JavaScript is disabled in your browser. Please enable JavaScript to view this website.
AB193904

HRP Anti-Lamin A + Lamin C antibody [EPR4100] - Nuclear Envelope Marker

  • BOND RX™ Validated
  • RabMAb
  • Recombinant
  • KO Validated
  • What is this?

Be the first to review this product! Submit a review

|

(3 Publications)

Rabbit Recombinant Monoclonal Lamin-A/C antibody - conjugated to HRP. Nuclear Envelope marker. Suitable for IHC-P, WB and reacts with Human samples. Cited in 3 publications.

View Alternative Names

LMN1, LMNA, Prelamin-A/C

3 Images
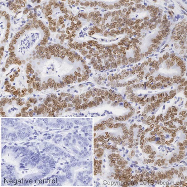
Immunohistochemistry (Formalin/PFA-fixed paraffin-embedded sections) - HRP Anti-Lamin A + Lamin C antibody [EPR4100] - Nuclear Envelope Marker (AB193904)
  • IHC-P

Lab

Immunohistochemistry (Formalin/PFA-fixed paraffin-embedded sections) - HRP Anti-Lamin A + Lamin C antibody [EPR4100] - Nuclear Envelope Marker (AB193904)

IHC image of Lamin A + C staining in a section of formalin-fixed paraffin-embedded normal human colon*, performed on a Leica BOND™. The section was pre-treated using heat mediated antigen retrieval with sodium citrate buffer (pH6, epitope retrieval solution 1) for 20mins. The section was then incubated with ab193904, 1/100 dilution, for 15 mins at room temperature. DAB was used as the chromogen. The section was then counterstained with haematoxylin and mounted with DPX. The inset negative control image is taken from an identical assay without primary antibody.

For other IHC staining systems (automated and non-automated) customers should optimize variable parameters such as antigen retrieval conditions, primary antibody concentration and antibody incubation times.

*Tissue obtained from the Human Research Tissue Bank, supported by the NIHR Cambridge Biomedical Research Centre

Western blot - HRP Anti-Lamin A + Lamin C antibody [EPR4100] - Nuclear Envelope Marker (AB193904)
  • WB

Lab

Western blot - HRP Anti-Lamin A + Lamin C antibody [EPR4100] - Nuclear Envelope Marker (AB193904)

This blot was produced using a 4-12% Bis-tris gel under the MOPS buffer system. The gel was run at 200V for 50 minutes before being transferred onto a Nitrocellulose membrane at 30V for 70 minutes. The membrane was then blocked for an hour using 3% milk before being incubated with ab193904 overnight at 4°C. Antibody binding was visualised using ECL development solution ab133406.

All lanes:

Western blot - HRP Anti-Lamin A + Lamin C antibody [EPR4100] - Nuclear Envelope Marker (ab193904) at 1/5000 dilution

All lanes:

SHSY-5Y (Human neuroblastoma cell line) Whole Cell Lysate at 10 µg

Predicted band size: 74 kDa

Observed band size: 74 kDa

true

Exposure time: 20min

Western blot - HRP Anti-Lamin A + Lamin C antibody [EPR4100] - Nuclear Envelope Marker (AB193904)
  • WB

Lab

Western blot - HRP Anti-Lamin A + Lamin C antibody [EPR4100] - Nuclear Envelope Marker (AB193904)

ab193904 was shown to react with Anti-Lamin A + C antibody [EPR4100] - Nuclear Envelope Marker (HRP) in wild-type HAP1 cells in Western blot. Loss of signal was observed when LMNA knockout sample was used. Membranes were blocked in 3% milk in TBS-T (0.1% Tween®) before incubation with ab193904 overnight at 4°C at a 1 in 5000 dilution and ab184095 (Mouse Anti-GAPDH antibody [mAbcam 9484] - Alexa Fluor® 680) at a 1 in 1000 dilution. Blots were developed with Optiblot ECL reagent (ab133456) and imaged.

All lanes:

Western blot - HRP Anti-Lamin A + Lamin C antibody [EPR4100] - Nuclear Envelope Marker (ab193904) at 1/5000 dilution

Lane 1:

Wild-type HAP1 cell lysate at 40 µg

Lane 2:

LMNA knockout HAP1 cell lysate at 40 µg

Lane 3:

HeLa cell lysate at 20 µg

Lane 4:

HepG2 cell lysate at 20 µg

Predicted band size: 74 kDa

Observed band size: 70-75 kDa

false

Exposure time: 4min

  • 617 Alexa Fluor® 594

    Alexa Fluor® 594 Anti-Lamin A + Lamin C antibody [EPR4100] - Nuclear Envelope Marker

  • 578 PE

    PE Anti-Lamin A + Lamin C antibody [EPR4100] - Nuclear Envelope Marker

  • 519 Alexa Fluor® 488

    Alexa Fluor® 488 Anti-Lamin A + Lamin C antibody [EPR4100] - Nuclear Envelope Marker

  • 665 Alexa Fluor® 647

    Alexa Fluor® 647 Anti-Lamin A + Lamin C antibody [EPR4100] - Nuclear Envelope Marker

