JavaScript is disabled in your browser. Please enable JavaScript to view this website.
AB205474

HRP Anti-Integrin alpha V antibody [EPR16800]

Be the first to review this product! Submit a review

|

(1 Publication)

Rabbit Recombinant Monoclonal Integrin alpha V antibody - conjugated to HRP. Suitable for WB, IHC-P and reacts with Human samples. Cited in 1 publication.

View Alternative Names

CD51, MSK8, VNRA, VTNR, ITGAV, Integrin alpha-V, Vitronectin receptor, Vitronectin receptor subunit alpha

2 Images
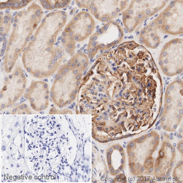
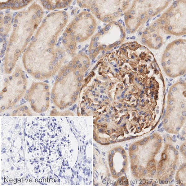
Immunohistochemistry (Formalin/PFA-fixed paraffin-embedded sections) - HRP Anti-Integrin alpha V antibody [EPR16800] (AB205474)
  • IHC-P

Lab

Immunohistochemistry (Formalin/PFA-fixed paraffin-embedded sections) - HRP Anti-Integrin alpha V antibody [EPR16800] (AB205474)

IHC image of Integrin alpha V staining in a section of formalin-fixed paraffin-embedded normal human kidney*, performed on a Leica BOND™. The section was pre-treated using heat mediated antigen retrieval with Tris/EDTA buffer (pH9, epitope retrieval solution 2) for 20mins. The section was then incubated with ab205474, 1/2500 dilution, for 15 mins at room temperature. DAB was used as the chromogen. The section was then counterstained with haematoxylin and mounted with DPX. The inset negative control image is taken from an identical assay without primary antibody.

For other IHC staining systems (automated and non-automated) customers should optimize variable parameters such as antigen retrieval conditions, primary antibody concentration and antibody incubation times.

*Tissue obtained from the Human Research Tissue Bank, supported by the NIHR Cambridge Biomedical Research Centre

Western blot - HRP Anti-Integrin alpha V antibody [EPR16800] (AB205474)
  • WB

Lab

Western blot - HRP Anti-Integrin alpha V antibody [EPR16800] (AB205474)

This blot was produced using a 4-12% Bis-tris gel under the MOPS buffer system. The gel was run at 200V for 50 minutes before being transferred onto a Nitrocellulose membrane at 30V for 70 minutes. The membrane was then blocked for an hour using 3% milk before being incubated with ab205474 overnight at 4°C. Antibody binding was visualised using ECL development solution ab133406.

All lanes:

Western blot - HRP Anti-Integrin alpha V antibody [EPR16800] (ab205474) at 1/2000 dilution

All lanes:

Human brain lysate at 10 µg

Predicted band size: 116 kDa

Observed band size: 135 kDa

true

Exposure time: 2min

  • 519 Alexa Fluor® 488

    Alexa Fluor® 488 Anti-Integrin alpha V antibody [EPR16800]

  • 565 Alexa Fluor® 555

    Alexa Fluor® 555 Anti-Integrin alpha V antibody [EPR16800]

  • 578 PE

    PE Anti-Integrin alpha V antibody [EPR16800]

  • 617 Alexa Fluor® 594

    Alexa Fluor® 594 Anti-Integrin alpha V antibody [EPR16800]

  • 665 Alexa Fluor® 647

    Alexa Fluor® 647 Anti-Integrin alpha V antibody [EPR16800]

Key facts

Host species

Rabbit

Clonality

Monoclonal

Clone number

EPR16800

Isotype

IgG

Conjugation

HRP

Excitation/Emission
Carrier free

No

Reacts with

Human

Applications

IHC-P, WB

applications

Immunogen

The exact immunogen used to generate this antibody is proprietary information.

