JavaScript is disabled in your browser. Please enable JavaScript to view this website.
AB202646

HRP Anti-IKB alpha antibody [E130]

  • BOND RX™ Validated
  • RabMAb
  • Recombinant
  • KO Validated
  • What is this?

Be the first to review this product! Submit a review

|

(2 Publications)

Rabbit Recombinant Monoclonal IKB alpha antibody - conjugated to HRP. Suitable for IHC-P, WB and reacts with Human, Mouse, Rat samples. Cited in 2 publications.

View Alternative Names

IKBA, MAD3, NFKBI, NFKBIA, NF-kappa-B inhibitor alpha, I-kappa-B-alpha, Major histocompatibility complex enhancer-binding protein MAD3, IkB-alpha, IkappaBalpha

3 Images
Immunohistochemistry (Formalin/PFA-fixed paraffin-embedded sections) - HRP Anti-IKB alpha antibody [E130] (AB202646)
  • IHC-P

Lab

Immunohistochemistry (Formalin/PFA-fixed paraffin-embedded sections) - HRP Anti-IKB alpha antibody [E130] (AB202646)

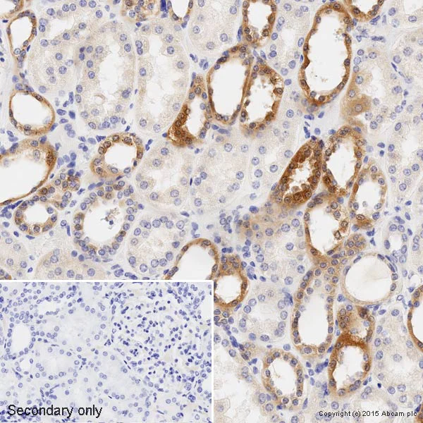
IHC image of IKB alpha staining in a section of formalin-fixed paraffin-embedded normal human kidney*, performed on a Leica BOND. The section was pre-treated using heat mediated antigen retrieval with sodium citrate buffer (pH6, epitope retrieval solution 1) for 20mins. The section was then incubated with ab202646, 1/50 dilution, for 15 mins at room temperature. DAB was used as the chromogen. The section was then counterstained with haematoxylin and mounted with DPX. The inset negative control image is taken from an identical assay without primary antibody.

For other IHC staining systems (automated and non-automated) customers should optimize variable parameters such as antigen retrieval conditions, primary antibody concentration and antibody incubation times.

*Tissue obtained from the Human Research Tissue Bank, supported by the NIHR Cambridge Biomedical Research Centre

Western blot - HRP Anti-IKB alpha antibody [E130] (AB202646)
  • WB

Unknown

Western blot - HRP Anti-IKB alpha antibody [E130] (AB202646)

ab202646 was shown to recognize IKB alpha in wild-type HAP1 cells as signal was lost at the expected MW in NFKBIA (IKB alpha) knockout cells. Additional cross-reactive bands were observed in the wild-type and knockout cells. Wild-type and NFKBIA (IKB alpha) knockout samples were subjected to SDS-PAGE. ab202646 and ab184095 (Mouse monoclonal [mAbcam 9484] to GAPDH - Loading Control (Alexa Fluor® 680) loading control) were incubated overnight at 4°C at 1/5000 dilution and 1/1000 dilution respectively. The loading control was imaged using the Licor Odyssey CLx prior to blots being developed with ECL technique.

All lanes:

Western blot - HRP Anti-IKB alpha antibody [E130] (ab202646) at 1/5000 dilution

Lane 1:

Wild-type HAP1 whole cell lysate at 20 µg

Lane 2:

NFKBIA (IKB alpha) knockout HAP1 whole cell lysate at 20 µg

Predicted band size: 35 kDa

Observed band size: 35 kDa

false

Exposure time: 12min

Western blot - HRP Anti-IKB alpha antibody [E130] (AB202646)
  • WB

Lab

Western blot - HRP Anti-IKB alpha antibody [E130] (AB202646)

This blot was produced using a 4-12% Bis-tris gel under the MOPS buffer system. The gel was run at 200V for 50 minutes before being transferred onto a Nitrocellulose membrane at 30V for 70 minutes. The membrane was then blocked for an hour using 3% milk before being incubated with ab202646 overnight at 4°C. Antibody binding was visualised using ECL development solution ab133406.

