JavaScript is disabled in your browser. Please enable JavaScript to view this website.
AB193987

HRP Anti-MEK1 antibody [E342]

Be the first to review this product! Submit a review

|

(1 Publication)

Rabbit Recombinant Monoclonal MEK1 antibody - conjugated to HRP. Suitable for IHC-P, WB and reacts with Human samples. Cited in 1 publication.

View Alternative Names

MEK1, PRKMK1, MAP2K1, Dual specificity mitogen-activated protein kinase kinase 1, MAP kinase kinase 1, MAPKK 1, MKK1, ERK activator kinase 1, MAPK/ERK kinase 1, MEK 1

3 Images
Immunohistochemistry (Formalin/PFA-fixed paraffin-embedded sections) - HRP Anti-MEK1 antibody [E342] (AB193987)
  • IHC-P

Unknown

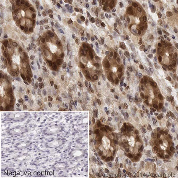
Immunohistochemistry (Formalin/PFA-fixed paraffin-embedded sections) - HRP Anti-MEK1 antibody [E342] (AB193987)

IHC image of MEK1 staining in a section of formalin-fixed paraffin-embedded human normal colon*. The section was pre-treated using pressure cooker heat mediated antigen retrieval with sodium citrate buffer (pH6) for 30mins, and incubated overnight at +4°C with ab193987 at a working dilution of 1/500. DAB was used as the chromogen (ab103723), diluted 1/100 and incubated for 10min at room temperature. The section was counterstained with haematoxylin and mounted with DPX. The inset negative control image is taken from an identical assay without primary antibody.

For other IHC staining systems (automated and non-automated) customers should optimize variable parameters such as antigen retrieval conditions, primary antibody concentration and antibody incubation times.

*Tissue obtained from the Human Research Tissue Bank, supported by the NIHR Cambridge Biomedical Research Centre

Western blot - HRP Anti-MEK1 antibody [E342] (AB193987)
  • WB

Lab

Western blot - HRP Anti-MEK1 antibody [E342] (AB193987)

This blot was produced using a 4-12% Bis-tris gel under the MOPS buffer system. The gel was run at 200V for 50 minutes before being transferred onto a Nitrocellulose membrane at 30V for 70 minutes. The membrane was then blocked for an hour using 2% Bovine Serum Albumin before being incubated with ab193987 overnight at 4°C. Antibody binding was visualised using ECL development solution ab133406.

All lanes:

Western blot - HRP Anti-MEK1 antibody [E342] (ab193987) at 1/5000 dilution

All lanes:

A431 (Human epithelial carcinoma cell line) Whole Cell Lysate at 10 µg

Predicted band size: 43 kDa

Observed band size: 45 kDa

true

Exposure time: 10s

Western blot - HRP Anti-MEK1 antibody [E342] (AB193987)
  • WB

Unknown

Western blot - HRP Anti-MEK1 antibody [E342] (AB193987)

ab193987 was shown to recognize MEK1 in wild-type HAP1 cells as signal was lost at the expected MW in MAP2K1 (MEK1) knockout cells. Additional cross-reactive bands were observed in the wild-type and knockout cells. Wild-type and MAP2K1 (MEK1) knockout samples were subjected to SDS-PAGE. ab193987 and ab184095 (Mouse monoclonal [mAbcam 9484] to GAPDH - Loading Control (Alexa Fluor® 680) loading control) were incubated overnight at 4°C at 1/5000 dilution and 1/1000 dilution respectively. The loading control was imaged using the Licor Odyssey CLx prior to blots being developed with ECL technique.

All lanes:

Western blot - HRP Anti-MEK1 antibody [E342] (ab193987) at 1/5000 dilution

Lane 1:

Wild-type HAP1 whole cell lysate at 20 µg

Lane 2:

MAP2K1 (MEK1) knockout HAP1 whole cell lysate at 20 µg

Predicted band size: 43 kDa

Observed band size: 43 kDa

false

Exposure time: 1min

Key facts

Host species

Rabbit

Clonality

Monoclonal

Clone number

E342

Isotype

IgG

Conjugation

HRP

Excitation/Emission
Carrier free

No

Reacts with

Human

Applications

IHC-P, WB

applications

Immunogen

The exact immunogen used to generate this antibody is proprietary information.

Specificity

From Jan 2026, QC testing of replenishment batches of this primary conjugate changed. All tested and expected application and reactive species combinations are still covered by our Abcam product promise. However, the replenishment lots are subjected to bioanalytical testing only. For more information on a specific batch, please contact our Scientific Support who will be happy to help.

Reactivity data

{ "title": "Reactivity Data", "filters": { "stats": ["", "Species", "Dilution Info", "Notes"], "tabs": { "all-applications": {"fullname" : "All Applications", "shortname": "All Applications"}, "IHCP" : {"fullname" : "Immunohistochemistry (Formalin/PFA-fixed paraffin-embedded sections)", "shortname":"IHC-P"}, "WB" : {"fullname" : "Western blot", "shortname":"WB"} }, "product-promise": { "all": "all", "testedAndGuaranteed": "tested", "guaranteed": "expected", "predicted": "predicted", "notRecommended": "not-recommended" } }, "values": { "Human": { "IHCP-species-checked": "testedAndGuaranteed", "IHCP-species-dilution-info": "1/500", "IHCP-species-notes": "<p></p>", "WB-species-checked": "testedAndGuaranteed", "WB-species-dilution-info": "1/5000", "WB-species-notes": "<p></p>" }, "Mouse": { "IHCP-species-checked": "predicted", "IHCP-species-dilution-info": "", "IHCP-species-notes": "", "WB-species-checked": "predicted", "WB-species-dilution-info": "", "WB-species-notes": "" }, "Rat": { "IHCP-species-checked": "predicted", "IHCP-species-dilution-info": "", "IHCP-species-notes": "", "WB-species-checked": "predicted", "WB-species-dilution-info": "", "WB-species-notes": "" }, "Cow": { "IHCP-species-checked": "predicted", "IHCP-species-dilution-info": "", "IHCP-species-notes": "", "WB-species-checked": "predicted", "WB-species-dilution-info": "", "WB-species-notes": "" } } }

Product details

Patented technology
Our RabMAb® technology is a patented hybridoma-based technology for making rabbit monoclonal antibodies. For details on our patents, please refer to RabMAb® patents.