  • 565 Alexa Fluor® 555

    Alexa Fluor® 555 Anti-Lamin A + Lamin C antibody [EPR4100] - Nuclear Envelope Marker

  • 775 Alexa Fluor® 750

    Alexa Fluor® 750 Anti-Lamin A + Lamin C antibody [EPR4100] - Nuclear Envelope Marker

  • 660 APC

    APC Anti-Lamin A + Lamin C antibody [EPR4100] - Nuclear Envelope Marker

  • Unconjugated

    Anti-Lamin A + Lamin C antibody [EPR4100] - Nuclear Envelope Marker

  • Carrier free

    Anti-Lamin A + Lamin C antibody [EPR4100] - BSA and Azide free

Key facts

Host species

Rabbit

Clonality

Monoclonal

Clone number

EPR4100

Isotype

IgG

Conjugation

HRP

Excitation/Emission
Carrier free

No

Reacts with

Human

Applications

IHC-P, WB

applications

Immunogen

The exact immunogen used to generate this antibody is proprietary information.

Specificity

From Jan 2026, QC testing of replenishment batches of this primary conjugate changed. All tested and expected application and reactive species combinations are still covered by our Abcam product promise. However, the replenishment lots are subjected to bioanalytical testing only. For more information on a specific batch, please contact our Scientific Support who will be happy to help.

Reactivity data

{ "title": "Reactivity Data", "filters": { "stats": ["", "Species", "Dilution Info", "Notes"], "tabs": { "all-applications": {"fullname" : "All Applications", "shortname": "All Applications"}, "IHCP" : {"fullname" : "Immunohistochemistry (Formalin/PFA-fixed paraffin-embedded sections)", "shortname":"IHC-P"}, "WB" : {"fullname" : "Western blot", "shortname":"WB"} }, "product-promise": { "all": "all", "testedAndGuaranteed": "tested", "guaranteed": "expected", "predicted": "predicted", "notRecommended": "not-recommended" } }, "values": { "Human": { "IHCP-species-checked": "testedAndGuaranteed", "IHCP-species-dilution-info": "1/100", "IHCP-species-notes": "<p></p>", "WB-species-checked": "testedAndGuaranteed", "WB-species-dilution-info": "1/5000", "WB-species-notes": "<p></p>" } } }

Product details

Patented technology
Our RabMAb® technology is a patented hybridoma-based technology for making rabbit monoclonal antibodies. For details on our patents, please refer to RabMAb® patents.

What are the advantages of a recombinant monoclonal antibody?
This product is a recombinant monoclonal antibody, which offers several advantages including:

  • - High batch-to-batch consistency and reproducibility
  • - Improved sensitivity and specificity
  • - Long-term security of supply
  • - Animal-free batch production

For more information, read more on recombinant antibodies.

Properties and storage information

Form
Liquid
Purification technique
Affinity purification Protein A
Storage buffer
pH: 7.4 Preservative: 0.1% Proclin 300 Solution Constituents: PBS, 30% Glycerol (glycerin, glycerine), 1% BSA
Shipped at conditions
Blue Ice
Appropriate short-term storage duration
1-2 weeks
Appropriate short-term storage conditions
+4°C
Appropriate long-term storage conditions
-20°C
Aliquoting information
Upon delivery aliquot
Storage information
Avoid freeze / thaw cycle|Store in the dark

Supplementary information

This supplementary information is collated from multiple sources and compiled automatically.

Lamin A and Lamin C also known as lamin A/C are proteins encoded by the LMNA gene. These proteins are key components of the nuclear envelope where they provide structural support and maintain the shape of the nucleus. The lamin A/C molecule has a molecular weight of approximately 60-70 kDa. Expression of lamin A and lamin C occurs predominantly in differentiated cells where these proteins integrate into the nuclear lamina alongside other lamin molecules like lamin B. Lamin A alone sometimes referred to by designations like 4C11 plays a significant role in mechanical support at a molecular level.
Biological function summary

Lamin A/C proteins play a role in maintaining nuclear stability chromosome organization and gene regulation. They are part of a complex network within the nuclear lamina that includes interactions with proteins and DNA. Lamin A with a molecular weight distinct from other lamins participates in assembling this supportive matrix and contributes to DNA maintenance and repair processes. Their interaction with chromatin and gene expression regulation emphasizes their influence on important cellular functions.

Pathways

Lamin A/C proteins engage in the mechanosensory signaling and DNA damage response pathways. They interact with pathways involving the nuclear envelope structure and have connections to proteins like emerin and nuclear actin. Lamin A's role in these pathways supports its involvement in responding to mechanical stress and preserving genomic integrity highlighting its integration with these cellular processes.

Mutations in lamin A/C are linked to disorders such as Hutchinson-Gilford Progeria Syndrome and Emery-Dreifuss Muscular Dystrophy. These conditions highlight the importance of lamin A/C in cellular stability and nuclear integrity. Proteins such as emerin often relate to lamin A/C in these diseases as disruptions to their interactions can lead to compromised nuclear function and disease phenotypes.

