JavaScript is disabled in your browser. Please enable JavaScript to view this website.
AB194242

HRP Anti-MMP14 antibody [EP1264Y]

Be the first to review this product! Submit a review

|

(0 Publication)

Rabbit Recombinant Monoclonal MMP14 antibody - conjugated to HRP. Suitable for IHC-P and reacts with Human samples.

View Alternative Names

Matrix metalloproteinase-14, MMP-14, MMP-X1, Membrane-type matrix metalloproteinase 1, Membrane-type-1 matrix metalloproteinase, MT-MMP 1, MTMMP1, MT1-MMP, MT1MMP, MMP14

1 Images
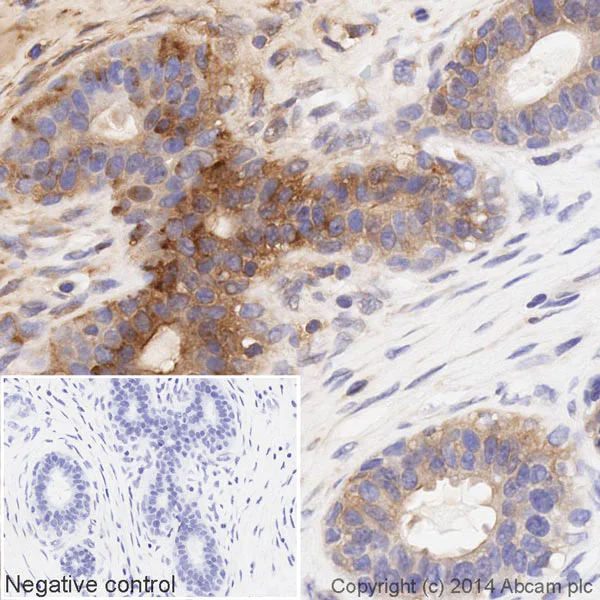
Immunohistochemistry (Formalin/PFA-fixed paraffin-embedded sections) - HRP Anti-MMP14 antibody [EP1264Y] (AB194242)
  • IHC-P

Lab

Immunohistochemistry (Formalin/PFA-fixed paraffin-embedded sections) - HRP Anti-MMP14 antibody [EP1264Y] (AB194242)

IHC image of MMP14 staining in a section of formalin-fixed paraffin-embedded human breast fibroadenoma tissue*, performed on a Leica BOND. The section was pre-treated using heat mediated antigen retrieval with sodium citrate buffer (pH6, epitope retrieval solution 1) for 20mins. The section was then incubated with ab194242 at 1/500 dilution, for 15 mins at room temperature. DAB was used as the chromogen. The section was then counterstained with haematoxylin and mounted with DPX. The inset negative control image is taken from an identical assay without primary antibody.

For other IHC staining systems (automated and non-automated) customers should optimize variable parameters such as antigen retrieval conditions, primary antibody concentration and antibody incubation times.

*Tissue obtained from the Human Research Tissue Bank, supported by the NIHR Cambridge Biomedical Research Centre.

Key facts

Host species

Rabbit

Clonality

Monoclonal

Clone number

EP1264Y

Isotype

IgG

Conjugation

HRP

Excitation/Emission
Carrier free

No

Reacts with

Human

Applications

IHC-P

applications

Immunogen

The exact immunogen used to generate this antibody is proprietary information.

Reactivity data

{ "title": "Reactivity Data", "filters": { "stats": ["", "Species", "Dilution Info", "Notes"], "tabs": { "all-applications": {"fullname" : "All Applications", "shortname": "All Applications"}, "IHCP" : {"fullname" : "Immunohistochemistry (Formalin/PFA-fixed paraffin-embedded sections)", "shortname":"IHC-P"} }, "product-promise": { "all": "all", "testedAndGuaranteed": "tested", "guaranteed": "expected", "predicted": "predicted", "notRecommended": "not-recommended" } }, "values": { "Human": { "IHCP-species-checked": "testedAndGuaranteed", "IHCP-species-dilution-info": "1/500", "IHCP-species-notes": "<p></p> Perform heat-mediated antigen retrieval with citrate buffer pH 6 before commencing with IHC staining protocol." }, "Mouse": { "IHCP-species-checked": "predicted", "IHCP-species-dilution-info": "", "IHCP-species-notes": "" }, "Rat": { "IHCP-species-checked": "predicted", "IHCP-species-dilution-info": "", "IHCP-species-notes": "" } } }

Product details

Patented technology
Our RabMAb® technology is a patented hybridoma-based technology for making rabbit monoclonal antibodies. For details on our patents, please refer to RabMAb® patents.