Properties and storage information

Form
Liquid
Purification technique
Affinity purification Protein A
Storage buffer
pH: 7.4 Preservative: 0.1% Proclin 300 Solution Constituents: PBS, 30% Glycerol (glycerin, glycerine), 1% BSA
Shipped at conditions
Blue Ice
Appropriate short-term storage conditions
+4°C
Appropriate long-term storage conditions
-20°C
Aliquoting information
Upon delivery aliquot
Storage information
Avoid freeze / thaw cycle

Supplementary information

This supplementary information is collated from multiple sources and compiled automatically.

MEK1 also known as MAP2K1 is a dual-specificity kinase that plays a role in the MAPK/ERK pathway. It has a molecular weight of around 45 kDa. MEK1 phosphorylates and activates the extracellular signal-regulated kinases ERK1 and ERK2. MEK1 is expressed in various tissues but is especially abundant in brain and heart tissues. Researchers commonly measure MEK1 levels using techniques like MEK1 ELISA while phospho-MEK antibodies help analyze its activity state.
Biological function summary

MEK1 impacts cell processes such as proliferation differentiation and survival. It does not work alone but forms a complex with other proteins to exert its function. MEK1 activity is tightly controlled by upstream activators and downstream targets. One of the key phosphorylation sites on MEK1 is at serine 298 often marked as MEK1 pS298. This phosphorylation indicates MEK1's activated state which is critical for its biological function.

Pathways

MEK1 integrates signals within the MAPK/ERK pathway and interacts closely with RAF kinases upstream and ERK kinases downstream. This pathway modulates cellular responses to growth factors. MEK1 undergoes phosphorylation enhancing its activity and subsequently phosphorylates ERK proteins. Many studies isolate MEK1 activity using specific inhibitors such as the MEK1 inhibitor to dissect pathway dynamics. ERK inhibitor PD98059 also helps when studying parallel interactions with MEK1.

MEK1 mutations or dysregulation have links to several types of cancer including melanoma. These often involve changes that lead to continuous MEK1 activation contributing to uncontrolled cell growth. MEK1 involvement in the RASopathies also shows its connection to disorders characterized by heart and facial abnormalities. In cancer MEK1 works closely with the BRAF protein which often harbors mutations leading to disease progression showcasing MEK1 as a target for therapeutic intervention.

Product protocols

For this product, it's our understanding that no specific protocols are required. You can visit:

Target data

Dual specificity protein kinase which acts as an essential component of the MAP kinase signal transduction pathway. Binding of extracellular ligands such as growth factors, cytokines and hormones to their cell-surface receptors activates RAS and this initiates RAF1 activation. RAF1 then further activates the dual-specificity protein kinases MAP2K1/MEK1 and MAP2K2/MEK2. Both MAP2K1/MEK1 and MAP2K2/MEK2 function specifically in the MAPK/ERK cascade, and catalyze the concomitant phosphorylation of a threonine and a tyrosine residue in a Thr-Glu-Tyr sequence located in the extracellular signal-regulated kinases MAPK3/ERK1 and MAPK1/ERK2, leading to their activation and further transduction of the signal within the MAPK/ERK cascade. Activates BRAF in a KSR1 or KSR2-dependent manner; by binding to KSR1 or KSR2 releases the inhibitory intramolecular interaction between KSR1 or KSR2 protein kinase and N-terminal domains which promotes KSR1 or KSR2-BRAF dimerization and BRAF activation (PubMed : 29433126). Depending on the cellular context, this pathway mediates diverse biological functions such as cell growth, adhesion, survival and differentiation, predominantly through the regulation of transcription, metabolism and cytoskeletal rearrangements. One target of the MAPK/ERK cascade is peroxisome proliferator-activated receptor gamma (PPARG), a nuclear receptor that promotes differentiation and apoptosis. MAP2K1/MEK1 has been shown to export PPARG from the nucleus. The MAPK/ERK cascade is also involved in the regulation of endosomal dynamics, including lysosome processing and endosome cycling through the perinuclear recycling compartment (PNRC), as well as in the fragmentation of the Golgi apparatus during mitosis.
See full target information MAP2K1

Publications (1)

Recent publications for all applications. Explore the full list and refine your search

Scientific reports 15:21604 PubMed40594474

2025

The novel amino-artemisinin derivative WHN-11 disrupts mitochondria and protein homeostasis, and induces autophagy and apoptosis in cancer cells.

Applications

Unspecified application

Species

Unspecified reactive species

Deborah Kajewole,Ho Ning Wong,Alexander von Kriegsheim,Richard K Haynes,Jo-Anne de la Mare,Adrienne Lesley Edkins
View all publications

Product promise

We are committed to supporting your work with high-quality reagents, and we're here for you every step of the way. In the unlikely event that one of our products does not perform as expected, you're protected by our Product Promise.
For full details, please see our Terms & Conditions

Please note: All products are 'FOR RESEARCH USE ONLY. NOT FOR USE IN DIAGNOSTIC OR THERAPEUTIC PROCEDURES'.

For licensing inquiries, please contact partnerships@abcam.com