Product protocols

For this product, it's our understanding that no specific protocols are required. You can visit:

Target data

Lamin-A/C. Lamins are intermediate filament proteins that assemble into a filamentous meshwork, and which constitute the major components of the nuclear lamina, a fibrous layer on the nucleoplasmic side of the inner nuclear membrane (PubMed : 10080180, PubMed : 10580070, PubMed : 10587585, PubMed : 10814726, PubMed : 11799477, PubMed : 12075506, PubMed : 12927431, PubMed : 15317753, PubMed : 18551513, PubMed : 18611980, PubMed : 2188730, PubMed : 22431096, PubMed : 2344612, PubMed : 23666920, PubMed : 24741066, PubMed : 31434876, PubMed : 31548606, PubMed : 37788673, PubMed : 37832547). Lamins provide a framework for the nuclear envelope, bridging the nuclear envelope and chromatin, thereby playing an important role in nuclear assembly, chromatin organization, nuclear membrane and telomere dynamics (PubMed : 10080180, PubMed : 10580070, PubMed : 10587585, PubMed : 10814726, PubMed : 11799477, PubMed : 12075506, PubMed : 12927431, PubMed : 15317753, PubMed : 18551513, PubMed : 18611980, PubMed : 22431096, PubMed : 23666920, PubMed : 24741066, PubMed : 31548606, PubMed : 37788673, PubMed : 37832547). Lamin A and C also regulate matrix stiffness by conferring nuclear mechanical properties (PubMed : 23990565, PubMed : 25127216). The structural integrity of the lamina is strictly controlled by the cell cycle, as seen by the disintegration and formation of the nuclear envelope in prophase and telophase, respectively (PubMed : 2188730, PubMed : 2344612). Lamin A and C are present in equal amounts in the lamina of mammals (PubMed : 10080180, PubMed : 10580070, PubMed : 10587585, PubMed : 10814726, PubMed : 11799477, PubMed : 12075506, PubMed : 12927431, PubMed : 15317753, PubMed : 18551513, PubMed : 18611980, PubMed : 22431096, PubMed : 23666920, PubMed : 31548606). Also invoved in DNA repair : recruited by DNA repair proteins XRCC4 and IFFO1 to the DNA double-strand breaks (DSBs) to prevent chromosome translocation by immobilizing broken DNA ends (PubMed : 31548606). Required for normal development of peripheral nervous system and skeletal muscle and for muscle satellite cell proliferation (PubMed : 10080180, PubMed : 10814726, PubMed : 11799477, PubMed : 18551513, PubMed : 22431096). Required for osteoblastogenesis and bone formation (PubMed : 12075506, PubMed : 15317753, PubMed : 18611980). Also prevents fat infiltration of muscle and bone marrow, helping to maintain the volume and strength of skeletal muscle and bone (PubMed : 10587585). Required for cardiac homeostasis (PubMed : 10580070, PubMed : 12927431, PubMed : 18611980, PubMed : 23666920).. Prelamin-A/C. Prelamin-A/C can accelerate smooth muscle cell senescence (PubMed : 20458013). It acts to disrupt mitosis and induce DNA damage in vascular smooth muscle cells (VSMCs), leading to mitotic failure, genomic instability, and premature senescence (PubMed : 20458013).
See full target information LMNA

Publications (3)

Recent publications for all applications. Explore the full list and refine your search

Scientific reports 10:16533 PubMed33024131

2020

Characterization of two types of intranuclear hepatocellular inclusions in NAFLD.

Applications

Unspecified application

Species

Unspecified reactive species

Suzan Schwertheim,Julia Kälsch,Holger Jastrow,Christoph Matthias Schaefer,Sarah Theurer,Saskia Ting,Ali Canbay,Heiner Wedemeyer,Kurt Werner Schmid,Hideo Andreas Baba

PloS one 14:e0226199 PubMed31841566

2019

New insights into intranuclear inclusions in thyroid carcinoma: Association with autophagy and with BRAFV600E mutation.

Applications

Unspecified application

Species

Unspecified reactive species

Suzan Schwertheim,Sarah Theurer,Holger Jastrow,Thomas Herold,Saskia Ting,Daniela Westerwick,Stefanie Bertram,Christoph M Schaefer,Julia Kälsch,Hideo A Baba,Kurt W Schmid

Journal of cellular biochemistry 118:4575-4586 PubMed28485543

2017

Andrographolide Induces Cell Cycle Arrest and Apoptosis of Chondrosarcoma by Targeting TCF-1/SOX9 Axis.

Applications

Unspecified application

Species

Mouse

Huan-Tian Zhang,Jie Yang,Gui-Hong Liang,Xue-Juan Gao,Yuan Sang,Tao Gui,Zu-Jian Liang,Man-Seng Tam,Zhen-Gang Zha
View all publications

Product promise

We are committed to supporting your work with high-quality reagents, and we're here for you every step of the way. In the unlikely event that one of our products does not perform as expected, you're protected by our Product Promise.
For full details, please see our Terms & Conditions

Please note: All products are 'FOR RESEARCH USE ONLY. NOT FOR USE IN DIAGNOSTIC OR THERAPEUTIC PROCEDURES'.

For licensing inquiries, please contact partnerships@abcam.com