubMed : 2456340, PubMed : 2784196, PubMed : 28250417, PubMed : 7504010, PubMed : 7694806, PubMed : 9862734). May also present self-peptides derived from the signal sequence of secreted or membrane proteins, although T cells specific for these peptides are usually inactivated to prevent autoreactivity (PubMed : 25880248, PubMed : 7506728, PubMed : 7679507). Both the peptide and the MHC molecule are recognized by TCR, the peptide is responsible for the fine specificity of antigen recognition and MHC residues account for the MHC restriction of T cells (PubMed : 12796775, PubMed : 18275829, PubMed : 19542454, PubMed : 28250417). Typically presents intracellular peptide antigens of 8 to 13 amino acids that arise from cytosolic proteolysis via IFNG-induced immunoproteasome or via endopeptidase IDE/insulin-degrading enzyme (PubMed : 17079320, PubMed : 17189421, PubMed : 20364150, PubMed : 26929325, PubMed : 27049119). Can bind different peptides containing allele-specific binding motifs, which are mainly defined by anchor residues at position 2 and 9 (PubMed : 7504010, PubMed : 9862734).. Allele A*01 : 01 : Presents a restricted peptide repertoire including viral epitopes derived from IAV NP/nucleoprotein (CTELKLSDY), IAV PB1/polymerase basic protein 1 (VSDGGPNLY), HAdV-11 capsid L3/hexon protein (LTDLGQNLLY), SARS-CoV-2 3a/ORF3a (FTSDYYQLY) as well as tumor peptide antigens including MAGE1 (EADPTGHSY), MAGEA3 (EVDPIGHLY) and WT1 (TSEKRPFMCAY), all having in common a canonical motif with a negatively charged Asp or Glu residue at position 3 and a Tyr anchor residue at the C-terminus (PubMed : 1402688, PubMed : 17189421, PubMed : 19177349, PubMed : 20364150, PubMed : 24395804, PubMed : 25880248, PubMed : 26758806, PubMed : 30530481, PubMed : 32887977, PubMed : 7504010). A number of HLA-A*01 : 01-restricted peptides carry a post-translational modification with oxidation and N-terminal acetylation being the most frequent (PubMed : 25880248). Fails to present highly immunogenic peptides from the EBV latent antigens (PubMed : 18779413).. Allele A*02 : 01 : A major allele in human populations, presents immunodominant viral epitopes derived from IAV M/matrix protein 1 (GILGFVFTL), HIV-1 env (TLTSCNTSV), HIV-1 gag-pol (ILKEPVHGV), HTLV-1 Tax (LLFGYPVYV), HBV C/core antigen (FLPSDFFPS), HCMV UL83/pp65 (NLVPMVATV) as well as tumor peptide antigens including MAGEA4 (GVYDGREHTV), WT1 (RMFPNAPYL) and CTAG1A/NY-ESO-1 (SLLMWITQC), all having in common hydrophobic amino acids at position 2 and at the C-terminal anchors.. Allele A*03 : 01 : Presents viral epitopes derived from IAV NP (ILRGSVAHK), HIV-1 nef (QVPLRPMTYK), HIV-1 gag-pol (AIFQSSMTK), SARS-CoV-2 N/nucleoprotein (KTFPPTEPK) as well as tumor peptide antigens including PMEL (LIYRRRLMK), NODAL (HAYIQSLLK), TRP-2 (RMYNMVPFF), all having in common hydrophobic amino acids at position 2 and Lys or Arg anchor residues at the C-terminus (PubMed : 19543285, PubMed : 21943705, PubMed : 2456340, PubMed : 32887977, PubMed : 7504010, PubMed : 7679507, PubMed : 9862734). May also display spliced peptides resulting from the ligation of two separate proteasomal cleavage products that are not contiguous in the parental protein (PubMed : 27049119).. Allele A*11 : 01 : Presents several immunodominant epitopes derived from HIV-1 gag-pol and HHV-4 EBNA4, containing the peptide motif with Val, Ile, Thr, Leu, Tyr or Phe at position 2 and Lys anchor residue at the C-terminus. Important in the control of HIV-1, EBV and HBV infections (PubMed : 10449296). Presents an immunodominant epitope derived from SARS-CoV-2 N/nucleoprotein (KTFPPTEPK) (PubMed : 32887977).. Allele A*23 : 01 : Interacts with natural killer (NK) cell receptor KIR3DL1 and may contribute to functional maturation of NK cells and self-nonself discrimination during innate immune response.. Allele A*24 : 02 : Presents viral epitopes derived from HIV-1 nef (RYPLTFGWCF), EBV lytic- and latent-cycle antigens BRLF1 (TYPVLEEMF), BMLF1 (DYNFVKQLF) and LMP2 (IYVLVMLVL), SARS-CoV nucleocapsid/N (QFKDNVILL), as well as tumor peptide antigens including PRAME (LYVDSLFFL), all sharing a common signature motif, namely an aromatic residue Tyr or Phe at position 2 and a nonhydrophobic anchor residue Phe, Leu or Iso at the C-terminus (PubMed : 12393434, PubMed : 20844028, PubMed : 24192765, PubMed : 9047241). Interacts with natural killer (NK) cell receptor KIR3DL1 and may contribute to functional maturation of NK cells and self-nonself discrimination during innate immune response (PubMed : 17182537, PubMed : 18502829).. Allele A*26 : 01 : Presents several epitopes derived from HIV-1 gag-pol (EVIPMFSAL, ETKLGKAGY) and env (LVSDGGPNLY), carrying as anchor residues preferentially Glu at position 1, Val or Thr at position 2 and Tyr at the C-terminus.. Allele A*29 : 02 : Presents peptides having a common motif, namely a Glu residue at position 2 and Tyr or Leu anchor residues at the C-terminus.. Allele A*32 : 01 : Interacts with natural killer (NK) cell receptor KIR3DL1 and may contribute to functional maturation of NK cells and self-nonself discrimination during innate immune response.. Allele A*68 : 01 : Presents viral epitopes derived from IAV NP (KTGGPIYKR) and HIV-1 tat (ITKGLGISYGR), having a common signature motif namely, Val or Thr at position 2 and positively charged residues Arg or Lys at the C-terminal anchor.. Allele A*74 : 01 : Presents immunodominant HIV-1 epitopes derived from gag-pol (GQMVHQAISPR, QIYPGIKVR) and rev (RQIHSISER), carrying an aliphatic residue at position 2 and Arg anchor residue at the C-terminus. May contribute to viral load control in chronic HIV-1 infection.
See full target information HLA-A

Publications (1)

Recent publications for all applications. Explore the full list and refine your search

Heliyon 10:e27494 PubMed38515687

2024

Regulation of Dihydroartemisinin on the pathological progression of laryngeal carcinoma through the periostin/YAP/IL-6 pathway.

Applications

Unspecified application

Species

Unspecified reactive species

Xin-Yu Zhang,Rui-Cong Li,Cong Xu,Xiao-Ming Li
View all publications

Product promise

We are committed to supporting your work with high-quality reagents, and we're here for you every step of the way. In the unlikely event that one of our products does not perform as expected, you're protected by our Product Promise.
For full details, please see our Terms & Conditions

Please note: All products are 'FOR RESEARCH USE ONLY. NOT FOR USE IN DIAGNOSTIC OR THERAPEUTIC PROCEDURES'.

For licensing inquiries, please contact partnerships@abcam.com