JavaScript is disabled in your browser. Please enable JavaScript to view this website.
AB202549

HRP Anti-Kappa light chain antibody [EPR5367-8]

Be the first to review this product! Submit a review

|

(2 Publications)

Anti-Kappa light chain antibody [EPR5367-8] - HRP conjugated (ab202549) is a rabbit recombinant monoclonal antibody detecting Kappa light chain in Western Blot, IHC-P, ELISA. Suitable for Human.

- Biophysical QC for unrivalled batch-batch consistency

View Alternative Names

Immunoglobulin kappa constant, Ig kappa chain C region, Ig kappa chain C region AG, Ig kappa chain C region CUM, Ig kappa chain C region EU, Ig kappa chain C region OU, Ig kappa chain C region ROY, Ig kappa chain C region TI, IGKC

4 Images
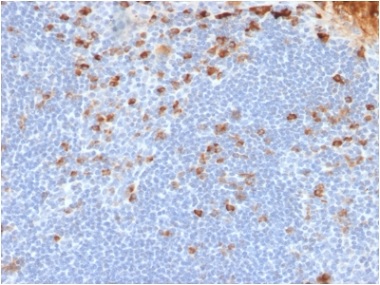
Immunohistochemistry (Formalin/PFA-fixed paraffin-embedded sections) - HRP Anti-Kappa light chain antibody [EPR5367-8] (AB202549)
  • IHC-P

Lab

Immunohistochemistry (Formalin/PFA-fixed paraffin-embedded sections) - HRP Anti-Kappa light chain antibody [EPR5367-8] (AB202549)

IHC image of human kappa light chain staining in a section of formalin-fixed paraffin-embedded normal human tonsil*, performed on a Leica Bond system using the standard protocol B. The section was pre-treated using heat mediated antigen retrieval with sodium citrate buffer (pH6, epitope retrieval solution 1) for 20 mins. The section was then incubated with ab202549, at 1/100 dilution, for 15 mins at room temperature and detected using an HRP conjugated ABC system. DAB was used as the chromogen. The section was then counterstained with haematoxylin and mounted with DPX.

Staining corresponds to B cells expressing IgG commonly found in lymphoid follicles of human tonsil.

The inset background control image is taken from an identical assay without added antibody.

For other IHC staining systems (automated and non-automated) customers should optimize variable parameters such as antigen retrieval conditions, primary antibody concentration and antibody incubation times.

*Tissue obtained from the Human Research Tissue Bank, supported by the NIHR Cambridge Biomedical Research Centre

Immunohistochemistry (Formalin/PFA-fixed paraffin-embedded sections) - HRP Anti-Kappa light chain antibody [EPR5367-8] (AB202549)
  • IHC-P

Lab

Immunohistochemistry (Formalin/PFA-fixed paraffin-embedded sections) - HRP Anti-Kappa light chain antibody [EPR5367-8] (AB202549)

Negative IHC image of human kappa light chain staining in a section of formalin-fixed paraffin-embedded normal human cerebral cortex*, performed on a Leica Bond system using the standard protocol B. The section was pre-treated using heat mediated antigen retrieval with sodium citrate buffer (pH6, epitope retrieval solution 1) for 20 mins. The section was then incubated with ab202549, at 1/50 dilution, for 15 mins at room temperature and detected using an HRP conjugated ABC system. DAB was used as the chromogen. The section was then counterstained with haematoxylin and mounted with DPX.

Staining corresponds to immunoglobulins found in serum. As expected, staining diminishes further into the brain tissue due to the action of the blood-brain barrier.

The inset background control image is taken from an identical assay without added antibody.

For other IHC staining systems (automated and non-automated) customers should optimize variable parameters such as antigen retrieval conditions, primary antibody concentration and antibody incubation times.

*Tissue obtained from the Human Research Tissue Bank, supported by the NIHR Cambridge Biomedical Research Centre

ELISA - HRP Anti-Kappa light chain antibody [EPR5367-8] (AB202549)
  • ELISA

Lab

ELISA - HRP Anti-Kappa light chain antibody [EPR5367-8] (AB202549)

ab202549 was tested using a sandwich ELISA approach. The wells were coated with Anti-Human Kappa Light Chain antibody [RM126] ab195576 at 2μg/ml at 50μl/well overnight at 4°C, followed by a 5% BSA blocking step for 2h RT. Native Human Kappa Light Chain (Biorad) was then added starting at 40 μg/ml and plasma/serum at 1 : 200 and gradually diluted 1 : 4, 50μl/well for 2h. ab202549 was then added at 1 : 10,000 dilution, 50μl/well for 2h.

