JavaScript is disabled in your browser. Please enable JavaScript to view this website.
AB196482

HRP Anti-Metabotropic Glutamate Receptor 5 antibody [EPR2425Y]

Be the first to review this product! Submit a review

|

(1 Publication)

Rabbit Recombinant Monoclonal Metabotropic Glutamate Receptor 5 antibody - conjugated to HRP. Suitable for IHC-P and reacts with Human samples. Cited in 1 publication.

View Alternative Names

GPRC1E, MGLUR5, GRM5, Metabotropic glutamate receptor 5, mGluR5

1 Images
Immunohistochemistry (Formalin/PFA-fixed paraffin-embedded sections) - HRP Anti-Metabotropic Glutamate Receptor 5 antibody [EPR2425Y] (AB196482)
  • IHC-P

Lab

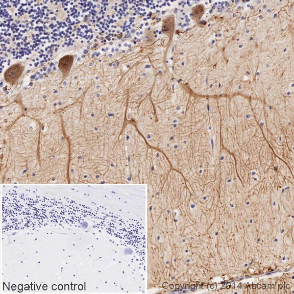
Immunohistochemistry (Formalin/PFA-fixed paraffin-embedded sections) - HRP Anti-Metabotropic Glutamate Receptor 5 antibody [EPR2425Y] (AB196482)

IHC image of Metabotropic Glutamate Receptor 5 staining in a section of formalin-fixed paraffin-embedded normal human cerebellum, performed on a Leica BOND. The section was pre-treated using heat mediated antigen retrieval with sodium citrate buffer (pH6, epitope retrieval solution 1) for 20mins. The section was then incubated with ab196482 at 1/100 dilution, for 15 mins at room temperature. DAB was used as the chromogen. The section was then counterstained with haematoxylin and mounted with DPX. The inset negative control image is taken from an identical assay without primary antibody.

For other IHC staining systems (automated and non-automated) customers should optimize variable parameters such as antigen retrieval conditions, primary antibody concentration and antibody incubation times.

  • 660 APC

    APC Anti-Metabotropic Glutamate Receptor 5 antibody [EPR2425Y]

  • 578 PE

    PE Anti-Metabotropic Glutamate Receptor 5 antibody [EPR2425Y]

  • 519 Alexa Fluor® 488

    Alexa Fluor® 488 Anti-Metabotropic Glutamate Receptor 5 antibody [EPR2425Y]

  • 617 Alexa Fluor® 594

    Alexa Fluor® 594 Anti-Metabotropic Glutamate Receptor 5 antibody [EPR2425Y]

  • 603 Alexa Fluor® 568

    Alexa Fluor® 568 Anti-Metabotropic Glutamate Receptor 5 antibody [EPR2425Y]

  • 565 Alexa Fluor® 555

    Alexa Fluor® 555 Anti-Metabotropic Glutamate Receptor 5 antibody [EPR2425Y]

  • 775 Alexa Fluor® 750

    Alexa Fluor® 750 Anti-Metabotropic Glutamate Receptor 5 antibody [EPR2425Y]

  • Unconjugated

    Anti-Metabotropic Glutamate Receptor 5 antibody [EPR2425Y]

  • Carrier free

    Anti-Metabotropic Glutamate Receptor 5 antibody [EPR2425Y] - Low endotoxin, Azide free

  • Carrier free

    Anti-Metabotropic Glutamate Receptor 5 antibody [EPR2425Y] - BSA and Azide free

Key facts

Host species

Rabbit

Clonality

Monoclonal

Clone number

EPR2425Y

Isotype

IgG

Conjugation

HRP

Excitation/Emission
Carrier free

No

Reacts with

Human

Applications

IHC-P

applications

Immunogen

The exact immunogen used to generate this antibody is proprietary information.

Reactivity data

{ "title": "Reactivity Data", "filters": { "stats": ["", "Species", "Dilution Info", "Notes"], "tabs": { "all-applications": {"fullname" : "All Applications", "shortname": "All Applications"}, "IHCP" : {"fullname" : "Immunohistochemistry (Formalin/PFA-fixed paraffin-embedded sections)", "shortname":"IHC-P"} }, "product-promise": { "all": "all", "testedAndGuaranteed": "tested", "guaranteed": "expected", "predicted": "predicted", "notRecommended": "not-recommended" } }, "values": { "Human": { "IHCP-species-checked": "testedAndGuaranteed", "IHCP-species-dilution-info": "1/100", "IHCP-species-notes": "<p><a href='/en-us/products/primary-antibodies/hrp-rabbit-igg-monoclonal-epr25a-isotype-control-ab199507'>ab199507</a> - Rabbit monoclonal IgG (HRP), is suitable for use an as isotype control with this antibody.</p>" }, "Mouse": { "IHCP-species-checked": "predicted", "IHCP-species-dilution-info": "", "IHCP-species-notes": "" }, "Rat": { "IHCP-species-checked": "predicted", "IHCP-species-dilution-info": "", "IHCP-species-notes": "" } } }

Product details

Patented technology
Our RabMAb® technology is a patented hybridoma-based technology for making rabbit monoclonal antibodies. For details on our patents, please refer to RabMAb® patents.

Properties and storage information

Form
Liquid
Purification technique
Affinity purification Protein A
Storage buffer
pH: 7.4 Preservative: 0.1% Proclin 300 Solution Constituents: PBS, 30% Glycerol (glycerin, glycerine), 1% BSA
Shipped at conditions
Blue Ice
Appropriate short-term storage duration
1-2 weeks
Appropriate short-term storage conditions
+4°C
Appropriate long-term storage conditions
-20°C
Aliquoting information
Upon delivery aliquot
Storage information
Avoid freeze / thaw cycle|Store in the dark

Product protocols

For this product, it's our understanding that no specific protocols are required. You can visit:

Target data

G-protein coupled receptor for glutamate. Ligand binding causes a conformation change that triggers signaling via guanine nucleotide-binding proteins (G proteins) and modulates the activity of down-stream effectors. Signaling activates a phosphatidylinositol-calcium second messenger system and generates a calcium-activated chloride current. Plays an important role in the regulation of synaptic plasticity and the modulation of the neural network activity.
See full target information GRM5

Publications (1)

Recent publications for all applications. Explore the full list and refine your search

Journal of immunology (Baltimore, Md. : 1950) 211:414-428 PubMed37314520

2023

Epigenetic Regulation of Leukocyte Inflammatory Mediator Production Dictates Staphylococcus aureus Craniotomy Infection Outcome.

Applications

Unspecified application

Species

Unspecified reactive species

Zachary Van Roy,Wen Shi,Gunjan Kak,Bin Duan,Tammy Kielian
View all publications

Product promise

We are committed to supporting your work with high-quality reagents, and we're here for you every step of the way. In the unlikely event that one of our products does not perform as expected, you're protected by our Product Promise.
For full details, please see our Terms & Conditions

Please note: All products are 'FOR RESEARCH USE ONLY. NOT FOR USE IN DIAGNOSTIC OR THERAPEUTIC PROCEDURES'.

For licensing inquiries, please contact partnerships@abcam.com