JavaScript is disabled in your browser. Please enable JavaScript to view this website.
AB205443

HRP Anti-IRF3 antibody [EPR2418Y]

  • BOND RX™ Validated
  • RabMAb
  • Recombinant
  • KO Validated
  • What is this?

Be the first to review this product! Submit a review

|

(1 Publication)

Rabbit Recombinant Monoclonal IRF3 antibody - conjugated to HRP. Suitable for WB, IHC-P and reacts with Human samples. Cited in 1 publication.

View Alternative Names

Interferon regulatory factor 3, IRF-3, IRF3

2 Images
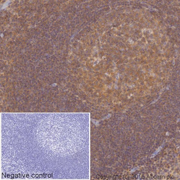
Immunohistochemistry (Formalin/PFA-fixed paraffin-embedded sections) - HRP Anti-IRF3 antibody [EPR2418Y] (AB205443)
  • IHC-P

Lab

Immunohistochemistry (Formalin/PFA-fixed paraffin-embedded sections) - HRP Anti-IRF3 antibody [EPR2418Y] (AB205443)

IHC image of IRF3 staining in a section of formalin-fixed paraffin-embedded normal human tonsil tissue*, performed on a Leica BONDTM. The section was pre-treated using heat mediated antigen retrieval with TRIS/EDTA (pH9, epitope retrieval solution 2) for 20mins. The section was then incubated with ab205443, 1/50 dilution, for 15 mins at room temperature. DAB was used as the chromogen. The section was then counterstained with haematoxylin and mounted with DPX. The inset negative control image is taken from an identical assay without primary antibody.

For other IHC staining systems (automated and non-automated) customers should optimize variable parameters such as antigen retrieval conditions, primary antibody concentration and antibody incubation times.

*Tissue obtained from the Human Research Tissue Bank, supported by the NIHR Cambridge Biomedical Research Centre

Western blot - HRP Anti-IRF3 antibody [EPR2418Y] (AB205443)
  • WB

Lab

Western blot - HRP Anti-IRF3 antibody [EPR2418Y] (AB205443)

This blot was produced using a 4-12% Bis-tris gel under the MOPS buffer system. The gel was run at 200V for 50 minutes before being transferred onto a Nitrocellulose membrane at 30V for 70 minutes. The membrane was then blocked for an hour using 3% milk before being incubated with ab205443 overnight at 4°C. Antibody binding was visualised using ECL development solution ab133406.

All lanes:

Western blot - HRP Anti-IRF3 antibody [EPR2418Y] (ab205443) at 1/2000 dilution

Lane 1:

Western blot - HeLa whole cell lysate (<a href='/en-us/products/cell-lysates/hela-whole-cell-lysate-ab150035'>ab150035</a>) at 10 µg

Lane 2:

Jurkat (Human T cell lymphoblast-like cell line) Whole Cell Lysate at 10 µg

Lane 3:

Wild-type HAP1 cell lysate at 20 µg

Lane 4:

IRF3 knockout HAP1 cell lysate at 20 µg

Predicted band size: 47 kDa

Observed band size: 51 kDa

true

Exposure time: 20min

Key facts

Host species

Rabbit

Clonality

Monoclonal

Clone number

EPR2418Y

Isotype

IgG

Conjugation

HRP

Excitation/Emission
Carrier free

No

Reacts with

Human

Applications

WB, IHC-P

applications

Immunogen

The exact immunogen used to generate this antibody is proprietary information.

Reactivity data

{ "title": "Reactivity Data", "filters": { "stats": ["", "Species", "Dilution Info", "Notes"], "tabs": { "all-applications": {"fullname" : "All Applications", "shortname": "All Applications"}, "WB" : {"fullname" : "Western blot", "shortname":"WB"}, "IHCP" : {"fullname" : "Immunohistochemistry (Formalin/PFA-fixed paraffin-embedded sections)", "shortname":"IHC-P"} }, "product-promise": { "all": "all", "testedAndGuaranteed": "tested", "guaranteed": "expected", "predicted": "predicted", "notRecommended": "not-recommended" } }, "values": { "Human": { "WB-species-checked": "testedAndGuaranteed", "WB-species-dilution-info": "1/2000", "WB-species-notes": "<p></p>", "IHCP-species-checked": "testedAndGuaranteed", "IHCP-species-dilution-info": "1/50", "IHCP-species-notes": "<p></p>" }, "Mouse": { "WB-species-checked": "predicted", "WB-species-dilution-info": "", "WB-species-notes": "", "IHCP-species-checked": "predicted", "IHCP-species-dilution-info": "", "IHCP-species-notes": "" } } }

Product details

Patented technology
Our RabMAb® technology is a patented hybridoma-based technology for making rabbit monoclonal antibodies. For details on our patents, please refer to RabMAb® patents.

What are the advantages of a recombinant monoclonal antibody?
This product is a recombinant monoclonal antibody, which offers several advantages including:

  • - High batch-to-batch consistency and reproducibility
  • - Improved sensitivity and specificity
  • - Long-term security of supply
  • - Animal-free batch production

For more information, read more on recombinant antibodies.