Western blot - HRP Anti-Kappa light chain antibody [EPR5367-8] (AB202549)
  • WB

Lab

Western blot - HRP Anti-Kappa light chain antibody [EPR5367-8] (AB202549)

This blot was produced using a 4-12% Bis-tris gel under the MES buffer system. The gel was run at 200V for 35 minutes before being transferred onto a Nitrocellulose membrane at 30V for 70 minutes. The membrane was then blocked for an hour using 3% milk before being incubated with ab202549 overnight at 4°C. Antibody binding was visualised using ECL development solution ab133406.

All lanes:

Western blot - HRP Anti-Kappa light chain antibody [EPR5367-8] (ab202549) at 1/5000 dilution

Lane 1:

Tonsil (Human) Whole Cell Lysate - adult normal tissue at 10 µg

Lane 2:

Human Plasma Total Protein Lysate at 10 µg

Secondary

All lanes:

Rabbit monoclonal [EPR5367-8] Anti-Human kappa light chain (HRP) (ab241653) at 1/5000 dilution

Predicted band size: 25 kDa

Observed band size: 26 kDa

true

Exposure time: 4s

  • 665 Alexa Fluor® 647

    Alexa Fluor® 647 Anti-Kappa light chain antibody [EPR5367-8]

  • 519 Alexa Fluor® 488

    Alexa Fluor® 488 Anti-Kappa light chain antibody [EPR5367-8]

  • Unconjugated

    Anti-Kappa light chain antibody [EPR5367-8]

  • Carrier free

    Anti-Kappa light chain antibody [EPR5367-8] - BSA and Azide free

Key facts

Host species

Rabbit

Clonality

Monoclonal

Clone number

EPR5367-8

Isotype

IgG

Conjugation

HRP

Excitation/Emission
Carrier free

No

Reacts with

Human

Applications

WB, ELISA, IHC-P

applications

Immunogen

The exact immunogen used to generate this antibody is proprietary information.

Reactivity data

{ "title": "Reactivity Data", "filters": { "stats": ["", "Species", "Dilution Info", "Notes"], "tabs": { "all-applications": {"fullname" : "All Applications", "shortname": "All Applications"}, "IHCP" : {"fullname" : "Immunohistochemistry (Formalin/PFA-fixed paraffin-embedded sections)", "shortname":"IHC-P"}, "ELISA" : {"fullname" : "ELISA", "shortname":"ELISA"}, "WB" : {"fullname" : "Western blot", "shortname":"WB"} }, "product-promise": { "all": "all", "testedAndGuaranteed": "tested", "guaranteed": "expected", "predicted": "predicted", "notRecommended": "not-recommended" } }, "values": { "Human": { "IHCP-species-checked": "testedAndGuaranteed", "IHCP-species-dilution-info": "", "IHCP-species-notes": "<p><a href='/en-us/products/primary-antibodies/hrp-rabbit-igg-monoclonal-epr25a-isotype-control-ab199507'>ab199507</a> - Rabbit monoclonal IgG (HRP), is suitable for use an as isotype control with this antibody.</p>", "ELISA-species-checked": "testedAndGuaranteed", "ELISA-species-dilution-info": "0.01-10 µg/mL", "ELISA-species-notes": "<p></p>", "WB-species-checked": "testedAndGuaranteed", "WB-species-dilution-info": "1/50000", "WB-species-notes": "<p></p>" } } }

Product details

What is this antibody validated in?
HRP Anti-Kappa light chain antibody [EPR5367-8] (ab202549) is a rabbit recombinant monoclonal antibody and is validated for use in Western Blot (WB), Immunohistochemistry (IHC-P), ELISA in Human samples.

What is the molecular weight of Kappa light chain?
Anti-Kappa light chain [EPR5367-8] HRP (ab202549) specifically detects a band for Kappa light chain (UniProt: P01834) at a molecular weight of 25kDa.

Related products
Antibody clone EPR5367-8 is also available pre-conjugated to a variety of labels for your convenience – Anti-Kappa light chain HRP [EPR5367-8] (ab202549).

Other related products
We have a range of other formats of antibody clone [EPR5367-8] also available for your convenience: ab124727, HRP - ab202549, Alexa Fluor® 647 - ab202832, Carrier free - ab232152, Alexa Fluor® 488 - ab300547

Patented technology
Our RabMAb® technology is a patented hybridoma-based technology for making rabbit monoclonal antibodies. For details on our patents, please refer to RabMAb® patents.

What are the advantages of a recombinant monoclonal antibody?
This product is a recombinant monoclonal antibody, which offers several advantages including:

  • - High batch-to-batch consistency and reproducibility
  • - Improved sensitivity and specificity
  • - Long-term security of supply
  • - Animal-free batch production

For more information, read more on recombinant antibodies.

