JavaScript is disabled in your browser. Please enable JavaScript to view this website.
AB323344

HRP Anti-IgG4 antibody [EP4420]

Be the first to review this product! Submit a review

|

(0 Publication)

Rabbit Recombinant Monoclonal IGHG4 antibody - conjugated to HRP. Suitable for WB, IHC-P and reacts with Human samples.

View Alternative Names

Immunoglobulin heavy constant gamma 4, Ig gamma-4 chain C region, IGHG4

3 Images
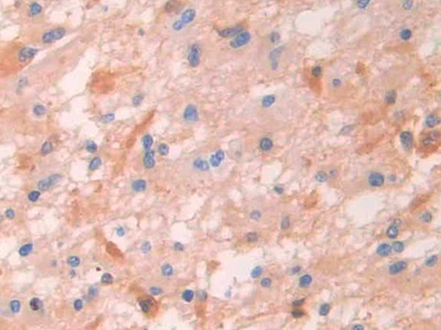
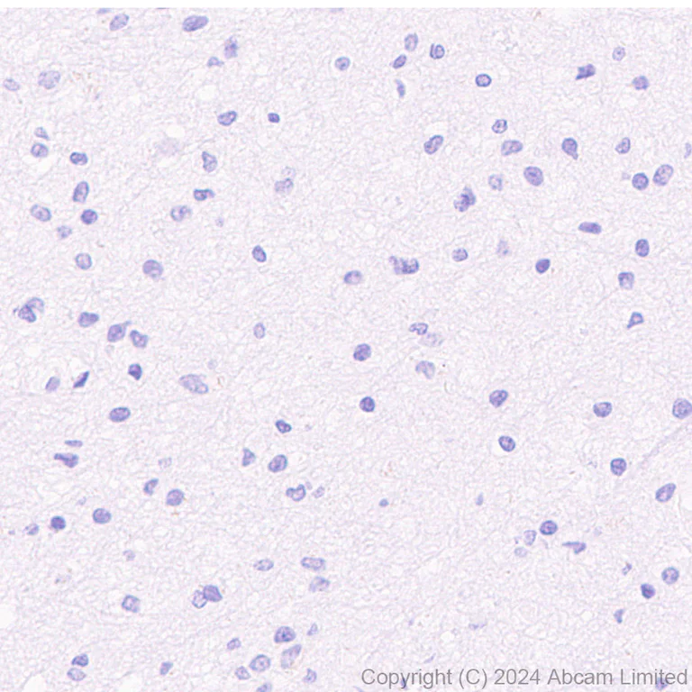
Immunohistochemistry (Formalin/PFA-fixed paraffin-embedded sections) - HRP Anti-IgG4 antibody [EP4420] (AB323344)
  • IHC-P

Supplier Data

Immunohistochemistry (Formalin/PFA-fixed paraffin-embedded sections) - HRP Anti-IgG4 antibody [EP4420] (AB323344)

Immunohistochemical analysis of paraffin-embedded Human cerebrum tissue labeling IgG4 with ab323344 at 1/5000 (0.1 ug/ml) dilution.

Negative control : no staining on human cerebrum.
The section was incubated with ab323344 for 30 mins at room temperature.
The immunostaining was performed on a Leica Biosystems BOND™ RX instrument

Counterstained with Hematoxylin.

Heat mediated antigen retrieval was performed with Tris-EDTA buffer (pH 9.0, Epitope Retrieval Solution2) for 20 mins

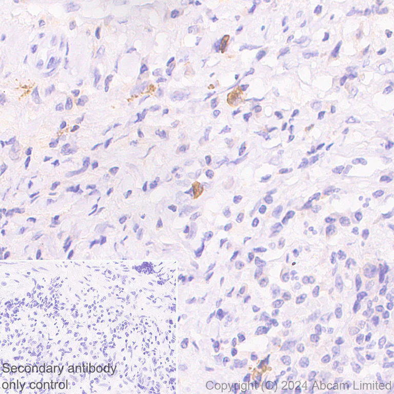
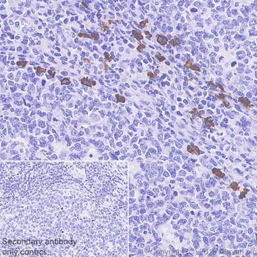
Immunohistochemistry (Formalin/PFA-fixed paraffin-embedded sections) - HRP Anti-IgG4 antibody [EP4420] (AB323344)
  • IHC-P

Supplier Data

Immunohistochemistry (Formalin/PFA-fixed paraffin-embedded sections) - HRP Anti-IgG4 antibody [EP4420] (AB323344)

Immunohistochemical analysis of paraffin-embedded Human tonsil tissue labeling IgG4 with ab323344 at 1/5000 (0.1 ug/ml) dilution.

Positive staining on human tonsil.
The section was incubated with ab323344 for 30 mins at room temperature.
The immunostaining was performed on a Leica Biosystems BOND™ RX instrument

Counterstained with Hematoxylin.

