JavaScript is disabled in your browser. Please enable JavaScript to view this website.
AB323662

HRP Anti-Mast Cell Tryptase antibody [EPR9522]

Be the first to review this product! Submit a review

|

(0 Publication)

Rabbit Recombinant Monoclonal TRYB1 antibody - conjugated to HRP. Suitable for WB and reacts with Human samples.

View Alternative Names

TPS1, TPS2, TPSB1, TPSAB1, Tryptase alpha/beta-1, Tryptase-1, Tryptase I, Tryptase alpha-1

1 Images
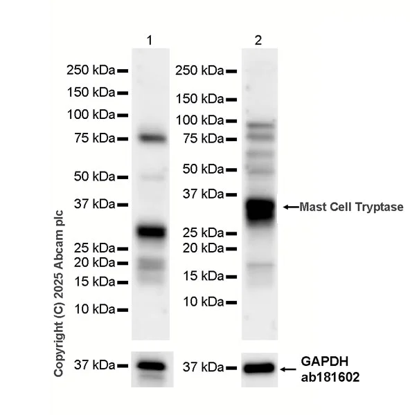
Western blot - HRP Anti-Mast Cell Tryptase antibody [EPR9522] (AB323662)
  • WB

Supplier Data

Western blot - HRP Anti-Mast Cell Tryptase antibody [EPR9522] (AB323662)

Blocking and diluting buffer and concentration : 5% NFDM/TBST.

The identities of the protein bands at approximately 30 kDa, both higher and lower, remain unknown.

In Western blot, Anti-GAPDH antibody [EPR16891] - Loading Control (ab181602) staining at 1/200000 dilution.

All lanes:

Western blot - HRP Anti-Mast Cell Tryptase antibody [EPR9522] (ab323662) at 1/1000 dilution

Lane 1:

Human skin tissue lysate at 20 µg

Lane 2:

Human tonsil tissue lysate at 20 µg

Observed band size: 30 kDa,36 kDa

false

Exposure time: 3s

  • 519 Alexa Fluor® 488

    Alexa Fluor® 488 Anti-Mast Cell Tryptase antibody [EPR9522]

  • 665 Alexa Fluor® 647

    Alexa Fluor® 647 Anti-Mast Cell Tryptase antibody [EPR9522]

  • Biotin

    Biotin Anti-Mast Cell Tryptase antibody [EPR9522]

Key facts

Host species

Rabbit

Clonality

Monoclonal

Clone number

EPR9522

Isotype

IgG

Conjugation

HRP

Excitation/Emission
Carrier free

No

Reacts with

Human

Applications

WB

applications

Immunogen

The exact immunogen used to generate this antibody is proprietary information.

Reactivity data

{ "title": "Reactivity Data", "filters": { "stats": ["", "Species", "Dilution Info", "Notes"], "tabs": { "all-applications": {"fullname" : "All Applications", "shortname": "All Applications"}, "WB" : {"fullname" : "Western blot", "shortname":"WB"} }, "product-promise": { "all": "all", "testedAndGuaranteed": "tested", "guaranteed": "expected", "predicted": "predicted", "notRecommended": "not-recommended" } }, "values": { "Human": { "WB-species-checked": "testedAndGuaranteed", "WB-species-dilution-info": "1/1000", "WB-species-notes": "<p></p>" } } }

Product details

Patented technology
Our RabMAb® technology is a patented hybridoma-based technology for making rabbit monoclonal antibodies. For details on our patents, please refer to RabMAb® patents.

What are the advantages of a recombinant monoclonal antibody?
This product is a recombinant monoclonal antibody, which offers several advantages including:

  • - High batch-to-batch consistency and reproducibility
  • - Improved sensitivity and specificity
  • - Long-term security of supply
  • - Animal-free batch production

For more information, read more on recombinant antibodies.

Properties and storage information

Form
Liquid
Purification technique
Affinity purification Protein A
Storage buffer
pH: 7.4 Preservative: 0.1% Proclin 300 Solution Constituents: PBS, 30% Glycerol (glycerin, glycerine), 1% BSA
Shipped at conditions
Blue Ice
Appropriate short-term storage duration
1-2 weeks
Appropriate short-term storage conditions
+4°C
Appropriate long-term storage conditions
-20°C
Aliquoting information
Upon delivery aliquot
Storage information
Avoid freeze / thaw cycle|Store in the dark

Product protocols

For this product, it's our understanding that no specific protocols are required. You can visit:

Target data

Tryptase is the major neutral protease present in mast cells and is secreted upon the coupled activation-degranulation response of this cell type. May play a role in innate immunity. Isoform 2 cleaves large substrates, such as fibronectin, more efficiently than isoform 1, but seems less efficient toward small substrates (PubMed : 18854315).
See full target information TPSAB1

Product promise

We are committed to supporting your work with high-quality reagents, and we're here for you every step of the way. In the unlikely event that one of our products does not perform as expected, you're protected by our Product Promise.
For full details, please see our Terms & Conditions

Please note: All products are 'FOR RESEARCH USE ONLY. NOT FOR USE IN DIAGNOSTIC OR THERAPEUTIC PROCEDURES'.

For licensing inquiries, please contact partnerships@abcam.com