Properties and storage information

Form
Liquid
Purification technique
Affinity purification Protein A
Storage buffer
pH: 7.4 Preservative: 0.1% Proclin 300 Solution Constituents: PBS, 30% Glycerol (glycerin, glycerine), 1% BSA
Shipped at conditions
Blue Ice
Appropriate short-term storage duration
1-2 weeks
Appropriate short-term storage conditions
+4°C
Appropriate long-term storage conditions
-20°C
Aliquoting information
Upon delivery aliquot
Storage information
Avoid freeze / thaw cycle|Store in the dark

Supplementary information

This supplementary information is collated from multiple sources and compiled automatically.

The kappa light chain alternatively known as Ig kappa chain is a component of immunoglobulins which are important for immune response. This protein has a molecular mass of roughly 25 kDa. It predominantly expresses in B lymphocytes where it pairs with heavy chains to form antibodies. Its expression is indicative of mature B cell functions serving as a marker for certain types of immune cells. The kappa light chain can also be detected outside of cells circulating in the blood and other bodily fluids.
Biological function summary

Kappa light chains are integral to the structure and function of antibodies. As part of the immunoglobulin molecule these chains contribute to antigen specificity by combining with heavy chains. Together they form the antigen-binding site. The kappa light chain is not part of a multiprotein complex; rather it directly participates in the antibody response. The presence of either kappa or lambda light chains can determine the particularities of antibody characteristics.

Pathways

Kappa light chains are elements of the immunological pathways notably the adaptive immune response. They interact with other proteins like immunoglobulin heavy chains to neutralize pathogens. The constant region of the kappa chain plays a role in determining the isotype of immunoglobulins which affects how antibodies mediate immune effector functions. Cross-linking of surface immunoglobulin by antigens can trigger B cell activation an essential step in the adaptive immune system.

Kappa light chains associate closely with multiple myeloma and certain types of lymphomas. Overproduction of kappa light chains in these diseases results in high levels detectable in the serum or urine which can be used diagnostically as markers. Also dysregulation of kappa chains correlates with autoimmune disorders whereby the immune system incorrectly targets its tissues. In disorders like these the interplay between kappa and lambda chains often arises showing imbalance between the two as a sign of abnormal B cell activity.

Product protocols

For this product, it's our understanding that no specific protocols are required. You can visit:

Target data

Constant region of immunoglobulin light chains. Immunoglobulins, also known as antibodies, are membrane-bound or secreted glycoproteins produced by B lymphocytes. In the recognition phase of humoral immunity, the membrane-bound immunoglobulins serve as receptors which, upon binding of a specific antigen, trigger the clonal expansion and differentiation of B lymphocytes into immunoglobulins-secreting plasma cells. Secreted immunoglobulins mediate the effector phase of humoral immunity, which results in the elimination of bound antigens (PubMed : 20176268, PubMed : 22158414). The antigen binding site is formed by the variable domain of one heavy chain, together with that of its associated light chain. Thus, each immunoglobulin has two antigen binding sites with remarkable affinity for a particular antigen. The variable domains are assembled by a process called V-(D)-J rearrangement and can then be subjected to somatic hypermutations which, after exposure to antigen and selection, allow affinity maturation for a particular antigen (PubMed : 17576170, PubMed : 20176268).
See full target information IGKC

Publications (2)

Recent publications for all applications. Explore the full list and refine your search

Nature 644:557-566 PubMed40604277

2025

Mapping and engineering RNA-driven architecture of the multiphase nucleolus.

Applications

Unspecified application

Species

Unspecified reactive species

Sofia A Quinodoz,Lifei Jiang,Aya A Abu-Alfa,Troy J Comi,Hongbo Zhao,Qiwei Yu,Lennard W Wiesner,Jordy F Botello,Anita Donlic,Elizabeth Soehalim,Prashant Bhat,Christiane Zorbas,Ludivine Wacheul,Andrej Košmrlj,Denis L J Lafontaine,Sebastian Klinge,Clifford P Brangwynne

Proceedings of the National Academy of Sciences of the United States of America 120:e2217590120 PubMed37011197

2023

Subclass-switched anti-spike IgG3 oligoclonal cocktails strongly enhance Fc-mediated opsonization.

Applications

Unspecified application

Species

Unspecified reactive species

Arman Izadi,Arsema Hailu,Magdalena Godzwon,Sebastian Wrighton,Berit Olofsson,Tobias Schmidt,Anna Söderlund-Strand,Elizabeth Elder,Sofia Appelberg,Maria Valsjö,Olivia Larsson,Vidar Wendel-Hansen,Mats Ohlin,Wael Bahnan,Pontus Nordenfelt
View all publications

Product promise

We are committed to supporting your work with high-quality reagents, and we're here for you every step of the way. In the unlikely event that one of our products does not perform as expected, you're protected by our Product Promise.
For full details, please see our Terms & Conditions

Please note: All products are 'FOR RESEARCH USE ONLY. NOT FOR USE IN DIAGNOSTIC OR THERAPEUTIC PROCEDURES'.

For licensing inquiries, please contact partnerships@abcam.com