Reactivity data

{ "title": "Reactivity Data", "filters": { "stats": ["", "Species", "Dilution Info", "Notes"], "tabs": { "all-applications": {"fullname" : "All Applications", "shortname": "All Applications"}, "WB" : {"fullname" : "Western blot", "shortname":"WB"}, "IHCP" : {"fullname" : "Immunohistochemistry (Formalin/PFA-fixed paraffin-embedded sections)", "shortname":"IHC-P"} }, "product-promise": { "all": "all", "testedAndGuaranteed": "tested", "guaranteed": "expected", "predicted": "predicted", "notRecommended": "not-recommended" } }, "values": { "Human": { "WB-species-checked": "testedAndGuaranteed", "WB-species-dilution-info": "1/2000", "WB-species-notes": "<p></p>", "IHCP-species-checked": "testedAndGuaranteed", "IHCP-species-dilution-info": "1/2500", "IHCP-species-notes": "<p></p>" }, "Mouse": { "WB-species-checked": "predicted", "WB-species-dilution-info": "", "WB-species-notes": "", "IHCP-species-checked": "predicted", "IHCP-species-dilution-info": "", "IHCP-species-notes": "" }, "Rat": { "WB-species-checked": "predicted", "WB-species-dilution-info": "", "WB-species-notes": "", "IHCP-species-checked": "predicted", "IHCP-species-dilution-info": "", "IHCP-species-notes": "" } } }

Product details

Patented technology
Our RabMAb® technology is a patented hybridoma-based technology for making rabbit monoclonal antibodies. For details on our patents, please refer to RabMAb® patents.

What are the advantages of a recombinant monoclonal antibody?
This product is a recombinant monoclonal antibody, which offers several advantages including:

  • - High batch-to-batch consistency and reproducibility
  • - Improved sensitivity and specificity
  • - Long-term security of supply
  • - Animal-free batch production

For more information, read more on recombinant antibodies.

Properties and storage information

Form
Liquid
Purification technique
Affinity purification Protein A
Storage buffer
pH: 7.4 Preservative: 0.1% Proclin 300 Solution Constituents: PBS, 30% Glycerol (glycerin, glycerine), 1% BSA
Shipped at conditions
Blue Ice
Appropriate short-term storage duration
1-2 weeks
Appropriate short-term storage conditions
+4°C
Appropriate long-term storage conditions
-20°C
Aliquoting information
Upon delivery aliquot
Storage information
Stable for 12 months at -20°C|Store in the dark

Supplementary information

This supplementary information is collated from multiple sources and compiled automatically.

Integrin alpha V also known as integrin av CD51 and CD51/CD61 is a transmembrane protein with an approximate mass of 125 kDa. It functions mechanically by mediating cell adhesion and signaling through its interaction with the extracellular matrix and other cells. Integrin alpha V is widely expressed in a variety of tissues including endothelial and epithelial cells as well as some tumor cells. This protein forms heterodimers typically with beta subunits like CD61 which is also referred to as beta 3 integrin to execute its biological functions.
Biological function summary

Integrin alpha V plays a pivotal role in cellular processes such as migration proliferation and survival. It participates in the formation of multi-molecular complexes within cellular structures. The integrin av integrins particularly in conjunction with its CD51/CD61 form contribute to the regulation of angiogenesis immune response and wound healing. These functions arise from the integrin’s ability to act as a receptor for numerous ligands including fibrinogen fibronectin and vitronectin.

Pathways

Integrin alpha V is a critical component of the integrin signaling and focal adhesion pathways. These pathways involve a network of interactions that include proteins like focal adhesion kinase (FAK) and Src family kinases. Integrin alpha V’s interaction within these pathways assists in transmitting mechanical signals from the extracellular environment to the intracellular signaling cascades affecting cytoskeleton dynamics and gene expression. The pathway interactions with integrin av also coordinate complex signaling with other receptors and matrix proteins like laminins enhancing cellular communication and response to environmental changes.

Integrin alpha V’s dysregulation associates with conditions such as cancer and fibrosis. Overexpression or aberrant functioning of integrin av contributes to tumor progression and metastasis by promoting angiogenesis and cell migration. In fibrotic diseases the protein's interactions with the extracellular matrix components are altered leading to excessive tissue scarring and dysfunction. Furthermore integrin alpha V interplays with proteins such as matrix metalloproteinases (MMPs) in the tumor microenvironment facilitating tissue remodeling and cancer cell invasion.