All lanes:

Western blot - HRP Anti-IKB alpha antibody [E130] (ab202646) at 1/5000 dilution

Lane 1:

PC12 (Rat adrenal pheochromocytoma cell line) Whole Cell Lysate at 10 µg

Lane 2:

NIH 3T3 (Mouse embryonic fibroblast cell line) Whole Cell Lysate at 10 µg

Lane 3:

RAW 264.7 (Mouse leukaemic monocyte macrophage cell line) Whole Cell Lysate at 10 µg

Lane 4:

Liver (Human) Tissue Lysate - fetal normal tissue at 10 µg

Predicted band size: 35 kDa

Observed band size: 36 kDa

true

Exposure time: 4min

  • 660 APC

    APC Anti-IKB alpha antibody [E130]

  • 578 PE

    PE Anti-IKB alpha antibody [E130]

  • 617 Alexa Fluor® 594

    Alexa Fluor® 594 Anti-IKB alpha antibody [E130]

  • 565 Alexa Fluor® 555

    Alexa Fluor® 555 Anti-IKB alpha antibody [E130]

  • 665 Alexa Fluor® 647

    Alexa Fluor® 647 Anti-IKB alpha antibody [E130]

  • Unconjugated

    Anti-IKB alpha antibody [E130]

  • Carrier free

    Anti-IKB alpha antibody [E130] - BSA and Azide free

Key facts

Host species

Rabbit

Clonality

Monoclonal

Clone number

E130

Isotype

IgG

Conjugation

HRP

Excitation/Emission
Carrier free

No

Reacts with

Mouse, Rat, Human, Human, Mouse, Rat

Applications

WB, IHC-P

applications

Immunogen

The exact immunogen used to generate this antibody is proprietary information.

Specificity

From Jan 2026, QC testing of replenishment batches of this primary conjugate changed. All tested and expected application and reactive species combinations are still covered by our Abcam product promise. However, the replenishment lots are subjected to bioanalytical testing only. For more information on a specific batch, please contact our Scientific Support who will be happy to help.

Reactivity data

{ "title": "Reactivity Data", "filters": { "stats": ["", "Species", "Dilution Info", "Notes"], "tabs": { "all-applications": {"fullname" : "All Applications", "shortname": "All Applications"}, "IHCP" : {"fullname" : "Immunohistochemistry (Formalin/PFA-fixed paraffin-embedded sections)", "shortname":"IHC-P"}, "WB" : {"fullname" : "Western blot", "shortname":"WB"} }, "product-promise": { "all": "all", "testedAndGuaranteed": "tested", "guaranteed": "expected", "predicted": "predicted", "notRecommended": "not-recommended" } }, "values": { "Human": { "IHCP-species-checked": "testedAndGuaranteed", "IHCP-species-dilution-info": "1/50", "IHCP-species-notes": "<p></p>", "WB-species-checked": "testedAndGuaranteed", "WB-species-dilution-info": "1/5000", "WB-species-notes": "<p></p>" }, "Mouse": { "IHCP-species-checked": "guaranteed", "IHCP-species-dilution-info": "", "IHCP-species-notes": "", "WB-species-checked": "testedAndGuaranteed", "WB-species-dilution-info": "1/5000", "WB-species-notes": "<p></p>" }, "Rat": { "IHCP-species-checked": "guaranteed", "IHCP-species-dilution-info": "", "IHCP-species-notes": "", "WB-species-checked": "testedAndGuaranteed", "WB-species-dilution-info": "1/5000", "WB-species-notes": "<p></p>" }, "Cow": { "IHCP-species-checked": "predicted", "IHCP-species-dilution-info": "", "IHCP-species-notes": "", "WB-species-checked": "predicted", "WB-species-dilution-info": "", "WB-species-notes": "" }, "Hamster": { "IHCP-species-checked": "predicted", "IHCP-species-dilution-info": "", "IHCP-species-notes": "", "WB-species-checked": "predicted", "WB-species-dilution-info": "", "WB-species-notes": "" }, "Pig": { "IHCP-species-checked": "predicted", "IHCP-species-dilution-info": "", "IHCP-species-notes": "", "WB-species-checked": "predicted", "WB-species-dilution-info": "", "WB-species-notes": "" } } }