Properties and storage information

Form
Liquid
Purification technique
Affinity purification Protein A
Storage buffer
pH: 7.4 Preservative: 0.1% Proclin 300 Solution Constituents: PBS, 30% Glycerol (glycerin, glycerine), 1% BSA
Shipped at conditions
Blue Ice
Appropriate short-term storage duration
1-2 weeks
Appropriate short-term storage conditions
+4°C
Appropriate long-term storage conditions
-20°C
Aliquoting information
Upon delivery aliquot
Storage information
Avoid freeze / thaw cycle|Store in the dark

Supplementary information

This supplementary information is collated from multiple sources and compiled automatically.

Matrix metalloproteinase 14 (MMP14) also known as MT1-MMP is a membrane-bound enzyme involved in the breakdown of the extracellular matrix. This protease has a molecular weight of approximately 66 kDa and consists of various structural domains including a catalytic domain and a hinge region. MMP14 is expressed in many tissues including the stromal and cancer cells where it facilitates cell migration and tissue remodeling.
Biological function summary

MMP14 influences extracellular matrix degradation enabling cellular invasion and migration. It exists as a part of macromolecular complexes at the cell surface interacting with other metalloproteinases. This interaction assists in the activation of other MMPs such as pro-MMP2 which further amplify matrix remodeling activities. The hinge region of MMP14 lends flexibility allowing it to effectively engage with substrate proteins.

Pathways

MMP14 significantly affects cell signaling and tissue remodeling pathways. One critical pathway involves the activation of pro-MMP2 which is dependent on MMP14's proteolytic activity. MMP14 also plays a role in the regulation of cell proliferation and apoptosis through its interaction with proteins such as TIMP-2. This relationship between MMP14 and other regulatory proteins emphasizes its functional integration within major biological networks.

High MMP14 levels correlate strongly with cancer progression especially in cancers such as breast cancer and melanoma. The ability of MMP14 to degrade the extracellular matrix facilitates tumor invasion and metastasis. Through its regulatory activities MMP14 connects with other proteins like VEGF influencing angiogenesis within tumor microenvironments. Additionally MMP14 involvement in arthritic conditions highlights its role in joint degradation processes worsening the disease through augmented cartilage breakdown.

Product protocols

For this product, it's our understanding that no specific protocols are required. You can visit:

Target data

Endopeptidase that degrades various components of the extracellular matrix such as collagen (PubMed : 8015608). Essential for pericellular collagenolysis and modeling of skeletal and extraskeletal connective tissues during development (By similarity). Activates progelatinase A/MMP2, thereby acting as a positive regulator of cell growth and migration (PubMed : 22065321, PubMed : 8015608). Involved in the formation of the fibrovascular tissues in association with pro-MMP2 (PubMed : 12714657, PubMed : 22065321). May be involved in actin cytoskeleton reorganization by cleaving PTK7 (PubMed : 20837484). Acts as a regulator of Notch signaling by mediating cleavage and inhibition of DLL1 (PubMed : 21572390). Cleaves ADGRB1 to release vasculostatin-40 which inhibits angiogenesis (PubMed : 22330140). Acts as a negative regulator of the GDF15-GFRAL aversive response by mediating cleavage and inactivation of GFRAL (PubMed : 35177851).
See full target information MMP14

Product promise

We are committed to supporting your work with high-quality reagents, and we're here for you every step of the way. In the unlikely event that one of our products does not perform as expected, you're protected by our Product Promise.
For full details, please see our Terms & Conditions

Please note: All products are 'FOR RESEARCH USE ONLY. NOT FOR USE IN DIAGNOSTIC OR THERAPEUTIC PROCEDURES'.

For licensing inquiries, please contact partnerships@abcam.com