Product protocols

For this product, it's our understanding that no specific protocols are required. You can visit:

Target data

The alpha-V (ITGAV) integrins are receptors for vitronectin, cytotactin, fibronectin, fibrinogen, laminin, matrix metalloproteinase-2, osteopontin, osteomodulin, prothrombin, thrombospondin and vWF. They recognize the sequence R-G-D in a wide array of ligands. ITGAV : ITGB3 binds to fractalkine (CX3CL1) and may act as its coreceptor in CX3CR1-dependent fractalkine signaling (PubMed : 23125415). ITGAV : ITGB3 binds to NRG1 (via EGF domain) and this binding is essential for NRG1-ERBB signaling (PubMed : 20682778). ITGAV : ITGB3 binds to FGF1 and this binding is essential for FGF1 signaling (PubMed : 18441324). ITGAV : ITGB3 binds to FGF2 and this binding is essential for FGF2 signaling (PubMed : 28302677). ITGAV : ITGB3 binds to IGF1 and this binding is essential for IGF1 signaling (PubMed : 19578119). ITGAV : ITGB3 binds to IGF2 and this binding is essential for IGF2 signaling (PubMed : 28873464). ITGAV : ITGB3 binds to IL1B and this binding is essential for IL1B signaling (PubMed : 29030430). ITGAV : ITGB3 binds to PLA2G2A via a site (site 2) which is distinct from the classical ligand-binding site (site 1) and this induces integrin conformational changes and enhanced ligand binding to site 1 (PubMed : 18635536, PubMed : 25398877). ITGAV : ITGB3 and ITGAV : ITGB6 act as receptors for fibrillin-1 (FBN1) and mediate R-G-D-dependent cell adhesion to FBN1 (PubMed : 12807887, PubMed : 17158881). Integrin alpha-V/beta-6 or alpha-V/beta-8 (ITGAV : ITGB6 or ITGAV : ITGB8) mediates R-G-D-dependent release of transforming growth factor beta-1 (TGF-beta-1) from regulatory Latency-associated peptide (LAP), thereby playing a key role in TGF-beta-1 activation (PubMed : 15184403, PubMed : 22278742, PubMed : 28117447). ITGAV : ITGB3 acts as a receptor for CD40LG (PubMed : 31331973). ITGAV : ITGB3 acts as a receptor for IBSP and promotes cell adhesion and migration to IBSP (PubMed : 10640428).. (Microbial infection) Integrin ITGAV : ITGB5 acts as a receptor for Adenovirus type C.. (Microbial infection) Integrin ITGAV : ITGB5 and ITGAV : ITGB3 act as receptors for Coxsackievirus A9 and B1.. (Microbial infection) Integrin ITGAV : ITGB3 acts as a receptor for Herpes virus 8/HHV-8.. (Microbial infection) Integrin ITGAV : ITGB6 acts as a receptor for herpes simplex 1/HHV-1.. (Microbial infection) Integrin ITGAV : ITGB3 acts as a receptor for Human parechovirus 1.. (Microbial infection) Integrin ITGAV : ITGB3 acts as a receptor for West nile virus.. (Microbial infection) In case of HIV-1 infection, the interaction with extracellular viral Tat protein seems to enhance angiogenesis in Kaposi's sarcoma lesions.
See full target information ITGAV

Publications (1)

Recent publications for all applications. Explore the full list and refine your search

Scientific reports 13:6393 PubMed37076504

2023

Dentin defects caused by a Dspp frameshift mutation are associated with the activation of autophagy.

Applications

Unspecified application

Species

Unspecified reactive species

Tian Liang,Charles E Smith,Yuanyuan Hu,Hong Zhang,Chuhua Zhang,Qian Xu,Yongbo Lu,Ling Qi,Jan C-C Hu,James P Simmer
View all publications

Product promise

We are committed to supporting your work with high-quality reagents, and we're here for you every step of the way. In the unlikely event that one of our products does not perform as expected, you're protected by our Product Promise.
For full details, please see our Terms & Conditions

Please note: All products are 'FOR RESEARCH USE ONLY. NOT FOR USE IN DIAGNOSTIC OR THERAPEUTIC PROCEDURES'.

For licensing inquiries, please contact partnerships@abcam.com