Product details

Patented technology
Our RabMAb® technology is a patented hybridoma-based technology for making rabbit monoclonal antibodies. For details on our patents, please refer to RabMAb® patents.

Properties and storage information

Form
Liquid
Purification technique
Affinity purification Protein A
Storage buffer
pH: 7.4 Preservative: 0.1% Proclin 300 Solution Constituents: PBS, 30% Glycerol (glycerin, glycerine), 1% BSA
Shipped at conditions
Blue Ice
Appropriate short-term storage duration
1-2 weeks
Appropriate short-term storage conditions
+4°C
Appropriate long-term storage conditions
-20°C
Aliquoting information
Upon delivery aliquot
Storage information
Stable for 12 months at -20°C|Store in the dark

Product protocols

For this product, it's our understanding that no specific protocols are required. You can visit:

Target data

Inhibits the activity of dimeric NF-kappa-B/REL complexes by trapping REL (RELA/p65 and NFKB1/p50) dimers in the cytoplasm by masking their nuclear localization signals (PubMed : 1493333, PubMed : 36651806, PubMed : 7479976). On cellular stimulation by immune and pro-inflammatory responses, becomes phosphorylated promoting ubiquitination and degradation, enabling the dimeric RELA to translocate to the nucleus and activate transcription (PubMed : 7479976, PubMed : 7628694, PubMed : 7796813, PubMed : 7878466).
See full target information NFKBIA

Publications (2)

Recent publications for all applications. Explore the full list and refine your search

Bioengineered 13:6856-6865 PubMed35264066

2022

Calreticulin (CALR)-induced activation of NF-ĸB signaling pathway boosts lung cancer cell proliferation.

Applications

Unspecified application

Species

Unspecified reactive species

Fangfang Gao,Xiaoqian Mu,Huijuan Wu,Lijuan Chen,Jie Liu,Yanqiu Zhao

Nature cell biology 23:1073-1084 PubMed34616024

2021

Cargo-specific recruitment in clathrin- and dynamin-independent endocytosis.

Applications

Unspecified application

Species

Unspecified reactive species

Paulina Moreno-Layseca,Niklas Z Jäntti,Rashmi Godbole,Christian Sommer,Guillaume Jacquemet,Hussein Al-Akhrass,James R W Conway,Pauliina Kronqvist,Roosa E Kallionpää,Leticia Oliveira-Ferrer,Pasquale Cervero,Stefan Linder,Martin Aepfelbacher,Henrik Zauber,James Rae,Robert G Parton,Andrea Disanza,Giorgio Scita,Satyajit Mayor,Matthias Selbach,Stefan Veltel,Johanna Ivaska
View all publications

Product promise

We are committed to supporting your work with high-quality reagents, and we're here for you every step of the way. In the unlikely event that one of our products does not perform as expected, you're protected by our Product Promise.
For full details, please see our Terms & Conditions

Please note: All products are 'FOR RESEARCH USE ONLY. NOT FOR USE IN DIAGNOSTIC OR THERAPEUTIC PROCEDURES'.

For licensing inquiries, please contact partnerships@abcam.com