Properties and storage information

Form
Liquid
Purification technique
Affinity purification Protein A
Storage buffer
pH: 7.4 Preservative: 0.1% Proclin 300 Solution Constituents: PBS, 30% Glycerol (glycerin, glycerine), 1% BSA
Shipped at conditions
Blue Ice
Appropriate short-term storage duration
1-2 weeks
Appropriate short-term storage conditions
+4°C
Appropriate long-term storage conditions
-20°C
Aliquoting information
Upon delivery aliquot
Storage information
Stable for 12 months at -20°C|Store in the dark

Supplementary information

This supplementary information is collated from multiple sources and compiled automatically.

IRF3 also known as Interferon Regulatory Factor 3 acts as an important transcription factor in the immune response. It has a molecular weight of approximately 47 kDa. The IRF3 protein is mainly expressed in the cytoplasm and nucleus of various cell types including immune cells such as macrophages and dendritic cells. The protein becomes activated through phosphorylation a process frequently identified in its phosphorylated form phospo-IRF3 or p-IRF3 which facilitates its role in immune function.
Biological function summary

IRF3 participates in the regulation of type I interferon (IFN) response a fundamental antiviral defense mechanism. IRF3 when phosphorylated forms a complex with CBP/p300 which then translocates to the nucleus to drive the expression of IFN-stimulated genes. This action strengthens the innate immune response and boosts the body's ability to counteract viral infections. Its activity and regulation are significant for maintaining a balanced immune response without excessive inflammation.

Pathways

IRF3 is involved in the Toll-like receptor (TLR) and RIG-I-like receptor (RLR) signaling pathways both essential in pathogen recognition and response. Within these pathways IRF3 interacts with proteins such as MAVS and TBK1 to propagate immune signaling. The activation of IRF3 in these pathways results in the production of type I interferons and other cytokines orchestrating an effective antiviral response. These interactions highlight the protein's central role in mediating immune signaling cascades.

IRF3's malfunction or deregulation can contribute to autoimmune diseases and antiviral deficiencies. Conditions such as systemic lupus erythematosus (SLE) and chronic hepatitis B infection are linked to IRF3 activity. During autoimmune responses or viral persistence the aberrant activation of IRF3 can lead to inappropriate immune responses. The connection with proteins like STAT1 in these conditions highlights the complex network IRF3 engages in facilitating its impact on disease progression and immune dysregulation.

Product protocols

For this product, it's our understanding that no specific protocols are required. You can visit:

Target data

Key transcriptional regulator of type I interferon (IFN)-dependent immune responses which plays a critical role in the innate immune response against DNA and RNA viruses (PubMed : 22394562, PubMed : 24049179, PubMed : 25636800, PubMed : 27302953, PubMed : 31340999, PubMed : 36603579, PubMed : 8524823). Regulates the transcription of type I IFN genes (IFN-alpha and IFN-beta) and IFN-stimulated genes (ISG) by binding to an interferon-stimulated response element (ISRE) in their promoters (PubMed : 11846977, PubMed : 16846591, PubMed : 16979567, PubMed : 20049431, PubMed : 32972995, PubMed : 36603579, PubMed : 8524823). Acts as a more potent activator of the IFN-beta (IFNB) gene than the IFN-alpha (IFNA) gene and plays a critical role in both the early and late phases of the IFNA/B gene induction (PubMed : 16846591, PubMed : 16979567, PubMed : 20049431, PubMed : 36603579). Found in an inactive form in the cytoplasm of uninfected cells and following viral infection, double-stranded RNA (dsRNA), or toll-like receptor (TLR) signaling, is phosphorylated by IKBKE and TBK1 kinases (PubMed : 22394562, PubMed : 25636800, PubMed : 27302953, PubMed : 36603579). This induces a conformational change, leading to its dimerization and nuclear localization and association with CREB binding protein (CREBBP) to form dsRNA-activated factor 1 (DRAF1), a complex which activates the transcription of the type I IFN and ISG genes (PubMed : 16154084, PubMed : 27302953, PubMed : 33440148, PubMed : 36603579). Can activate distinct gene expression programs in macrophages and can induce significant apoptosis in primary macrophages (PubMed : 16846591). In response to Sendai virus infection, is recruited by TOMM70 : HSP90AA1 to mitochondrion and forms an apoptosis complex TOMM70 : HSP90AA1 : IRF3 : BAX inducing apoptosis (PubMed : 25609812). Key transcription factor regulating the IFN response during SARS-CoV-2 infection (PubMed : 33440148).
See full target information IRF3

Publications (1)

Recent publications for all applications. Explore the full list and refine your search

Journal of veterinary research 67:307-314 PubMed38143820

2023

Functional and morphological maturation of the full-sized and mini-pig corpus luteum by programmed cell death mechanism.

Applications

Unspecified application

Species

Unspecified reactive species

Ji-Hye Lee,Sang-Hwan Kim
View all publications

Product promise

We are committed to supporting your work with high-quality reagents, and we're here for you every step of the way. In the unlikely event that one of our products does not perform as expected, you're protected by our Product Promise.
For full details, please see our Terms & Conditions

Please note: All products are 'FOR RESEARCH USE ONLY. NOT FOR USE IN DIAGNOSTIC OR THERAPEUTIC PROCEDURES'.

For licensing inquiries, please contact partnerships@abcam.com