Heat mediated antigen retrieval was performed with Tris-EDTA buffer (pH 9.0, Epitope Retrieval Solution2) for 20 mins

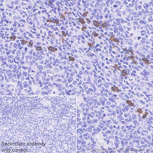
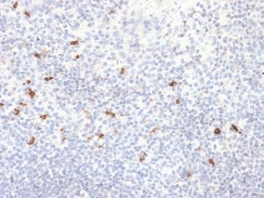
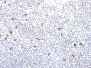
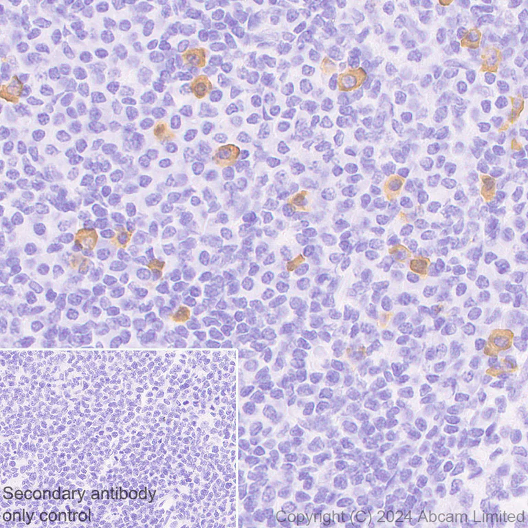
Immunohistochemistry (Formalin/PFA-fixed paraffin-embedded sections) - HRP Anti-IgG4 antibody [EP4420] (AB323344)
  • IHC-P

Supplier Data

Immunohistochemistry (Formalin/PFA-fixed paraffin-embedded sections) - HRP Anti-IgG4 antibody [EP4420] (AB323344)

Immunohistochemical analysis of paraffin-embedded Human stomach tissue labeling IgG4 with ab323344 at 1/5000 (0.1 ug/ml) dilution.

Positive staining on immune cells of human stomach cancer.
The section was incubated with ab323344 for 30 mins at room temperature.
The immunostaining was performed on a Leica Biosystems BOND™ RX instrument

Counterstained with Hematoxylin.

Heat mediated antigen retrieval was performed with Tris-EDTA buffer (pH 9.0, Epitope Retrieval Solution2) for 20 mins

Key facts

Host species

Rabbit

Clonality

Monoclonal

Clone number

EP4420

Isotype

IgG

Conjugation

HRP

Excitation/Emission
Carrier free

No

Reacts with

Human

Applications

WB, IHC-P

applications

Immunogen

The exact immunogen used to generate this antibody is proprietary information.

Reactivity data

{ "title": "Reactivity Data", "filters": { "stats": ["", "Species", "Dilution Info", "Notes"], "tabs": { "all-applications": {"fullname" : "All Applications", "shortname": "All Applications"}, "WB" : {"fullname" : "Western blot", "shortname":"WB"}, "IHCP" : {"fullname" : "Immunohistochemistry (Formalin/PFA-fixed paraffin-embedded sections)", "shortname":"IHC-P"} }, "product-promise": { "all": "all", "testedAndGuaranteed": "tested", "guaranteed": "expected", "predicted": "predicted", "notRecommended": "not-recommended" } }, "values": { "Human": { "WB-species-checked": "testedAndGuaranteed", "WB-species-dilution-info": "1/1000", "WB-species-notes": "<p></p>", "IHCP-species-checked": "testedAndGuaranteed", "IHCP-species-dilution-info": "1/5000", "IHCP-species-notes": "<p></p> Perform heat-mediated antigen retrieval with Tris/EDTA buffer pH 9.0 before commencing with IHC staining protocol." } } }

Product details

Patented technology
Our RabMAb® technology is a patented hybridoma-based technology for making rabbit monoclonal antibodies. For details on our patents, please refer to RabMAb® patents.

What are the advantages of a recombinant monoclonal antibody?
This product is a recombinant monoclonal antibody, which offers several advantages including:

  • - High batch-to-batch consistency and reproducibility
  • - Improved sensitivity and specificity
  • - Long-term security of supply
  • - Animal-free batch production

For more information, read more on recombinant antibodies.

Properties and storage information

Form
Liquid
Purification technique
Affinity purification Protein A
Storage buffer
pH: 7.4 Preservative: 0.1% Proclin 300 Solution Constituents: PBS, 30% Glycerol (glycerin, glycerine), 1% BSA
Shipped at conditions
Blue Ice
Appropriate short-term storage duration
1-2 weeks
Appropriate short-term storage conditions
+4°C
Appropriate long-term storage conditions
-20°C
Aliquoting information
Upon delivery aliquot
Storage information
Avoid freeze / thaw cycle|Store in the dark

Product protocols

For this product, it's our understanding that no specific protocols are required. You can visit:

Target data

The protein expressed by the IGHG4 gene is part of the constant region of immunoglobulin heavy chains. Immunoglobulins, or antibodies, are glycoproteins produced by B lymphocytes that can be membrane-bound or secreted. During humoral immunity's recognition phase, membrane-bound immunoglobulins act as receptors. When they bind a specific antigen, they trigger B lymphocytes to undergo clonal expansion and differentiate into plasma cells that secrete immunoglobulins. These secreted immunoglobulins then mediate the effector phase of humoral immunity to eliminate the bound antigens. Each immunoglobulin possesses two antigen binding sites, formed by the variable domains of a heavy chain and an associated light chain, allowing for high affinity binding to specific antigens. These variable domains undergo V-(D)-J rearrangement and may experience somatic hypermutations, facilitating affinity maturation after antigen exposure and selection. This supplementary information is collated from multiple sources and compiled automatically.
See full target information IGHG4

Product promise

We are committed to supporting your work with high-quality reagents, and we're here for you every step of the way. In the unlikely event that one of our products does not perform as expected, you're protected by our Product Promise.
For full details, please see our Terms & Conditions

Please note: All products are 'FOR RESEARCH USE ONLY. NOT FOR USE IN DIAGNOSTIC OR THERAPEUTIC PROCEDURES'.

For licensing inquiries, please contact partnerships@abcam.com